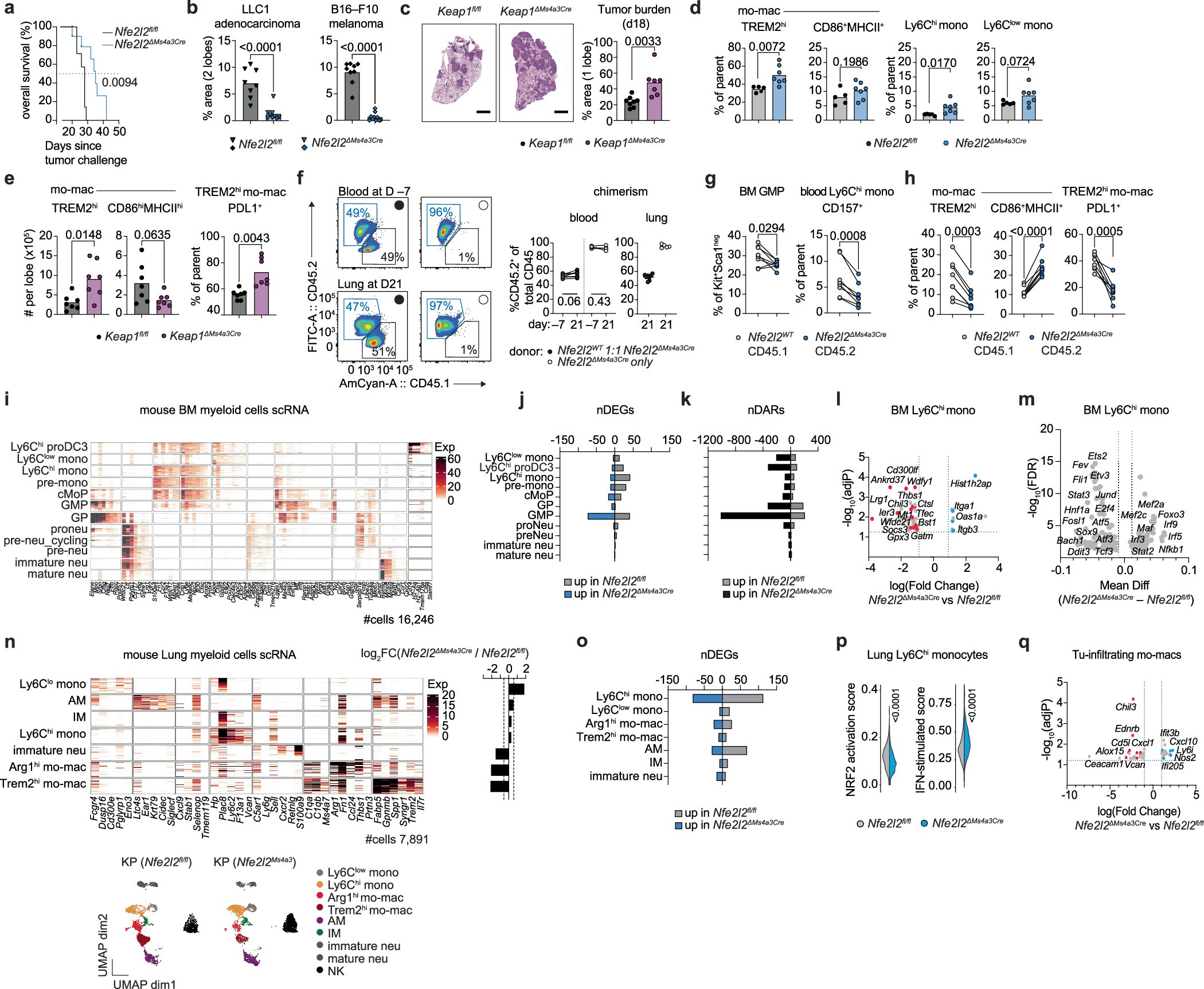
Extended Data Fig. 8: Tumor-induced NRF2 signaling in BM impacts myelopoiesis and intratumoral myeloid phenotype.
From: Myeloid progenitor dysregulation fuels immunosuppressive macrophages in tumours

a, Kaplan-Meier plot for overall survival of KP tumor-bearing Nfe2l2ΔMs4a3 mice (n = 10) or Nfe2l2fl/fl littermates (n = 8). b, Lung tumor burden in LLC1 tumor-bearing (left) and B16-F10 tumor-bearing (right) Nfe2l2ΔMs4a3 mice (n = 9,10) or Nfe2l2fl/fl littermates (n = 8,9). c, Tumor burden in KP tumor-bearing Keap1ΔMs4a3 mice (n = 7) or Keap1fl/fl littermates (n = 8). d, Frequency of Annexin-V+ cells within indicated intratumoral myeloid cells of KP tumor-bearing Nfe2l2ΔMs4a3 mice (n = 7) or Nfe2l2fl/fl littermates (n = 5). e, Number of tumor-infiltrating TREM2hi mo-macs, CD86+MHCII+ mo-macs, and TREM2hi mo-macs expressing PDL1 in Keap1ΔMs4a3 mice or Keap1fl/fl littermates (n = 7 each). f, Representative flow plots (left) and quantification (right) of donor chimerism in blood and lung of Nfe2l2WT 1:1 Nfe2l2ΔMs4a3 chimera mice or Nfe2l2ΔMs4a3-only chimera mice (left). left to right, n = 8,4 and n = 8,5. Individual data points with lines connecting same mouse. g–h, Frequency of BM GMPs and blood CD157+ Ly6Chi monocytes (g), frequency of lung-infiltrating TREM2hi mo-macs, CD86+MHCII+ mo-macs, and lung-infiltrating TREM2hi mo-macs expressing PDL1 (h) derived from indicated BM donors. Individual data points with lines connecting same mouse (n = 8). i, scRNA-seq heatmap of per-cell UMI counts across indicated myeloid cell subclusters in BM of tumor-bearing Nfe2l2ΔMs4a3 and Nfe2l2fl/fl mice. n = 3 mice pooled per group. j–k, Number of differentially expressed genes i.e., nDEGs (j) (|logFC | >1, adjP<0.05) and number of differentially accessible regions i.e., nDARs (k) (|logFC | >0.25 and adjP<0.05) within indicated BM myeloid clusters of Nfe2l2ΔMs4a3 mice. l, Differentially expressed genes in BM Ly6Chi monocytes of tumor-bearing Nfe2l2ΔMs4a3 mice compared to Nfe2l2fl/fl littermates. m, Transcription factor (TF) motifs differentially enriched in BM Ly6Chi monocytes of tumor-bearing Nfe2l2ΔMs4a3 compared to Nfe2l2fl/fl littermates; ranked by FDR. n, scRNA-seq UMAP and heatmap of per-cell UMI counts (left) alongside relative abundance (right) of indicated myeloid sub-clusters in lung tissue of tumor-bearing Nfe2l2ΔMs4a3 and Nfe2l2fl/fl mice. n = 3 mice pooled per group. o, Number of DEGs (|logFC| >1, adjP<0.05) within indicated lung tumoral myeloid clusters of Nfe2l2ΔMs4a3 mice. p, Normalized UCell-computed scores for NRF2 activation and Type I/III Interferon (IFN)-stimulation in lung-infiltrating Ly6Chi monocytes from scRNA-seq of tumor-bearing Nfe2l2ΔMs4a3 and Nfe2l2fl/fl mice. n = 3 per group. Data are per-cell distribution plot. q, Differentially expressed genes in tumor-infiltrating mo-macs (Arg1hi,Trem2hi) of tumor-bearing Nfe2l2ΔMs4a3 mice compared to Nfe2l2fl/fl littermates. Individual data points with bar denoting mean, representative of two independent experiments (a,b,c,d,e). Scale bar, 2 mm (c). Statistics computed by Log-rank (Mantel-Cox) test (a), unpaired two-tailed Student’s t-test (b–e), paired two-tailed t-test (f–h), hypergeometric test with multiple test correction (l,p,q).