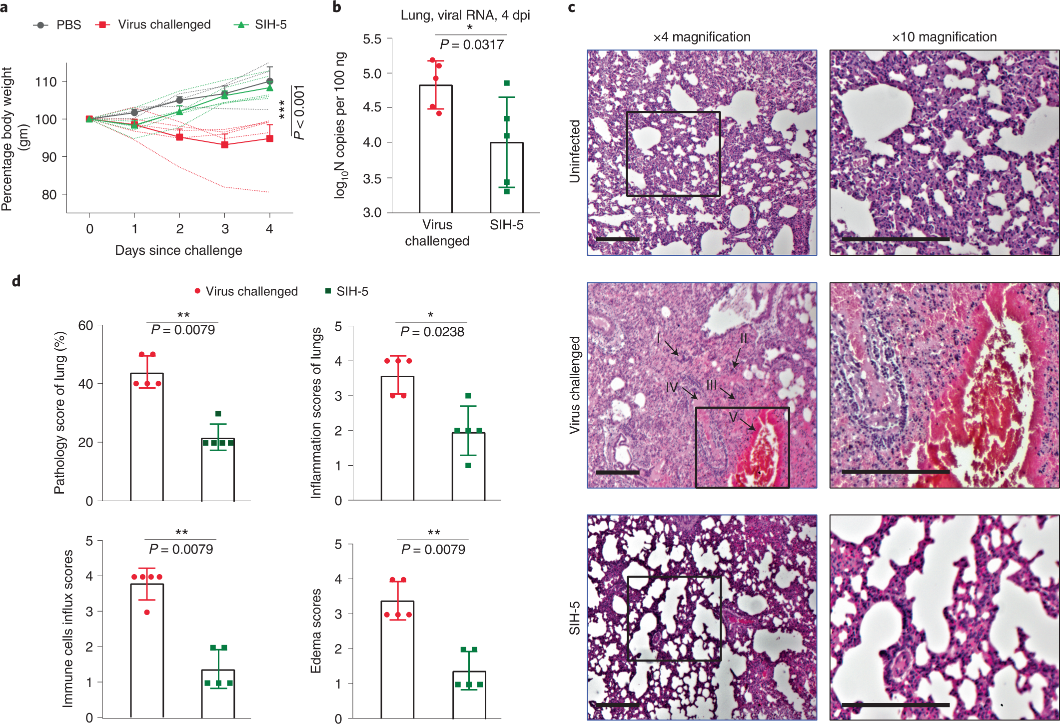
Fig. 5: SIH-5 prophylaxis protects against SARS-CoV-2 infection.
From: A dimeric proteomimetic prevents SARS-CoV-2 infection by dimerizing the spike protein

a, Body weight measurements through day 4 in three groups of Syrian hamsters: (1) control-PBS treated (n = 3), (2) challenged with 5 × 106 PFU dose of SARS-CoV-2 (n = 5) and (3) SIH-5 treated (day 0 at −8 h) and challenged with 5 × 106 PFU dose of SARS-CoV-2 (n = 5). The thick line represents average values, and the error bars indicate the standard deviation. Statistical significance was measured by a two-way analysis of variance test. ***P < 0.001. b, Viral load in the lungs of the hamsters at 4 days postinfection. Error bars indicate the standard deviation. Statistical significance was measured by a two-tailed Mann–Whitney test, P = 0.0317 (*P < 0.05, **P < 0.01). c, Representative histopathology of lung sections at 4 days postinfection in three groups; n = 3 for group (1), n = 5 for groups (2) and (3). In the middle panel (virus-challenged animals), the congestion of parenchyma and bronchopneumonia (I), alveolar edema and leukocytic alveolitis (II), blood hemorrhage (III), necrosis in bronchi filled blood and tissue exudates, acute bronchiolitis and infiltration of immune cells (IV), perivascular inflammation and vascular congestion (V) are highlighted. The scale bars represent 50 µm. d, Histopathological semi-quantitative scoring for lung pathology (P = 0.0079), inflammation (P = 0.0238), immune cells influx (P = 0.0079) and edema (P = 0.0079). Error bars indicate the standard deviation. Statistical significance was measured by a two-tailed Mann–Whitney test. *P < 0.05, **P < 0.01.