Fig. 3: H3K9me3, G9a and Suv39h1 accumulation at stalled replication forks is replication checkpoint dependent and results in chromatin compaction.
From: Dynamic de novo heterochromatin assembly and disassembly at replication forks ensures fork stability

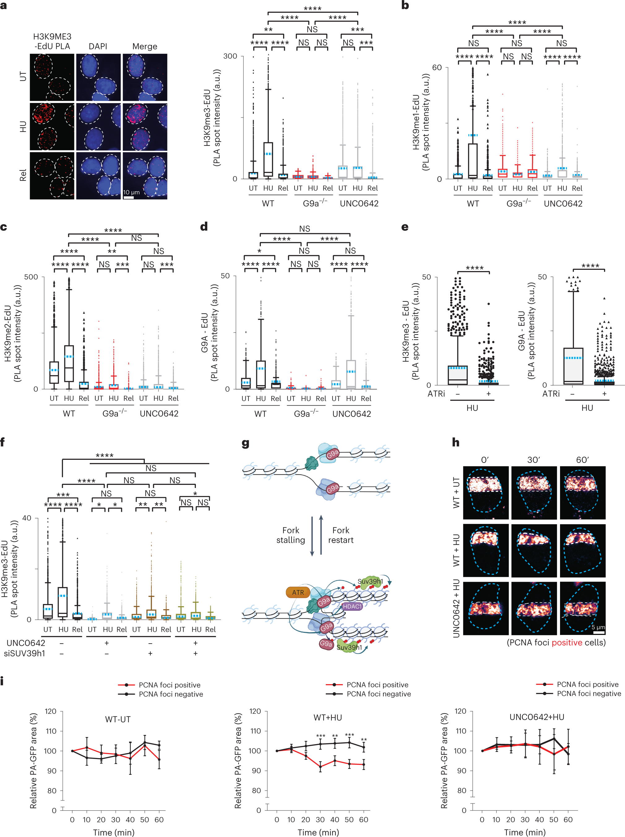
a, Left: representative images of PLA depicting H3K9me3 presence at replication sites (H3K9me3-EdU PLA, red). Nuclei were counterstained with DAPI (blue). Right: distribution of the total intensity of all H3K9me3-EdU PLA spots per nucleus in wild-type cells (WT), G9a knockout cells (G9a−/−) and wild-type cells treated with 1 µM UNC0642 (UNC0642). Cells were labelled with EdU for 20 min and were either left untreated (UT), treated with 1 mM HU for 1 h (HU) or treated with 1 mM HU for 1 h and released from HU for 25 min and labelled with EdU for 20 min (Rel). (nWT-UT = 2,436, nWT-HU = 2,212, nWT-REL = 2,340, nG9aKO-UT = 1,038, nG9aKO-HU = 1,168, nG9aKO-REL = 1,074, nUNC0642-UT = 2,413, nUNC0642-HU = 2,328, nUNC0642-REL = 2,315 cells analysed). b–d, Same as a but showing the distribution of PLA spot intensity per nucleus for H3K9me1-EdU PLA (nWT-UT = 1,346, nWT-HU = 1,050, nWT-REL = 1,192, nG9aKO-UT = 1,543, nG9aKO-HU = 1,470, nG9aKO-REL = 1,630, nUNC0642-UT = 1,502, nUNC0642-HU = 1,296, nUNC0642-REL = 1,338 cells analysed) (b), H3K9me2-EdU PLA (nWT-UT = 1,442, nWT-HU = 1,431, nWT-REL = 1,338, nG9aKO-UT = 1,321, nG9aKO-HU = 1,381, nG9aKO-REL = 1,380, nUNC0642-UT = 1,367, nUNC0642-HU = 1,490, nUNC0642-REL = 1,411 cells analysed) (c) and G9a-EdU PLA (nWT-UT = 1,407, nWT-HU = 1,086, nWT-REL = 1,502, nG9aKO-UT = 1,510, nG9aKO-HU = 1,513, nG9aKO-REL = 1,510, nUNC0642-UT = 1,504, nUNC0642-HU = 1,505, nUNC0642-REL = 1,501 cells analysed) (d). e, Distribution of H3K9me3-EdU (left) or G9a-EdU (right) total PLA spot intensity per nucleus of wild-type cells treated (ATRi+) or not (ATRi−) with 10 µM ATR inhibitor and EdU labelled for 20 min followed by a 1 mM HU treatment for 1 h. For H3K9me3-EdU PLA: nHU− = 909, nHU+ = 931; for G9a-EdU PLA: nHU− = 869, nHU+ = 1,080 cells analysed. f, Same as a but showing the distribution of H3K9me3-EdU total PLA spot intensity per nucleus for the indicated conditions (nctl-UT = 1,509, nctl-HU = 1,509, nctl-REL = 1,506, nUNC0642-UT = 2,003, nUNC0642-HU = 1,529, nUNC0642-REL = 1,543, nsiSUV39h1-UT = 1,514, nsiSUV39h1-HU = 1,502, nsiSUV39h1-REL = 1,500, nUNC0642+siSUV39h1-UT = 1,502, nUNC0642+siSUV39h1-HU = 1,523, nUNC0642+siSUV39h1-REL = 1,507, cells analysed) (note that, for a–f, blue dashed indicates mean of the distribution, ****P ≤ 0.0001, ***P ≤ 0.001, **P ≤ 0.01, *P ≤ 0.05, NS, non-significant, one-way analysis of variance Kruskal–Wallis test followed by Dunn’s test is used for all statistical analysis). g, Model summarizing G9a and SUV39h1 role at stalled replication forks. Upon replication stress, checkpoint-regulated G9a activity at stressed replication forks results in transient accumulation of H3K9me1/2 allowing SUV39h1 to catalyse H3K9me3 modification. Further accumulating HDAC1 resulted in the loss of H4K16ac. Figure created with biorender.com. h, Representative images of the changes over time of a stripe of photo-activated GFP-H2A for the indicated conditions. This experiment was reproduced independently three times with similar results. i, Mean photo-activated GFP-H2A area over time relative to the area at T = 0 min in percentage ± standard deviation. In PCNA negative (black) and positive (red) for untreated cell: WT-UT (left), cells undergoing replication stress: WT + HU (middle) and cells undergoing replication stress in the absence of G9a activity (right). Unpaired two-sided t-test, ****P ≤ 0.0001, **P ≤ 0.01. For experimental design, see Extended Data Fig. 5e. n = 3 independent experiments. Source numerical data are available in Source Data.