Extended Data Fig. 9: Safety assessment following AAV-NoSTOP(UGA) treatment in WT mice.
From: An engineered UGA suppressor tRNA gene for disease-agnostic AAV delivery

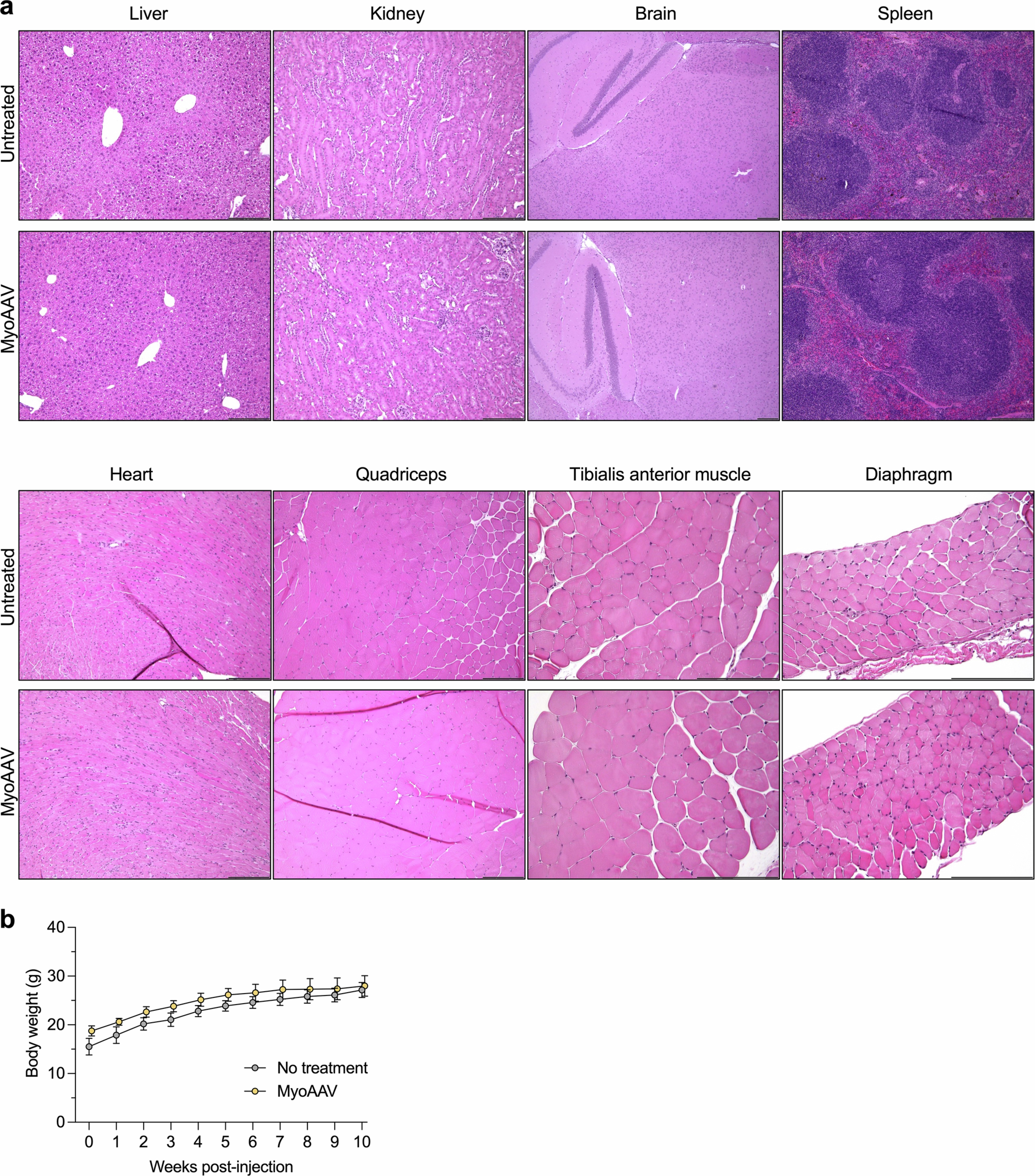
(a) Representative images of hematoxylin and eosin (HE) tissue stain are shown. Tissues were collected from the same mice (n = 3 mice per condition) as described in Fig. 5. (b) Line graph showing the body weight of the same mice as described in a (n = 3). Data are presented as mean and standard deviation.