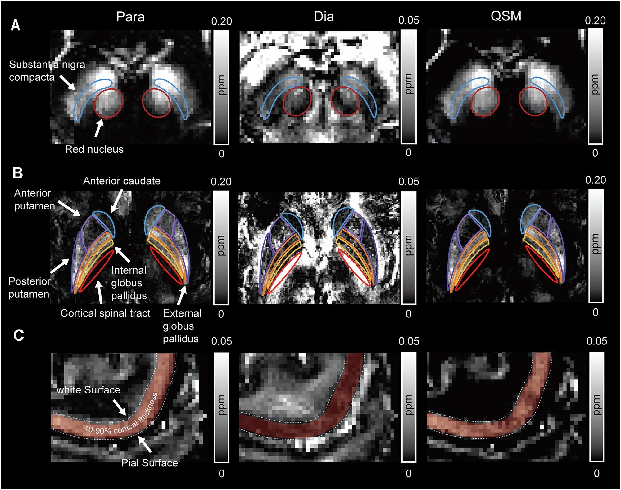
Fig. 5: Regions of interest shown in paramagnetic, diamagnetic, and quantitative susceptibility images.

The ROIs included A substantia nigra pars compacta and red nucleus, B anterior putamen, posterior putamen, anterior caudate, internal and external globus pallidus, and cortical spinal tract, C precentral gyrus. Para paramagnetic susceptibility mapping, Dia diamagnetic susceptibility mapping, QSM quantitative susceptibility mapping, ppm parts per million.