Fig. 1: Design and characterization of the Kinprola recorder.
From: Molecular recording of cellular protein kinase activity with chemical labeling

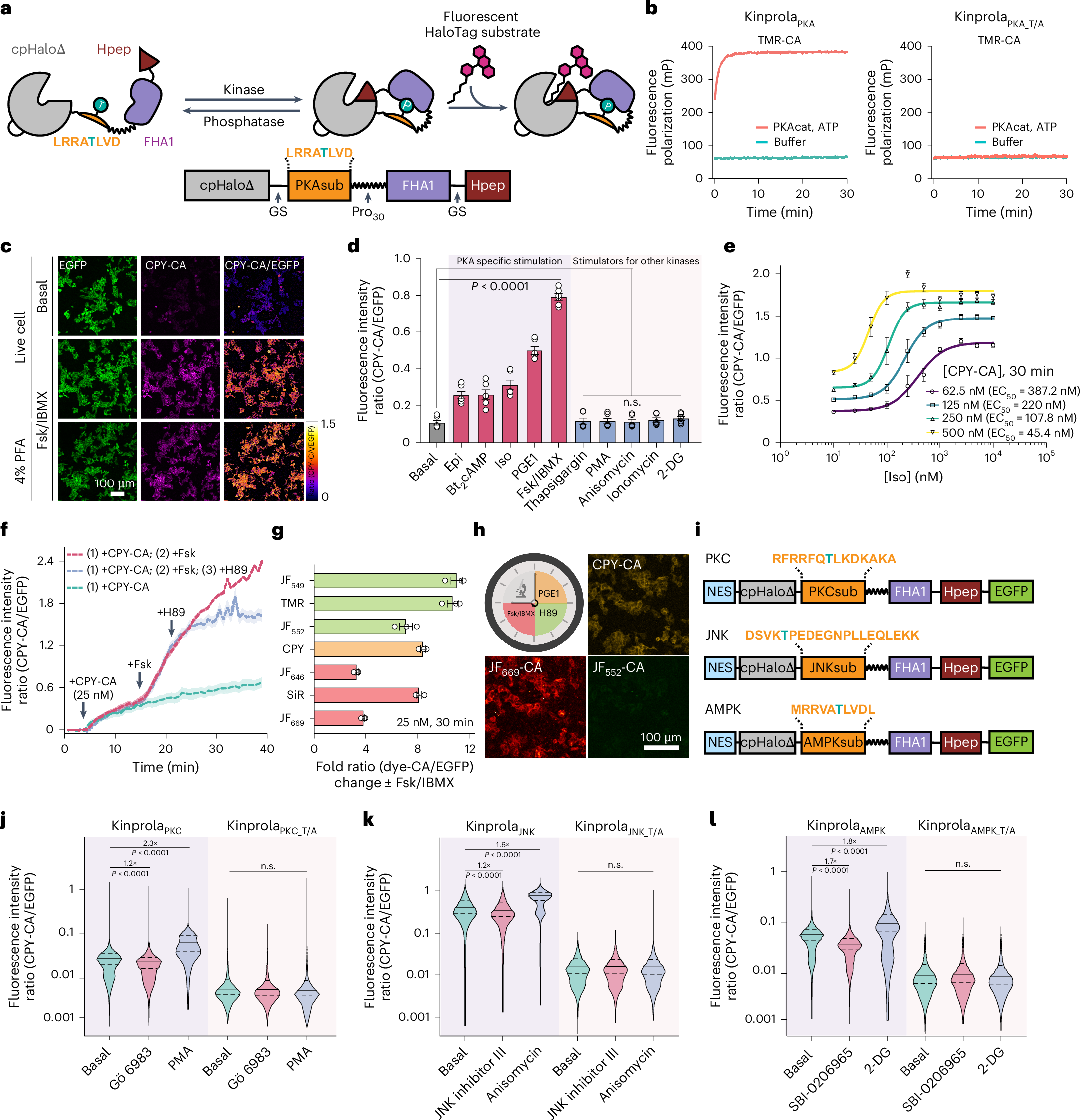
a, A schematic of the KinprolaPKA design. GS, Gly-Ser; Pro30, 30 Proline. b, The labeling kinetics of Kinprola proteins. c, The fluorescence images of HEK293 cells expressing KinprolaPKA under different treatments. The representative images from four wells of cell culture show similar results. d,e A flow cytometry analysis of HEK293 cells expressing KinprolaPKA treated with different stimulators (d) or varying Iso doses (e), apparent EC50 values from sigmoidal curve fitting. EC50, half maximal effective concentration of Iso. P < 0.0001 between basal and PKA-specific stimulation; P = 0.9867, 0.9999, >0.9999 between basal and 2-DG, Ionomycin or others. f, Representative time-lapse traces recorded from HEK293 cells expressing KinprolaPKA successively treated with Fsk and H89. g, A flow cytometry analysis of HeLa cells expressing KinprolaPKA labeled with different fluorescent substrates in the presence or absence of Fsk/IBMX. h, A recording of successive periods of PKA activity in HEK293 cells. i, The domain structures of Kinprola variants. j–l, Flow cytometry analysis of HeLa cells expressing different Kinprolas under various treatments. P < 0.0001 between Kinprolas basal and treatments; P > 0.9999 or P = 0.3779 between KinprolaPKC_T/A basal and Gö 6983 or PMA; P > 0.9999 between KinprolaJNK_T/A, KinprolaAMPK_T/A basal and treatments. Recording condition: 25 nM CPY-CA, 30 min for c, d and j–l. The error bars indicate the mean ± standard error of the mean for d–g or the median with the interquartile range for j–l, and data are from three technical replicates for b, three independent experiments with duplicates for d–h or triplicates for j–l. The statistical significance was calculated using a one-way ANOVA with Dunnett’s post hoc test for d and j–l. Scale bars, 100 μm for c and h. n.s., not significant.