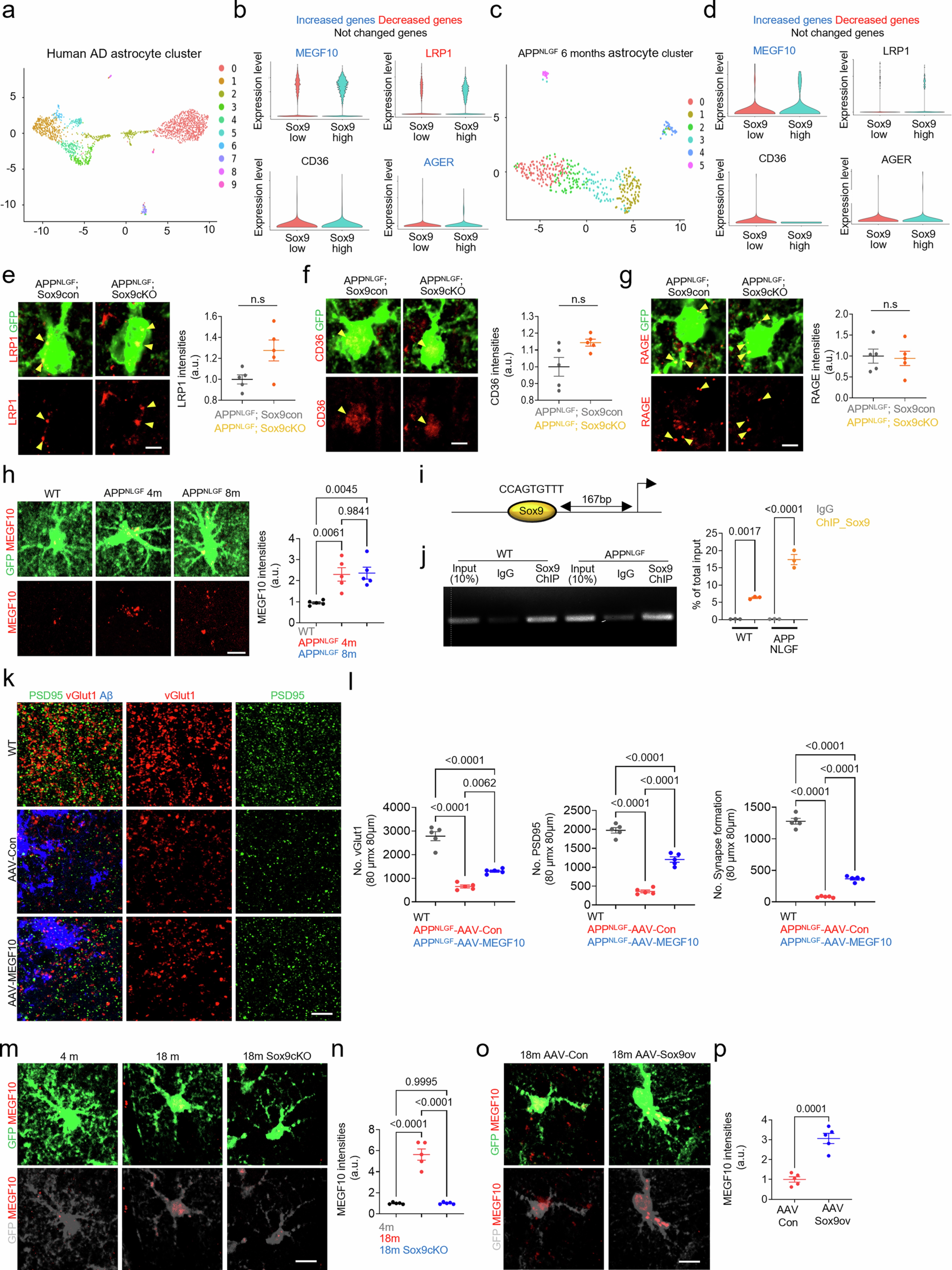
Extended Data Fig. 9: Regulation of MEGF10 expression by Sox9.

a-d. UMAP plot of astrocyte clusters from human anterior hippocampal cortex of human AD patients (Human AD) (a) and APPNLGF mice (c). Violin plot of each phagocytosis-related receptor from Sox9 high-expressing astrocytes and Sox9 low-expressing astrocytes in Human AD (b) and APPNLGF mice (d). Increased genes were marked blue, decreased genes were marked red, and unchanged genes were marked black (b, d). e-g. Representative confocal Z-stack images of GFP-positive astrocytes (green) co-stained with LRP1 (red, e), CD36 (red, f), and RAGE (red, g) in the APPNLGF; Sox9Con, and APPNLGF; Sox9cKO at 4 months. Scale bars, 5 µm. Quantification graphs of the LRP1 (a), CD36 (b), and RAGE (c) intensity in each group (right panel). n = 5 mice of each group. h. Representative confocal Z-stack images of GFP-positive astrocytes (green) co-stained with MEGF10 in the WT, 4 months-old APPNLGF, and 8 months-old APPNLGF. Scale bars, 10 µm. Quantification graphs of the MEGF10 intensity in each group. n = 5 mice of each group (right panel). i, j. ChIP-PCR screen identifying Sox9 association with the Megf10 promoter. Quantification graphs (right panel) were normalized in triplicate with individual qPCR (Each sample was created by combining tissues obtained from 6 mice of each group, 3 technical repeats). k. Representative confocal Z-stack images of Aβ (blue), vGlut1 (red), and PSD95 (green) in the hippocampus of WT, AAV-Con, and AAV-MEGF10. Scale bars, 5 µm. l. Quantification graphs of the number of vGlu1, PSD95, and synapse formation in each group. n = 5 mice of each group. m-p. Representative confocal Z-stack images of GFP (green) and MEGF10 (red) in the hippocampus of 4 month-old WT, 18 month-old WT, and 18 month-old Sox9cKO (m), AAV-Con, and AAV-MEGF10 at 18 months (o). Scale bars, 10 µm. Quantification graphs of MEGF10 intensity in each group. n = 5 mice of each group (n, p). Two-sided unpaired Student’s t-test (e-g, i, p) and One-way ANOVA followed by Tukey’s comparisons test (h, l, n) were used for analysis. The mean ± s.e.m.