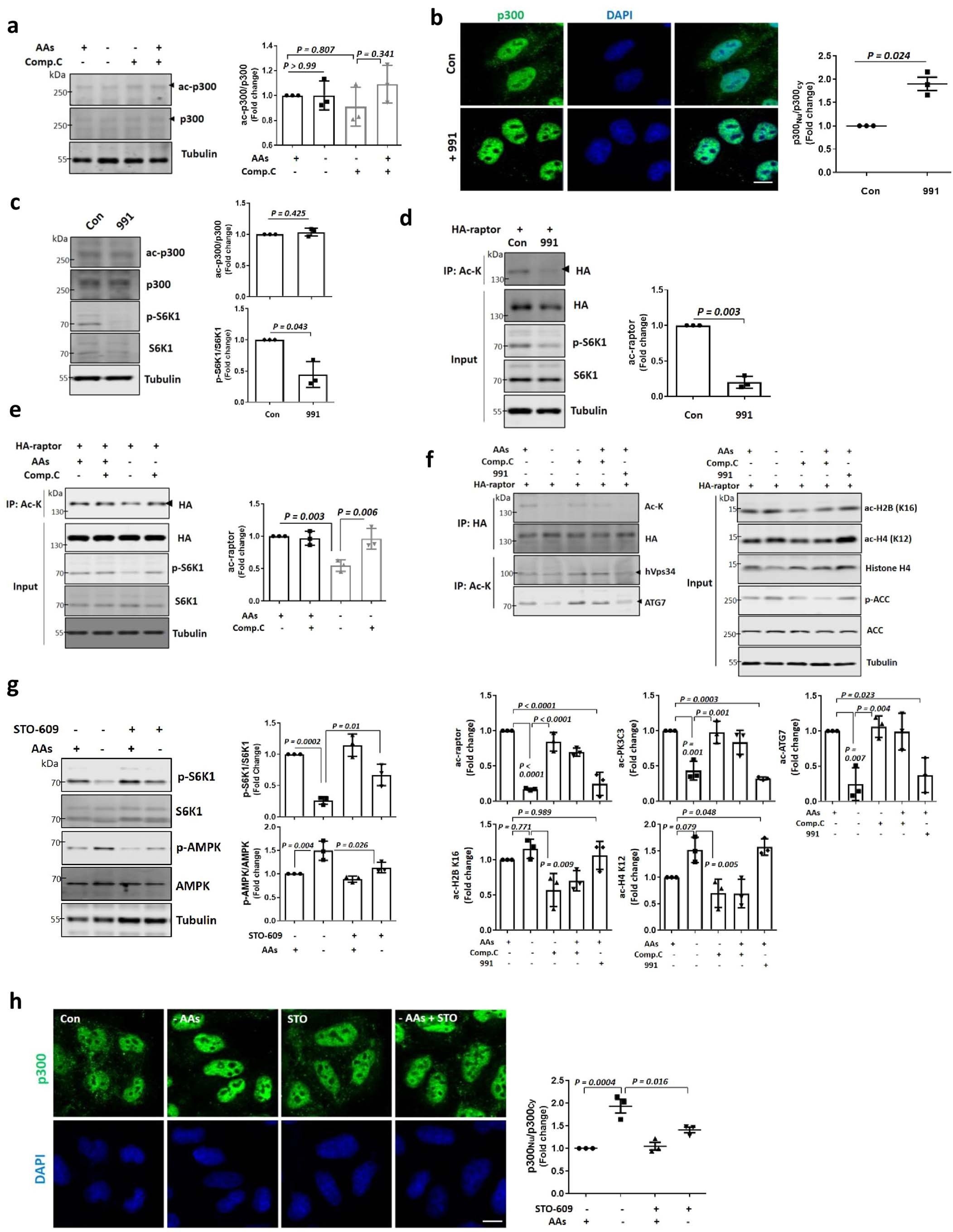
Extended Data Fig. 6: p300 shuttling is associated with AMPK activity.

a, No alteration in p300 activity by 5 μM Comp. C with or without AA starvation for 1 h. Blots are representative of three biologically independent experiments (N = 3). One-way ANOVA with post hoc Tukey test. b, Increased nuclear transport of p300 by 10 μM 991. N = 3, about 50 cells scored per condition per experiment. One sample t-test. Scale bar, 5 μm. c, No change in p300 activity, but reduced mTORC1 activity mediated by 10 μM 991. N = 3. One sample t-test. d, Decreased raptor acetylation by 10 μM 991. N = 3. One sample t-test. e, Rescue of decreased raptor acetylation in AAs-depleted cells by 5 μM Comp.C. N = 3. One-way ANOVA with post hoc Tukey test. f, Acetylation of p300-targeted proteins in nucleus and cytoplasm in an AMPK activity-dependent manner. N = 3. One-way ANOVA with post hoc Tukey test. g, Rescue of mTORC1 inhibition and AMPK activation by AA starvation after treatment with 25 μM STO-609. N = 3. One-way ANOVA with post hoc Tukey test. h, Inhibition of nuclear transport of p300 by 25 μM STO-609. N = 3, about 30 cells scored per condition per experiment. One-way ANOVA with post hoc Tukey test. Scale bar, 5 μm. Data are presented as mean values +/- s.d. unless otherwise specified. Source numerical data and unprocessed blots are available in source data.