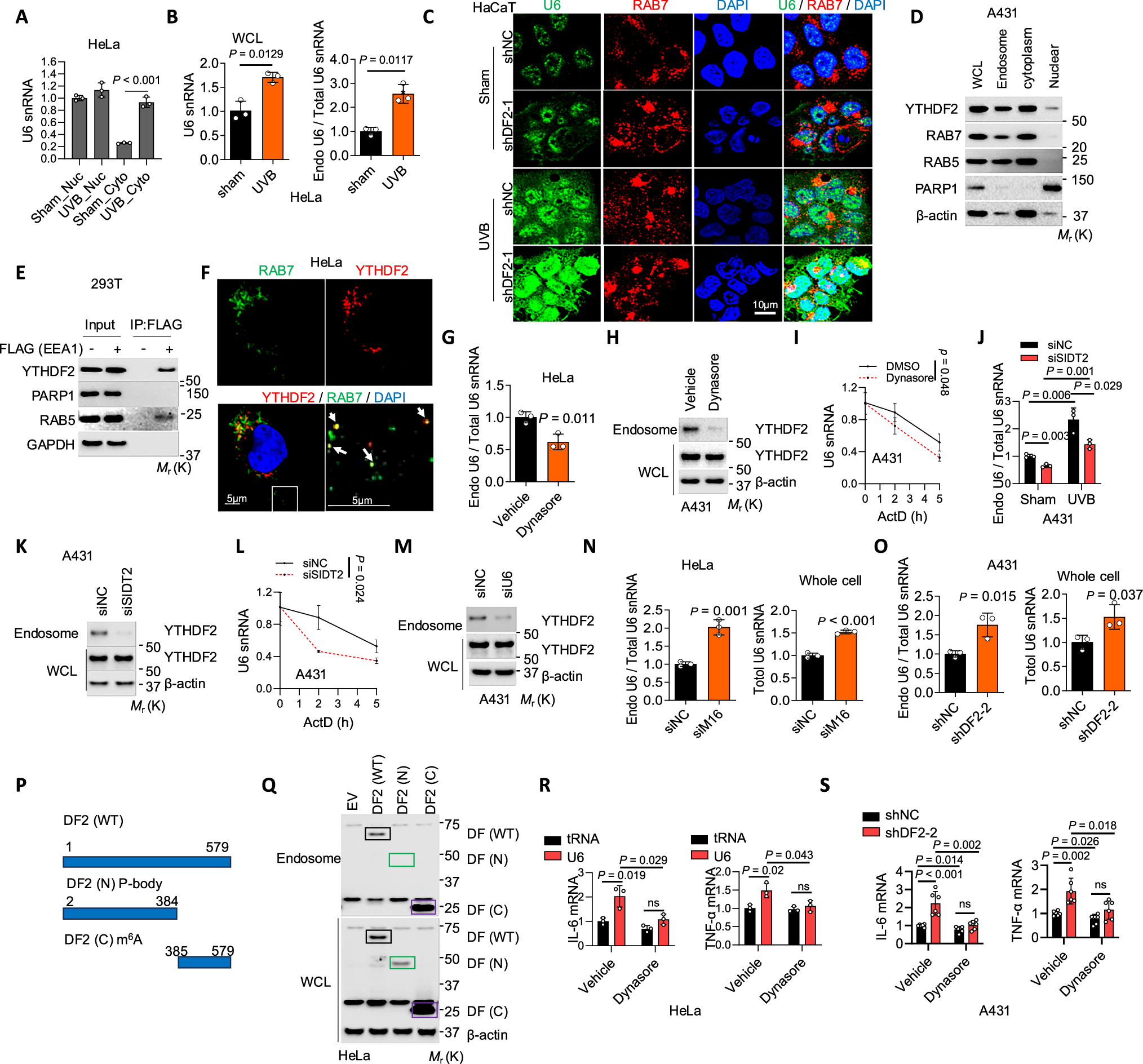
Fig. 5: Both U6 and YTHDF2 are localized in endosomes.
From: YTHDF2 regulates self non-coding RNA metabolism to control inflammation and tumorigenesis

A qPCR of nuclear (nuc) and cytoplasmic (cyto) fractions in HeLa cells with or without UVB irradiation (30 mJ/cm², 6 h). B. qPCR in HeLa cells with or without UVB irradiation (30 mJ/cm², 6 h). C Confocal images of HaCaT cells with or without YTHDF2 knockdown, 6 h after sham or UVB irradiation (20 mJ/cm²). D Immunoblot in A431 cells. E Endo-IP of endosomal fractions in 293 T cells. F Confocal images of HeLa cells; arrows indicate colocalization of YTHDF2 and Rab7. G qPCR in endosomes of HeLa cells with or without Dynasore. H Immunoblot in A431 cells with or without Dynasore. I qPCR of mRNA stability in A431 cells treated with or without Dynasore. J qPCR in endosomes in A431 cells with or without SIDT2 knockdown. K Immunoblot of WCL and endosomes in A431 cells with or without SIDT2 knockdown. L qPCR of mRNA stability in A431 cells with or without SIDT2 knockdown. M Immunoblot of WCL and endosomes in A431 cells with or without U6 knockdown. N qPCR in endosomes of HeLa cells with or without METTL16 knockdown. O qPCR in endosomes of A431 cells with or without YTHDF2 knockdown. P Schematic of human YTHDF2 and truncations (N- or C-terminal). Q Immunoblot of WCL and endosomes in HeLa cells transfected with EV, DF2 (WT), DF2 (N) or DF2 (C). Unmarked bands >25 kDa are nonspecific. qPCR of mRNAs in HeLa cells transfected with tRNA or U6 and treated with vehicle or Dynasore (R), and in A431 cells with or without YTHDF2 knockdown treated with vehicle or Dynasore (S). Housekeeping genes: 18S rRNA (B, I, L, N, O) and GAPDH (R–S). Statistical analyses were performed using a two-tailed unpaired Student’s t-test. Data are shown as mean ± SD (n = 3 for A–B, G, I, J, L, N, O, R; n = 6 for S). All experiments used biologically independent samples.