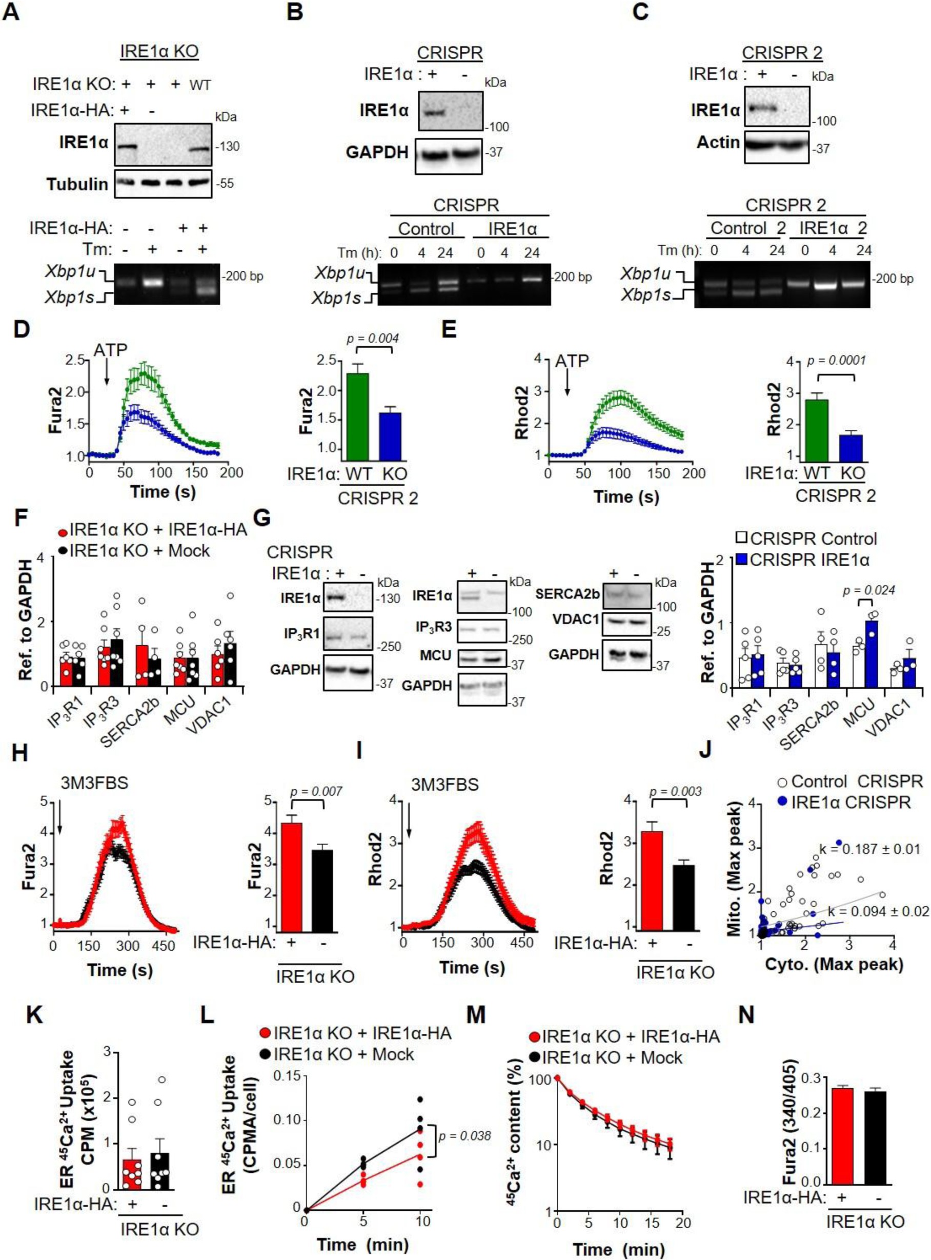
Supplementary Figure 1: IRE1α is located at MAMs and regulates ER to mitochondria communication.

(A) IRE1α-KO cells reconstituted with IRE1α-HA or empty vector (Mock), processed for (WB) for the indicated proteins. Bottom: RT-PCR for Xbp1 mRNA splicing after 8 h of 0.5 µg/ml tunicamycin (Tm) treatment (n = 3 independent experiments). (B) CRISPR control and IRE1α KO cells, or an additional set of cells (C) were analysed as described in A (n =3 independent experiments). (D-E) CRISPR control and IRE1α KO (clone 2) cells imaged for calcium levels in the cytosol and mitochondria (arrow = 100 µM ATP). Right: maximum peak for normalized Fura2 were quantified (total cells analysed: Control 2: n = 45; IRE1α 2: n = 75). (F) WB analysis for the indicated proteins of cells described in 1G normalized to GAPDH (IP3R1: n = 6; IP3R3: n = 7: SERCA2b: n = 4; MCU: n = 7; VDAC1: n = 6; all n are biologically independent). (G) CRISPR control and IRE1α KO cells were processed as indicated in F (IP3R1: n = 5; IP3R3: n = 5; SERCA2b: n = 4; MCU: n = 3; VDAC1: n = 3; all n are biologically independent samples). (H-I) Same cells as in F were simultaneously imaged for calcium levels as in D-E (arrow = 50 µM 3M3FBS) (cells analysed: Mock: n = 93; IRE1α-HA: n = 97) (J) Maximum peak from Fura2/Rhod2 measurements from same samples as in Fig. 1e, f calculated with non-linear regression analyses to obtain correlation constant (K). (K-L) Cells were loaded with 45Ca2+ to determine ER 45Ca2+ loading at steady-state levels (K, n = 8 independent experiments) or after 5-10 minutes of 45Ca2+ loading (L, n = 4 independent experiments). (M) Unidirectional 45Ca2+ efflux from the ER loaded to 45Ca2+ steady-state levels. Graph displays normalized ER 45Ca2+ content (%) over time (n = 8 independent experiments). (N) Resting Fura2-AM ratio (340/405) measurements for the indicated cell lines (cells analysed: Mock: n = 99; IRE1α-HA: n = 109). All plots represent mean and SEM. Statistical differences were detected with unpaired two-tail Student´s t-test or Two-way ANOVA (L). Source data have been provided in Supplementary Table 6.