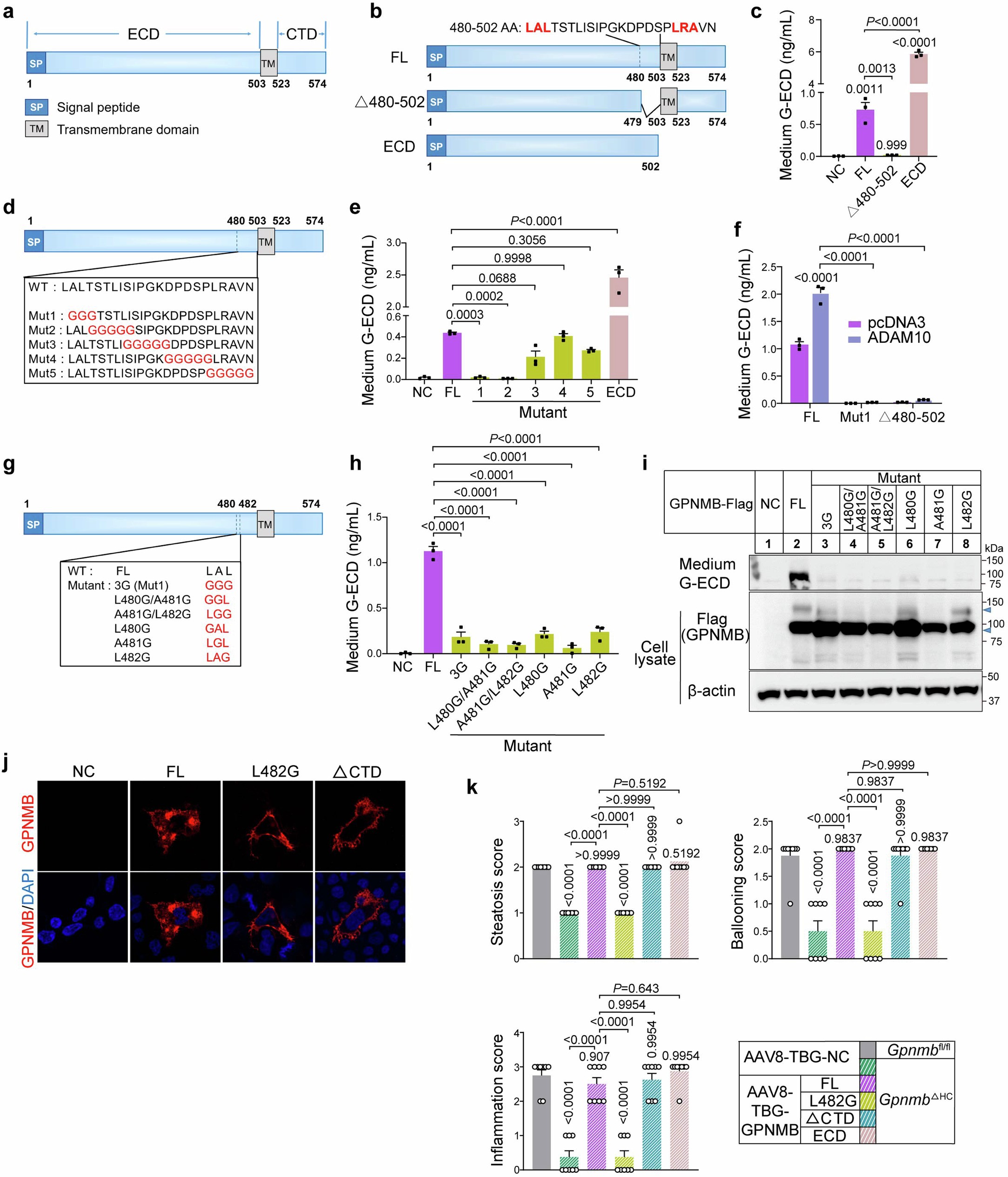
Extended Data Fig. 4: Characterization of GPNMB variants.

(a) Schematic illustration of GPNMB structure. (b) Illustration of full-length (FL) GPNMB and deletion mutants. (c) Secreted G-ECD in culture medium of Huh7 cells transfected with plasmids expressing GPNMB FL or deletion mutants for 48 h (n = 3 biologically independent experiments). (d) Illustration of membrane-adjacent segment mutations to glycine. (e) Medium G-ECD released from Huh7 cells transfected with plasmids expressing individual GPNMB mutants (n = 3 biologically independent experiments). (f) Medium G-ECD levels of Huh7 cells co-transfected with ADAM10 and GPNMB mutant expression plasmids (n = 3 biologically independent experiments). (g) Illustration of shedding-resistant GPNMB mutants. (h and i) G-ECD/GPNMB in culture medium and cell lysate of Huh7 cells transfected with plasmids expressing GPNMB mutants (h, n = 3 biologically independent experiments; i, repeated twice independently with similar results). (j) Representative images of two independent experimental repeats demonstrating membrane localization of GPNMB variants in Huh7 cells. (k) Histological evaluation of steatosis, ballooning, and inflammation in GpnmbΔHC mice reconstituted with GPNMB variants (n = 8 mice per group). Data are presented as mean ± SEM (c, e-f, h, k). Two-way (f) and one-way (c, e, h, k) ANOVA with Tukey’s multiple-comparison test.