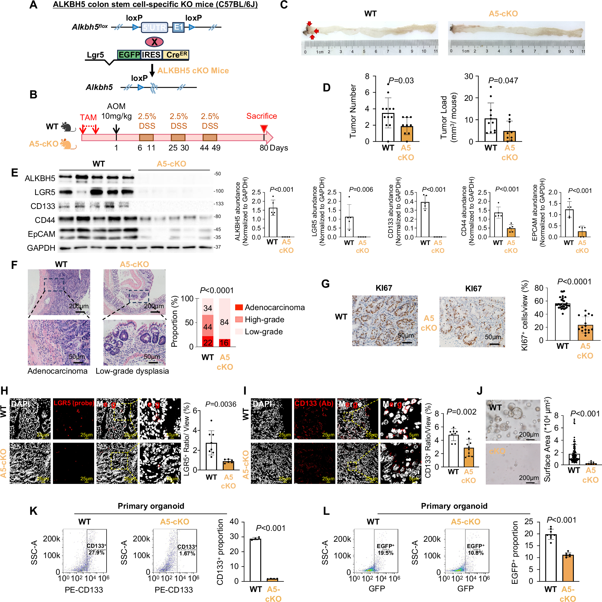
Fig. 2: Colon stem cell-specific ALKBH5 knockout inhibits CRC initiation and stemness features.
From: Targeting of the m6A eraser ALKBH5 suppresses stemness and chemoresistance of colorectal cancer

A Schematic diagram for the construction of colon stem cell-specific Alkbh5 knockout mice (Alkbh5flox/flox LGR5-CreERT2). B AOM-DSS-induced CRC workflow. The diagram is created in BioRender. Chou, H. (2025) https://BioRender.com/uax7xbx. C Representative images of colon tumors after harvesting. D Tumor number (Student’s t-test, two-sided) and load (Student’s t-test, two-sided). (n = 11 for WT mice and n = 9 for A5-cKO mice). E Western blot validation of Alkbh5 knockout and LGR5, CD133, CD44 and EpCAM in tumor tissues (left panel). Quantitative analysis of ALKBH5, LGR5, CD133, CD44 and EpCAM (n = 5, each dot represents an independent mouse. Student’s t-test, two-sided) protein expression, normalized to GAPDH (right panel). F Representative images of H&E staining and pathological analysis of LGD, HGD and adenocarcinoma (Chi-square, two-sided). Presented data is representative of 2 independent batches of transgenic mice. G Ki67 abundance as determined by IHC staining (anti-KI67 antibody, n = 32 for WT mice, n = 16 for A5-cKO mice. Student’s t-test, two-sided). H LGR5 (anti-LGR5 mRNA probe) expression as assessed by FISH staining (n = 8 for WT mice, n = 6 for A5-cKO mice. Student’s t-test, two-sided). I CD133 (anti-CD133 antibody) expression as assessed by IF staining (n = 8 for WT mice, n = 10 for A5-cKO mice. Student’s t-test, two-sided). J Growth of primary organoids (WENR medium) from Alkbh5 knockout mice observed under microscope (left panel). Surface area of CRC organoids from WT mice and A5-cKO mice (right panel, n = 92 organoids for WT mice, n = 8 organoids for A5-cKO mice. Student’s t-test, two-sided). K CD133+ proportion of primary CRC organoid from WT mice and A5-cKO mice as determined by flow cytometry (n = 4, each dot represents an independent sample. Student’s t-test, two-sided). L LGR5EGFP+ proportion of primary CRC organoid from WT mice and A5-cKO mice as determined by flow cytometry (n = 8 for WT and n = 6 for A5-cKO, each dot represents an independent sample. Student’s t-test, two-sided). Centers and error bars represent mean and Standard deviation, respectively.