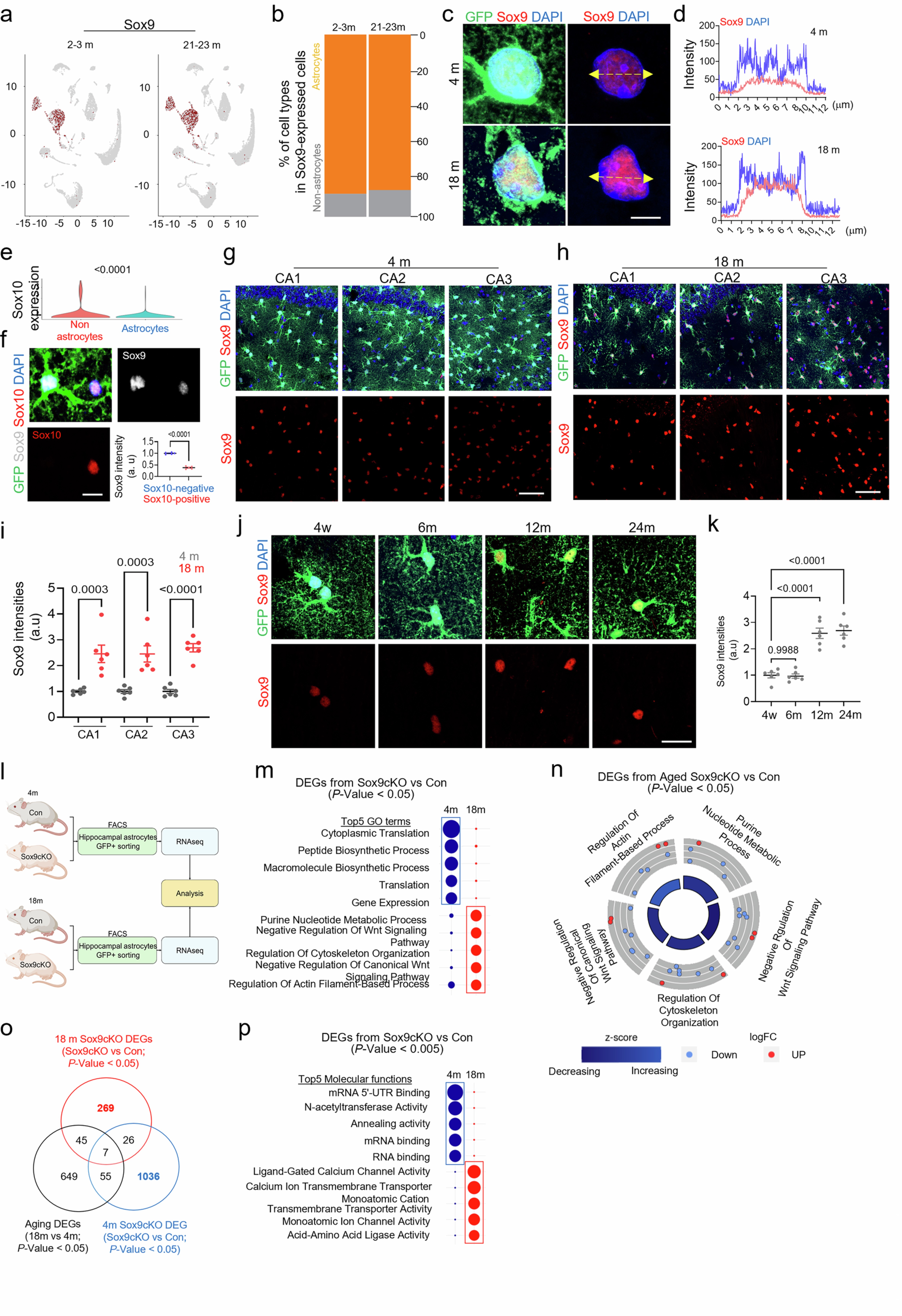
Extended Data Fig. 1: Sox9 expression and gene regulation in aged astrocytes.

a. UMAP plot of Sox9 expression in the total cell clusters at 2-3 months and 21-23 months. b. % of cell types in the Sox9-expressed total cells at 2-3 months and 21-23 months. c. Representative confocal Z-stack images of DAPI (blue), Sox9 (red), and GFP (green) in hippocampal astrocytes of 4 month-old mice and 18 month-old mice. Scale bars, 5 µm. d. Histogram analysis of Sox9 (red) and DAPI (blue) intensities in hippocampal astrocytes of each group. e. Violin plot of Sox10 in Sox9-expressed cell types (Astrocytes and non-astrocytes) of 2-3 months and 21-23 months. f. Representative confocal Z-stack images of Sox9 (white), Sox10 (red), and GFP (green) in hippocampal astrocytes. Scale bars, 10 µm. The graph reveals Sox9 expression level between Sox9-positive and Sox10-negative cells (Sox10 negative), and Sox9-positive and Sox10-positive cells (Sox10 positive). n = 5 mice of each group. g, h. Representative confocal Z-stack images of Sox9 (red) and GFP (green) in hippocampal astrocytes on CA1, CA2, and CA3 regions of 4 month-old mice and 18 month-old mice. Scale bars, 50 µm. i. Quantification of Sox9 intensities in hippocampal astrocytes of 4 month-old mice and 18 month-old mice. n = 6 mice of each group. j. Representative confocal Z-stack images of Sox9 (red) and GFP (green) in hippocampal astrocytes of 4 week-old, 6 month-old, 12 month-old, and 24 month-old mice. Scale bars, 20 µm. k. Quantification of Sox9 intensities in hippocampal astrocytes of each group. n = 6 mice of each group. l. Schematic illustration for RNAseq from sorted astrocytes in the hippocampus of Con and Sox9cKO at 4 months and 18 months. n = 3 mice for each group. m, n. GO analysis (m) and GO circle plot (n) of DEGs between Con and Sox9cKO at 4 months and 18 months: p-value < 0.05. o. A Venn diagram reveals the number of specific DEGs between Con and Sox9cKO at 4 months and 8 months, with DEGs between 4 month-old and 18 month-old WT mice. p. Top 5 molecular functions of DEGs between Con and Sox9cKO at 4 months and 18 months: p-value < 0.005. Two-sided unpaired Student’s t-test (e, f), One-way ANOVA followed by Tukey’s comparisons test (k), and Two-way ANOVA with Sidak’s correction (i) were used for analysis. The mean ± s.e.m. All illustrations were created using BioRender.com.