Fig. 1: Colon stem cell-specific ALKBH5 knockin accelerates CRC initiation and promotes stemness features.
From: Targeting of the m6A eraser ALKBH5 suppresses stemness and chemoresistance of colorectal cancer

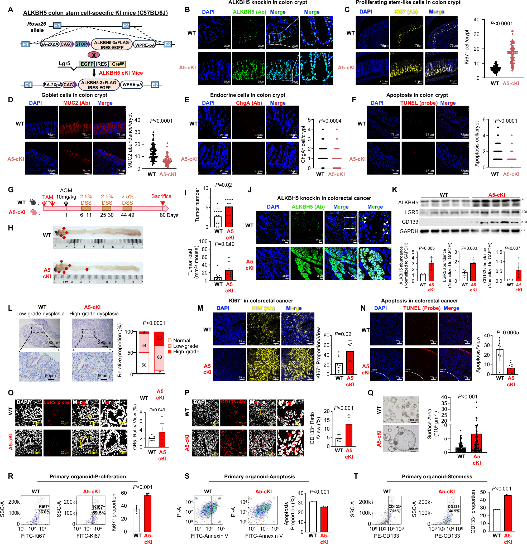
A Schematic diagram for the construction of colon stem cell-specific Alkbh5 knockin mice (Rosa26lsl-Alkbh5LGR5-CreERT2). B ALKBH5 knockin efficacy in colon crypts by anti-ALKBH5 (anti-ALKBH5 antibody). C Ki67 abundance as determined by IF staining (anti-Ki67 antibody, n = 89 crypts for WT mice, n = 89 crypts for A5-cKI mice. Student’s t-test, two-sided.) D MUC2 abundance as determined by IF staining (anti-MUC2 antibody, n = 127 crypts for WT mice, n = 89 crypts for A5-cKI mice. Student’s t-test, two-sided). E ChgA abundance as determined by IF staining (anti-ChgA antibody, n = 100 crypts for WT mice, n = 65 crypts for A5-cKI mice. Student’s t-test, two-sided). F Apoptosis as determined by TUNEL staining (anti-TUNEL probe, n = 58 crypts for WT mice, n = 58 crypts for A5-cKI mice. Student’s t-test, two-sided). G AOM-DSS-induced CRC study design. The diagram is created in BioRender. Chou, H. (2025) https://BioRender.com/uax7xbx. H Representative images of colon tumors after harvesting. I Colon tumor number (Student’s t-test, two-sided) and load (Student’s t-test, two-sided), (n = 11 for WT mice and n = 12 for A5-cKI mice). J ALKBH5 knock in efficacy in tumor tissues was validated by IF staining (anti-ALKBH5 antibody). K Western blot of Alkbh5 and LGR5 and CD133 expression in tumor tissues (upper panel). Quantitative analysis of ALKBH5, LGR5 and CD133 (n = 5, each dot represents an independent mouse. Student’s t-test, two-sided) protein expression, normalized to GAPDH (lower panel). L Representative images of H&E staining and pathological grading into LGD, HGD and adenocarcinoma (Chi-square, two-sided). Presented data is representative of 2 independent batches of transgenic mice. M Ki67 expression as determined by IF staining (anti-Ki67 antibody, n = 9 for WT mice, n = 7 for A5-cKI mice. Student’s t-test, two-sided). N Apoptosis as determined by TUNEL staining (anti-TUNEL probe, n = 8 for WT mice, n = 9 for A5-cKI mice. Student’s t-test, two-sided). O LGR5 (anti-LGR5 mRNA probe) expression as determined by FISH staining (n = 8 for WT mice, n = 8 for A5-cKI mice. Student’s t-test, two-sided). P CD133 (anti-CD133 antibody) expression as determined by IF staining (n = 9 for WT mice, n = 6 for A5-cKI mice. Student’s t-test, two-sided). Q Self-renewal capacity of primary CRC organoid (WENR medium) from WT mice and A5-cKI mice under a light microscope (left panel). Surface area of CRC organoids from WT mice and A5-cKI mice (right panel, n = 107 organoids for WT mice, n = 79 organoids for A5-cKI mice. Student’s t-test, two-sided). R KI67+ proportion of primary CRC organoid from WT mice and A5-cKI mice as determined by flow cytometry (n = 4, each dot represents an independent sample. Student’s t-test, two-sided). S Apoptosis cells of primary CRC organoid from WT mice and A5-cKI mice as determined by flow cytometry (n = 4, each dot represents an independent sample. Student’s t-test, two-sided). T CD133+ proportion of primary CRC organoid from WT mice and A5-cKI mice as determined by flow cytometry (n = 4, each dot represents an independent sample. Student’s t-test, two-sided). Centers and error bars represent mean and Standard deviation, respectively.