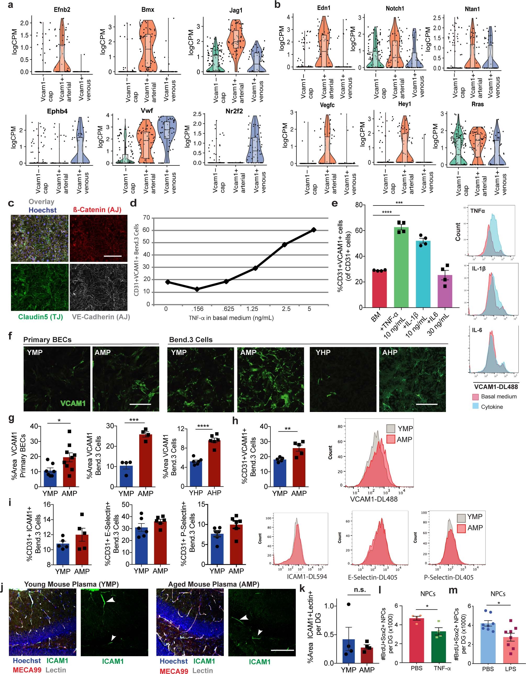
Extended Data Fig. 2: Single-cell transcriptome profiling of VCAM1+-enriched BECs reveals specialized subclusters and plasma from aged individuals upregulates VCAM1 on cultured BECs.

a, Violin plots of classical arterial (top) and venous (bottom) markers in each cluster. Putative neurogenic secreted factors include Jag1 and Efnb2. Minima, maxima, medians and percentiles are listed in Supplementary Table 3. n = 146 capillary BECs, n = 59 venous BECs, n = 67 arterial BECs pooled from the hippocampi of eight mice. b, Violin plots of various genes related to angiogenesis and Notch signaling in each of the three distinct clusters. Putative neurogenic secreted factors include Vegfc. Minima, maxima, medians and percentiles are listed in Supplementary Table 3. n = 146 capillary BECs, n = 59 venous BECs, n = 67 arterial BECs pooled from the hippocampi of eight mice. c, Representative images of Bend.3 cells immunostained for BBB-specific markers of adherens junctions (AJ) and tight junctions (TJ), specifically β-catenin, claudin-5 and VE-cadherin. All Bend.3 cells and primary BECs were validated with these markers before experimentation; confirmed independently in >10 experiments. Hoechst labels cell nuclei. Scale bar, 100 µm. d, Dose–response graph depicting cultured Bend.3 cells stimulated overnight with increasing concentrations of recombinant mouse TNF-α followed by flow cytometry to quantify the percentage of CD31+VCAM1+ cells. n = 2 pooled samples per condition. e, CD31 and VCAM1 quantification (left) and histogram (right) of Bend.3 cells stimulated overnight with recombinant mouse TNF-α, IL-1β or IL-6 followed by flow cytometry to measure VCAM1. n = 3 biologically independent samples per condition. ****P < 0.0001, one-way ANOVA with Tukey’s post hoc test for group comparisons. Data are shown as the mean ± s.e.m; experiment repeated four times independently with similar results. f, Primary BECs and Bend.3 cells cultured in 10% plasma from young or aged mice (YMP, 3 months old; AMP, 18 months old) or young or aged humans (<25 years or >65 years, YHP/AHP) for 16 h and then stained for VCAM1. Representative images are shown. Scale bar, 100 µm. Each plasma treatment experiment in primary BECs or Bend.3 cells with mouse or human plasma was repeated at least three times independently with similar results. g, Quantification of the percentage of area with VCAM1 staining. Primary BECs treated with plasma from young or aged mice: n = 7 YMP and 9 AMP biologically independent replicates pooled from two experiments. *P = 0.0343. Bend.3 cells with YMP or AMP: n = 4 biologically independent replicates per group derived from different cell flasks. ***P = 0.0003. Bend.3 cells with YHP or AHP: n = 6 biologically independent replicates derived from different cell flasks per group. ****P < 0.0001. P values were determined by two-tailed Student’s t test. Data are shown as the mean ± s.e.m. h, Bend.3 cells cultured in 10% plasma from young or aged mice for 16 h followed by flow cytometry for CD31 and VCAM1. n = 5 biologically independent replicates per group. A graph of CD31 and VCAM1 quantification is shown with a histogram of Bend.3 cells. **P = 0.0082, two-tailed Student’s t test. Data are shown as the mean ± s.e.m. i, Quantification of the percentage of CD31+ Bend.3 cells treated with plasma from young or aged mice and co-stained for CD31 and ICAM1, E-selectin or P-selectin. n = 5 biologically independent replicates per group for ICAM1; n = 6 biologically independent replicates per group for E-selectin and P-selectin. Data are shown as the mean ± s.e.m. Histogram plots are shown to the right of quantification. Not significant; P = 0.2355 (ICAM1), P = 0.1959 (E-selectin), P = 0.0825 (P-selectin), two-tailed Student’s t test. j, Representative images of ICAM1, MECA-99, lectin and Hoechst (to label cell nuclei) of young (3-month-old) mice that received seven retro-orbital injections of pooled plasma from young (3-month-old) or aged (18-month-old) mice over 4 d as described in the schematic in Fig. 3a. n = 10 mice treated with YMP and 11 mice treated with AMP. Scale bar, 100 µm. k, Quantification on the right using n = 4 mice per group. Data are shown as the mean ± s.e.m. Not significant; P = 0.5222, two-tailed Student’s t test. l,m, Quantification in the DG of total BrdU+SOX2+ NPCs in young (3-month-old) mice injected retro-orbitally daily over 5 d (2 µg per injection) with TNF-α (n = 4 mice per group) or with three LPS injections (0.5 mg per kg intraperitoneally) at 28 h, 22 h and 2 h before perfusion (n = 8 mice per group). In each experiment, mice were pulsed with BrdU every 8 h for three injections before perfusion. *P = 0.0194 (TNF-α), *P = 0.0122 (LPS), two-tailed Student’s t test. Data are shown as the mean ± s.e.m.