Extended Data Fig. 7: In vivo HSPC gene transfer in osteopetrotic newborn mice.
From: In vivo haemopoietic stem cell gene therapy enabled by postnatal trafficking

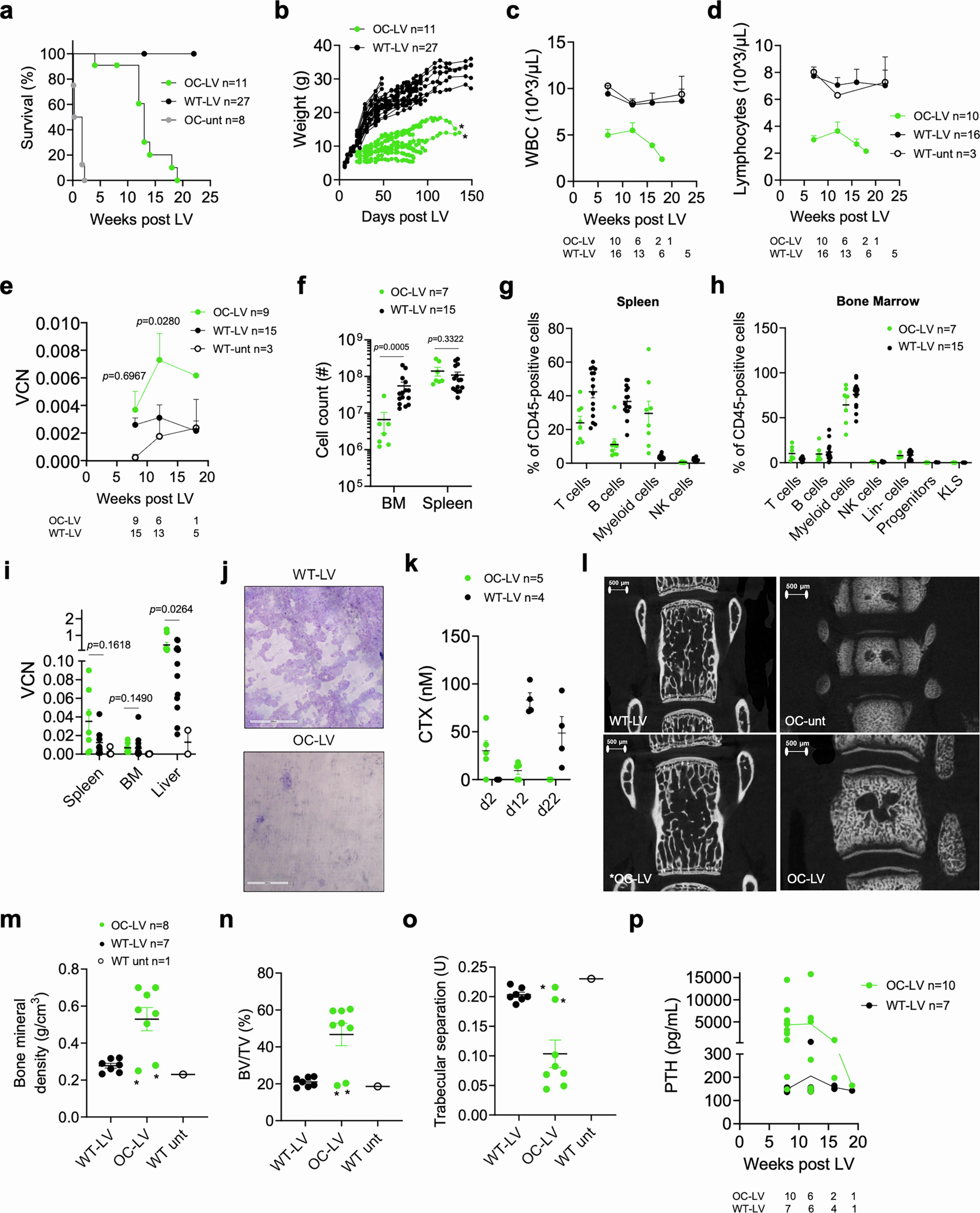
a, Survival of LV-treated osteopetrotic (OC-LV, n = 11) or WT mice (WT-LV, n = 27) treated as newborns with PGK.TCIRG1-LV (1-2e10 TU/kg) compared to untreated OC mice (OC-unt, n = 8) mice. b, Single values of the weight of OC-LV or WT-LV mice over time post LV treatment. c,d, Mean with SEM of white blood cell (WBC, c) or lymphocyte (d) counts measured by hemocytometer in the PB of OC-LV (n = 10) or, WT-LV (n = 16) mice, or untreated WT (WT-unt) mice (n = 3) over time. Sample sizes (n) at each time point are reported below the graphs. e, Mean with SEM of the VCN measured in the PB of OC-LV (n = 9), WT-LV mice (n = 15), or WT-unt mice (n = 3) over time. Sample sizes (n) at each time point are reported below the graphs. Šídák’s multiple comparisons test. f, Single values and mean with SEM of the total cell count isolated at necropsy from the BM or spleen of OC-LV (n = 7) or WT-LV (n = 15) mice. Mann-Whitney test. g,h, Single values and mean with SEM of the indicated populations among CD45-positive cells analyzed at necropsy in the spleen (g) or BM (h) of OC-LV (n = 7) or WT-LV (n = 15) mice. i, Single values and mean with SEM of the VCN measured in the indicated organs at necropsy in OC-LV (n = 9), WT-LV mice (n = 14), or WT-unt mice (n = 4). Mann-Whitney test. j, Representative images of toluidine blue staining of dentine discs after a resorption assay of osteoclasts differentiated from the BM of LV-treated WT or OC mice, as indicated. The purple area represents resorbed dentine. Scale bar: 200 µm. k, Single values and mean with SEM of C-terminal telopeptide (CTX) measured in the medium of osteoclast cultures from OC-LV (n = 5) or WT-LV (n = 4) mice following dentine resorption. l-o, Representative micro-tomography scans (l) or single values and mean with SEM of the quantification of bone mineral density (m), bone volume fraction (n), and trabecular separation (o) of WT-LV (n = 7), OC-LV-treated (n = 8), or WT-unt (n = 1) mice. Asterisks indicate the longest-surviving OC-LV mice, one of which is also shown in the bottom-left panel in (l). Scale bar: 500 µm. p, Single values and mean of parathyroid hormone (PTH) concentration in the serum of OC-LV (n = 10) or WT-LV (n = 7) mice at the indicated time points. Sample sizes (n) at each time point are reported below the graphs.