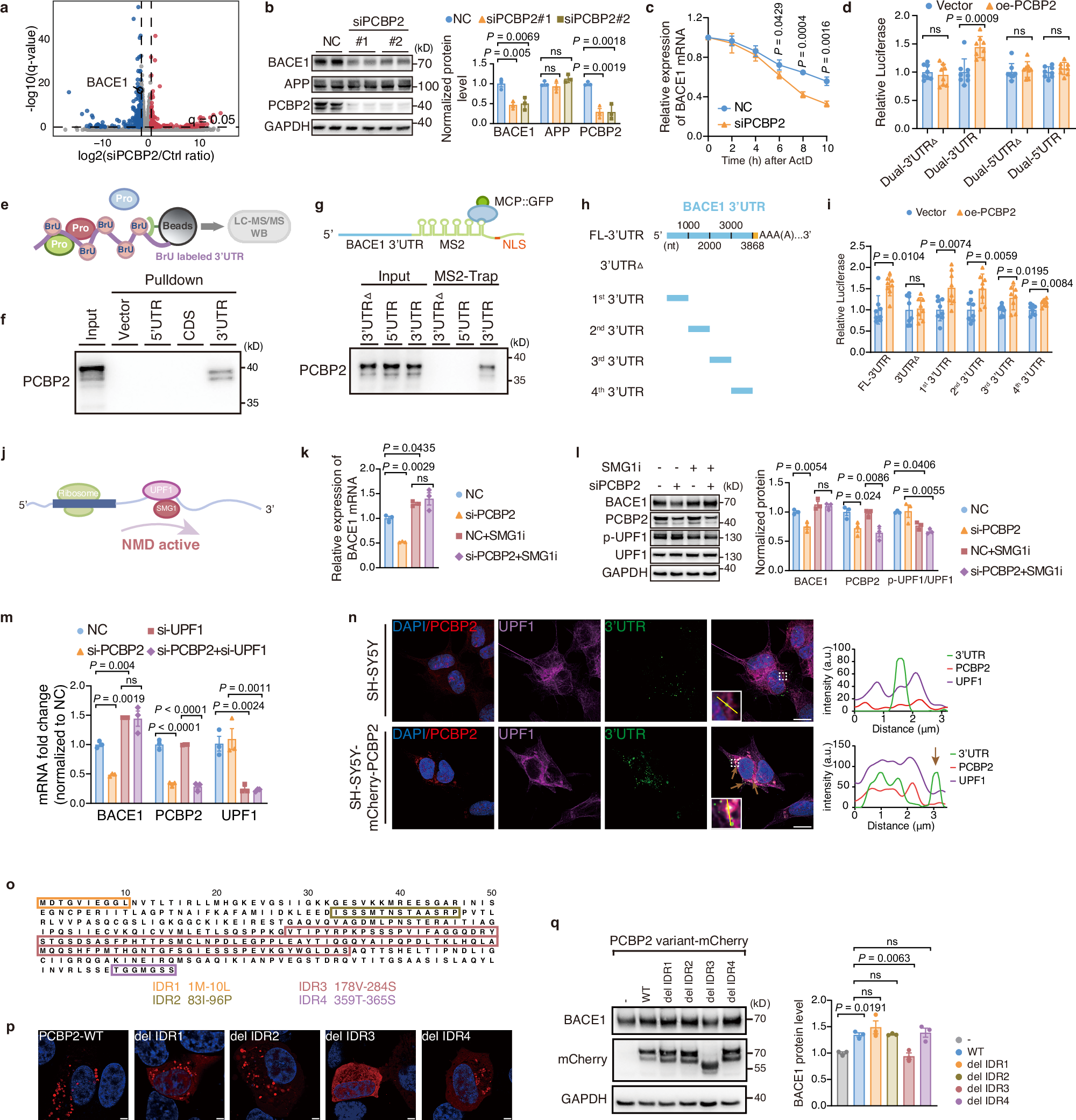
Fig. 5: PCBP2 condensates inhibit the 3′UTR degradation of BACE1 mRNA.
From: Pharmacologic inhibition of PCBP2 biomolecular condensates relieves Alzheimer’s disease

a Scatter plot of differentially expressed genes in SH-SY5Y cells shows BACE1 transcript is downregulated by PCBP2 knockdown. b Western blots and quantification indicate that BACE1 protein is reduced by PCBP2 knockdown. c Actinomycin-D chase (0–10 h) shows faster decay of BACE1 mRNA with siPCBP2. d Dual-luciferase assays 48 h post-transfection with overexpression PCBP2 (oe-PCBP2) and reporters with or without 3′/5′UTRs reveal repression through the 3′UTR. e Schematic diagram of BrU-labeled 3′UTR RNA pulldown followed by LC-MS/MS to identify 3′UTR-binding RBPs. f Western blots of PCBP2 in immunoprecipitated extracts by RNA (BACE1 3′UTR) pulldown. g MS2-Trap and western blot confirm PCBP2 associates with the 3′UTR but not the 5′UTR; 3′UTRΔ, deletion control. h Map of the full-length BACE1 3′UTR truncated into four segments for reporter testing. i Relative luciferase activities of the truncated 3′UTRs reporter plasmids. j Schematic illustration shows nonsense-mediated mRNA decay (NMD) involves UPF1 and SMG1. k, l siPCBP2 lowers BACE1 mRNA (k) and protein (l); SMG1 inhibitor (SMG1i, 300 nM, 4 h) mitigates these effects; p-UPF1/UPF1 blots shown. m UPF1 knockdown rescues the siPCBP2-induced reduction in BACE1 mRNA. n Immunofluorescence of SH-SY5Y and SH-SY5Y-PCBP2 cells shows colocalization of PCBP2 (red), UPF1 (magenta), and BACE1 3′UTR (green, dEcCas6 probe); line scans along the yellow ROI; brown arrows indicate regions where the 3′UTR is localized with low UPF1 density. Scale bar: 10 μm. o PCBP2 domain map highlighting four predicted intrinsically disordered regions (IDR1-IDR4). p Confocal images of PCBP2-mCherry clusters formed by the indicated deletion mutants lacking IDR1-IDR4 (del IDR1-4) transiently expressed in SH-SY5Y cells. Scale bar, 2.5 µm. q Representative western blots and corresponding quantification of BACE1 and the PCBP2-mCherry deletion mutants (del IDR1-4) in SH-SY5Y cells. Data: mean ± s.e.m (b, k–m, q) and mean ± SD (c, d, i). Significance was determined by the unpaired two-tailed Student’s t-test (c, d, i), one-way ANOVA with Bonferroni’s test (b, k–m, q). ns: nonsignificant. In vitro: n = 3 biological replicates (b, c, f, g, k–n, p, q); n = 7 biological replicates (i [4th-3′UTR oe-PCBP2 group]); n = 8 biological replicates (d, i [other groups]). Source data are provided as a Source Data file.