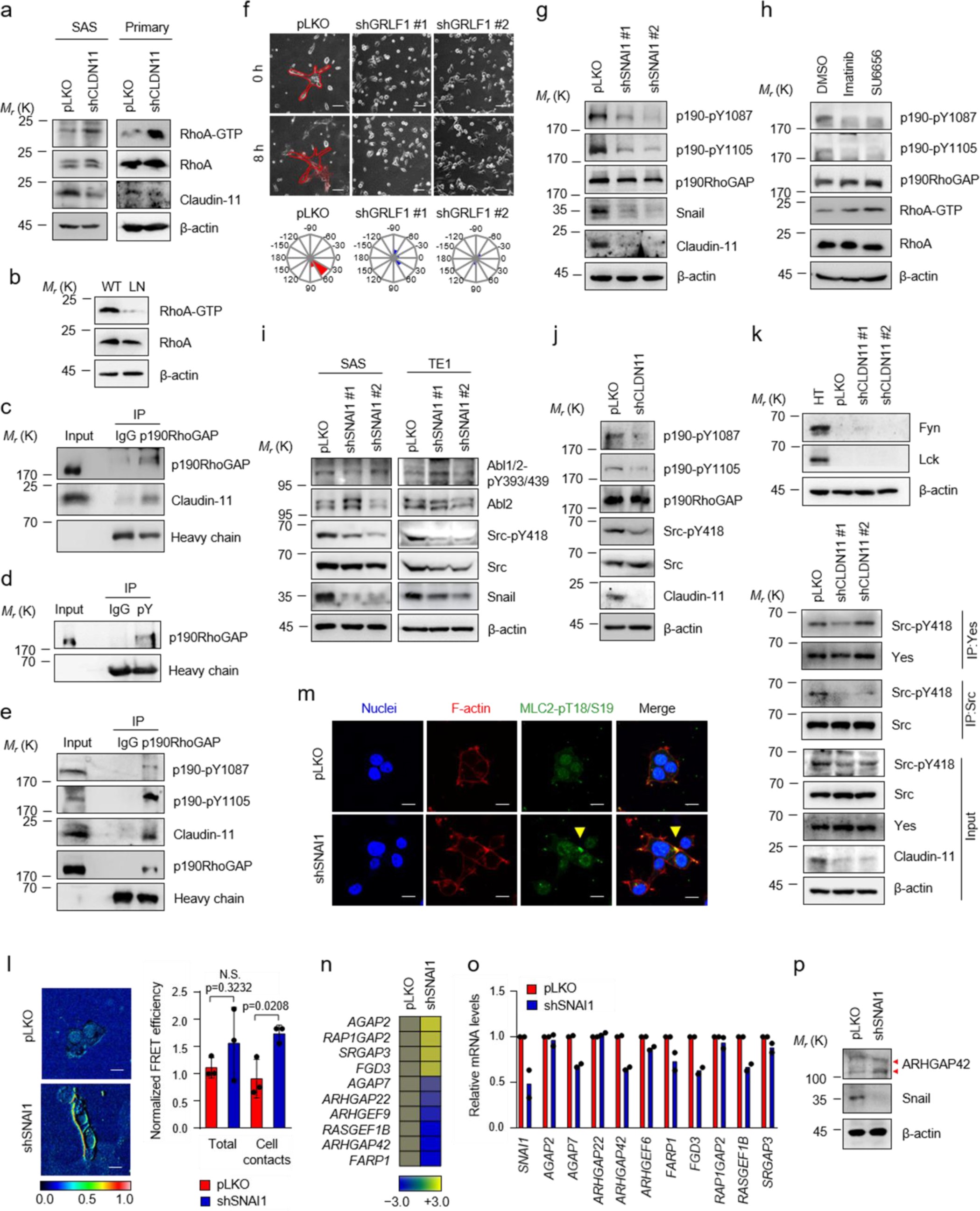
Supplementary Figure 4: Claudin-11 inactivates RhoA via Src-phosphorylated p190RhoGAP.
From: Snail-induced claudin-11 prompts collective migration for tumour progression

(a) A pull down assay indicated the level of RhoA-GTP in pLKO/shCLDN11 cells and (b) in SAS-WT vs. SAS-LN cells. (c), (d) and (e) Immunoprecipitation-western blots of indicated proteins in SAS cells. (f) Left: representative snapshots from phase-contrast videos of TE1-pLKO/TE1-shGRLF1 cells moving on collagen gels. Scale bars, 100 μm. Lower: directionality of migration (n = 10 cells). The data is representative of three independent experiments with similar results. (g) Western blots analysis of the levels of indicated proteins in SAS-pLKO/SAS-shSNAI1. (h) A pull down assay for detecting the RhoA-GTP, and western blots for examining the levels of indicated proteins in SAS cells (imatinib, 10 μM; SU6656, 10 μM). (i) Western blots for the indicated proteins in pLKO/shSNAI1 cells. (j) Western blots for the indicated proteins in pLKO/shCLDN11 primary HNSCC cells in 3D for 3 h. (k) Immunoprecipitation-western blots for determining the phosphorylation status of Y418 residue of Src family in SAS-pLKO/SAS-shCLDN11 cells. (l) Left: FRET images of the pTriEx-RhoA biosensor-expressed SAS-pLKO/SAS-shSNAI1 cells. Right: quantification of normalized FRET efficiency ratio signal (n = 3 independent experiments). Data represent mean ± S.D. (two-sided Student’s t test). N.S., no significance. (m) Representative immunofluorescent images for showing the localization MLC2-pT18/S19 in SAS-pLKO/SAS-shSNAI1. Yellow arrows indicate the co-localization of MLC2-pT18/S19 and F-actin. Scale bars, 10 μm. (n) A heatmap showing the expression of genes encoding GEFs and GAPs in SAS-pLKO/SAS-shSNAI1. (o) RT-qPCR for validation of the expression of GEFs and GAPs in SAS-pLKO/SAS-shSNAI1 (n = 2 independent experiment). Data represent mean values. (p) Western blots of ARHGAP42 in SAS-pLKO/SAS-shSNAI1. Red arrows indicate the positions of ARHGAP42. All cells were cultured in 2.5D with the exception of (j) in 3D. (a), (b), (h), (k), (m) and (n) was from one experiment. The representative data (c), (d), (e), (g), (i), (j) and (p) were from two independent experiments with similar results. Uncropped images of all blots are shown in Supplementary Figure 8. Source data is provided in Supplementary Table 11.