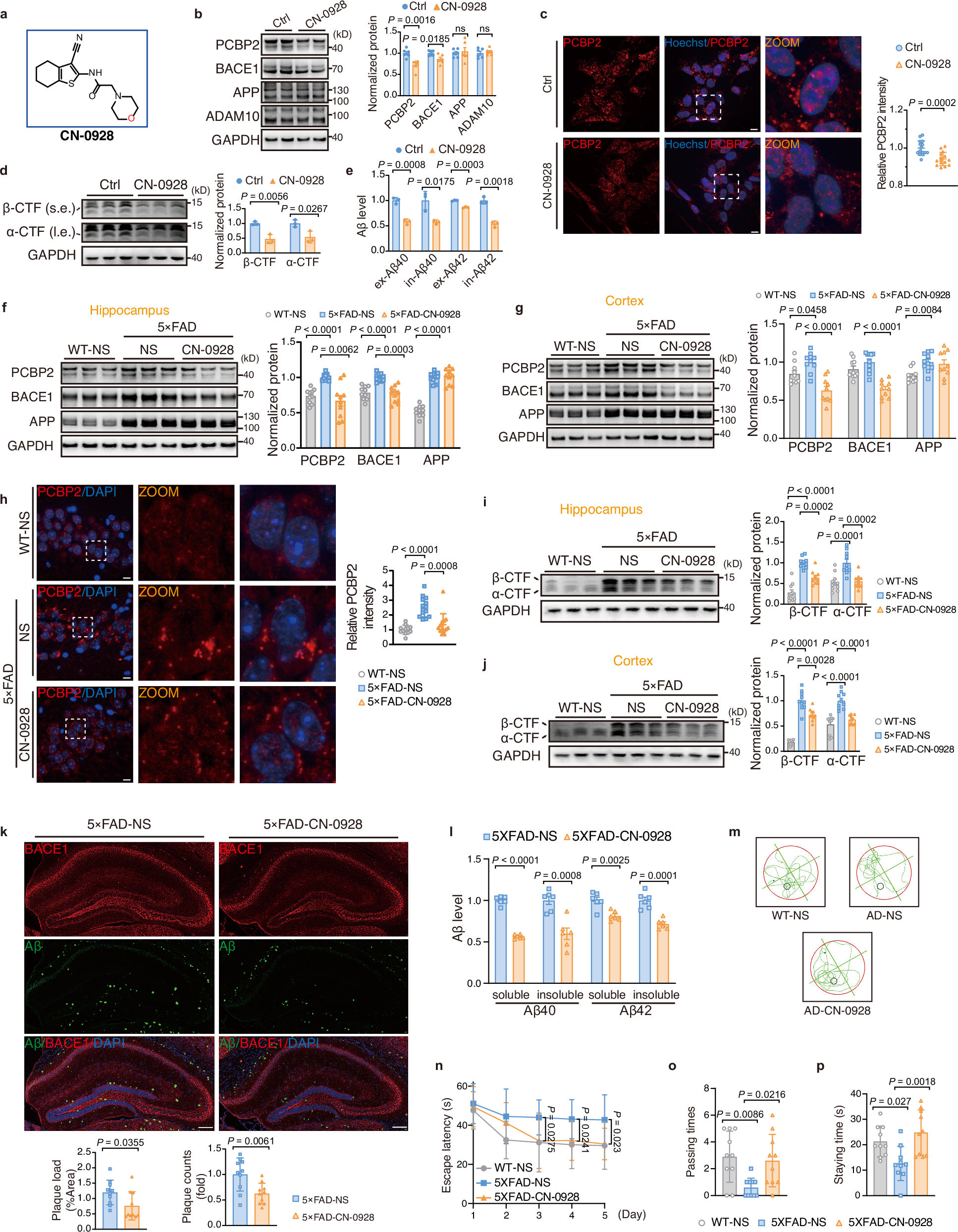
Fig. 6: Small-molecule CN-0928 inhibits condensates by reducing PCBP2 levels and alleviates AD.
From: Pharmacologic inhibition of PCBP2 biomolecular condensates relieves Alzheimer’s disease

a Chemical Structure of CN-0928. b–e Cells were treated with either DMSO or CN-0928 (1 μM) for 48 h. b Western blots (left) and quantification (right) of PCBP2, BACE1, APP, and ADAM10 in SH-SY5Y cells treated with CN-0928. c Live-cell imaging (left) and quantification (right) of PCBP2 condensates in SH-SY5Y-mCherry-PCBP2 cells incubated with CN-0928. Scale bar: 10 μm. d Western blots (left) and quantification (right) of α/β-CTFs. s.e. short exposure; l.e., long exposure. e Aβ40 and Aβ42 levels in cell lysates (in) and culture medium (ex) were measured by ELISA. f–p Male 5×FAD mice were injected with either normal saline (NS) or CN-0928. Wild-type (WT) mice received NS as the complete blank control. f, g Representative western blots (left) and quantification (right) of PCBP2, BACE1, and APP levels in the hippocampus (f) and cortex (g). h Representative immunofluorescence images (left) and quantification (right) of PCBP2 condensates in the hippocampus. Scale bars, 10 μm. i, j Representative western blots (left) and quantification (right) of α/β-CTFs levels in the hippocampus (i) and cortex (j). k Immunofluorescent labeling (upper) and quantification (lower) of Aβ deposits (green) in the hippocampus. Scale bar: 200 µm. l Soluble and insoluble Aβ40 and Aβ42 in the hippocampus were quantified using ELISA. m Representative trajectory maps for three groups of mice in the probe trials. n 5×FAD mice treated with CN-0928 exhibit a shorter escape latency compared with NS. o, p Passing times (o) and the staying time (p) in the target quadrant in different groups of mice. Data: mean ± s.e.m (b, f, g, i, j, l) and mean ± SD (c–e, h, k, n–p). Significance was determined by the unpaired two-tailed Student’s t-test (b–e, k, l), one-way ANOVA with Bonferroni’s test (g, i, j [α-CTF], n, p), Welch’s one-way ANOVA with Dunnett’s T3 post hoc test; Brown-Forsythe variance test (f, j [β-CTF], o), and Kruskal–Wallis test with Dunn’s post-test (h). ns: nonsignificant. In vitro: n = 3 biological replicates (c–e); n = 6 biological replicates (b). In vivo: n = 6 mice/group (h, l); n = 10 mice/group (f, g, i–k, n–p). Source data are provided as a Source Data file.