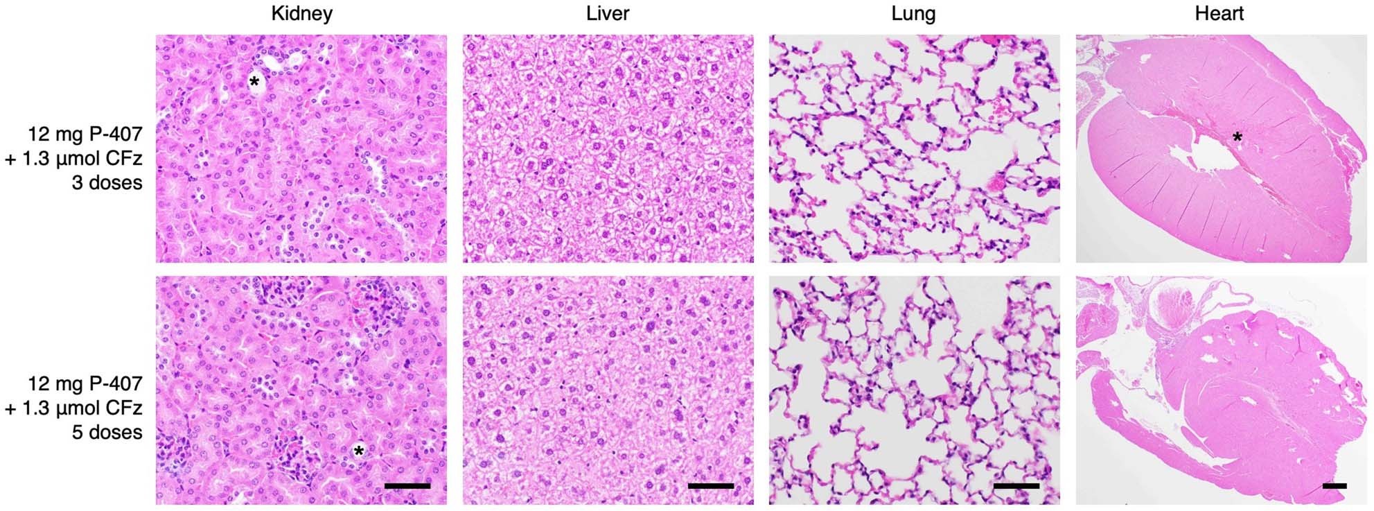
Extended Data Fig. 6: Minimal toxicity of repeated low-dose administration of CFz.
From: An optimized bioluminescent substrate for non-invasive imaging in the brain

Renal lesions were minimal to absent in mice receiving 3 or 5 daily i.p. injections of CFz (1.3 µmol). For kidney: asterisks, renal tubular dilation. For heart: asterisk, myocardial necrosis, and hemorrhage. No lesions were noted in the lungs across any groups. The selected images were representative dissection images with the most severe damage of three biological replicates for illustration purposes. Scale bars, 50 μm in kidney, liver, and lung, and 500 μm in heart. Detailed scores of histology analysis of all biological replicates were summarized in Supplementary Table 1.