Extended Data Fig. 1: Effect of TRIM37 mutations on the regulation of the centrosome and Centrobin assemblies.
From: Mesoscale regulation of microtubule-organizing centers by the E3 ligase TRIM37

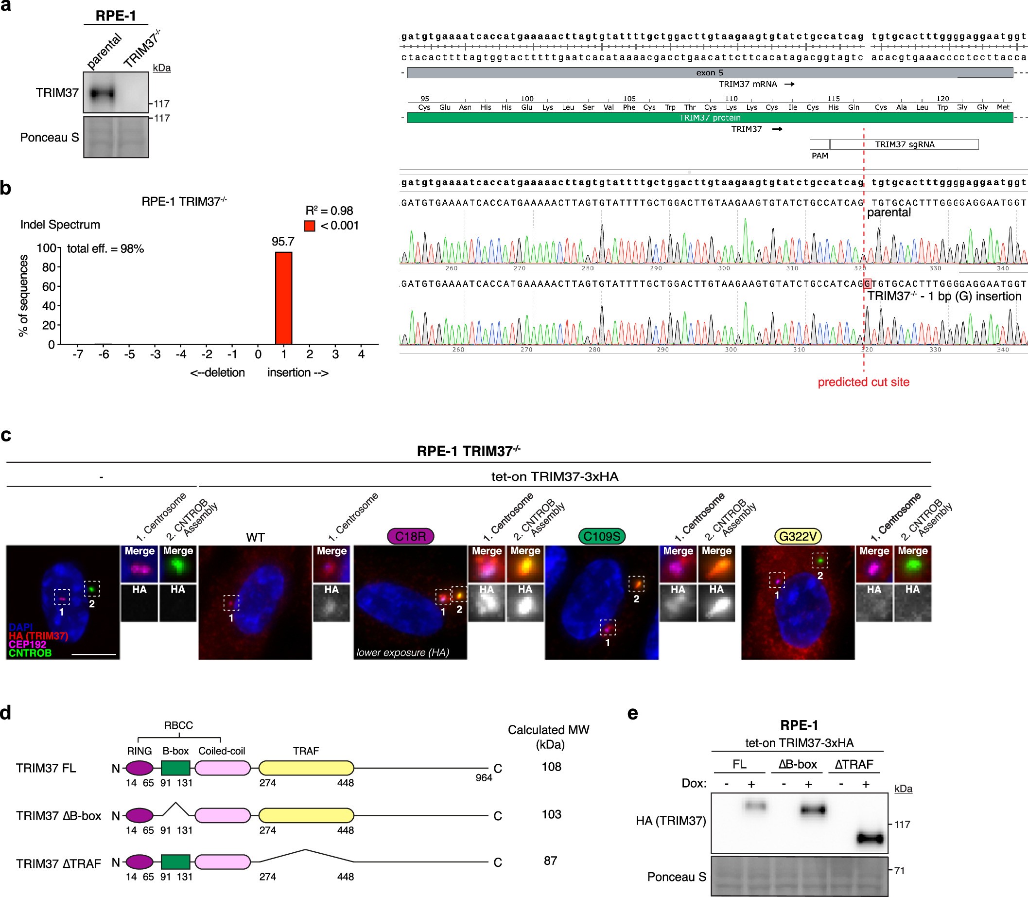
Related to Fig. 1. (a) Immunoblot showing TRIM37 protein levels in parental and CRISPR–Cas9 edited RPE-1 TRIM37−/− cells. Ponceau-stained blot indicates loading. Representative data; n = 3 biological replicates. (b) Left, Tracking of Indels by Decomposition (TIDE) analysis histogram reveals a one base pair insertion ( + 1 bp) adjacent to the predicted cut site in the RPE-1 TRIM37−/− cell line. Right, representative Sanger sequencing traces used for TIDE analysis, highlighting the +1 bp insertion. (c) Representative images of RPE-1 TRIM37−/− cells and those expressing the indicated HA-tagged TRIM37 variants. Inset #1 denotes the centrosome, marked by CEP192, and inset #2 denotes the Centrobin assembly, identified by intense Centrobin staining that is non-centrosome localized. Representative data; n = 3 biological replicates. Scale bars, 5 μm. (d) Schematic representation of TRIM37 HA-tagged domain-specific deletion constructs compared to full-length (FL) protein. (e) Immunoblot showing expression levels of FL TRIM37 and the respective deletion mutants in RPE-1 tet-on TRIM37 cells. Ponceau-stained blot indicates loading. Representative data; n = 3 biological replicates.