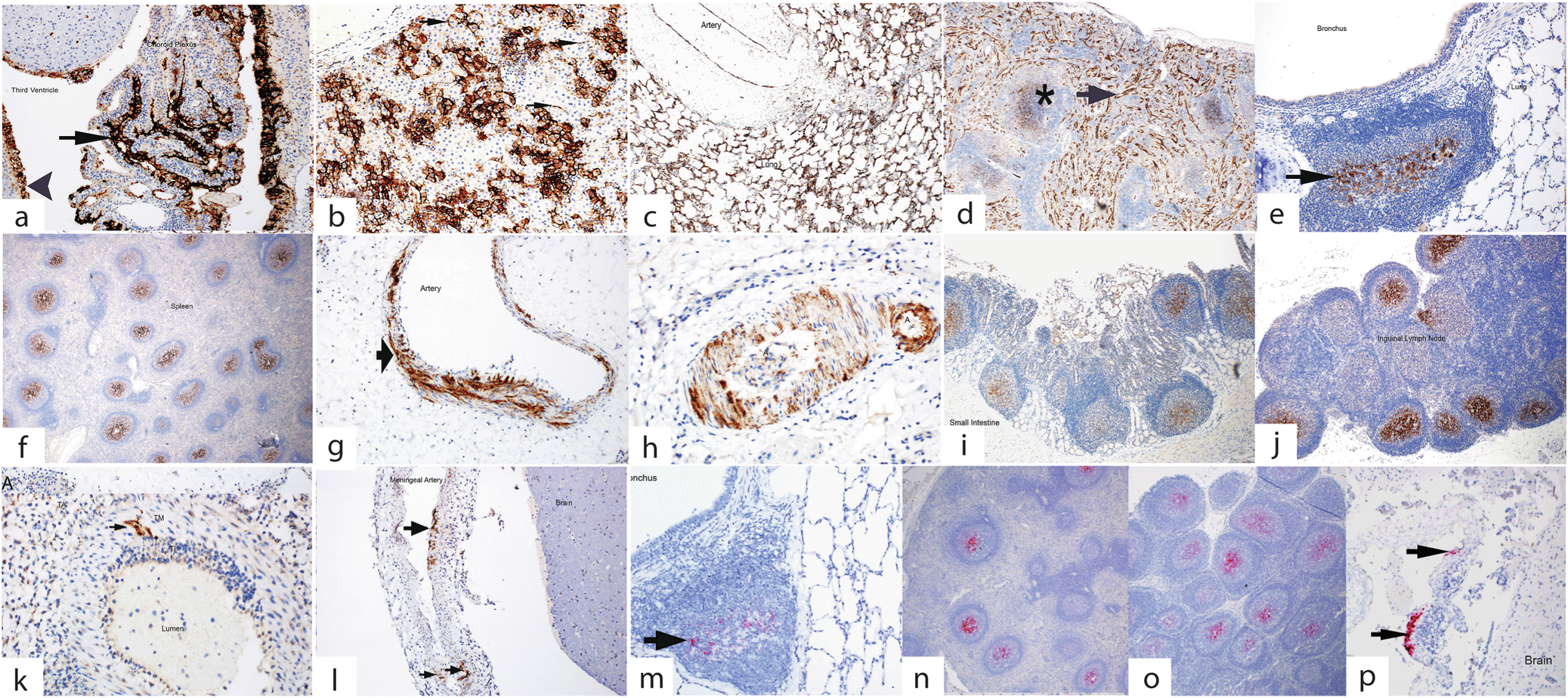
Fig. 8: Immunohistochemistry and In Situ Hybridization in control (a-d) and vaccinated (e-p) NHPs.

a Brain, choroid plexus, and third ventricle. Strong IHC positivity in choroid plexus cuboidal cells (arrow) and ependymal cells of the third ventricle (arrowhead). b Liver. Strong LASV IHC positivity in hepatocytes and endothelium of hepatic sinuses (arrows). c Lung. Strong LASV IHC positivity of endothelium of artery and interstitium. d Spleen. Strong LASV IHC positivity of endothelium of venous sinuses (arrow) of the red pulp. Additionally, there is positivity in the germinal centers of the white pulp (asterisk), likely FRCs or follicular dendritic cells FDCs. e Lung. Strong LASV IHC positivity in the germinal center of BALT. f Spleen. Strong LASV IHC positivity in the germinal centers of the white pulp. g Lung. Strong LASV IHC positivity in the smooth muscle of the tunica media of a muscular artery. h Kidney. Strong LASV IHC positivity in the smooth muscle of the tunica media of a muscular artery. i Small Intestine. Strong LASV IHC positivity in the germinal centers of GALT. j Inguinal Lymph Node. Strong LASV IHC positivity in the germinal centers of lymphoid follicles. k Testicle. LASV IHC positivity in the smooth muscle (arrow) of the tunica media (TM) of a muscular artery. Additionally, this artery displays proliferative and necrotizing arteritis. l Brain. There is strong LASV IHC positivity in the smooth muscle of the tunica media (arrows) of a meningeal muscular artery. m Lung. Strong LASV ISH positivity in the germinal center of BALT (arrow). n Spleen. Strong LASV ISH positivity in the germinal centers of the white pulp. o Inguinal Lymph Node. Strong LASV ISH positivity in the germinal centers of lymphoid follicles. p Brain. Strong LASV ISH positivity in the meningeal artery smooth muscle (arrows).