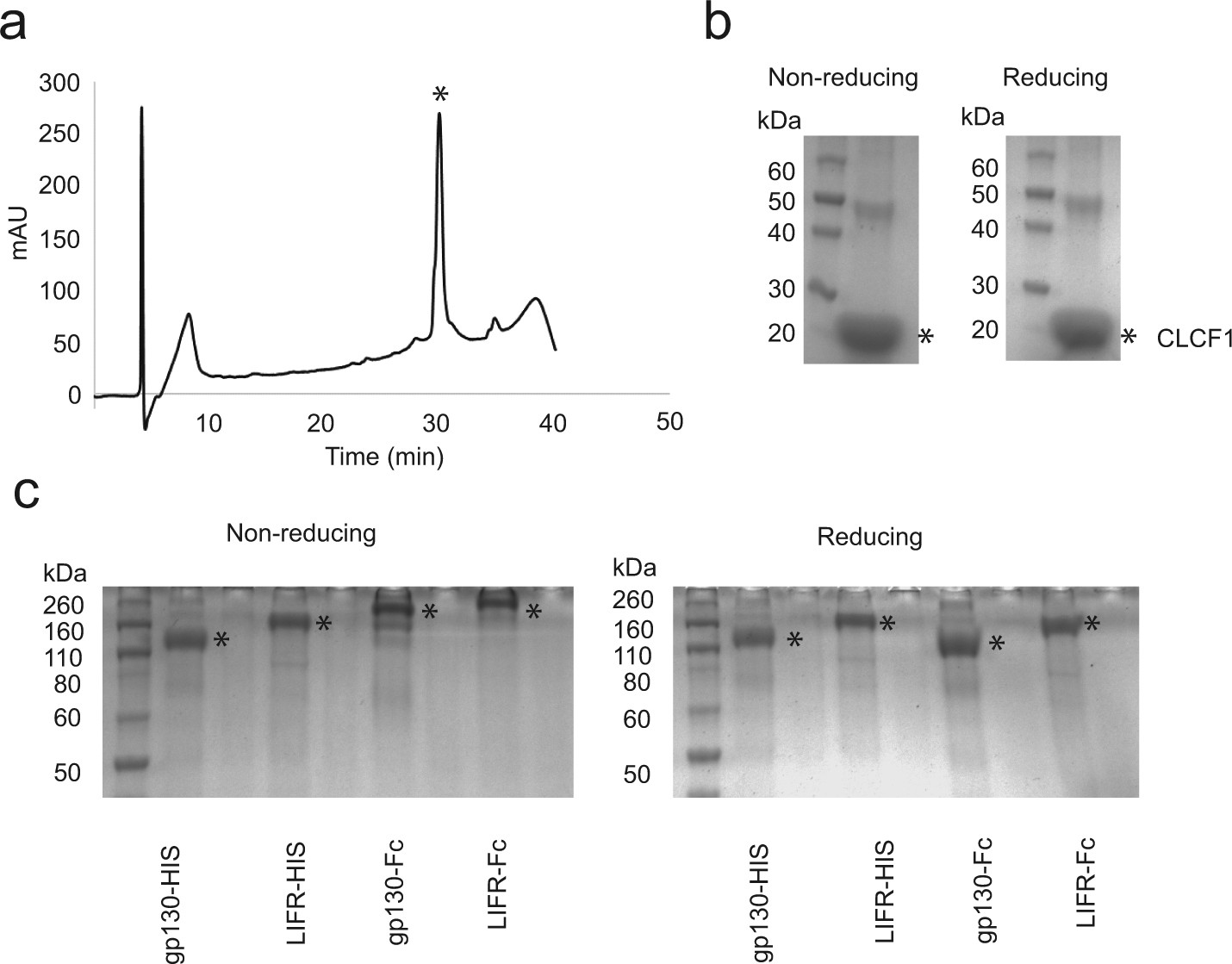
Extended Data Fig. 3: Recombinant production of CLCF1 and soluble β-receptors.

(a) Representative analytical RP-HPLC chromatogram of purified CLCF1. A gradient of 10–60% solvent B (90% acetonitrile/10% water/0.1% trifluoroacetic acid) over 38 min was used. Asterisk (*) indicates peak corresponding to CLCF1. (b) SDS–PAGE of purified CLCF1 under non-reducing and reducing conditions. (c) SDS–PAGE of purified soluble β-receptor constructs under reducing and non-reducing conditions. Asterisk (*) indicates the corresponding band for each protein. All experiments were repeated at least three times with similar results.