Extended Data Fig. 10: The effect of pharmacological and genetic inhibition of Brd4 on nuclear puncta formation and tumor growth, and IDR-containing YAP fusions in different cancers.
From: Nuclear condensates of YAP fusion proteins alter transcription to drive ependymoma tumourigenesis

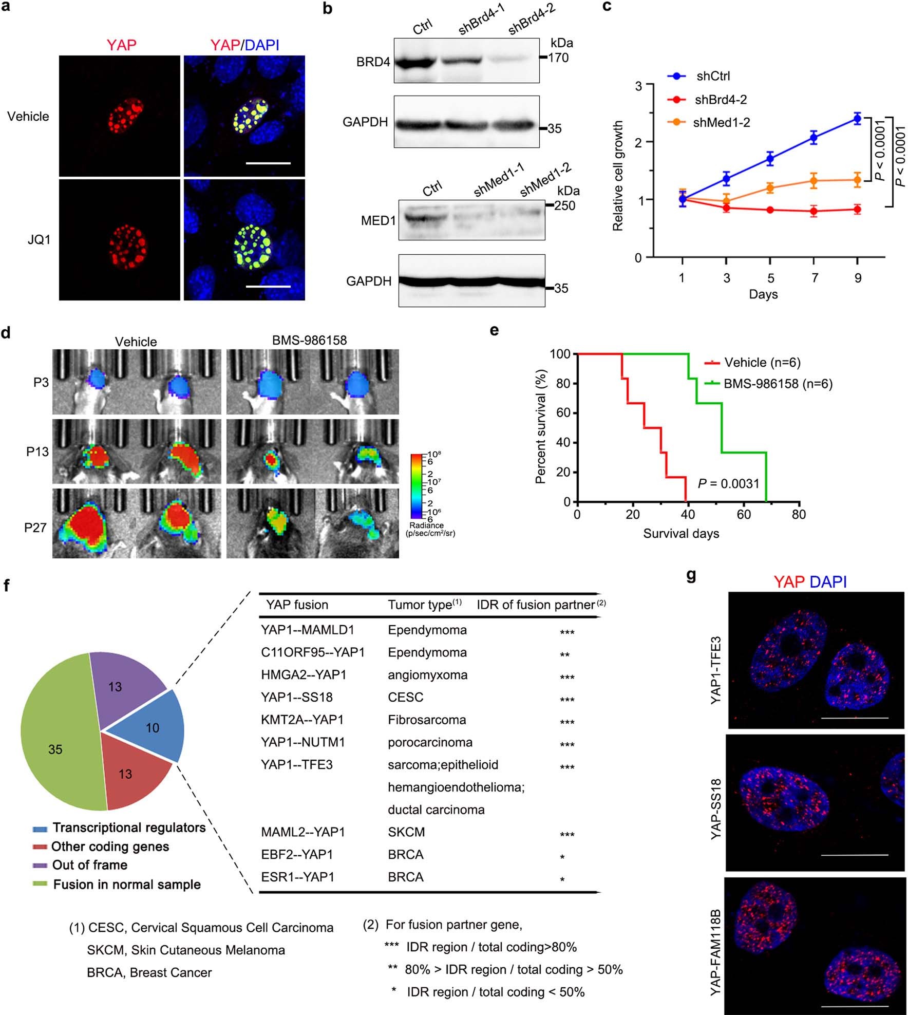
a, C2C12 cells transfected with YAP-M, treated with 0.1 μM of JQ1 or vehicle and stained for YAP (red). Scale bars, 10 μm. b, Western blot showing the effect of shRNAs to repress BRD4 or MED1 expression. c, Growth of murine NPCs expressing YAP-M fusion was inhibited by knock-down of BRD4 or MED1. 3 independent transfections for each group. Data are presented as mean ± s.e.m. Unpaired student’s two-sided t-test was applied to compare cell numbers at the terminal time point. d, Representative bioluminescence images of the mice electroporated with YAP-M construct after treated with vehicle or BMS-986158 (a chemical inhibitor of Brd4) during tumor progression. e, Survival analysis of mice transfected with the YAP-M expression construct treated with BMS-986158 or vehicle. N = 6 animals/group. Log rank test. f, IDR regions in YAP fusion proteins are predicted in multiple cancer types. g, YAP immunostaining in the HEK293T cells transfected with vectors expressing YAP fusions (YAP1-TFE3, YAP1-SS18 and YAP1-FAM118B) shows nuclear puncta-like structures. Scale bars: 10 μm.