Supplementary Figure 9: Raw and unprocessed immunoblots.
From: SLAM receptors foster iNKT cell development by reducing TCR signal strength after positive selection

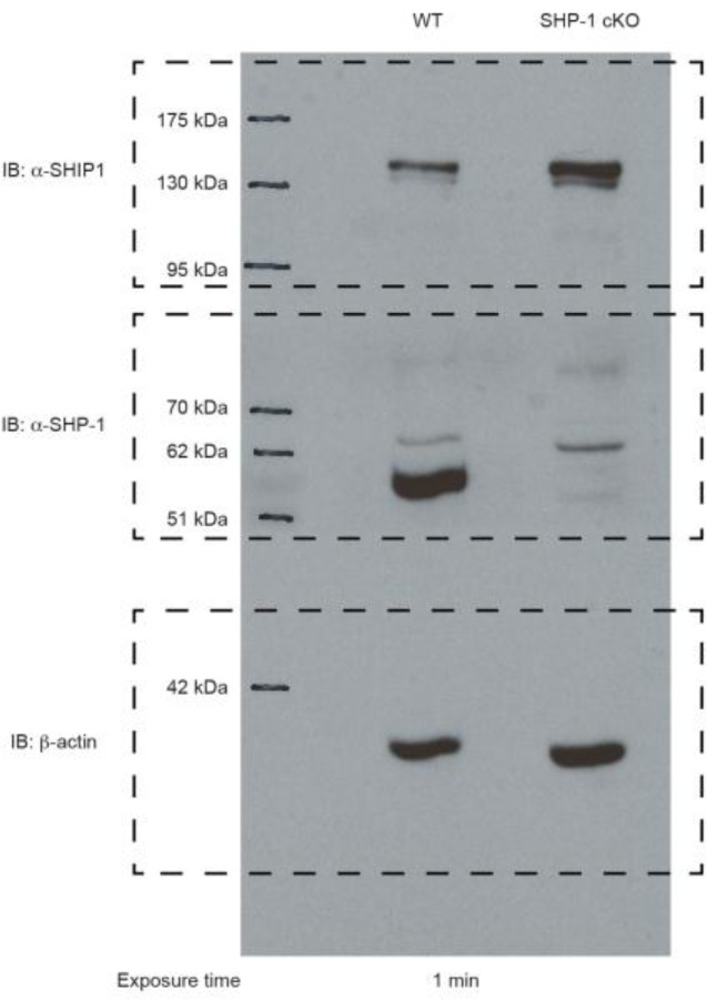
Immunoblots related to Fig. 8e.
From: SLAM receptors foster iNKT cell development by reducing TCR signal strength after positive selection

Immunoblots related to Fig. 8e.