Supplementary Fig. 9: Unprocessed images of all gels and blots.
From: The lysosomal GPCR-like protein GPR137B regulates Rag and mTORC1 localization and activity






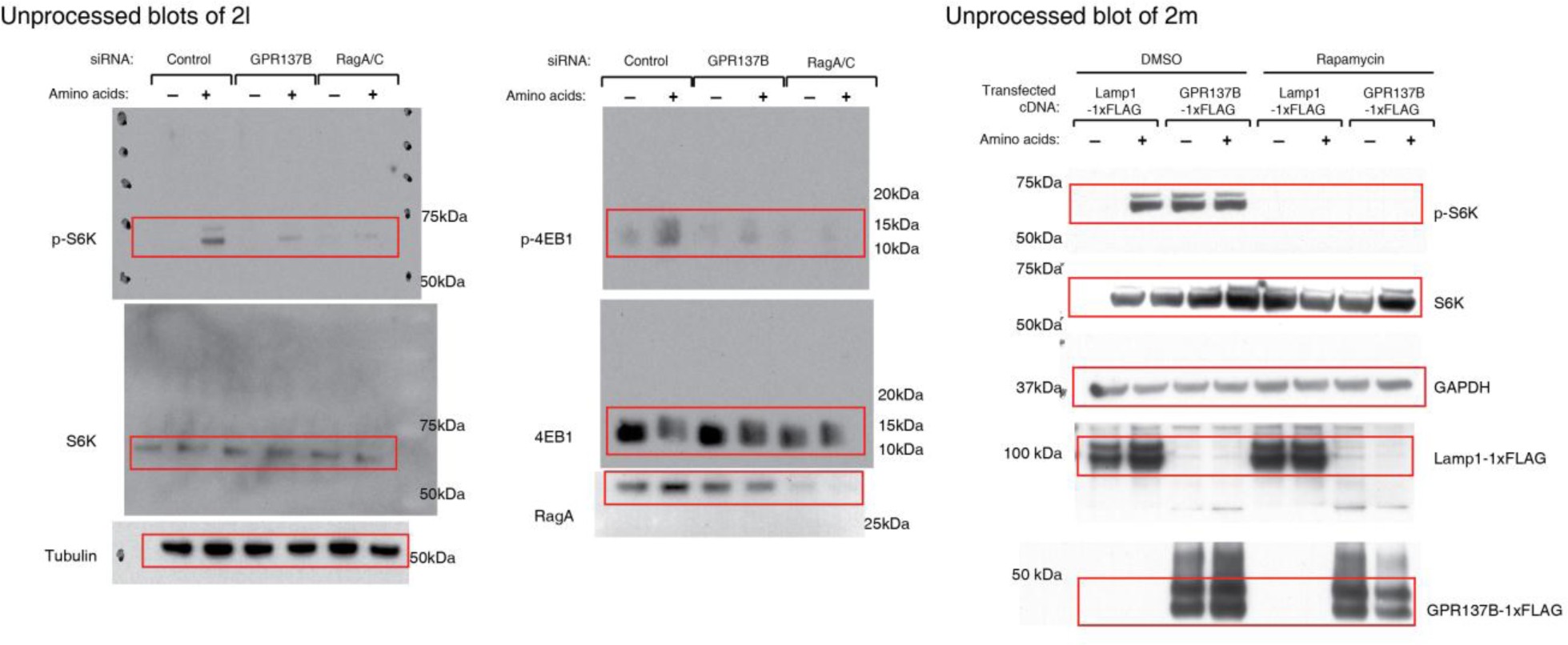
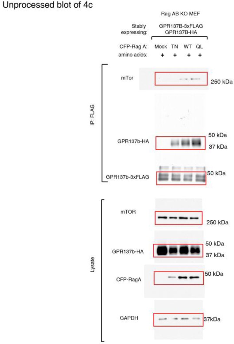
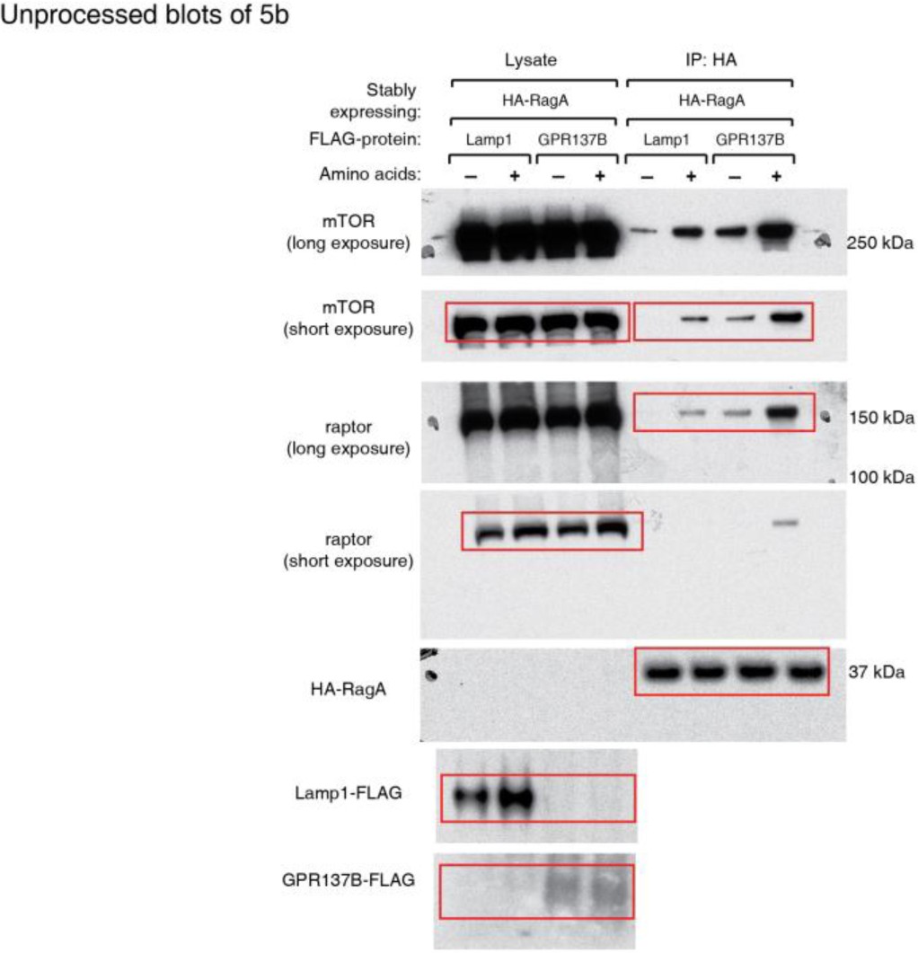
Unprocessed western blots in the main figures. Some blots were cut into several pieces and incubated with different antibodies. Left, siGPR137B reduces mTORC1 signalling. Unprocessed blot of Fig. 2l. Right, overexpression of GPR137B desensitizes cells to amino acid withdrawal. Unprocessed blot of Fig. 2m. Co-immunoprecipitation of GPR137B and mTOR regulators. Unprocessed blot of Fig. 4a. Rag GTPases are required for self-interaction of GPR137B. Unprocessed blot of Fig. 4b. Overexpression of Rag GTPase mutants and GPR137B–GPR137B interaction. Unprocessed blot of Fig. 4c. Knockdown of GPR137B reduces amino acid-induced RagA–mTOR interaction. Unprocessed blot of Fig. 5a. GPR137B overexpression increases mTORC1 interaction with RagA. Unprocessed blot of Fig. 5b.