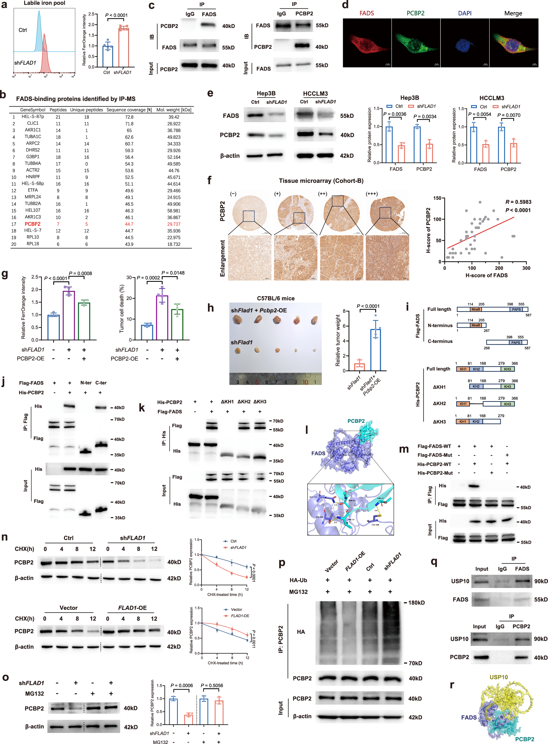
Fig. 6: FADS stabilize PCBP2 to inhibit ferroptosis.

a Intracellular Fe2+ levels in Hep3B cells (n = 5 biological replicates). b Identification of FADS-binding proteins in Hep3B cells using immunoprecipitation (IP) and mass spectrometry. The top 20 candidates are ranked by sequence coverage. c Co-IP assay showing the interaction between FADS and PCBP2 in Hep3B cells (n = 3 independent experiments). d IF staining showing co-localization of FADS and PCBP2 in Hep3B cells. e Protein levels and quantification of FADS and PCBP2 in Hep3B and HCCLM3 cells (n = 3 biological replicates). f Representative images of PCBP2 staining in tumor samples from Cohort-B, and correlation analysis of FADS and PCBP2 protein levels. g Intracellular Fe2+ levels and percentages of dead cells (7-AAD+) in Hep3B cells following FADS knockdown with or without PCBP2 overexpression (OE) (n = 3 biological replicates). h Subcutaneous tumors in C57BL/6 mice (n = 5 per group) with Hepa1-6 cells (shFlad1 vs. shFlad1 + Pcbp2-OE). Tumors were photographed and weighed at day 21. i Diagram of truncated plasmids encoding FLAG-tagged FADS and His-tagged PCBP2. j, k 293T cells were transfected with truncated plasmids of FADS and PCBP2. Co-IP assays indicated that the FADS C-terminus binds to PCBP2 (j), and the PCBP2 KH1 domain binds to FADS (k) (n = 3 independent experiments). l Docking analysis revealing specific binding sites between FADS and PCBP2. m Mutation of the binding interface between FADS and PCBP2 by replacing target amino acids with alanine disrupts their interaction, as shown by Co-IP assay (n = 3 independent experiments). WT, wide-type; Mut, mutation. n Protein levels and quantification of PCBP2 in Hep3B cells with FADS knockdown or overexpression (n = 3 biological replicates). Cells were treated with cycloheximide (CHX, 50 μg/mL) for the indicated times. o Protein levels and quantification of PCBP2 in Hep3B cells treated with or without MG132 (20 μM, 12 h) (n = 3 biological replicates). p PCBP2 ubiquitination (Ub) levels in Hep3B cells with FADS knockdown or overexpression (n = 3 independent experiments). q Co-IP assay showing interactions between USP10 and FADS, and USP10 and PCBP2 (n = 3 independent experiments). r Docking model of FADS, PCBP2, and USP10. Data are presented as mean ± SD (a, e, g, h, n, o). P-values were calculated using unpaired two-sided Student’s t test (a, e, g, h, o), two-way ANOVA with Tukey’s test (n), and Spearman’s rank correlation (f). Source data are provided as a Source Data file.