Fig. 3: AMFR mediates the K48-linked TSPAN4 ubiquitination to regulate migrasome formation.
From: O-GlcNAcylation of AMFR stabilizes TSPAN4 to regulate migrasome formation for viral release

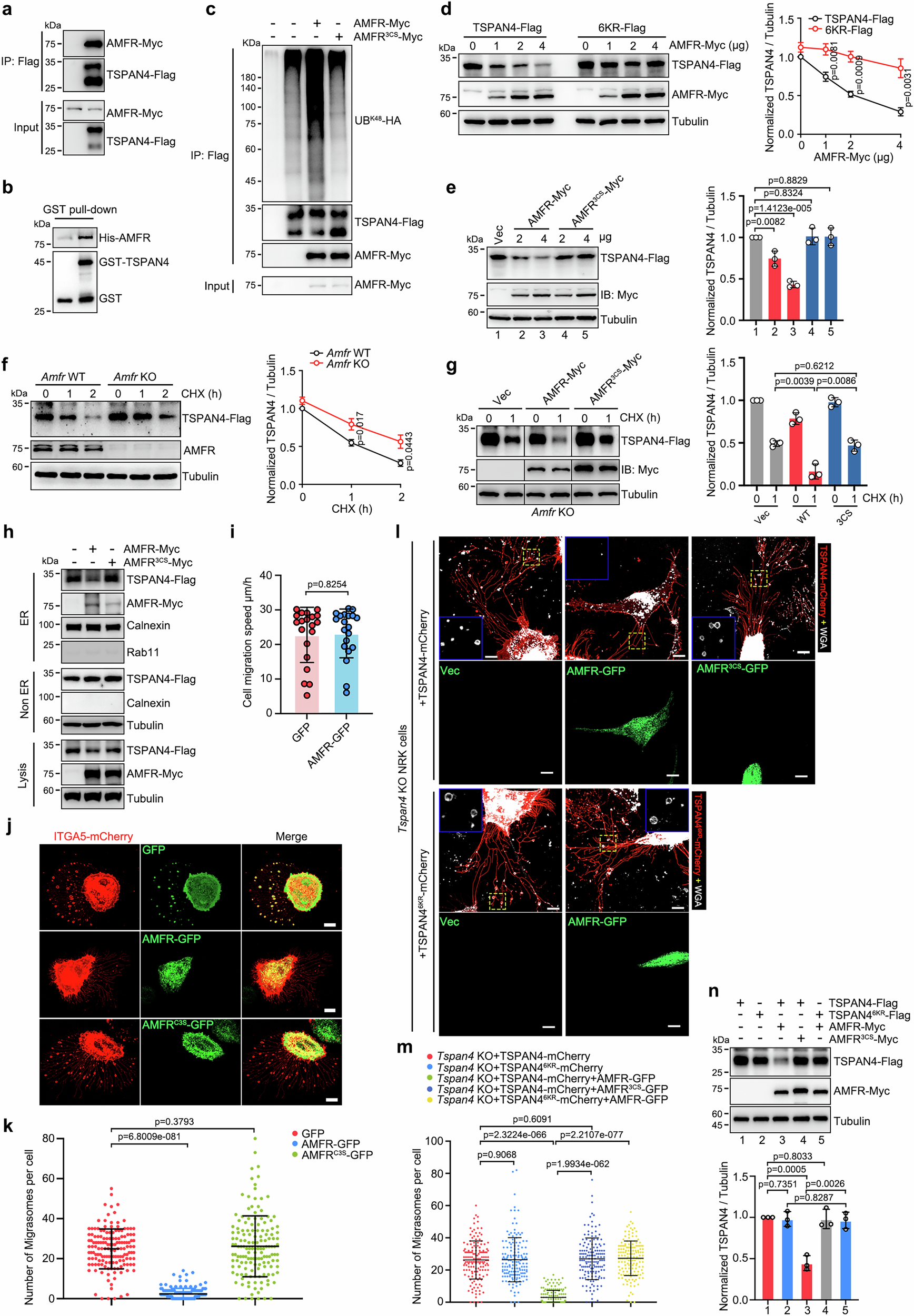
a Co-immunoprecipitation analysis of TSPAN4-Flag with AMFR-Myc in HEK293T cells (n = 3 independent experiments). Source data are provided as a Source Data file. b Purified His-AMFR was incubated with purified GST or GST-TSPAN4, and analysis of the interactions between AMFR and TSPAN4 by in vitro GST pull-down was performed (n = 3 independent experiments). Source data are provided as a Source Data file. c AMFR overexpression enhances the ubiquitin level of TSPAN4. HEK293T cells were transfected with TSPAN4-Flag, HA-UbK48, and AMFR-Myc or mutant AMFR3CS-Myc for 36 h. Lysates were subjected to Flag immunoprecipitation and analyzed via WB (n = 3 independent experiments). Source data are provided as a Source Data file. d HeLa cells were transfected with indicated plasmids for 24 h, and lysates were analyzed via WB. Relative intensity of TSPAN4 and TSPAN46KR of three independent experiments normalized to Tubulin, was quantified. Error bars, mean ± SD. Two-tailed Unpaired Student’s t-test. Source data are provided as a Source Data file. e HeLa cells stably expressing TSPAN4-Flag were transfected with gradient AMFR-Myc or point mutant AMFR3CS-Myc for 24 h. Lysates were analyzed via WB. Relative intensity of TSPAN4 of three independent experiments normalized to Tubulin, was quantified. Error bars, mean ± SD. Two-tailed Unpaired Student’s t-test. Source data are provided as a Source Data file. f WT or Amfr KO HeLa cells stably expressing TSPAN4-Flag were treated with 100 μM CHX for indicated time. Lysates were analyzed via WB. Relative intensity of TSPAN4 of three independent experiments normalized to Tubulin, was quantified. Error bars, mean ± SD. Two-tailed Unpaired Student’s t-test. Source data are provided as a Source Data file. g Amfr KO HeLa cells stably expressing TSPAN4-Flag were transfected with AMFR-Myc or AMFR3CS-Myc for 24 h, and harvested before 1 h with or without 100 μM CHX treatment. Lysates were analyzed via WB. Relative intensity of TSPAN4 of three independent experiments normalized to Tubulin, was quantified. Error bars, mean ± SD. Two-tailed Unpaired Student’s t-test. Source data are provided as a Source Data file. h Subcellular fractions were isolated from HeLa cells stably expressing TSPAN4-Flag transfected with AMFR-Myc or AMFR3CS-Myc. Calnexin represent the ER, Rab11 represent endosomes, and Tubulin represents cytoplasm, respectively. Source data are provided as a Source Data file. i Quantification of the migration speed of GFP or AMFR-GFP expressing NRK cells. 20 cells of two independent experiments were counted. Error bars, mean ± SD. Two-tailed Unpaired Student’s t-test. Source data are provided as a Source Data file. j, k NRK-ITGA5-mCherry cells were transfected with GFP, AMFR-GFP, or AMFR3CS-GFP. Cells were imaged by confocal microscopy. Green, GFP, AMFR-GFP, and AMFR3CS-GFP; red, ITGA5-mCherry; yellow, Merge. Number of migrasomes from the cells in (j); n = 150 cells per group from three independent experiments. Scar bar represents 10 μm. Error bars, mean ± SD. Two-tailed Unpaired Student’s t-test. Source data are provided as a Source Data file. l, m Tspan4 KO NRK cells were transfected with TSPAN4-mCherry or TSPAN46KR-mCherry, with or without GFP, AMFR-GFP, or AMFR3CS-GFP. Wheat germ agglutinin (WGA) was used to stain migrasomes. Green, Vec, AMFR-GFP and AMFR3CS-GFP; red, TSPAN4-mCherry and TSPAN46KR-mCherry; white, Migrasomes. Scar bar represents 10 μm. Cells were imaged by confocal microscopy. Number of migrasomes from the cells in (l); n = 150 cells per group from three independent experiments. Error bars, mean ± SD. Two-tailed Unpaired Student’s t-test. Source data are provided as a Source Data file. n Tspan4 KO Hela cells were transfected with the indicated plasmids for 24 h. Lysates were analyzed via WB. Relative intensity of TSPAN4 and TSPAN46KR of three independent experiments normalized to Tubulin, was quantified. Error bars, mean ± SD. Two-tailed Unpaired Student’s t-test. Source data are provided as a Source Data file.