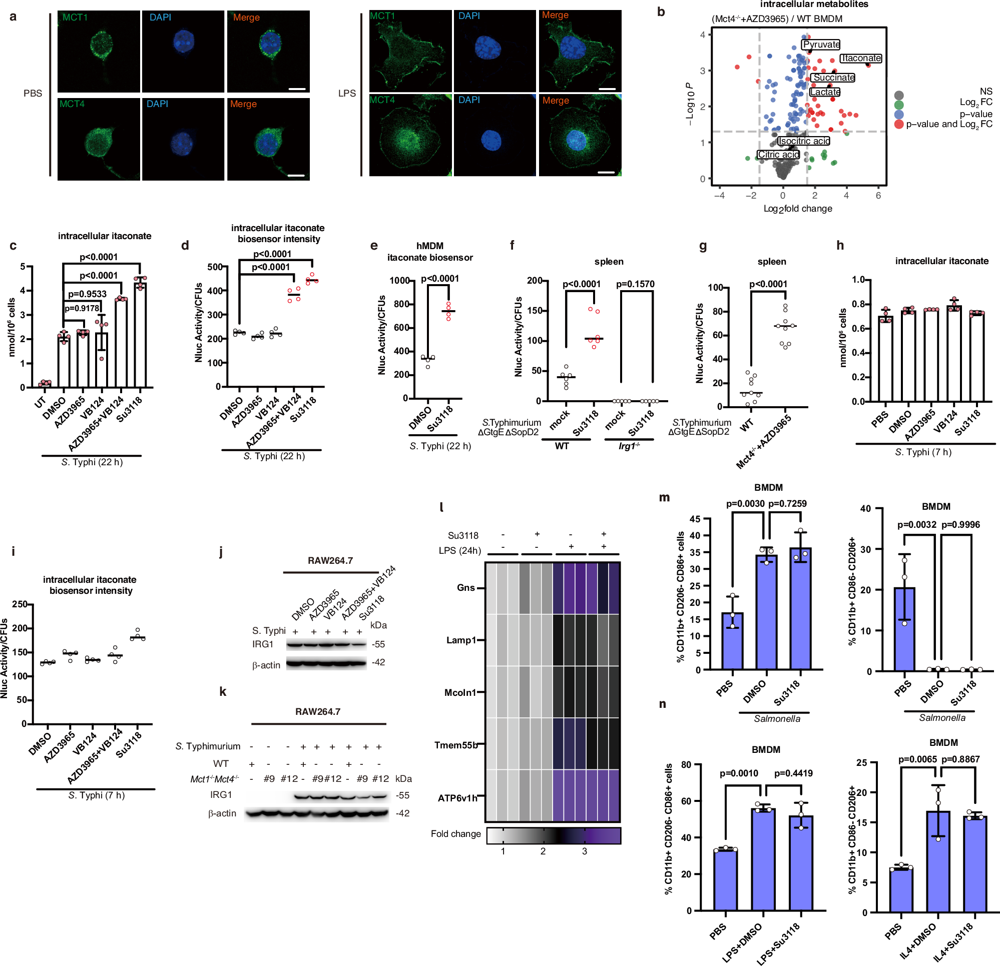
Fig. 2: The inhibition of MCT1 and MCT4 transport activity promotes the proportion of itaconate-targeted Salmonella.

a RAW264.7 cells ± LPS (100 ng/ml, 24 h) were stained with MCT1 or MCT4 (green) antibodies and DAPI (blue), and imaged. Scale bar, 10 μm. b Volcano plot of non-targeted metabolomics in AZD3965-treated Mct4−/− and WT BMDM ± LPS (100 ng/ml; AZD3965 0 or 100 nM). Red dots indicate significantly changed metabolites (p < 0.05, |Log2 FC| > 1.5; n = 6 biologically independent samples per group). FDR-adjusted p-values by two-tailed Student’s t-test. c, d, h, i Intracellular itaconate from RAW264.7 treated with the indicated inhibitors (Su3118 10 μM, AZD3965 1 μM, VB124 20 μM) and infected by S. Typhi was determined by LC-MS or itaconate biosensor. e Itaconate from hMDM treated with Su3118 (5 μM), and infected by S. Typhi was determined by itaconate biosensor. f, g WT, Irg1−/−, or Mct4−/− mice were injected I.P. with Su3118 (5 mg/kg) or AZD3965 (100 mg/kg), infected I.P. with S. Typhimurium ΔGtgEΔSopD2 (10⁴ CFU) for 24 h, and spleen nanoluciferase was measured. j, k RAW264.7 cell j treated with the inhibitors (Su3118 10 μM, AZD3965 1 μM, VB124 20 μM) were infected with S. Typhi for 22 h. WT or Mct1−/−Mct4−/− RAW264.7 cells (k) were infected with S. Typhimurium for 22 h. Lysates were immunoblotted for IRG1 and β-actin. l Relative mRNA levels of genes in BMDM treated with Su3118 (5 μM, 24 h), ± LPS (10 ng/ml, 24 h), were measured by RT-PCR, normalized to untreated cells, and shown as heatmaps (triplicates). m, n Flow cytometry of BMDM (infected with Salmonella or treated with Su3118, LPS, or IL-4) showing percentages of CD11b⁺CD86⁺CD206⁻ and CD11b⁺CD86⁻CD206⁺ cells. A two-tailed Student’s t-test was conducted for pairwise comparisons (e–g), while one-way ANOVA was used for multiple comparisons involving a single independent variable (c, d, m, n). Data are shown as the mean ± SD. Independent biological replicates-n = 3 (l, m, n); n = 4 (c–e, h, i); n = 6 in WT and n = 5 in Irg1−/− mice in f n = 9 (g). Source data are provided as a Source data file.