Abstract
Acute graft-versus-host disease (GVHD) is a common immune complication that can occur after allogeneic haematopoietic cell transplantation (alloHCT). Acute GVHD is a major health problem in these patients, and is associated with high morbidity and mortality. Acute GVHD is caused by the recognition and the destruction of the recipient tissues and organs by the donor immune effector cells. This condition usually occurs within the first 3 months after alloHCT, but later onset is possible. Targeted organs include the skin, the lower and upper gastrointestinal tract and the liver. Diagnosis is mainly based on clinical examination, and complementary examinations are performed to exclude differential diagnoses. Preventive treatment for acute GVHD is administered to all patients who receive alloHCT, although it is not always effective. Steroids are used for first-line treatment, and the Janus kinase 2 (JAK2) inhibitor ruxolitinib is second-line treatment. No validated treatments are available for acute GVHD that is refractory to steroids and ruxolitinib, and therefore it remains an unmet medical need.
This is a preview of subscription content, access via your institution
Access options
Access Nature and 54 other Nature Portfolio journals
Get Nature+, our best-value online-access subscription
$32.99 / 30 days
cancel any time
Subscribe to this journal
Receive 1 digital issues and online access to articles
$119.00 per year
only $119.00 per issue
Buy this article
- Purchase on SpringerLink
- Instant access to the full article PDF.
USD 39.95
Prices may be subject to local taxes which are calculated during checkout





Similar content being viewed by others
References
Van Bekkum, D., Vos, O. & Weyzen, W. W. The pathogenesis of the secondary disease after foreign bone marrow transplantation in X-irradiated mice. J. Natl Cancer Inst. 23, 75–89 (1959).
Billingham, R. E. The biology of graft-versus-host reactions. Harvey Lect. 62, 21–78 (1966).
Passweg, J. R. et al. Hematopoietic cell transplantation and cellular therapy survey of the EBMT: monitoring of activities and trends over 30 years. Bone Marrow Transplant. https://doi.org/10.1038/s41409-021-01227-8 (2021).
Passweg, J. R. et al. Impact of the SARS-CoV-2 pandemic on hematopoietic cell transplantation and cellular therapies in Europe 2020: a report from the EBMT activity survey. Bone Marrow Transplant. 57, 742–752 (2022).
Niederwieser, D. et al. One and a half million hematopoietic stem cell transplants: continuous and differential improvement in worldwide access with the use of non-identical family donors. Haematologica 107, 1045–1053 (2022).
Holtan, S. G. et al. Disease progression, hospital readmissions, and clinical outcomes for patients with steroid-refractory acute graft-versus-host disease: a multicenter, retrospective study. Bone Marrow Transplant. 57, 1399–1404 (2022).
Filipovich, A. H. et al. National Institutes of Health Consensus Development Project on Criteria for Clinical Trials in Chronic Graft-versus-Host Disease: I. Diagnosis and Staging Working Group report. Biol. Blood Marrow Transplant. 11, 945–956 (2005). This article reports the refined classification by the NIH that established that acute and chronic GVHD should be distinguished based on GVHD features and not time of onset.
Jagasia, M. H. et al. National Institutes of Health Consensus Development Project on Criteria for Clinical Trials in Chronic Graft-versus-Host Disease: I. The 2014 Diagnosis and Staging Working Group report. Biol. Blood Marrow Transplant. 21, 389–401.e1 (2015).
Harris, A. C. et al. International, multicenter standardization of acute graft-versus-host disease clinical data collection: a report from the Mount Sinai Acute GVHD International Consortium. Biol. Blood Marrow Transplant. 22, 4–10 (2016). This article refines acute GVHD diagnosis criteria to allow better standardization of data collection.
Cahn, J. Y. et al. Prospective evaluation of 2 acute graft-versus-host (GVHD) grading systems: a joint Société Française de Greffe de Moëlle et Thérapie Cellulaire (SFGM-TC), Dana Farber Cancer Institute (DFCI), and International Bone Marrow Transplant Registry (IBMTR) prospective study. Blood 106, 1495–1500 (2005).
Schoemans, H. M. et al. The eGVHD app has the potential to improve the accuracy of graft-versus-host disease assessment: a multicenter randomized controlled trial. Haematologica 103, 1698–1707 (2018).
Schoemans, H. M. et al. Accuracy and usability of the eGVHD app in assessing the severity of graft-versus-host disease at the 2017 EBMT annual congress. Bone Marrow Transplant. 53, 490–494 (2018).
Thomas, E. D. et al. One hundred patients with acute leukemia treated by chemotherapy, total body irradiation, and allogeneic marrow transplantation. Blood 49, 511–533 (1977).
Reshef, R. et al. Acute GVHD diagnosis and adjudication in a multicenter trial: a report from the BMT CTN 1202 biorepository study. J. Clin. Oncol. 39, 1878–1887 (2021).
Greinix, H. T. et al. Improved outcome of patients with graft-versus-host disease after allogeneic hematopoietic cell transplantation for hematologic malignancies over time: an EBMT mega-file study. Haematologica 107, 1054–1063 (2022). This paper is the largest and most recent analysis of acute GVHD incidence, risk factors and outcomes.
Mielcarek, M. et al. Effects of race on survival after stem cell transplantation. Biol. Blood Marrow Transplant. 11, 231–239 (2005).
Sigmund, A. M. et al. Impact of race and geographic area of residence on outcomes after allogeneic stem cell transplant. Front. Oncol. https://doi.org/10.3389/fonc.2022.801879 (2022).
Hamilton, B. K. et al. Racial differences in allogeneic hematopoietic cell transplantation outcomes among African Americans and whites. Bone Marrow Transplant. 50, 834–839 (2015).
Morishima, Y. et al. Significance of ethnicity in the risk of acute graft-versus-host disease and leukemia relapse after unrelated donor hematopoietic stem cell transplantation. Biol. Blood Marrow Transplant. 19, 1197–1203 (2013).
Kanda, J. et al. Graft-versus-host disease after HLA-matched sibling bone marrow or peripheral blood stem cell transplantation: comparison of North American Caucasian and Japanese populations. Biol. Blood Marrow Transplant. 22, 744–751 (2016).
Khoury, H. J. et al. Improved survival after acute graft-versus-host disease diagnosis in the modern era. Haematologica 102, 958–966 (2017).
El-Jawahri, A. et al. Improved treatment-related mortality and overall survival of patients with grade IV acute GVHD in the modern years. Biol. Blood Marrow Transplant. 22, 910–918 (2016).
Flowers, M. E. et al. Comparative analysis of risk factors for acute graft-versus-host disease and for chronic graft-versus-host disease according to National Institutes of Health consensus criteria. Blood 117, 3214–3219 (2011).
Lee, S. J. et al. High-resolution donor-recipient HLA matching contributes to the success of unrelated donor marrow transplantation. Blood 110, 4576–4583 (2007).
Hahn, T. et al. Risk factors for acute graft-versus-host disease after human leukocyte antigen-identical sibling transplants for adults with leukemia. J. Clin. Oncol. 26, 5728–5734 (2008).
Gale, R. P. et al. Risk factors for acute graft-versus-host disease. Br. J. Haematol. 67, 397–406 (1987).
Kollman, C. et al. Donor characteristics as risk factors in recipients after transplantation of bone marrow from unrelated donors: the effect of donor age. Blood 98, 2043–2051 (2001).
Bacigalupo, A. Post-transplant cyclophosphamide: overcoming the HLA barrier to hematopoietic stem cell transplants. Haematologica 107, 1230–1231 (2022).
Im, A. et al. Risk factors for graft-versus-host disease in haploidentical hematopoietic cell transplantation using post-transplant cyclophosphamide. Biol. Blood Marrow Transplant. 26, 1459–1468 (2020).
Hansen, J. A., Chien, J. W., Warren, E. H., Zhao, L. P. & Martin, P. J. Defining genetic risk for graft-versus-host disease and mortality following allogeneic hematopoietic stem cell transplantation. Curr. Opin. Hematol. 17, 483–492 (2010).
Antin, J. H. & Ferrara, J. L. Cytokine dysregulation and acute graft-versus-host disease. Blood 80, 2964–2968 (1992).
Holler, E. et al. Increased serum levels of tumor necrosis factor alpha precede major complications of bone marrow transplantation. Blood 75, 1011–1016 (1990).
Storb, R. et al. Allogeneic hematopoietic cell transplantation following minimal intensity conditioning: predicting acute graft-versus-host disease and graft-versus-tumor effects. Biol. Blood Marrow Transplant. 19, 792–798 (2013).
Cooke, K. R., Olkiewicz, K., Erickson, N. & Ferrara, J. L. The role of endotoxin and the innate immune response in the pathophysiology of acute graft versus host disease. J. Endotoxin Res. 8, 441–448 (2002).
Holler, E. et al. Both donor and recipient NOD2/CARD15 mutations associate with transplant-related mortality and GvHD following allogeneic stem cell transplantation. Blood 104, 889–894 (2004).
Holler, E. et al. Prognostic significance of NOD2/CARD15 variants in HLA-identical sibling hematopoietic stem cell transplantation: effect on long-term outcome is confirmed in 2 independent cohorts and may be modulated by the type of gastrointestinal decontamination. Blood 107, 4189–4193 (2006).
Markus, M. H. et al. MyD88/TLR9 mediated immunopathology and gut microbiota dynamics in a novel murine model of intestinal graft-versus-host disease. Gut 59, 1079–1087 (2010).
Fischer, J. C. et al. RIG-I/MAVS and STING signaling promote gut integrity during irradiation- and immune-mediated tissue injury. Sci. Transl Med. https://doi.org/10.1126/scitranslmed.aag2513 (2017).
Bader, C. S. et al. STING differentially regulates experimental GVHD mediated by CD8 versus CD4 T cell subsets. Sci. Transl Med. https://doi.org/10.1126/scitranslmed.aay5006 (2020).
Toubai, T., Mathewson, N. D., Magenau, J. & Reddy, P. Danger signals and graft-versus-host disease: current understanding and future perspectives. Front. Immunol. 7, 539 (2016).
Wilhelm, K. et al. Graft-versus-host disease is enhanced by extracellular ATP activating P2X7R. Nat. Med. 16, 1434–1438 (2010).
Vander Lugt, M. T. et al. ST2 as a marker for risk of therapy-resistant graft-versus-host disease and death. N. Engl. J. Med. 369, 529–539 (2013).
van Bekkum, D. W., Roodenburg, J., Heidt, P. J. & van der Waaij, D. Mitigation of secondary disease of allogeneic mouse radiation chimeras by modification of the intestinal microflora. J. Natl Cancer Inst. 52, 401–404 (1974).
Storb, R. et al. Graft-versus-host disease and survival in patients with aplastic anemia treated by marrow grafts from HLA-identical siblings. Beneficial effect of a protective environment. N. Engl. J. Med. 308, 302–307 (1983).
Hulsdunker, J. et al. Neutrophils provide cellular communication between ileum and mesenteric lymph nodes at graft-versus-host disease onset. Blood 131, 1858–1869 (2018).
Vossen, J. M. et al. Complete suppression of the gut microbiome prevents acute graft-versus-host disease following allogeneic bone marrow transplantation. PLoS ONE 9, e105706 (2014).
Peled, J. U. et al. Microbiota as predictor of mortality in allogeneic hematopoietic-cell transplantation. N. Engl. J. Med. 382, 822–834 (2020).
Stein-Thoeringer, C. K. et al. Lactose drives Enterococcus expansion to promote graft-versus-host disease. Science 366, 1143–1149 (2019).
Jenq, R. R. et al. Intestinal Blautia is associated with reduced death from graft-versus-host disease. Biol. Blood Marrow Transplant. 21, 1373–1383 (2015).
Riwes, M. & Reddy, P. Short chain fatty acids: postbiotics/metabolites and graft versus host disease colitis. Semin. Hematol. 57, 1–6 (2020).
Ghimire, S. et al. Low intestinal IL22 associates with increased transplant-related mortality after allogeneic stem cell transplantation. Front. Immunol. 13, 857400 (2022).
Arpaia, N. et al. Metabolites produced by commensal bacteria promote peripheral regulatory T-cell generation. Nature 504, 451–455 (2013).
Fujiwara, H. et al. Microbial metabolite sensor GPR43 controls severity of experimental GVHD. Nat. Commun. 9, 3674 (2018).
Kambayashi, T. & Laufer, T. M. Atypical MHC class II-expressing antigen-presenting cells: can anything replace a dendritic cell? Nat. Rev. Immunol. 14, 719–730 (2014).
Shlomchik, W. D. et al. Prevention of graft versus host disease by inactivation of host antigen-presenting cells. Science 285, 412–415 (1999).
Duffner, U. A. et al. Host dendritic cells alone are sufficient to initiate acute graft-versus-host disease. J. Immunol. 172, 7393–7398 (2004).
Matte, C. C. et al. Donor APCs are required for maximal GVHD but not for GVL. Nat. Med. 10, 987–992 (2004).
Koyama, M. & Hill, G. R. Alloantigen presentation and graft-versus-host disease: fuel for the fire. Blood 127, 2963–2970 (2016).
Koyama, M. et al. Recipient nonhematopoietic antigen-presenting cells are sufficient to induce lethal acute graft-versus-host disease. Nat. Med. 18, 135–142 (2011).
Ruggeri, A. et al. Integrating biological HLA-DPB1 mismatch models to predict survival after unrelated hematopoietic cell transplantation. Haematologica 108, 645–652 (2023).
Neefjes, J., Jongsma, M. L., Paul, P. & Bakke, O. Towards a systems understanding of MHC class I and MHC class II antigen presentation. Nat. Rev. Immunol. 11, 823–836 (2011).
Goulmy, E. et al. Mismatches of minor histocompatibility antigens between HLA-identical donors and recipients and the development of graft-versus-host disease after bone marrow transplantation. N. Engl. J. Med. 334, 281–285 (1996).
Meyer, E. H. et al. Transplantation of donor grafts with defined ratio of conventional and regulatory T cells in HLA-matched recipients. JCI Insight https://doi.org/10.1172/jci.insight.127244 (2019).
Edinger, M. et al. CD4+CD25+ regulatory T cells preserve graft-versus-tumor activity while inhibiting graft-versus-host disease after bone marrow transplantation. Nat. Med. 9, 1144–1150 (2003).
Yang, J. et al. Rorc restrains the potency of ST2+ regulatory T cells in ameliorating intestinal graft-versus-host disease. JCI Insight https://doi.org/10.1172/jci.insight.122014 (2019).
Delacher, M. et al. Single-cell chromatin accessibility landscape identifies tissue repair program in human regulatory T cells. Immunity 54, 702–720.e17 (2021).
Robb, R. J. et al. Identification and expansion of highly suppressive CD8+FoxP3+ regulatory T cells after experimental allogeneic bone marrow transplantation. Blood 119, 5898–5908 (2012).
Hu, Y. et al. Regulatory B cells promote graft-versus-host disease prevention and maintain graft-versus-leukemia activity following allogeneic bone marrow transplantation. Oncoimmunology 6, e1284721 (2017).
Le Blanc, K., Jitschin, R. & Mougiakakos, D. Myeloid-derived suppressor cells in allogeneic hematopoietic stem cell transplantation: a double-edged sword? Oncoimmunology 2, e25009 (2013).
Demosthenous, C. et al. The role of myeloid-derived suppressor cells (MDSCs) in graft-versus-host disease (GVHD). J. Clin. Med. 10, 2050 (2021).
Riquelme, P. et al. TIGIT+ iTregs elicited by human regulatory macrophages control T cell immunity. Nat. Commun. 9, 2858 (2018).
Quatrini, L. et al. Helper innate lymphoid cells in allogenic hematopoietic stem cell transplantation and graft versus host disease. Front. Immunol. 11, 582098 (2020).
Luft, T. et al. Serum cytokeratin-18 fragments as quantitative markers of epithelial apoptosis in liver and intestinal graft-versus-host disease. Blood 110, 4535–4542 (2007).
Glucksberg, H. et al. Clinical manifestations of graft-versus-host disease in human recipients of marrow from HL-A-matched sibling donors. Transplantation 18, 295–304 (1974).
Fu, Y. Y. et al. T cell recruitment to the intestinal stem cell compartment drives immune-mediated intestinal damage after allogeneic transplantation. Immunity 51, 90–103.e3 (2019).
Matsuzawa-Ishimoto, Y. et al. Autophagy protein ATG16L1 prevents necroptosis in the intestinal epithelium. J. Exp. Med. 214, 3687–3705 (2017).
Hill, G. R., Krenger, W. & Ferrara, J. L. The role of cytokines in acute graft-versus-host disease. Cytokines Cell. Mol. Ther. 3, 257–266 (1997).
Spoerl, S. et al. Activity of therapeutic JAK 1/2 blockade in graft-versus-host disease. Blood 123, 3832–3842 (2014).
Dietrich, S. et al. Endothelial vulnerability and endothelial damage are associated with risk of graft-versus-host disease and response to steroid treatment. Biol. Blood Marrow Transplant. 19, 22–27 (2013).
Biedermann, B. C. et al. Endothelial injury mediated by cytotoxic T lymphocytes and loss of microvessels in chronic graft versus host disease. Lancet 359, 2078–2083 (2002).
Mathew, N. R. et al. Graft-versus-host disease of the CNS is mediated by TNF upregulation in microglia. J. Clin. Invest. 130, 1315–1329 (2020).
Hildebrandt, G. C. et al. Donor-derived TNF-α regulates pulmonary chemokine expression and the development of idiopathic pneumonia syndrome after allogeneic bone marrow transplantation. Blood 104, 586–593 (2004).
Wu, S. R. & Reddy, P. Tissue tolerance: a distinct concept to control acute GVHD severity. Blood 129, 1747–1752 (2017).
Fujiwara, H. et al. Mitochondrial complex II in intestinal epithelial cells regulates T cell-mediated immunopathology. Nat. Immunol. 22, 1440–1451 (2021).
Mohamed, F. A. et al. Recent metabolic advances for preventing and treating acute and chronic graft versus host disease. Front. Immunol. 12, 757836 (2021).
Holtan, S. G. et al. Disease progression, treatments, hospitalization, and clinical outcomes in acute GVHD: a multicenter chart review. Bone Marrow Transplant. 57, 1581–1585 (2022).
Champlin, R. E. et al. Blood stem cells compared with bone marrow as a source of hematopoietic cells for allogeneic transplantation. IBMTR Histocompatibility and Stem Cell Sources Working Committee and the European Group for Blood and Marrow Transplantation (EBMT). Blood 95, 3702–3709 (2000).
Lerner, K. G. et al. Histopathology of graft-vs.-host reaction (GvHR) in human recipients of marrow from HL-A-matched sibling donors. Transplant. Proc. 6, 367–371 (1974).
Weisdorf, D. J. et al. Acute upper gastrointestinal graft-versus-host disease: clinical significance and response to immunosuppressive therapy. Blood 76, 624–629 (1990).
Cox, G. J. et al. Etiology and outcome of diarrhea after marrow transplantation: a prospective study. Gastroenterology 107, 1398–1407 (1994).
Kalantari, B. N. et al. CT features with pathologic correlation of acute gastrointestinal graft-versus-host disease after bone marrow transplantation in adults. AJR Am. J. Roentgenol. 181, 1621–1625 (2003).
Thompson, B., Salzman, D., Steinhauer, J., Lazenby, A. J. & Wilcox, C. M. Prospective endoscopic evaluation for gastrointestinal graft-versus-host disease: determination of the best diagnostic approach. Bone Marrow Transplant. 38, 371–376 (2006).
Tarantino, G. et al. Gastrointestinal complications after allogeneic hematopoietic stem cell transplant: a multidisciplinary approach with early endoscopic evaluation. Clin. Hematol. Int. 3, 161–168 (2021).
Shabbir, E., Farooq, U., Yanes, B. & Magalhaes-Silverman, M. Repeat endoscopy affects patient management in gastrointestinal graft-versus-host disease. Clin. Hematol. Int. 2, 69–73 (2020).
Sale, G. E., Shulman, H. M., McDonald, G. B. & Thomas, E. D. Gastrointestinal graft-versus-host disease in man. A clinicopathologic study of the rectal biopsy. Am. J. Surg. Pathol. 3, 291–299 (1979).
Epstein, R. J., McDonald, G. B., Sale, G. E., Shulman, H. M. & Thomas, E. D. The diagnostic accuracy of the rectal biopsy in acute graft-versus-host disease: a prospective study of thirteen patients. Gastroenterology 78, 764–771 (1980).
Schreyer, A. G. et al. Transmural penetration of intravenously applied microbubbles during contrast-enhanced ultrasound as a new diagnostic feature in patients with GVHD of the bowel. Bone Marrow Transplant. 46, 1006–1011 (2011).
Schreyer, A. G. et al. Contrast-enhanced ultrasound for differential diagnosis of suspected GvHD in patients after allogeneic transplantation. Clin. Hemorheol. Microcirc. 49, 129–136 (2011).
Benedetti, E. et al. Prospective qualitative and quantitative non-invasive evaluation of intestinal acute GVHD by contrast-enhanced ultrasound sonography. Bone Marrow Transplant. 48, 1421–1428 (2013).
Stelljes, M. et al. Clinical molecular imaging in intestinal graft-versus-host disease: mapping of disease activity, prediction, and monitoring of treatment efficiency by positron emission tomography. Blood 111, 2909–2918 (2008).
Gooley, T. A. et al. Reduced mortality after allogeneic hematopoietic-cell transplantation. N. Engl. J. Med. 363, 2091–2101 (2010).
Snover, D. C., Weisdorf, S. A., Ramsay, N. K., McGlave, P. & Kersey, J. H. Hepatic graft versus host disease: a study of the predictive value of liver biopsy in diagnosis. Hepatology 4, 123–130 (1984).
Cooke, K. R. & Yanik, G. Acute lung injury after allogeneic stem cell transplantation: is the lung a target of acute graft-versus-host disease. Bone Marrow Transplant. 34, 753–765 (2004).
Krenger, W., Blazar, B. R. & Holländer, G. A. Thymic T-cell development in allogeneic stem cell transplantation. Blood 117, 6768–6776 (2011).
Ding, L. et al. Tumor necrosis factor α in aGVHD patients contributed to the impairment of recipient bone marrow MSC stemness and deficiency of their hematopoiesis-promotion capacity. Stem Cell Res. Ther. 11, 119 (2020).
Mensen, A. et al. Bone marrow T-cell infiltration during acute GVHD is associated with delayed B-cell recovery and function after HSCT. Blood 124, 963–972 (2014).
Shortt, J., Hutton, E., Faragher, M. & Spencer, A. Central nervous system graft-versus-host disease post allogeneic stem cell transplant. Br. J. Haematol. 132, 245–247 (2006).
Przepiorka, D. et al. 1994 Consensus Conference on Acute GVHD Grading. Bone Marrow Transplant. 15, 825–828 (1995).
MacMillan, M. L. et al. Response of 443 patients to steroids as primary therapy for acute graft-versus-host disease: comparison of grading systems. Biol. Blood Marrow Transplant. 8, 387–394 (2002).
Rowlings, P. A. et al. IBMTR severity index for grading acute graft-versus-host disease: retrospective comparison with Glucksberg grade. Br. J. Haematol. 97, 855–864 (1997).
Paczesny, S. et al. A biomarker panel for acute graft-versus-host disease. Blood 113, 273–278 (2009).
Paczesny, S. et al. Elafin is a biomarker of graft-versus-host disease of the skin. Sci. Transl Med. 2, 13ra12 (2010).
Harris, A. C. et al. Plasma biomarkers of lower gastrointestinal and liver acute GVHD. Blood 119, 2960–2963 (2012).
Ferrara, J. L. et al. Regenerating islet-derived 3-alpha is a biomarker of gastrointestinal graft-versus-host disease. Blood 118, 6702–6708 (2011).
Hartwell, M. J. et al. An early-biomarker algorithm predicts lethal graft-versus-host disease and survival. JCI insight 2, e89798 (2017).
Srinagesh, H. K. et al. The MAGIC algorithm probability is a validated response biomarker of treatment of acute graft-versus-host disease. Blood Advan. 3, 4034–4042 (2019).
Zewde, M. G. et al. Evaluation of elafin as a prognostic biomarker in acute graft-versus-host disease. Transplant. Cell Ther. 27, 988.e1–988.e7 (2021).
Storb, R. et al. Methotrexate and cyclosporine compared with cyclosporine alone for prophylaxis of acute graft versus host disease after marrow transplantation for leukemia. N. Engl. J. Med. 314, 729–735 (1986). To our knowledge, the first randomized phase III study that established the combination of methotrexate and a calcineurin as the standard GVHD prophylaxis after alloHCT.
Storb, R. et al. Methotrexate and cyclosporine versus cyclosporine alone for prophylaxis of graft-versus-host disease in patients given HLA-identical marrow grafts for leukemia: long-term follow-up of a controlled trial. Blood 73, 1729–1734 (1989).
Ratanatharathorn, V. et al. Phase III study comparing methotrexate and tacrolimus (prograf, FK506) with methotrexate and cyclosporine for graft-versus-host disease prophylaxis after HLA-identical sibling bone marrow transplantation. Blood 92, 2303–2314 (1998).
Nash, R. A. et al. Phase 3 study comparing methotrexate and tacrolimus with methotrexate and cyclosporine for prophylaxis of acute graft-versus-host disease after marrow transplantation from unrelated donors. Blood 96, 2062–2068 (2000).
Farouk, S. S. & Rein, J. L. The many faces of calcineurin inhibitor toxicity – what the FK? Adv. Chronic Kidney Dis. 27, 56–66 (2020).
Young, J. A., Pallas, C. R. & Knovich, M. A. Transplant-associated thrombotic microangiopathy: theoretical considerations and a practical approach to an unrefined diagnosis. Bone Marrow Transplant. 56, 1805–1817 (2021).
Ricklin, D., Hajishengallis, G., Yang, K. & Lambris, J. D. Complement: a key system for immune surveillance and homeostasis. Nat. Immunol. 11, 785–797 (2010).
Bolwell, B. et al. A prospective randomized trial comparing cyclosporine and short course methotrexate with cyclosporine and mycophenolate mofetil for GVHD prophylaxis in myeloablative allogeneic bone marrow transplantation. Bone Marrow Transplant. 34, 621–625 (2004).
Kharfan-Dabaja, M. et al. Mycophenolate mofetil versus methotrexate for prevention of graft-versus-host disease in people receiving allogeneic hematopoietic stem cell transplantation. Cochrane Database Syst. Rev. https://doi.org/10.1002/14651858.CD010280.pub2 (2014).
Ram, R., Yeshurun, M., Vidal, L., Shpilberg, O. & Gafter-Gvili, A. Mycophenolate mofetil vs. methotrexate for the prevention of graft-versus-host-disease-systematic review and meta-analysis. Leuk. Res 38, 352–360 (2014).
Mohty, M. et al. Mycophenolate mofetil and cyclosporine for graft-versus-host disease prophylaxis following reduced intensity conditioning allogeneic stem cell transplantation. Bone Marrow Transplant. 34, 527–530 (2004).
Brunstein, C. G. et al. Umbilical cord blood transplantation after nonmyeloablative conditioning: impact on transplantation outcomes in 110 adults with hematologic disease. Blood 110, 3064–3070 (2007).
Brissot, E. et al. Prophylaxis with mycophenolate mofetil and CsA can decrease the incidence of severe acute GVHD after antithymocyte globulin-based reduced-intensity preparative regimen and allo-SCT from HLA-matched unrelated donors. Bone Marrow Transplant. 45, 786–788 (2010).
Penack, O. et al. Prophylaxis and management of graft versus host disease after stem-cell transplantation for haematological malignancies: updated consensus recommendations of the European Society for Blood and Marrow Transplantation. Lancet Haematol. 7, e157–e167 (2020).
Törlén, J. et al. A prospective randomized trial comparing cyclosporine/methotrexate and tacrolimus/sirolimus as graft-versus-host disease prophylaxis after allogeneic hematopoietic stem cell transplantation. Haematologica 101, 1417–1425 (2016).
Sandmaier, B. M. et al. Addition of sirolimus to standard cyclosporine plus mycophenolate mofetil-based graft-versus-host disease prophylaxis for patients after unrelated non-myeloablative haemopoietic stem cell transplantation: a multicentre, randomised, phase 3 trial. Lancet Haematol. 6, e409–e418 (2019).
Kornblit, B. et al. Sirolimus with CSP and MMF as GVHD prophylaxis for allogeneic transplantation with HLA antigen-mismatched donors. Blood 136, 1499–1506 (2020).
Watkins, B. et al. Phase II trial of costimulation blockade with abatacept for prevention of acute GVHD. J. Clin. Oncol. 39, 1865–1877 (2021).
Urbano-Ispizua, A. et al. Rapid engraftment without significant graft-versus-host disease after allogeneic transplantation of CD34+ selected cells from peripheral blood. Blood 89, 3967–3973 (1997).
Wagner, J. E., Thompson, J. S., Carter, S. L. & Kernan, N. A. Effect of graft-versus-host disease prophylaxis on 3-year disease-free survival in recipients of unrelated donor bone marrow (T-cell Depletion Trial): a multi-centre, randomised phase II-III trial. Lancet 366, 733–741 (2005).
Keever-Taylor, C. A. et al. Characteristics of CliniMACS® System CD34-enriched T cell-depleted grafts in a multicenter trial for acute myeloid leukemia – Blood and Marrow Transplant Clinical Trials Network (BMT CTN) protocol 0303. Biol. Blood Marrow Transplant. 18, 690–697 (2012).
Hobbs, G. S. et al. Comparison of outcomes at two institutions of patients with ALL receiving ex vivo T-cell-depleted or unmodified allografts. Bone Marrow Transplant. 50, 493–498 (2015).
Barba, P. et al. CD34+ cell selection versus reduced-intensity conditioning and unmodified grafts for allogeneic hematopoietic cell transplantation in patients age >50 years with acute myelogenous leukemia and myelodysplastic syndrome. Biol. Blood Marrow Transplant. 24, 964–972 (2018).
Bertaina, A. et al. HLA-haploidentical stem cell transplantation after removal of αβ+ T and B cells in children with nonmalignant disorders. Blood 124, 822–826 (2014).
Salzmann-Manrique, E. et al. Joint modeling of immune reconstitution post haploidentical stem cell transplantation in pediatric patients with acute leukemia comparing CD34+-selected to CD3/CD19-depleted grafts in a retrospective multicenter study. Front. Immunol. 9, 1841 (2018).
Bleakley, M. et al. Naive T-cell depletion to prevent chronic graft-versus-host disease. J. Clin. Oncol. 40, 1174–1185 (2022).
Martelli, M. F. et al. HLA-haploidentical transplantation with regulatory and conventional T-cell adoptive immunotherapy prevents acute leukemia relapse. Blood 124, 638–644 (2014).
Mohty, M. Mechanisms of action of antithymocyte globulin: T-cell depletion and beyond. Leukemia 21, 1387–1394 (2007).
Bacigalupo, A. et al. Antithymocyte globulin for graft-versus-host disease prophylaxis in transplants from unrelated donors: 2 randomized studies from Gruppo Italiano Trapianti Midollo Osseo (GITMO). Blood 98, 2942–2947 (2001). To our knowledge, the first randomized study showing that in vivo T cell depletion of antithymocyte globulin added to standard pharmacological GVHD prophylaxis decreases the incidence of acute GVHD.
Finke, J. et al. Standard graft-versus-host disease prophylaxis with or without anti-T-cell globulin in haematopoietic cell transplantation from matched unrelated donors: a randomised, open-label, multicentre phase 3 trial. Lancet Oncol. 10, 855–864 (2009).
Kröger, N. et al. Antilymphocyte globulin for prevention of chronic graft-versus-host disease. N. Engl. J. Med. 374, 43–53 (2016).
Walker, I. et al. Pretreatment with anti-thymocyte globulin versus no anti-thymocyte globulin in patients with haematological malignancies undergoing haemopoietic cell transplantation from unrelated donors: a randomised, controlled, open-label, phase 3, multicentre trial. Lancet Oncol. 17, 164–173 (2016).
Soiffer, R. J. et al. Prospective, randomized, double-blind, phase III clinical trial of anti-T-lymphocyte globulin to assess impact on chronic graft-versus-host disease-free survival in patients undergoing HLA-matched unrelated myeloablative hematopoietic cell transplantation. J. Clin. Oncol. 35, 4003–4011 (2017).
Bonifazi, F. in The EBMT Handbook: Hematopoietic Stem Cell Transplantation and Cellular Therapies (eds Carreras, E., Dufour, C., Mohty, M. & Kröger, N.) 183–187 (Springer, 2019).
Soiffer, R. J. et al. Impact of immune modulation with anti-T-cell antibodies on the outcome of reduced-intensity allogeneic hematopoietic stem cell transplantation for hematologic malignancies. Blood 117, 6963–6970 (2011).
Luznik, L. et al. HLA-haploidentical bone marrow transplantation for hematologic malignancies using nonmyeloablative conditioning and high-dose, posttransplantation cyclophosphamide. Biol. Blood Marrow Transplant. 14, 641–650 (2008). To our knowledge, the first study reporting the use of post-transplant cyclophosphamide for acute GVHD in patients with a haploidentical donor.
Bashey, A. et al. T-cell-replete HLA-haploidentical hematopoietic transplantation for hematologic malignancies using post-transplantation cyclophosphamide results in outcomes equivalent to those of contemporaneous HLA-matched related and unrelated donor transplantation. J. Clin. Oncol. 31, 1310–1316 (2013).
Wachsmuth, L. P. et al. Post-transplantation cyclophosphamide prevents graft-versus-host disease by inducing alloreactive T cell dysfunction and suppression. J. Clin. Investig. 129, 2357–2373 (2019).
Battipaglia, G. et al. Posttransplant cyclophosphamide vs antithymocyte globulin in HLA-mismatched unrelated donor transplantation. Blood 134, 892–899 (2019).
Shaw, B. E. et al. A national marrow donor program sponsored multi-center, phase II trial of HLA- mismatched unrelated donor bone marrow transplantation using post-transplant cyclophosphamide. J. Clin. Oncol. 39, 1971–1982 (2021).
Brissot, E. et al. Post-transplantation cyclophosphamide vs. antithymocyte globulin after RIC regimen allo-HCT: first analysis of a prospective randomized multicenter trial in recipients of 10/10 matched donors [abstract O001]. Bone Marrow Transplant. 56 (Suppl. 1), 12 (2021).
Holtan, S. G. et al. Post-transplant cyclophosphamide, tacrolimus, and mycophenolate mofetil as the new standard for graft-versus-host disease (GVHD) prophylaxis in reduced intensity conditioning: results from phase III BMT CTN 1703 [abstract]. Blood 140 (Suppl. 2), LBA-4 (2022).
Luznik, L. et al. Randomized phase III BMT CTN trial of calcineurin inhibitor-free chronic graft-versus-host disease interventions in myeloablative hematopoietic cell transplantation for hematologic malignancies. J. Clin. Oncol. 40, 356–368 (2022).
Atilla, E., Atilla, P. A., Bozdag, S. C. & Demirer, T. A review of infectious complications after haploidentical hematopoietic stem cell transplantations. Infection 45, 403–411 (2017).
Duléry, R. et al. Early cardiac toxicity associated with post-transplant cyclophosphamide in allogeneic stem cell transplantation. JACC CardioOncol. 3, 250–259 (2021).
El-Cheikh, J. et al. Impact of adding antithymocyte globulin to posttransplantation cyclophosphamide in haploidentical stem-cell transplantation. Clin. Lymphoma Myeloma Leuk. 20, 617–623 (2020).
Pérez-Simón, J. A. et al. Nonmyeloablative transplantation with or without alemtuzumab: comparison between 2 prospective studies in patients with lymphoproliferative disorders. Blood 100, 3121–3127 (2002).
Kottaridis, P. D. et al. In vivo CAMPATH-1H prevents graft-versus-host disease following nonmyeloablative stem cell transplantation. Blood 96, 2419–2425 (2000).
Chakraverty, R. et al. Limiting transplantation-related mortality following unrelated donor stem cell transplantation by using a nonmyeloablative conditioning regimen. Blood 99, 1071–1078 (2002).
Malladi, R. K. et al. Alemtuzumab markedly reduces chronic GVHD without affecting overall survival in reduced-intensity conditioning sibling allo-SCT for adults with AML. Bone Marrow Transplant. 43, 709–715 (2009).
van Besien, K. et al. Fludarabine-melphalan conditioning for AML and MDS: alemtuzumab reduces acute and chronic GVHD without affecting long-term outcomes. Biol. Blood Marrow Transplant. 15, 610–617 (2009).
Chen, Y.-B. et al. Vedolizumab for prophylaxis of lower gastrointestinal acute graft-versus-host disease after allogeneic hematopoietic stem-cell transplantation from unrelated donors: a phase 3, randomized, double-blind, placebo-controlled, multicenter study. Presented at the 49th EBMT Annual Meeting (2023).
Ponce, D. M. et al. Guidelines for the prevention and management of graft-versus-host disease after cord blood transplantation. Transplant. Cell Ther. 27, 540–544 (2021).
Bacigalupo, A. et al. Steroid treatment of acute graft-versus-host disease grade I: a randomized trial. Haematologica 102, 2125–2133 (2017).
Mielcarek, M. et al. Initial therapy of acute graft-versus-host disease with low-dose prednisone does not compromise patient outcomes. Blood 113, 2888–2894 (2009).
Mielcarek, M. et al. Effectiveness and safety of lower dose prednisone for initial treatment of acute graft-versus-host disease: a randomized controlled trial. Haematologica 100, 842–848 (2015).
Hockenbery, D. M. et al. A randomized, placebo-controlled trial of oral beclomethasone dipropionate as a prednisone-sparing therapy for gastrointestinal graft-versus-host disease. Blood 109, 4557–4563 (2007).
McDonald, G. B. et al. Oral beclomethasone dipropionate for treatment of intestinal graft-versus-host disease: a randomized, controlled trial. Gastroenterology 115, 28–35 (1998).
Mohty, M. et al. Refractory acute graft-versus-host disease: a new working definition beyond corticosteroid refractoriness. Blood 136, 1903–1906 (2020).
MacMillan, M. L., DeFor, T. E. & Weisdorf, D. J. The best endpoint for acute GVHD treatment trials. Blood 115, 5412–5417 (2010).
Alousi, A. M. et al. Etanercept, mycophenolate, denileukin, or pentostatin plus corticosteroids for acute graft-versus-host disease: a randomized phase 2 trial from the Blood and Marrow Transplant Clinical Trials Network. Blood 114, 511–517 (2009).
Bolanos-Meade, J. et al. Phase 3 clinical trial of steroids/mycophenolate mofetil vs steroids/placebo as therapy for acute GVHD: BMT CTN 0802. Blood 124, 3221–3227 (2014).
Couriel, D. R. et al. A phase III study of infliximab and corticosteroids for the initial treatment of acute graft-versus-host disease. Biol. Blood Marrow Transplant. 15, 1555–1562 (2009).
Zeiser, R. et al. Efficacy and safety of itacitinib versus placebo in combination with corticosteroids for initial treatment of acute graft-versus-host disease (GRAVITAS-301): a randomised, multicentre, double-blind, phase 3 trial. Lancet Haematol. 9, e14–e25 (2022).
Pidala, J. et al. Randomized multicenter trial of sirolimus vs prednisone as initial therapy for standard-risk acute GVHD: the BMT CTN 1501 trial. Blood 135, 97–107 (2020).
Martin, P. J. et al. First- and second-line systemic treatment of acute graft-versus-host disease: recommendations of the American Society of Blood and Marrow Transplantation. Biol. Blood Marrow Transplant. 18, 1150–1163 (2012).
Martin, P. J. How I treat steroid-refractory acute graft-versus-host disease. Blood 135, 1630–1638 (2020).
Malard, F., Huang, X. J. & Sim, J. P. Y. Treatment and unmet needs in steroid-refractory acute graft-versus-host disease. Leukemia 34, 1229–1240 (2020).
Zeiser, R. et al. Ruxolitinib in corticosteroid-refractory graft-versus-host disease after allogeneic stem cell transplantation: a multicenter survey. Leukemia 29, 2062–2068 (2015).
Jagasia, M. et al. Ruxolitinib for the treatment of steroid-refractory acute GVHD (REACH1): a multicenter, open-label, phase 2 trial. Blood https://doi.org/10.1182/blood.2020004823 (2020).
Zeiser, R. et al. Ruxolitinib for glucocorticoid-refractory acute graft-versus-host disease. N. Engl. J. Med. 382, 1800–1810 (2020). To our knowledge, the first randomized study showing the superiority of a second-line treatment, ruxolitinib, for steroid-refractory acute GVHD.
MacMillan, M. L. et al. A refined risk score for acute graft-versus-host disease that predicts response to initial therapy, survival, and transplant-related mortality. Biol. Blood Marrow Transplant. 21, 761–767 (2015).
Marchetti, O. et al. ECIL recommendations for the use of biological markers for the diagnosis of invasive fungal diseases in leukemic patients and hematopoietic SCT recipients. Bone Marrow Transplant. 47, 846–854 (2012).
Yuan, Y. et al. High incidence of resistant breakthrough invasive fungal infections (IFD) in patients treated for acute gastrointestinal graft-versus-host disease (GI GVHD) following allogeneic haematopoietic cell transplantation. Bone Marrow Transplant. 57, 1712–1715 (2022).
Ullmann, A. J. et al. Posaconazole or fluconazole for prophylaxis in severe graft-versus-host disease. N. Engl. J. Med. 356, 335–347 (2007).
Maertens, J. et al. ECIL guidelines for preventing Pneumocystis jirovecii pneumonia in patients with haematological malignancies and stem cell transplant recipients. J. Antimicrob. Chemother. 71, 2397–2404 (2016).
Ljungman, P. et al. Guidelines for the management of cytomegalovirus infection in patients with haematological malignancies and after stem cell transplantation from the 2017 European Conference on Infections in Leukaemia (ECIL 7). Lancet Infect. Dis. 19, e260–e272 (2019).
Wolfe, D. et al. Letermovir prophylaxis and cytomegalovirus reactivation in adult hematopoietic cell transplant recipients with and without acute graft versus host disease. Cancers https://doi.org/10.3390/cancers13215572 (2021).
Bansal, R. et al. Extended letermovir administration, beyond day 100, is effective for CMV prophylaxis in patients with graft versus host disease. Transplant. Infect. Dis. 23, e13487 (2021).
Boeckh, M., Kim, H. W., Flowers, M. E., Meyers, J. D. & Bowden, R. A. Long-term acyclovir for prevention of varicella zoster virus disease after allogeneic hematopoietic cell transplantation – a randomized double-blind placebo-controlled study. Blood 107, 1800–1805 (2006).
Klein, A., Miller, K. B., Sprague, K., DesJardin, J. A. & Snydman, D. R. A randomized, double-blind, placebo-controlled trial of valacyclovir prophylaxis to prevent zoster recurrence from months 4 to 24 after BMT. Bone Marrow Transplant. 46, 294–299 (2011).
Stocker, N. et al. Pre-emptive rituximab treatment for Epstein–Barr virus reactivation after allogeneic hematopoietic stem cell transplantation is a worthwhile strategy in high-risk recipients: a comparative study for immune recovery and clinical outcomes. Bone Marrow Transplant. 55, 586–594 (2020).
Engelhard, D., Mohty, B., de la Camara, R., Cordonnier, C. & Ljungman, P. European guidelines for prevention and management of influenza in hematopoietic stem cell transplantation and leukemia patients: summary of ECIL-4 (2011), on behalf of ECIL, a joint venture of EBMT, EORTC, ICHS, and ELN. Transplant. Infect. Dis. 15, 219–232 (2013).
Piñana, J. L. et al. Clinical effectiveness of influenza vaccination after allogeneic hematopoietic stem cell transplantation: a cross-sectional, prospective, observational study. Clin. Infect. Dis. 68, 1894–1903 (2019).
Cesaro, S. et al. Recommendations for the management of COVID-19 in patients with haematological malignancies or haematopoietic cell transplantation, from the 2021 European Conference on Infections in Leukaemia (ECIL 9). Leukemia 36, 1467–1480 (2022).
Machado, C. M. et al. Use of oseltamivir to control influenza complications after bone marrow transplantation. Bone Marrow Transplant. 34, 111–114 (2004).
Hammond, J. et al. Oral nirmatrelvir for high-risk, nonhospitalized adults with Covid-19. N. Engl. J. Med. 386, 1397–1408 (2022).
Lemaitre, F. et al. Therapeutic drug monitoring and dosage adjustments of immunosuppressive drugs when combined with nirmatrelvir/ritonavir in patients with COVID-19. Ther. Drug Monit. 45, 191–199 (2023).
Raanani, P. et al. Immunoglobulin prophylaxis in hematopoietic stem cell transplantation: systematic review and meta-analysis. J. Clin. Oncol. 27, 770–781 (2009).
Ljungman, P. et al. Vaccination of stem cell transplant recipients: recommendations of the Infectious Diseases Working Party of the EBMT. Bone Marrow Transplant. 35, 737–746 (2005).
Cordonnier, C. et al. Vaccination of haemopoietic stem cell transplant recipients: guidelines of the 2017 European Conference on Infections in Leukaemia (ECIL 7). Lancet Infect. Dis. 19, e200–e212 (2019).
Averbuch, D. et al. European guidelines for empirical antibacterial therapy for febrile neutropenic patients in the era of growing resistance: summary of the 2011 4th European Conference on Infections in Leukemia. Haematologica 98, 1826–1835 (2013).
Seibel, M. J., Cooper, M. S. & Zhou, H. Glucocorticoid-induced osteoporosis: mechanisms, management, and future perspectives. Lancet Diabetes Endocrinol. 1, 59–70 (2013).
Li, J.-X. & Cummins, C. L. Fresh insights into glucocorticoid-induced diabetes mellitus and new therapeutic directions. Nat. Rev. Endocrinol. 18, 540–557 (2022).
Aaronson, N. K. et al. The European Organization for Research and Treatment of Cancer QLQ-C30: a quality-of-life instrument for use in international clinical trials in oncology. J. Natl Cancer Inst. 85, 365–376 (1993).
McQuellon, R. P. et al. Quality of life measurement in bone marrow transplantation: development of the Functional Assessment of Cancer Therapy–Bone Marrow Transplant (FACT-BMT) scale. Bone Marrow Transplant. 19, 357–368 (1997).
Lent, L., Hahn, E., Eremenco, S., Webster, K. & Cella, D. Using cross-cultural input to adapt the Functional Assessment of Chronic Illness Therapy (FACIT) scales. Acta Oncol. 38, 695–702 (1999).
Ware, J. Jr., Kosinski, M. & Keller, S. D. A 12-Item Short-Form Health Survey: construction of scales and preliminary tests of reliability and validity. Med. Care 34, 220–233 (1996).
Lee, S. J. et al. Quality of life associated with acute and chronic graft-versus-host disease. Bone Marrow Transplant. 38, 305–310 (2006).
Rashid, N. et al. Late effects of severe acute graft-versus-host disease on quality of life, medical comorbidities, and survival. Transplant. Cell Ther. https://doi.org/10.1016/j.jtct.2022.08.027 (2022).
Grube, M. et al. Risk factors and outcome of chronic graft-versus-host disease after allogeneic stem cell transplantation – results from a single-center observational study. Biol. Blood Marrow Transplant. 22, 1781–1791 (2016).
Boyiadzis, M. et al. Impact of chronic graft-versus-host disease on late relapse and survival on 7,489 patients after myeloablative allogeneic hematopoietic cell transplantation for leukemia. Clin. Cancer Res. 21, 2020–2028 (2015).
Pidala, J., Anasetti, C. & Jim, H. Quality of life after allogeneic hematopoietic cell transplantation. Blood 114, 7–19 (2009).
Brice, L. et al. Predictors of quality of life in allogeneic hematopoietic stem cell transplantation survivors. J. Psychosoc. Oncol. 39, 534–552 (2021).
Norkin, M., Hsu, J. W. & Wingard, J. R. Quality of life, social challenges, and psychosocial support for long-term survivors after allogeneic hematopoietic stem-cell transplantation. Semin. Hematol. 49, 104–109 (2012).
Loberiza, F. R. Jr. et al. Association of depressive syndrome and early deaths among patients after stem-cell transplantation for malignant diseases. J. Clin. Oncol. 20, 2118–2126 (2002).
Clark, C. A., Savani, M., Mohty, M. & Savani, B. N. What do we need to know about allogeneic hematopoietic stem cell transplant survivors. Bone Marrow Transplant. 51, 1025–1031 (2016).
Arnhold, V. et al. Corticosteroid treatment impairs epithelial regeneration, limiting intestinal recovery in experimental graft vs host disease [abstract]. Blood 138 (Suppl. 1), 88 (2021).
Hanash, A. M. et al. Interleukin-22 protects intestinal stem cells from immune-mediated tissue damage and regulates sensitivity to graft versus host disease. Immunity 37, 339–350 (2012).
Lindemans, C. A. et al. Interleukin-22 promotes intestinal-stem-cell-mediated epithelial regeneration. Nature 528, 560–564 (2015).
Hummel, S. et al. Telomere shortening in enterocytes of patients with uncontrolled acute intestinal graft-versus-host disease. Blood 126, 2518–2521 (2015).
Malard, F., Gaugler, B. & Mohty, M. Faecal microbiota transplantation in patients with haematological malignancies undergoing cellular therapies: from translational research to routine clinical practice. Lancet Haematol. 9, e776–e785 (2022).
Shouval, R., Geva, M., Nagler, A. & Youngster, I. Fecal microbiota transplantation for treatment of acute graft-versus-host disease. Clin. Hematol. Int. 1, 28–35 (2019).
Qiao, X. et al. Safety and efficacy of fecal microbiota transplantation in the treatment of graft-versus-host disease. Bone Marrow Transplant. https://doi.org/10.1038/s41409-022-01824-1 (2022).
Sirohi, B. & Mathew, A. Access to and affordability of cancer medicines: time to focus on the last mile. Lancet Oncol. 22, 1342–1343 (2021).
Bleakley, M. & Riddell, S. R. Molecules and mechanisms of the graft-versus-leukaemia effect. Nat. Rev. Cancer 4, 371–380 (2004).
Copelan, E. A. Hematopoietic stem-cell transplantation. N. Engl. J. Med. 354, 1813–1826 (2006).
Bacigalupo, A. et al. Defining the intensity of conditioning regimens: working definitions. Biol. Blood Marrow Transplant. 15, 1628–1633 (2009).
Gragert, L. et al. HLA match likelihoods for hematopoietic stem-cell grafts in the US registry. N. Engl. J. Med. 371, 339–348 (2014).
Kanakry, C. G., Fuchs, E. J. & Luznik, L. Modern approaches to HLA-haploidentical blood or marrow transplantation. Nat. Rev. Clin. Oncol. 13, 10–24 (2016).
Acknowledgements
The authors are grateful to J. V. Melo (University of Adelaide, Australia) for her critical review of this manuscript.
Author information
Authors and Affiliations
Contributions
Introduction (F.M., M.M.); Epidemiology (F.M. and M.M.); Mechanisms/pathophysiology (F.M., E.H. and M.M.); Diagnosis, screening and prevention (F.M., B.M.S. and M.M.); Management (F.M. and M.M.); Quality of life (F.M., H.H. and M.M.); Outlook (F.M. and M.M.); Overview of the Primer (F.M. and M.M.).
Corresponding authors
Ethics declarations
Competing interests
F.M. reports honoraria from Therakos/Mallinckrodt, Janssen, Biocodex, Sanofi, Jazz Pharmaceuticals, Gilead, Novartis and Astellas, all outside the scope of this work. E.H. reports grants and honoraria from MaaT Pharma, Pharmabiome, Medac and Novartis, all outside the scope of this work. M.M. reports grants, lecture honoraria and research support from Adaptive Biotechnologies, Amgen, Astellas, BMS-Celgene, GlaxoSmithKline, Janssen, Jazz Pharmaceuticals, Novartis, Pfizer, Takeda and Sanofi, all outside the scope of this work. The other authors do not declare any competing interests.
Peer review
Peer review information
Nature Reviews Disease Primers thanks J. Wagner, R. Champlin, Y. Atsuta and the other, anonymous, reviewer(s) for their contribution to the peer review of this work.
Additional information
Informed consent
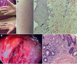
The authors affirm that human research participants provided informed consent for publication of the images in Fig. 4.
Publisher’s note Springer Nature remains neutral with regard to jurisdictional claims in published maps and institutional affiliations.
Supplementary information
Rights and permissions
Springer Nature or its licensor (e.g. a society or other partner) holds exclusive rights to this article under a publishing agreement with the author(s) or other rightsholder(s); author self-archiving of the accepted manuscript version of this article is solely governed by the terms of such publishing agreement and applicable law.
About this article
Cite this article
Malard, F., Holler, E., Sandmaier, B.M. et al. Acute graft-versus-host disease. Nat Rev Dis Primers 9, 27 (2023). https://doi.org/10.1038/s41572-023-00438-1
Accepted:
Published:
Version of record:
DOI: https://doi.org/10.1038/s41572-023-00438-1
This article is cited by
-
Immunological mechanisms underlying the novel application of mesenchymal stromal cell-derived extracellular vesicles (MSC-EVs) in graft-versus-host disease (GvHD) therapy
Molecular Biology Reports (2026)
-
Cellular sentinels: empowering survival and immune defense in hematopoietic stem cell transplantation through mesenchymal stem cells and T lymphocytes
BMC Medicine (2025)
-
Extracellular vesicles: a new frontier in diagnosing and treating graft-versus-host disease after allogeneic hematopoietic cell transplantation
Journal of Nanobiotechnology (2025)
-
Single cell RNA sequencing improves the next generation of approaches to AML treatment: challenges and perspectives
Molecular Medicine (2025)
-
Genome-edited allogeneic CAR-T cells: the next generation of cancer immunotherapies
Journal of Hematology & Oncology (2025)


