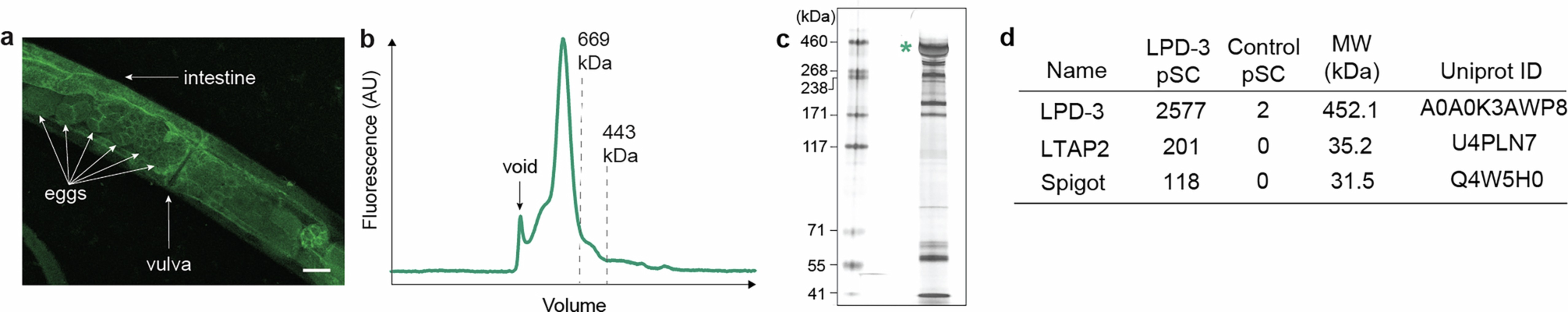
Extended Data Fig. 2: Isolation of LPD-3 from C. elegans.
From: Structural basis of lipid transfer by a bridge-like lipid-transfer protein

a, Spectral confocal image of mVenus fluorescence in an lpd3::mvenus worm showing fluorescence throughout the worm body. Shown is one representative image of six total images. b, Representative FSEC profile of the LPD-3 complex, detected via tryptophan fluorescence. c, A silver stained SDS-PAGE gel of the purified LPD-3 complex. Teal asterisk indicates LPD-3. Other bands may correspond to transiently associated proteins or contaminants. The experiment was repeated two times with similar results. For gel source data, see Supplementary Fig. 1. d, Mass spectrometry analysis of the purified LPD-3 complex, showing the three proteins with the highest peptide spectral counts (pSC).