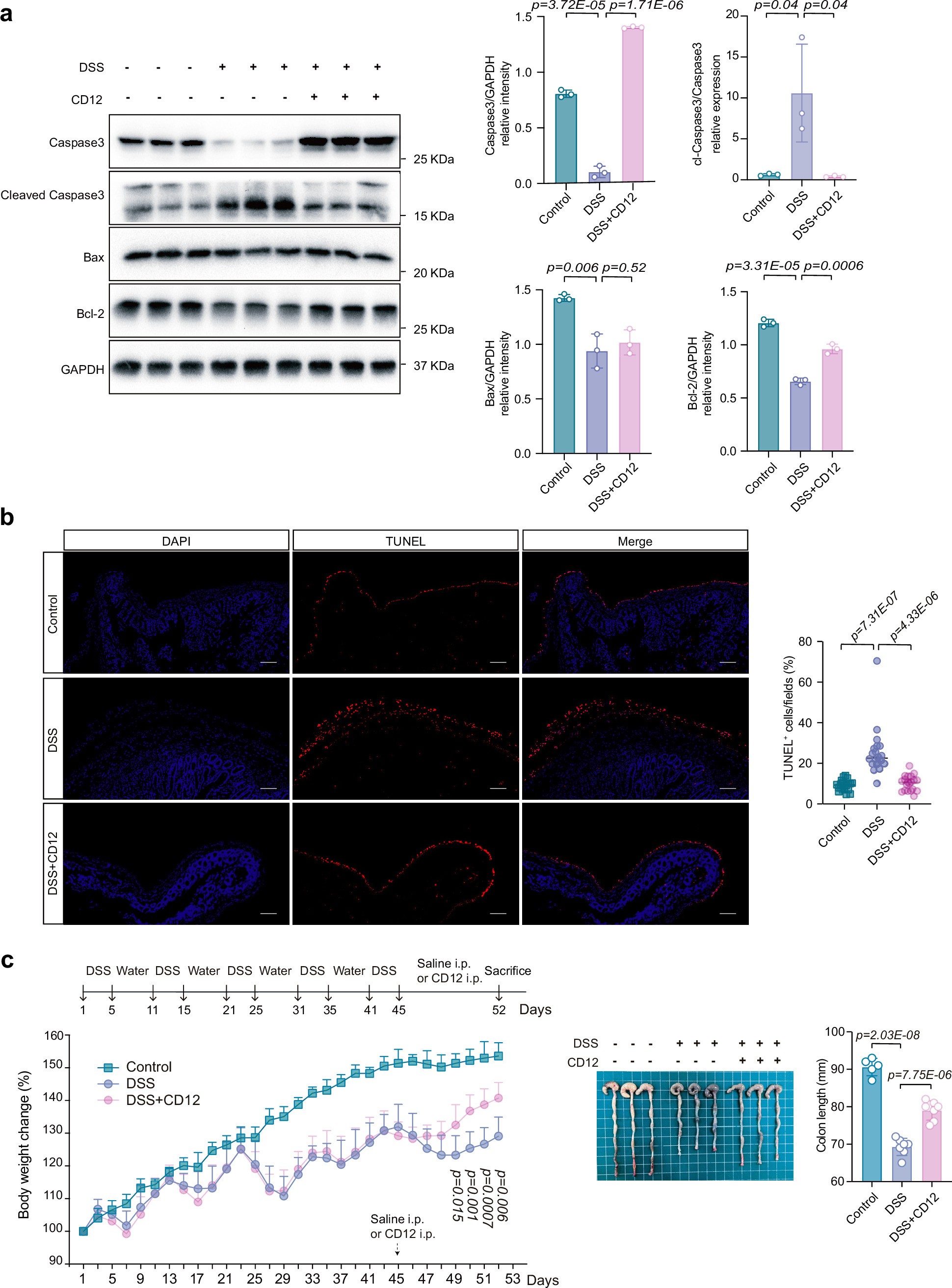
Extended Data Fig. 5: CD12 reduces apoptosis in the colonic tissue during DSS-induced injury.
From: Fungal commensal promotes intestinal repair via its secreted peptide in mice

(a) Immunoblots (n = 3) of apoptosis-associated proteins in colon tissue, showing reduced cleaved Caspase-3 and elevated Bcl-2 expression in CD12-treated mice. Densitometric quantification was performed using ImageJ. (b) Terminal deoxynucleotidyl transferase dUTP nick end labeling (TUNEL) staining reveals a marked reduction in apoptotic cells in CD12-treated colonic sections. Quantification of TUNEL-positive cells confirms the anti-apoptotic effect. Twenty microscopic fields were quantified. Scale bar = 100 µm. (c) A chronic IBD model was established in C57BL/6J mice divided into three groups: control (n = 5), DSS(n = 7), and DSS + CD12 (n = 7). Mice were subjected to five cyclical 2.5% DSS treatments in drinking water over 45 days. Therapeutic interventions with CD12 or saline vehicle control were administered intraperitoneally daily from day 45 to 51 post-induction. All animals were killed on day 53 for pathological assessment. Colon specimens were photographed (images of three samples are shown), with colon length measurements. Data are representative of at least three biologically independent experiments. and are presented as mean ± s.d. Statistical comparisons were conducted using unpaired two-tailed Student’s t-test (a, b, c colon length) and two-way ANOVA (c body weight).