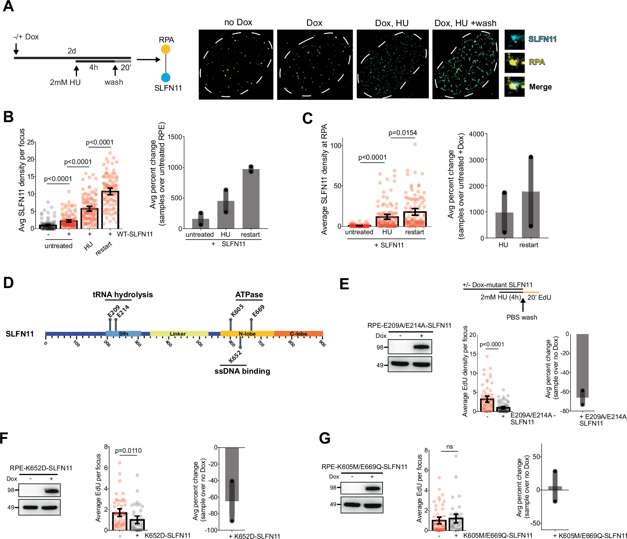
Fig. 4: SLFN11 persistently localizes with RPA at stalled replication forks.

A (Schematic) -/+ Dox RPEs were treated with 2āmM HU for 4āh to stall forks and released into fresh media to allow recovery (see schematic). Cells were stained with SLFN11 (cyan) and RPA (yellow) prior to and after HU treatment, and after release into fresh media for 20āmin (Right). B (Left) Scatterplot quantification measuring the average SLFN11 density per focus in PCNA+ nuclei. p-values of technical replicates calculated using multiple unpaired two-tailed t-test from two biological replicates (No Dox: Nā=ā107; Dox: Nā=ā130; Dox, HU: Nā=ā96; Dox, restart: Nā=ā95). Error barsā=āmean, SEM. (Right) Bar graph showing the percent change of between the average of two biological replicates, each normalized to the lowest mean condition relative to no Dox-RPEs. C (Left) Scatterplot quantification measuring the average SLFN11 density at RPA per focus in PCNA+ nuclei using pair correlation analysis. p-values of technical replicates calculated using multiple unpaired two-tailed t-test from two biological replicates (Dox, no HU: Nā=ā104; Dox, HU: Nā=ā106; Dox, restart: Nā=ā95). Error barsā=āmean, SEM. (Right) Bar graph showing the percent change of between the average of two biological replicates, each normalized to the lowest mean condition relative to Dox RPEs with no HU. D Schematic of previously described SLFN11 functional domains and relevant amino acid residues: E209 and E214 (endonuclease), K605 and E669 (ATPase), and K652 (single-stranded DNA binding). Dox-inducible expression of mutant SLFN11 constructs containing point mutations in each of these domains was generated in RPE-1 cells using lentiviral transduction (see āMethodsā). E Whole cell lysates of E209A/E214A-SLFN11 RPEs were analyzed by Western blot for SLFN11 (top) and alpha-tubulin (bottom). Schematic of mutant SLFN11 RPEs treated with 2āmM HU for 4āh, followed by release into fresh media with EdU after washout to measure fork restart. (Left) Scatterplot quantification measuring the average EdU density per focus in PCNA+ nuclei. p-values of technical replicates calculated using an unpaired two-tailed t-test from two biological replicates (no Dox: Nā=ā65, Dox: Nā=ā73). Error barsā=āmean, SEM. (Right) Bar graph showing the percent change of between the average of two biological replicates, each normalized to the lowest mean condition relative to no Dox. F Whole cell lysates of K652D-SLFN11 RPEs were analyzed by Western blot as in (E). (Left) Scatterplot quantification measuring the average EdU density per focus in PCNA+ nuclei. p-values of technical replicates calculated using an unpaired two-tailed t-test from two biological replicates (no Dox: Nā=ā51, Dox: Nā=ā43). Error barsā=āmean, SEM. (Right) Bar graph showing the percent change of between the average of two biological replicates, each normalized to the lowest mean condition relative to no Dox. G Whole cell lysates of K605M/E669Q-SLFN11 RPEs were analyzed by Western blot as in (E). (Left) Scatterplot quantification measuring the average EdU density per focus in PCNA+ nuclei. p-values of technical replicates calculated using an unpaired two-tailed t-test from two biological replicates (no Dox: Nā=ā55, Dox: Nā=ā42). Error barsā=āmean, SEM. (Right) Bar graph showing the percent change of between the average of two biological replicates, each normalized to the lowest mean condition relative to no Dox.