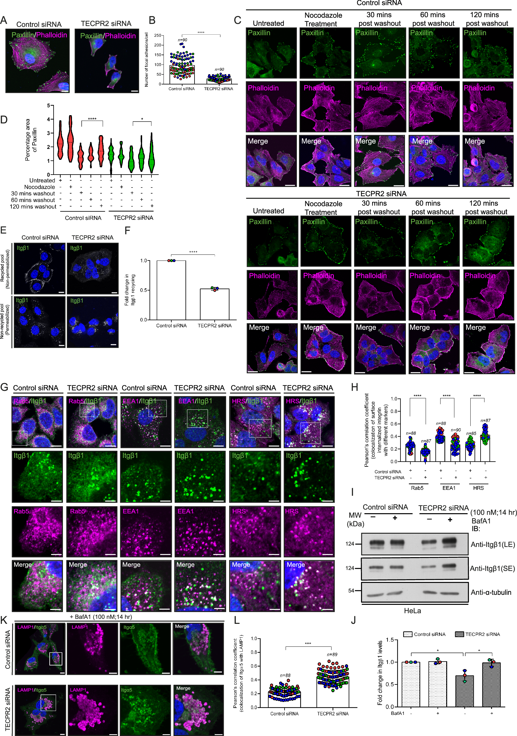
Fig. 5: TECPR2 mediates retrieval of the β1 integrin receptor from lysosomal degradation.

A Representative confocal micrographs of HeLa cells treated with indicated siRNA, followed by trypsinization and re-seeding on fibronectin. Cells were stained with anti-paxillin antibodies and phalloidin. Scale bar: 10 µm. B Quantification of the number of focal adhesions per cell from experiments such as those shown in the panel (A). The values are represented as described for Fig. 2B. The error bar represents mean ± SD from three independent experiments (****p < 0.0001; unpaired two-tailed Student’s t-test). C Representative confocal micrographs of HeLa cells treated with indicated siRNA and incubated with or without nocodazole, followed by washout for the indicated time points. The cells were then stained with anti-paxillin antibodies and phalloidin. Scale bar: 10 µm. D Quantification of the percentage area of paxillin per cell from experiments such as those shown in panel (C). A total of 30 cells were analyzed per experiment for each condition over three independent experiments. The values are represented as described for Fig. 4D (****p < 0.0001; *p = 0.0147; unpaired two-tailed Student’s t-test). E Representative confocal micrographs of the integrin recycling assay performed on HeLa cells treated with the indicated siRNA. Scale bar: 10 µm. F The graph represents the fold change in the ratio of surface (recycled) to internal (non-recycled) active Itgβ1 pools observed upon TECPR2 depletion normalized to control. The total number of cells analyzed was 81 and 83 for surface integrin and 101 and 100 for internal integrin for control and TECPR2 siRNA, respectively. The data shown is mean ± SD from three independent experiments. Experiments are color-coded, where each dot represents the mean value (****p < 0.0001; unpaired two-tailed Student’s t-test). G Representative confocal micrographs of HeLa cells subjected to recycling assay as shown in panel (E), and immunostained with indicated antibodies. Scale bars: 10 µm (main); 5 µm (inset). H Quantification of the Pearson’s colocalization coefficient (PCC) of the internal pool of active Itgβ1 with endosomal markers, such as that shown in panel (G). The values are represented as described for Fig. 2B. The error bar represents mean ± SD from three independent experiments (****p < 0.0001; unpaired two-tailed Student’s t-test). I Lysates of HeLa cells were treated with the indicated siRNA, followed by treatment with or without bafilomycin A1 (BafA1), and then immunoblotted (IB) using the specified antibodies. SE = Short Exposure; LE = Long Exposure. J Densitometric analysis of total Itgβ1 normalized to the loading control from experiments such as those shown in panel (I). The data shown is mean ± SD from three independent experiments. Experiments are color-coded, where each dot represents the mean value (*p = 0.0121 for control and TECPR2 siRNA without BafA1 treatment; *p = 0.0264 for TECPR2 siRNA with and without BafA1 treatment; unpaired two-tailed Student’s t-test). K Representative confocal micrographs of HeLa cells treated with the indicated siRNA and with BafA1. Cells were immunostained with indicated antibodies. Scale bars: 10 µm (main); 5 µm (inset). L Quantification of the PCC of Itgα5 with LAMP1 from experiments such as that shown in panel (K). The values are represented as described for Fig. 2B. The error bar represents mean ± SD from three independent experiments (****p < 0.0001; unpaired two-tailed Student’s t-test). Source data are provided as a Source Data file.