Fig. 1
From: A Multi-Modal Pelvic MRI Dataset for Deep Learning-Based Pelvic Organ Segmentation in Endometriosis

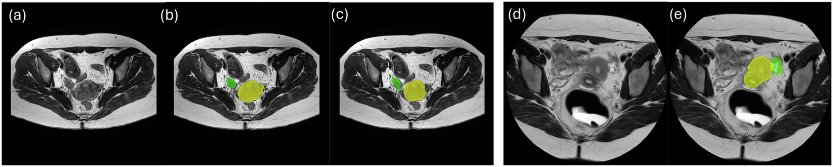
Examples of MRI scans for two Datasets. (a) T2-weighted MRI and (b,c) the corresponding uterus (yellow) and ovaries (green) labels from different raters for the first dataset. (d) T2-weighted MRI and (e) the corresponding uterus and ovaries labels for the second dataset.