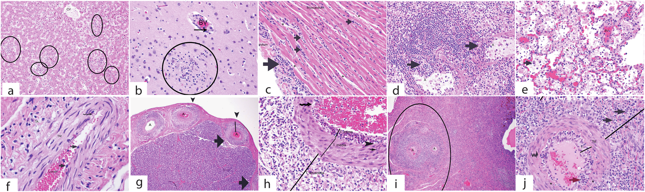
Fig. 7: Histopathology, in control (a-f) and vaccinated (g-j) NHPs.

a Liver. Multifocal necrosis and loss of hepatocytes (circled) that disrupt normal hepatic cord architecture were observed. b Brain. Within the neuropil, there is increased cellularity (circled), and the blood vessel (BV) wall is expanded by necrotic debris (arrow) and inflammatory cells. c Heart. The epicardium and myocardial interstitium is expanded by inflammatory cells (arrows) composed of lymphocytes, macrophages, and neutrophils. Note the increased clear space between myocardiocytes (asterisks), indicating edema. The myocardiocytes appear normal. d Spleen. The arteries (A) are disrupted. The tunica intima, media, and adventitia are disrupted and expanded by inflammatory cells (arrows). These cells are primarily lymphocytes and neutrophils. e Lung. Interstitial pneumonia and most of the alveolar spaces (asterisk) are filled with edema, fibrin, inflammatory cells (arrow), and hemorrhage. There is vasculitis present. The blood vessel (BV) wall is ill-defined and expanded by edema, inflammation, and necrotic debris. f Kidney. Note the intact extremely thin tunica intima with endothelial cell nuclei present (arrows). Note the intact internal elastic lamina (squiggle arrow), the smooth muscle of the tunica media (TM), and few cells and abundant collagen fibers of the tunica adventitia (TA). g Testicle. Note the polyarteritis nodosa of the testicular arteries (A). The arteries have a nodular appearance, compress underlying testicle (arrows), and elevate the surface (arrowheads). h Testicle. Expansion of the tunica intima by infiltration of macrophages and neutrophils. The intact internal elastic lamina (squiggle arrow) is disrupted at the arrowhead. The tunica media contains necrotic debris (arrow), and the tunica adventitia is greatly expanded by inflammatory cells and clear space (edema). i Uterus. Note the polyarteritis nodosa of the uterine arteries (A) (circled). Note the tunica intima (TI) is expanded, proliferative, and infiltrated by macrophages, neutrophils, and necrotic debris (red arrow). j Uterus. The internal elastic lamina (squiggle arrow) remains intact in this section. The tunica adventitia (TA) is greatly expanded by inflammatory cells (black arrows).