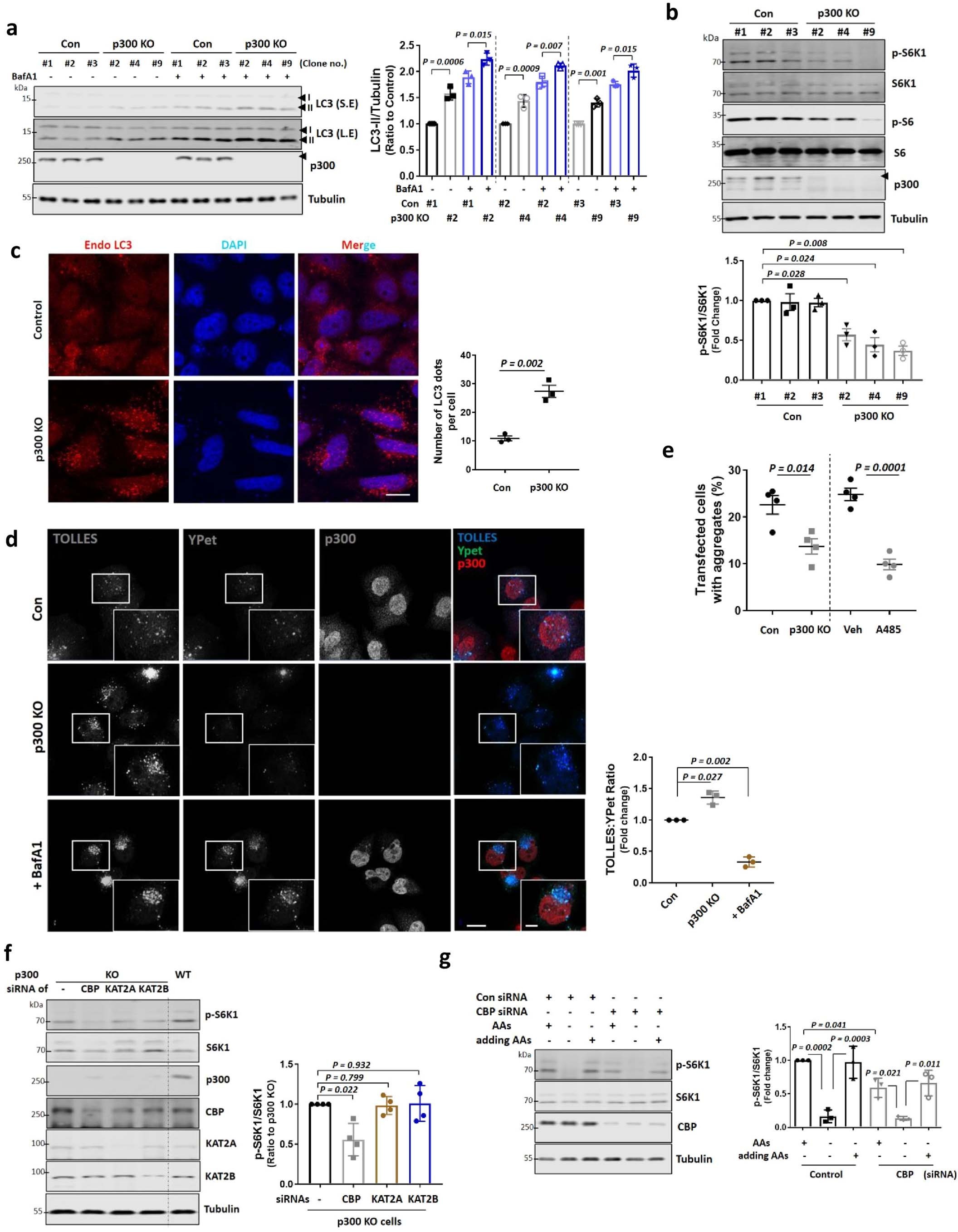
Extended Data Fig. 2: Autophagy activation in p300 KO cells.

a, Autophagy activation in p300 KO clones (#2, #4 and #9; See Extended Data Fig. 1a). The cells were treated with vehicle (DMSO) or bafilomycin A1 (BafA1) at 400 nM for 4 h. Short exposure (S.E); Long exposure (L.E). Blots are representative of three biologically independent experiments (N = 3). One-way ANOVA with post hoc Tukey test. b, Reduced mTORC1 (p-S6K1 at Thr389)/S6K1) in p300 KO clones (#2, #4 and #9; See Extended Data Fig. 1a). N = 3. Two-tailed paired t test. c, Immunostaining of control or p300 KO HeLa cells using LC3 antibody, nuclei are stained with DAPI (blue). Scale bar, 5 μm. N = 3; about 70 cells scored per condition per experiment. Two-tailed unpaired t test. d, Increase in autophagic flux by p300 KO, as measured by the SRAI-LC3B reporter. Scale bar, 5 μm, 1 μm (enlarged images). N = 3; about 30 cells scored per condition per experiment. Two-tailed paired t test. e, Reduced mutant huntingtin aggregates in p300 KO or p300 inhibitor A485 treated HeLa cells. N = 4, 30–50 cells scored per condition per experiment. Two-tailed unpaired t test. f, mTORC1 activity in KAT knockdown p300 KO cells. N = 4. Two-tailed paired t test. g, Re-stimulation of AAs to starved cells restored mTORC1 in CBP knockdown HeLa cells. N = 3. One-way ANOVA with post hoc Tukey test. Data are presented as mean values +/- s.d. unless otherwise specified. Source numerical data and unprocessed blots are available in source data.