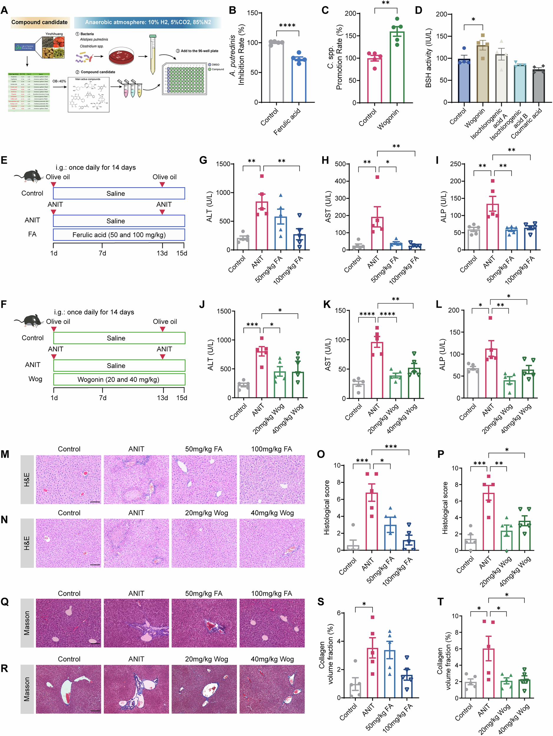
Fig. 4: Ferulic acid and wogonin, which A. putredinis and C. spp., ameliorate cholestasis.

A Schematic flow diagram for screening active compounds. B Effect of ferulic acid on the growth of A. putredinis in vitro (n = 5). C Effect of wogonin on the growth of C. spp. in vitro (n = 5). D The indicated compounds on the BSH activity of C. spp. in vitro (n = 4). D–F The experimental design scheme. G–I Serum ALT, AST and ALP in control, ANIT and FA treatment groups (n = 5). J–L Serum ALT, AST and ALP in control, ANIT and Wog treatment groups (n = 5). M, N Representative images of liver sections after staining with H&E (100 μm). O, P Quantification of histological score (n = 5). Q, R Representative images of liver sections after staining with Masson (Q: 100 μm, R: 200 μm). S, T Quantification of collagen volume fraction (%) (n = 5). Data are represented as mean ± SEM. *p < 0.05, **p < 0.01, ***p < 0.001, ****p < 0.0001. OB oral bioavailability, DMSO dimethyl sulfoxide, ANIT alpha-naphthyl isothiocyanate, A. putredinis Alistipes putredinis, C. spp. Clostridium spp., BSH bile salt hydrolase, FA ferulic acid, Wog wogonin, i.g. intragastric administration, ALT alanine aminotransferase, AST aspartate transaminase, ALP alkaline phosphatase, H&E hematoxylin and eosin.