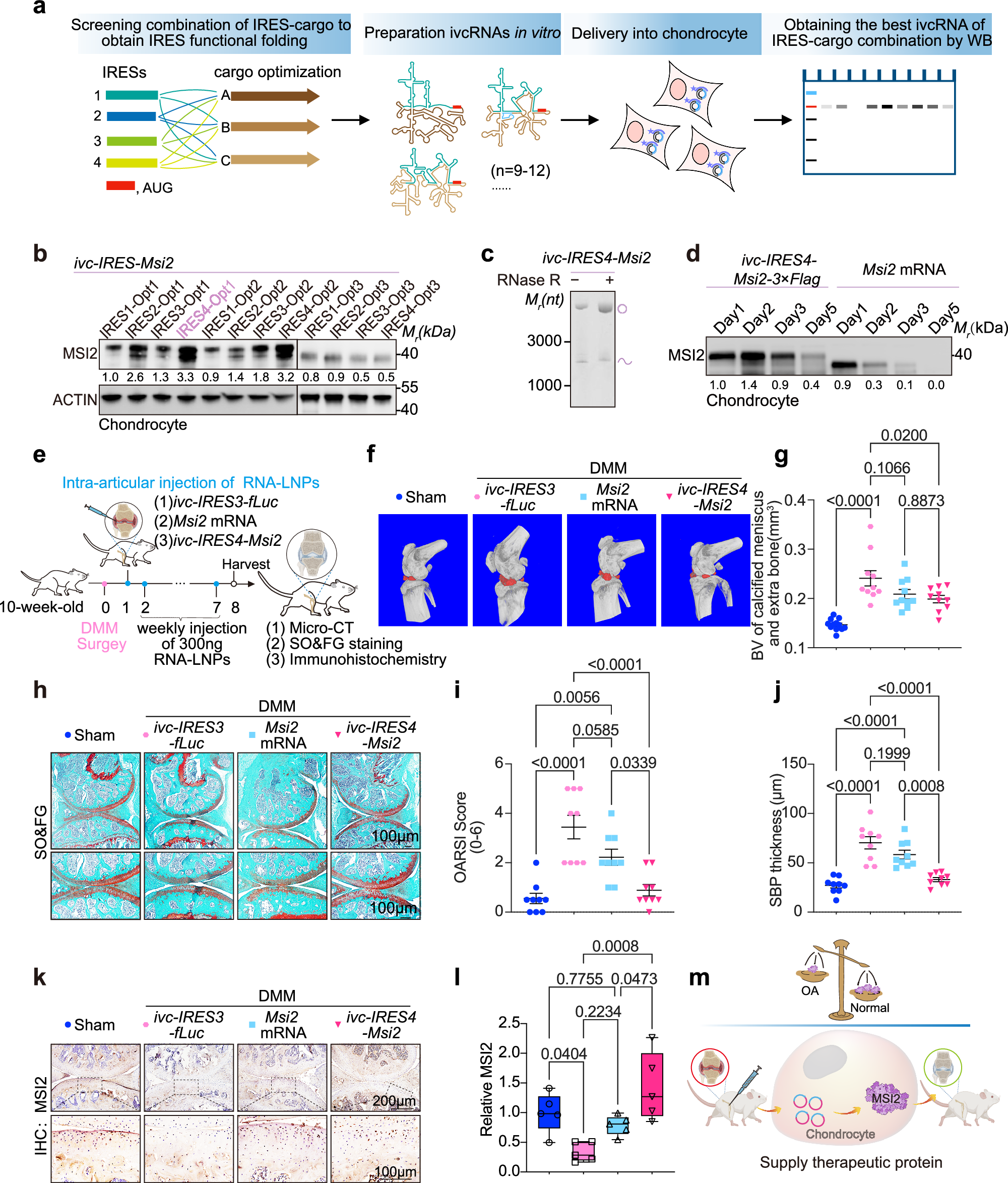
Fig. 3: ivcRNA-based MSI2 therapy alleviates osteoarthritis.
From: Circular RNA-based protein replacement therapy mitigates osteoarthritis in male mice

a Schematic showing the pipeline of designing and screening engineered ivcRNA encoding MSI2. First, we select different types of IRES elements screened from the viral IRES database, then, optimize the coding sequence (cargo) and combine various IRES elements with the cargo sequence, finally screen combinations of IRES-cargo to obtain IRES functional folding. The prepared in vitro transcribed circRNA deliver into chondrocyte cells to obtain the best ivcRNA of IRES-cargo combination using western blotting (WB). b WB analysis of mouse MSI2 expression levels in chondrocytes 24 h after transfection with various IRES-Msi2 combinations. ACTIN was used as a reference protein. Quantification of MSI2 bands was performed with Image J software. The IRES-Msi2-Opt1 and IRES-Msi2-Opt2 plasmids contain a 3 × Flag tag, while the IRES-Msi2-Opt3 plasmids do not. Opt: Optimized. c Representative image of ivc-IRES4-Msi2 is analyzed using 4% denaturing urea-PAGE. RNA circles are enriched and verified with RNase R treatment. The hollow violet circles indicate RNA circles; single violet curves indicate nicked RNAs. d WB analysis of mouse MSI2 expression levels in chondrocytes after transfection with ivc-IRES4-Msi2-3×Flag and Msi2 mRNA. Quantification of MSI2 bands was performed with Image J software. e Schematic illustration of intra-articular injection of ivc-IRES4-Msi2-LNPs to treatment DMM mice. Two group, Sham and DMM mice, were treated at 10-week-old and monitored to evaluate the therapeutics effects against OA caused by DMM surgery after 8-week-teatment. f Micro-CT scans show calcified meniscus and extra bone after intra-articular injection of ivc-IRES3-fLuc, Msi2 mRNA and ivc-IRES4-Msi2 in DMM model mice (calcified meniscus and extra bone are marked in red) (n = 12, 10, 10, 10 mice). g Quantification of the BV of the calcified meniscus and extra bone in (f) (n = 12, 10, 10, 10 mice). The data are presented as the Mean with SEM. Statistical significance was determined by Ordinary one-way ANOVA. h Representative images of SO&FG staining of paraffin sections from wild-type mice injected with linear and ivcRNA encoding MSI2 and ivcRNA encoding fLuc after DMM (n = 9 mice per group). Scale bars=100μm. i OARSI histopathological score for SO&FG staining in (h) (n = 9 mice per group). The data are presented as the Mean with SEM. Statistical significance was determined by Ordinary one-way ANOVA. j Quantification of SBP thickness in (h) (n = 9 mice per group). The data are presented as the Mean with SEM. Statistical significance was determined by Ordinary one-way ANOVA. k Immunohistochemical staining with MSI2 antibody was performed on paraffin sections of knee joints from wild-type mice injected with ivc-IRES3-fLuc, Msi2 mRNA and ivc-IRES4-Msi2 after DMM surgery (n = 5 samples per group), scale bars = 200 μm (top), scale bars = 100 μm (bottom). l Quantification of MSI2 signals in (k) by Image J software (n = 5 samples per group). The data are presented as the box-and-whisker plots show minimum (Min) to maximum (Max) and all points. Statistical significance was determined by Ordinary one-way ANOVA. Boxes: 25th–75th percentiles; centre line: median; whiskers: 1.5 × IQR. m Schematic representation of ivcRNA-based therapy compensates MSI2 to alleviate the phenotypes of OA in DMM mice. The experiments in Fig. 3b, c, d was repeated three times independently and similar results were obtained. The images of knee joint, RNA and mice in Fig. 3a, e, m were adapted from BioRender.com. Created in BioRender. Suo, J. (2025) https://BioRender.com/4byajfm.