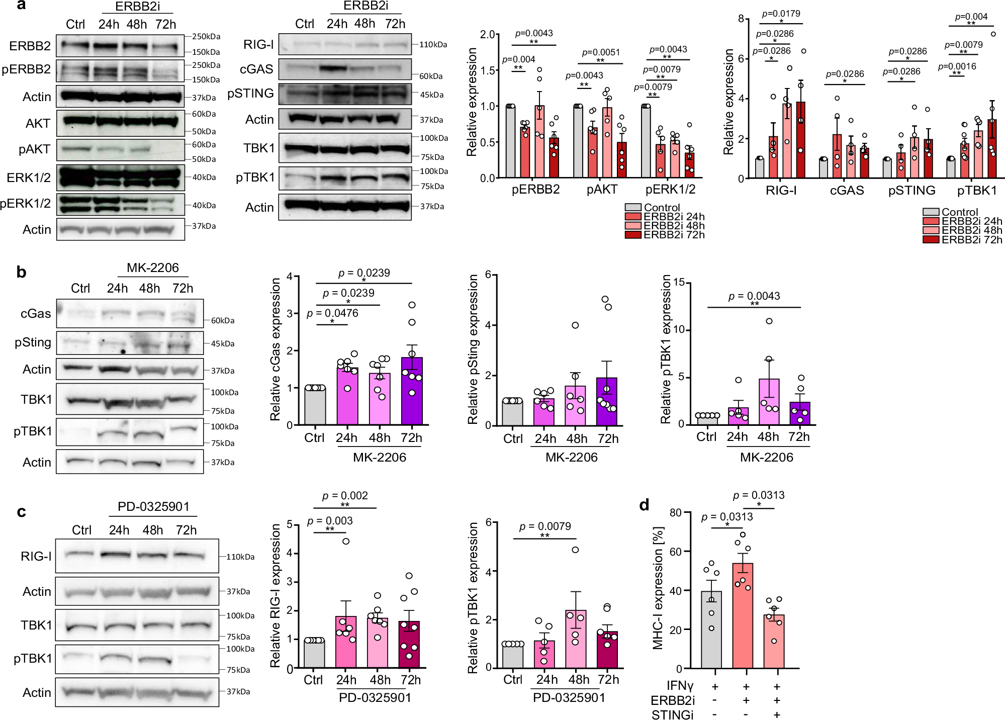
Fig. 4: ERBB2 regulates MHC-I via MAPK-AKT-TBK1 signaling.

a Western blot and corresponding quantification of relative protein quantity and phospho-protein status in mSCLC P1 treated with DMSO (1 µL, control) or ERBB2i (mubritinib, 1 µM) for 24–72 h (two-sided Mann–Whitney test; n = 4 and 5 biological replicates, respectively). b Western blot and corresponding quantification in mSCLC P1 treated with DMSO (1 µL, control) or MK-2206 (1 µM) for 24–72 h (two-sided Mann–Whitney test; n = 6). c Western blot and corresponding quantification in mSCLC P1 treated with of DMSO (1 µL, control) or PD-0325901 (1 µM) for 24–72 h (two-sided Mann–Whitney test; n = 4 and 5, respectively). d Percent of relative MHC-I expression after treatment with IFNγ only (40 ng/mL), IFNγ + ERBB2 inhibitor mubritinib (1 µM) or IFNγ + ERBB2 inhibitor mubritinib + STINGi (1 µM each) (two-sided, unpaired Student’s t-test; n = 6 biological replicates per group). Western blots were quantified by densitometry and band intensities were normalized to β-Actin and expressed relative to the control group. Data are represented as mean ± SEM. *p < 0.05, **p < 0.01. Source data are provided as a Source Data file.