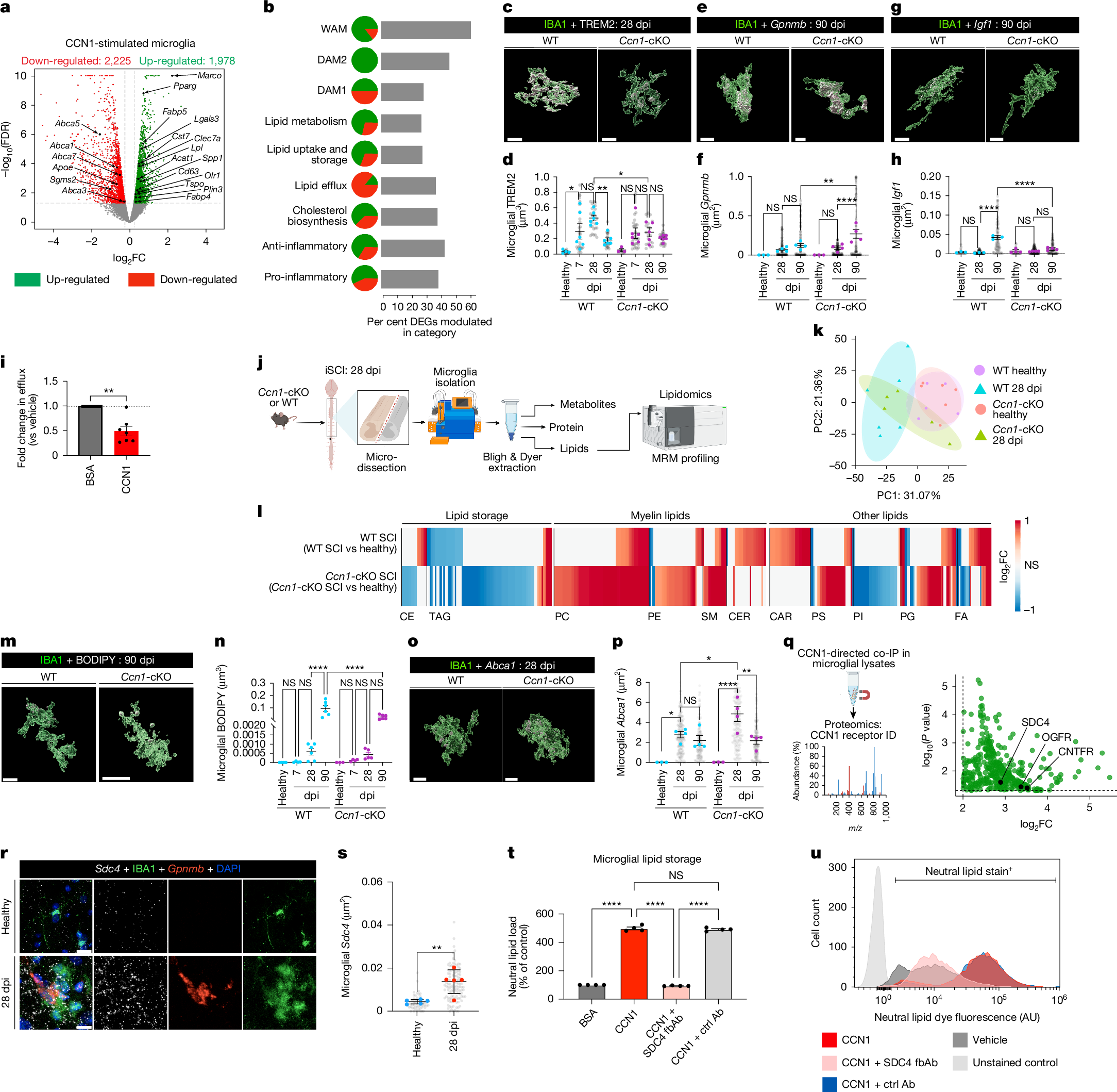
Fig. 4: Astrocyte CCN1 mediates lipid metabolism reprogramming in debris-clearing microglia.
From: Lesion-remote astrocytes govern microglia-mediated white matter repair

a,b, Volcano plot of all DEGs (a) and associated functional pathway modulation (b) in CCN1-stimulated primary microglia, as determined by RNA-seq (log2-transformed fold change versus vehicle (BSA), FDR P ≤ 0.05; vehicle, n = 3, and CCN1, n = 4). c,d, High-magnification 3D reconstruction (c) and quantification (d) of TREM2 in wild-type and Ccn1-cKO WDM. WT healthy (n = 4), Ccn1-cKO healthy (n = 3), WT 7 dpi (n = 6), Ccn1-cKO 7 dpi (n = 6), WT 28 dpi (n = 6), Ccn1-cKO 28 dpi (n = 5), WT 90 dpi (n = 6), Ccn1-cKO 90 dpi (n = 6). e,f, High-magnification 3D reconstruction (e) and quantification (f) of Gpnmb expression in WDM, data from WT healthy (n = 3), Ccn1-cKO healthy (n = 3), WT 28 dpi (n = 4), Ccn1-cKO 28 dpi (n = 4), WT 90 dpi (n = 4), Ccn1-cKO 90 dpi (n = 4). g,h, High-magnification 3D reconstruction (g) and quantification (h) of Igf1 expression in WDM from WT healthy (n = 3), Ccn1-cKO healthy (n = 4), WT 28 dpi (n = 3), Ccn1-cKO 28 dpi (n = 4), WT 90 dpi (n = 3) and Ccn1-cKO 90 dpi (n = 4) mice. i, Cholesterol efflux from cultured primary mouse microglia (n = 5 replicates from independent cultures run in triplicate; Students t-test, **P ≤ 0.002). j, schematic for SCI lesion-remote microglia lipidomics. MRM, multiple reaction monitoring. k, Principal component analysis of lipidomic profiles of healthy and iSCI microglia from wild-type and Ccn1-cKO spinal cord. Microglia were isolated from WT healthy (n = 5), Ccn1-cKO healthy (n = 6), WT 28 dpi (n = 6) and Ccn1-cKO 28 dpi (n = 5) mice. l, Comparison of wild-type and Ccn1-cKO injury-reactive alterations in microglia lipid profile (log2-transformed fold change, iSCI versus healthy, FDR P ≤ 0.05). White represents non-significantly altered lipid species. CAR, carnitines; CE, cholesterol esters; CER, ceramides; FA, fatty acids; PC, phosphatidylcholines; PE, phosphatidylethanolamines; PG, phosphatidylglycerols; PI, phosphatidylinositols; PS, phosphatidylserines; SM, sphingomyelins; TAG, triacylglycerols. m,n, High-magnification 3D reconstructions (m) and quantification (n) of BODIPY+ lipid droplets in WDM from WT healthy (n = 4), Ccn1-cKO healthy (n = 3), WT 7 dpi (n = 4), Ccn1-cKO 7 dpi (n = 4), WT 28 dpi (n = 6), WT Ccn1-cKO (n = 5), WT 90 dpi (n = 6) and Ccn1-cKO 90 dpi (n = 6) mice. o,p, High-magnification 3D reconstructions (o) and quantification (p) of Abca1 expression in WDM from WT healthy (n = 3), Ccn1-cKO healthy (n = 3), WT 28 dpi (n = 4), Ccn1-cKO 28 dpi (n = 4), WT 90 dpi (n = 4) and Ccn1-cKO 90 dpi (n = 4) mice. q, Left, schematic for CCN1 receptor identification assay. Right, volcano plot of CCN1 binding partners in microglia from proteomic analysis of CCN1-directed co-immunoprecipitation (co-IP) (n = 4 experimental replicates from independent cultures; log2-transformed fold change ≥2, CCN1 co-immunoprecipitation versus negative control antibody co-immunoprecipitation; t-test −log10P > 1.3). Labels indicate microglial candidate CCN1 receptors. r,s, High-magnification images (r) and quantification (s) of Sdc4 in healthy IBA1+ microglia and IBA1+/Gpnmb+ WDM nodules from Wallerian degenerating regions in wild-type mice (n = 5 mice per group; two-sided Student’s t-test, *P ≤ 0.05). t,u, Quantification of lipid storage in microglia by flow cytometric analysis of lipid droplet-associated neutral lipid content in microglia with CCN1 and antibody treatments. Ctrl Ab, isotype control antibodies; fbAb, function-blocking antibodies. t, Median intensity of neutral lipid staining. u, Representative distribution of cell counts and intensity of neutral lipid staining (n = 4 replicates from independent cultures; one-way ANOVA with Holm–Sidak post hoc test, ****P ≤ 0.0001). AU, arbitrary units. Unless stated otherwise, graphs show mean ± s.e.m. In graphs of histological counts or continuous data, coloured data points represent the mean value for each biological replicate (individual mouse); grey data points indicate replicate measurements from individual tissue sections. Unless stated otherwise, statistical analyses were performed using two-way ANOVA on mean values from biological replicates with Holm–Sidak post hoc test. Exact P values are provided in the Source Data. Scale bars, 10 μm.