Abstract
Bovine mastitis is mainly caused by Staphylococcus aureus, which is difficult to eliminate, prone to escape from antibacterial agents, and may cause recurring infections due to the intracellular nature of its infection and multidrug resistance. In this study, the intracellular activities of the NZ2114 derivative peptide H18R (H2) against methicillin-resistant S. aureus (MRSA) and multidrug-resistant bovine S. aureus strains were investigated in bovine mammary epithelial MAC-T cells and mouse mammary glands. The minimum inhibitory concentrations of H2 against S. aureus were 0.5‒1 μg/ml; H2 displayed a lower cytotoxicity than its parental peptide NZ2114 (survival rates of MAC-T cells: 100% [H2 treatment] vs 60.7% [NZ2114 (256 μg/ml) treatment]). H2 was internalized into MAC-T cells mainly via clathrin-mediated endocytosis, and distributed in the cytoplasm. The intracellular inhibition rates against MRSA ATCC43300, the mastitis isolates S. aureus CVCC 3051 and E48 were above 99%, 99%, and 94%, respectively; these were higher than those in case of vancomycin (23–47%). In the mouse model of S. aureus E48-induced mastitis, after treatment with 100 μg of H2 and vancomycin, bacterial numbers in each mammary gland were reduced by 3.96- and 1.59-log CFU, respectively. Additionally, similar to NZ2114 and vancomycin, H2 alleviated the histopathological damage of the mammary tissue and polymorphonuclear neutrophil infiltration in the alveoli. These results suggest that H2 can be used as a safe and effective candidate for treating S. aureus-induced mastitis.
Similar content being viewed by others
Introduction
As an opportunistic pathogen with a broad range of hosts, Staphylococcus aureus can lead to the acute and chronic infections in humans or farm animals worldwide1; bovine mastitis is one of the most serious concerns with regards to milk production2. In China, the average incidence rate of bovine mastitis is about 33%; it leads to annual economic losses of ¥15–45 billion, which seriously affects the development of the dairy industry3,4,5. Meanwhile, accumulating evidences have demonstrated that S. aureus can internalize into host cells, such as mammary gland epithelial cells, and form an intracellular pathogen pool, which destroys the epithelial barrier and causes further damages, finally leading to the recurrence of bovine mastitis6,7.
Although antibiotic therapy is a common method to eliminate intracellular S. aureus reservoirs in bovine mastitis-infected tissues, they have a low treatment efficiency and are associated with a high infection recurrence rate due to their low permeation ability in mammary glands7,8,9. Additionally, the overuse of antibiotics in developing countries can trigger a series of serious problems, such as the destruction of polymorphonuclear leukocytes and immune function in mammary glands, as well as enhanced bacterial resistance10. In a recent investigation in China, among 219 S. aureus strains those were isolated from bovine mastitis cases from six provinces (Beijing, Shandong, Shanxi, Inner Mongolia, Xinjiang, and Zhejiang), more than 70% showed resistance to various antibiotics11. Moreover, S. aureus strains isolated from mastitis-infected samples in other countries such as North and South America, Asia, and Malta, have been reported to be resistant to different antibiotics12. Therefore, there is an urgent need to find effective antibiotic alternatives for the treatment of bovine mastitis.
Antimicrobial peptides (AMPs) are promising antibiotic alternative candidates, owing to their multiple modes of action such as membrane permeabilization, binding to DNA, and inhibition of protein synthesis13,14. The first fungal defensin-plectasin, isolated from Pseudoplectania nigrella, displays a potent activity against Gram-positive bacteria including S. aureus by binding to the cell wall precursor-lipid II15,16. Both NZ2114 (D9N, M13L, and Q14R) and MP1102 (D9Q, M13V, and Q14R), which are derivatives of plectasin, have a stronger activity than their parent; this may be due to their more positive net charges and higher hydrophobicity17,18,19,20. Additionally, similar to daptomycin and vancomycin, NZ2114 and MP1102 display a potent intracellular activity against S. aureus in THP-1 monocytes21, RAW 264.7 macrophages22, and mammary epithelial cells23, and can reduce the S. aureus load in the mammary glands of mice23. However, NZ2114 and MP1102 are more toxic towards mouse macrophages than vancomycin due to their high hydrophobicity22. Therefore, in our previous study, H2 (H18R), a novel NZ2114-derived peptide, was designed by replacing the histidine at position 16 with arginine to reduce its cytotoxicity; the results showed that H2 almost retained its original antibacterial activity against S. aureus and showed high stability in different environments24. Therefore, it is speculated that H2 may serve as a potential antibacterial agent against infections caused by S. aureus.
In this study, based on the bactericidal activity of H2 against planktonic S. aureus, the toxicity, translocation, subcellular distribution, and quantification of H2 in the bovine mammary epithelial cells (MAC-T) were investigated. Additionally, the intracellular activity of H2 was evaluated against one multidrug-resistant S. aureus strain methicillin-resistant S. aureus (MRSA) ATCC43300, and two clinical mastitis isolates: S. aureus CVCC3051 and E48) (Supplementary Tables S1 and S2) in MAC-T cells; the therapeutic efficacy of H2 was also investigated in an S. aureus-infected mouse mastitis model.
Results
Intracellular invasion abilities of three different S. aureus strains
The antimicrobial susceptibility and typing results showed that the bovine mastitis isolates of S. aureus CVCC3051 and E48 can resist multiple antibiotics such as bacitracin, sulfisoxazole, streptomycin, or ampicillin, and they are assigned to spa type t3297 and t3583 (Supplementary Tables S1 and S2).
To determine the intracellular activities of the peptides against S. aureus, MAC-T cells were infected with MRSA ATCC43300 and bovine mastitis isolates (S. aureus CVCC3051 and E48); the results showed that the pathogens entered the MAC-T cells and were localized in the vacuoles (Fig. 1a) and the cytoplasm, respectively (Fig. 1a,d,g,h). Additionally, although some bacteria could be killed in the vacuoles (Fig. 1b,c,e), the dividing intact S. aureus cells were also observed in the host cells (Fig. 1c,f,i), indicating that the three S. aureus strains can survive and proliferate in MAC-T cells.
Morphology of S. aureus cells within MAC-T cells. The MAC-T cells were challenged with MRSA ATCC43300 (a–c), clinical isolate of S. aureus CVCC3051 (d–f), and clinical isolate of S. aureus E48 (g–i) at an MOI of 100:1 (bacteria to macrophages), and observed by TEM after 0.5 h of invasion. All pathogens entered the MAC-T cells and were localized in the vacuoles (a) and the cytoplasm (a,d,g,h). The bacteria could proliferate in the host cells (c,f,i).
Cathepsin B had no effect on the extracellular activities of H2
The influence of the lysosomal proteinase cathepsin B on the activity of H2 was tested by determining the minimum inhibitory concentrations (MICs). After treatment with cathepsin B, the MICs of H2 and NZ2114 against MRSA ATCC43300 (0.25–1 μg/ml) and the S. aureus strains CVCC3051 and E48 (0.5–1 μg/ml) did not change (Supplementary Table S3), indicating that cathepsin B has no influence on the antibacterial activity of H2.
H2 displayed a lower cytotoxicity
The viability of MAC-T cells was 100% when treated with 256 μg/ml H2, indicating that H2 shows no toxicity towards MAC-T cells. However, after exposure to 256 μg/ml NZ2114 and vancomycin, the survival rates of MAC-T cells were only 60.7% and 72.4%, respectively (Fig. 2), which was consistent with the findings of our previous study21. These results demonstrated that H2 is a safer candidate drug than vancomycin and NZ2114.
Viability of MAC-T cells incubated with NZ2114 and H2 for 24 h. MAC-T cells were incubated with 1–256 μg/ml for 24 h, and subsequently, cell viability was determined using the 3-(4,5-dimethylthiazol-2-yl)-2,5-diphenyltetrazolium bromide (MTT) assay. Results are represented as the means ± standard deviations (SDs) for three experiments. After exposure to 256 μg/ml H2, NZ2114 and vancomycin, the survival rates of MAC-T cells were 100%, 60.7% and 72.4%, respectively.
The effect of H2 on the cell membrane integrity was determined by the fluorescent dye propidium iodide (PI), which is blocked at the outside of intact membranes, but can penetrate damaged cell membranes and intercalate with nucleic acids. Therefore, the fluorescent intensity of PI indicates the degree of cell membrane integrity22. The result showed that after treatment with 250 μg/ml H2 and NZ2114, the amounts of PI-stained cells were only 2.83% and 3.85%, respectively (Supplementary Fig. S1). This suggests that H2 did not notably damage the cell membranes of the MAC-T cells.
H2 was internalized and distributed in the cytoplasm of MAC-T cells
The ability of H2 to enter host cells was evaluated by labeling the peptides and co-incubating them with MAC-T cells. The results showed that H2 and NZ2114 could enter the MAC-T cells in a dose-dependent manner and were distributed in the cytoplasm. At a low concentration of 2.5 μg/ml, fluorescein isothiocyanate (FITC)-H2 and FITC-NZ2114 could be very weakly observed in the cells (Fig. 3). With the increase in the concentration of the peptides (ranging from 25 to 50 μg/ml), the fluorescent intensity of FITC-H2 and FITC-NZ2114 was extremely enhanced in cells; the internalized peptides were accumulated in the cytoplasm. Moreover, the FITC-labeled peptides were distributed in the cytosol in a punctate manner, indicating that the peptides may be internalized by endocytosis.
Cellular distribution of FITC-H2 and FITC-NZ2114 in MAC-T cells. The cells were incubated with 2.5, 25, and 50 μg/ml FITC-H2 and FITC-NZ2114 at 37 °C for 24 h, and then washed; they were then analyzed by confocal microscopy. Cell membranes and nuclei were stained with WGA-conjugated Alexa Fluor 555 (red) and Hoechst 33342 (blue), respectively. The FITC-peptides inside the cells display a green fluorescence. H2 and NZ2114 could enter the MAC-T cells in a dose-dependent manner and were distributed in the cytoplasm in a punctate manner.
To quantify the uptake efficiency of the peptides, the treated MAC-T cells were further analyzed by flow cytometry. After treatment with 0.25, 2.5, and 25 μg/ml FITC-H2, the percentages of cells showing fluorescence were 90.6%, 100%, and 100%, respectively (Fig. 4A), which is almost identical to those in case of NZ2114 (90.5–99.9%) (Fig. 4B). These data indicated that similar to NZ2114, H2 could enter the cells in a concentration-dependent manner and accumulate within MAC-T cells.
Quantification of H2 and NZ2114 in MAC-T cells and the preliminary mechanisms of their cellular uptake. (A,B) Analysis of FITC-labeled peptide uptake by flow cytometry. The cells were incubated for 24 h with FITC-H2 (A) and FITC-NZ2114 (B) at 37 °C prior to washing and quantification of peptide uptake. Red line: control; blue line: 0.25 μg/ml; orange line: 2.5 μg/ml; green line: 25 μg/ml. (C,D) Preliminary mechanism of the cellular uptake of FITC-labeled peptides. The cells were pretreated with different endocytosis inhibitors at 37 °C for 1 h prior to the addition of FITC-H2 (C) and FITC-NZ2114 (D). The uptake of peptides was quantified by flow cytometry. Red line: control; purple line: 4 °C; brown line: nocodazole; black line: chlorpromazine; green line: MβCD; orange line: amiloride; blue line: 25 μg/ml peptide. (E,F) Internalization of FITC-H2 (E) and FITC-NZ2114 (F) in MAC-T cells treated with soluble glycosaminoglycans (heparin, chondroitin sulfate, and dextran sulfate). MAC-T cells were incubated for 6 h with 25 μg/ml of the FITC-labeled peptides in the presence of 10 μg/ml of glycosaminoglycans. The cells were then washed and analyzed by flow cytometry. Red line: control; green line: heparin; blue line: chondroitin sulfate; orange line: dextran sulfate; black line: 25 μg/ml peptide.
Intracellular uptake of H2 occurred mainly by clathrin-mediated endocytosis
Low temperatures and different inhibitors of clathrin-mediated endocytosis, micropinocytosis, lipid rafts, and microtubule polymerization25,26,27 were used to investigate whether the peptides entered the MAC-T cells by endocytosis. The proportion of cells with fluorescence labeling of H2 and NZ2114 were reduced by 13.9% and 3.4%, respectively, and the fluorescence intensity of the cells decreased sharply (Fig. 4C,D), indicating that low temperature may have an inhibitory effect on peptide uptake28. In the inhibitor-treated groups, the fluorescence intensity of the cells treated with chlorpromazine (an inhibitor of clathrin-mediated endocytosis) decreased sharply; however, the fluorescence intensity did not change following treatment with amiloride (an inhibitor of macropinocytosis), methyl-β-cyclodextrin (MβCD) (a disruptor of lipid rafts), and nocodazole (an inhibitor of microtubule polymerization) (Fig. 4C,D).
Internalization of H2 did not require the surface receptor
The effects of soluble glycosaminoglycans on the internalization of the peptides were tested to explore whether the uptake of the peptides depends on the surface receptors. As shown in Fig. 4E,F, the entrance of H2 and NZ2114 into MAC-T cells was not prevented by heparin, chondroitin sulfate, and dextran sulfate at a concentration of 50 μg/ml.
H2 had potent intracellular bacteriostatic efficacy in MAC-T cells
The intracellular activity of H2 (0.25–1.25 μg/ml) against S. aureus were assessed by means of a 24-hour dose-response study in MAC-T cells. As shown in Fig. 5, both H2 and NZ2114 effectively reduced the proportion of internalized S. aureus cells. In case of MRSA ATCC43300, the inhibition rates of intracellular bacteria were over 99% in the peptide-treated groups. The bacterial inhibition rates in the vancomycin-treated groups were 23% (at a concentration of 0.25 μg/ml) and 47% (at a concentration of 1.25 μg/ml), which were significantly lower than those in the peptide-treated groups (Fig. 5a). The killing efficiency of the peptides against S. aureus E48 was over 94%, which was slightly lower than that in case of MRSA ATCC43300. However, only 21–26% of intracellular S. aureus E48 cells were killed by vancomycin (Fig. 5c). Comparably, after 24 h of treatment with H2, NZ2114, and vancomycin, more than 99% of the intracellular S. aureus CVCC3051 cells were killed (Fig. 5b). Notably, the intracellular antibacterial activities of H2 and NZ2114 were higher than those of vancomycin at low concentrations. These results suggested that H2 and NZ2114 have more potent bacteriostatic effects than vancomycin against intracellular MRSA ATCC43300 and the clinical isolates CVCC3051 and E48; they elicited these effects in a dose-independent manner.
Intracellular activity of H2 and NZ2114 against S. aureus in MAC-T cells. Intracellular activities of H2, NZ2114, and vancomycin against MRSA ATCC43300 (a), and the clinical isolates S. aureus CVCC3051 (b) and E48 (c) were compared to those in case of the PBS-treated group. Van, vancomycin. Statistical analyses were performed using IBM SPSS Statistics 21.0. The analyses were measured by one-way ANOVA, with Duncan’s multiple comparisons test. A probability value of < 0.05 was considered significant. (*) indicates significance between the control and treatment groups. *P < 0.05; **P < 0.01. (#) indicates significance between the AMP- and Van-treated groups, with the same drug dose. #P < 0.05; ##P < 0.01. The results are represented as the mean ± SD of three independent experiments performed in triplicate.
H2 had a high therapeutic efficacy in mice
To further elucidate its in vivo activity, the efficacy of H2 was determined in a mouse mastitis model. The results showed that after treatment with H2 and NZ2114, bacterial numbers in the mammary glands decreased significantly by 3.96- and 3.58-log, respectively (Fig. 6). A 1.59-log reduction in bacterial cell number was observed in the vancomycin-treated group (Fig. 6). These data indicated that the efficacy of H2 against S. aureus in mice is equal to that of NZ2114, but superior to that of vancomycin.
Activity of H2 and NZ2114 in the murine mastitis model. The mice were administered with intramammary injections with the clinical isolate S. aureus E48 (1 × 105 CFU in 100 μl of PBS per mammary gland). Four hours later, the glands were injected with 100 μg of the peptides or vancomycin. Twenty-four hours after the treatment, bacterial loads in the mammary glands were counted. Each point represents data from a single mammary gland. Mean values are presented, n = 10 or 14. The error bars indicate the SD. Van, vancomycin. Zero in the y-axis for the peptides and vancomycin indicates that there are no bacterial colonies on the counting plate. Statistical analyses were performed using IBM SPSS Statistics 21.0. The analyses were evaluated by one-way ANOVA, with Duncan’s multiple comparisons test. A probability value of < 0.05 was considered significant. (*) indicates the significance between control and treatment groups. *P < 0.05; **P < 0.01. (#) indicates significance between the AMP- and Van-treated groups, with same drug dose. #P < 0.05; ##P < 0.01.
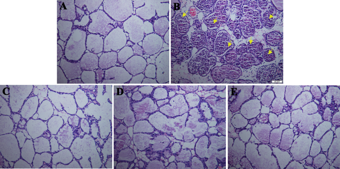
The mammary tissues of mice inoculated with S. aureus were stained with hematoxylin and eosin (HE) and observed under a microscope. As shown in Fig. 7A–E, in the blank control group, no histopathological changes were observed in the mammary tissues, with the exception of a swollen luminal area (Fig. 7A). In the bacteria-infected groups, S. aureus E48 induced the infiltration of a number of immune cells, including polymorphonuclear neutrophils, in the alveoli (Fig. 7B). After the treatment with the peptides (100 μg/mammary gland) for 24 h, the pathological changes were significantly alleviated by H2, NZ2114, and vancomycin (Fig. 7C–E).
Effects of H2 and NZ2114 on mammary tissues (HE, × 100). The fourth pair of mouse mammary glands was injected with S. aureus E48 (1 × 105 CFU per mammary gland) and then treated with 100 μg of the peptides or vancomycin at 4 h after the challenge. The mammary glands tissues were collected from mice at 24 h, fixed in formalin buffer, stained with HE and observed under a microscope. (A) Control. (B) S. aureus + PBS treatment. (C) S. aureus + H2 treatment. (D) S. aureus + NZ2114 treatment. (E) S. aureus + vancomycin treatment. It appeared to no histopathological changes in the blank control group (A), the infiltration of immune cells in the negative control (B) and alleviation of pathological changes in the treatment control (C–E). Yellow arrows indicate polymorphonuclear neutrophils.
Discussion
Bovine mastitis is a serious problem that heavily affects dairy industries worldwide29. Due to the intracellular infection of S. aureus, it is very difficult to completely eradicate this pathogen by using traditional antibiotics, thus leading to a high infection recurrence1. In our earlier research, we found that the plectasin derivatives NZ2114 and MP1102 had a potent antibacterial activity against intracellular S. aureus; thus, they may be promising antibiotic alternatives15,22. In this study, the intracellular activity of the NZ2114 derivative H2 against different S. aureus strains (MRSA ATCC43300, and the clinical bovine mastitis isolates S. aureus CVCC3051 and E48) was assessed in bovine mammary epithelial MAC-T cells and a mastitis mouse model.
The S. aureus strains can induce the formation of cup-like and pseudopod-like structures in bovine mammary epithelial cells, which extend around the bacteria and engulf the pathogens7,30,31. In this study, most intracellular S. aureus cells were found in membrane-bound vacuoles in MAC-T cells (Fig. 1); thus, they may escape from being killed by antibacterial drugs. Moreover, the three S. aureus strains could survive and proliferate in MAC-T cells (Fig. 1), which was consistent with findings from previous studies7,31,32.
It has been demonstrated that polyhexamethylene biguanide, plectasin, NZ2114, and MP1102 have a high efficiency against intracellular S. aureus in keratinocytes, human THP-1 and mouse RAW264.7 macrophages17,21,22,33. The bovine mammary epithelial MAC-T cells have been widely used to study the physiological function of breast tissues, screen for effective drugs, and simulate the actual conditions of bovine mastitis23. The results of this study showed that H2 displayed a strong ability to kill the three different internalized S. aureus strains in MAC-T cells, which was equal to that of NZ2114, but superior to that of vancomycin (Fig. 5). Vancomycin, which has the same mechanism of action as plectasin, was used as the positive control in our study, because it is one of the most extensively used antibiotics and the last therapeutic option for treating S. aureus infection34. Noticeably, the efficiency of H2 and NZ2114 in MAC-T cells (94–99% reduction of bacterial load) is far superior to that of NZ2114 in RAW264.7 cells (63–99% reduction)22. This may be attributed to the higher penetration efficiency of these peptides in MAC-T cells (90%) (Fig. 4) than in macrophages (10%)22, which may be related to the different internalization rates of the peptides in different cells25,34.
After entering the MAC-T cells, the FITC-labeled peptides were distributed in cells in a punctate manner (Fig. 3), suggesting that the peptides are taken up by endocytosis. Moreover, we also found that H2 and NZ2114 could enter the MAC-T cells in a dose-dependent manner and were accumulated in the cytoplasm (Fig. 3), which was similar to the case for polyhexamethylene biguanide, hLF, R9, and Tat11 peptides25,33,35. The entrance of the intracellular peptides into cells was enhanced extensively when the peptide concentrations were increased from 2.5 to 25 μg/ml; this was consistent with the results of the flow cytometry analysis (Fig. 4A,B). Analysis of the preliminary mechanisms of drug internalization by using different endocytosis inhibitors showed that the internalization of H2 and NZ2114 was mainly blocked by low temperature and chlorpromazine (Fig. 4C,D). MβCD and nocodazole did not impact the uptake of peptides. Accordingly, it was deduced that H2 and NZ2114 can enter MAC-T cells mainly in an energy- and temperature-dependent manner25. In this work, clathrin-mediated endocytosis is the major route of internalization of peptides in MAC-T cells, which is different from the case for certain cell-penetrating peptides (such as Tat11, α1H and α2H)35,36 and NZ2114, which were internalized in RAW264.7 cells by both clathrin-mediated endocytosis and micropinocytosis, and from the entry of polyhexamethylene biguanide into cells, which occurs via dynamin-dependent endocytic pathways37. This indicated that the same peptide may have various mechanisms and efficiencies of internalization in different cells, thus leading to a diversity of the intracellular antibacterial ability. Additionally, the entrance of H2 and NZ2114 into MAC-T cells was not prevented by heparin, chondroitin sulfate, and dextran sulfate which suggests that the internalization of H2 and NZ2114 does not require the soluble glycosaminoglycans, which is inconsistent with the findings of a previous study, which stated that the uptake of the human immunodeficiency virus type 1 (HIV-1) trans-activator of transcription (Tat11) peptide (residues 48–57) requires cell-surface heparan sulfate proteoglycans36,38. Other internalization mechanisms need to be examined in further studies.
It has been demonstrated that S. aureus has a high adherence to bovine mammary epithelial cells when cultured in milk serum to mimic the in vivo conditions more closely, which may protect pathogen from being phagocytized39. Meanwhile, the virulence towards mice of S. aureus was enhanced upon growth in milk whey due to the increased clotting activity in bovine plasma and the production of protease40. In this study, the S. aureus-induced mastitis mouse model was successfully used to test the in vivo activity of H2, although there are some differences between mouse and bovine mammary glands. A few studies have demonstrated that the interaction of S. aureus with the host cells in mouse mammary glands is similar to that in case of dairy cows6. Additionally, in order to investigate the efficiency of H2, in this study, the mouse mastitis model was treated with a lower dose (100 μg per mammary gland) of H2 than that in previous studies (100–1200 μg per mammary gland). The results showed that similar to the findings for the in vitro intracellular bactericidal activity (Supplementary Table S3 and Fig. 5c), H2 could kill multidrug-resistant S. aureus E48 cells more effectively than vancomycin in the mouse mammary glands (Fig. 6). The lower efficiency of vancomycin in vivo may be associated with the presence of body fluids such as milk and serum, which may reduce the antibacterial activity of drugs23. Additionally, after treatment with the peptides or vancomycin, polymorphonuclear neutrophils disappeared from the alveoli (Fig. 7), which is consistent with the findings from previous studies23. It was also observed that the peptides NZ2114/H2 and vancomycin can protect the mammary glands of the mice from S. aureus infection. Meanwhile, no obvious damage to the bacterial cells was found following treatment with the peptides and vancomycin in mammary cells and tissues, indirectly revealing that NZ2114 and H2 have no toxicity at the concentration of 100 μg/gland. This indicated that the plectasin-derived peptide H2 is more promising for use as a topical injection than in transitional therapy for bovine mastitis. Additionally, in some previous studies, it has been demonstrated that the synthetic peptide Bac2A (RLARIVVIRVAR), which is derived from bovine bactenecin, displays potent antibacterial activity against Gram-positive bacteria (MICs of 0.25–16 μg/ml); meanwhile, it has minor effects on host immune responses41,42,43,44, making it appealing as a therapeutic alternative to antibiotics for mastitis treatment. Another promising candidate used for mastitis treatment is the Bac2A derivative IDR-1018 (VRLIVAVRIWRR); it showed potent activity against S. aureus (MIC, 5 μg/ml) and significantly reduced the LPS-induced pro-inflammatory response, indicating that it is one of the strongest synthetic immunomodulatory peptides. These characteristics make IDR1018 an ideal candidate for the treatment of mastitis44,45. However, there are some limitations associated with its use, such as expensive production costs, in vivo instability, and some cytotoxicity at high concentrations; further studies are required to fully understand and evaluate the biological significance of these peptides45.
In summary, H2 displayed a lower cytotoxicity towards bovine mammary epithelial cells than its parental peptide NZ2114. The antibacterial activity of H2 was not reduced by cathepsin B. It entered the bovine mammary epithelial MAC-T cells mainly through clathrin-mediated endocytosis in a dose-dependent manner. H2 showed intracellular bactericidal activities against MRSA and the clinical S. aureus isolates in mammary epithelial cells and a mouse mastitis model; its action was found to be superior to that of vancomycin. These findings suggested that H2 is a safe and efficient intracellular antibacterial drug, and may be one of the potential candidates for intramammary therapy in cases of intracellular S. aureus-induced clinical mastitis.
Materials and Methods
Bacterial strains, cell lines, and mice
The MRSA ATCC43300 strain was purchased from the American Tissue Culture Collection (ATCC). The S. aureus CVCC3051 (spa type t3297) strain, which was isolated from bovine clinical mastitis milk samples by the Northeast Agricultural University, was purchased from China Veterinary Culture Collection (CVCC) (Beijing, China); it is referred to as a biosafety III strain (Supplementary Table S2). The other clinical mastitis isolate S. aureus E4823 and MAC-T cells were provided by Professor Zhao, College of Animal Science and Technology, Northwest A&F University (Yangling, China). All strains were cultured in Mueller–Hinton (MH) medium at 37 °C. The MAC-T cells were cultured in DMEM (containing 10% FBS (Invitrogen Trading (Shanghai) Co., Ltd.) and 1% penicillin/streptomycin (Invitrogen Trading (Shanghai) Co., Ltd.). All antibiotics (including virginiamycin, aureomycin, bacitracin zinc, lincomycin, and vancomycin) were obtained from the China Institute of Veterinary Drug Control and Dalian Meilun Biotech and Sangon Biotech (Shanghai) Co., Ltd.. The four-day post-parturient specific-pathogen-free (SPF) ICR mice were purchased from Beijing Vital River Laboratory Animal Technology Co., Ltd. (Beijing, China).
Intracellular MAC-T infections with multidrug-resistant S. aureus strains
The antimicrobial susceptibility and SCCmec or spa typing of the clinical mastitis S. aureus isolates CVCC3051 and E48 were performed as described in the Supplementary information section.
The MAC-T cells were cultivated at 37 °C in conditions of 5% carbon dioxide, and infected with MRSA ATCC43300, and S. aureus CVCC3051 and E48 as described previously, with some modifications46,47. First, cells (2.5 × 105 cells/ml) were seeded into a 12-well plate (750 μl/well) and cultured in DMEM with 10% FBS (without antibiotics) for 24 h. Then, 750 μl of a suspension of mid-log phase S. aureus cells (2.5 × 107 CFU/ml) was added into each well. After incubation for 0.5 h, the cells were washed twice with PBS and incubated with 50 μg/ml lysostaphin for 1 h to remove the extracellular bacteria. The cells were then fixed and visualized as described previously48.
Effect of cathepsin B on the extracellular activities of H2
The effect of the phagolysosomal enzyme cathepsin B on the antibacterial activities of H2 against S. aureus was evaluated according to a previous method46. In brief, 320 μg/ml H2 or NZ2114 was incubated with a 16 μg/ml enzyme solution (20 mM sodium acetate, 1 mM EDTA, and 5 mM, L-cysteine, pH 5.0) for 1 h at 37 °C, and their MICs against S. aureus were determined by the broth microdilution method.
Cytotoxicity of H2 towards MAC-T cells
The cytotoxicity of H2 and NZ2114 towards MAC-T cells was tested by a colorimetric method, i.e. the MTT assay, as described previously22.
Translocation, subcellular distribution, quantification, and preliminary mechanism of H2 uptake into MAC-T cells
MAC-T cells were seeded into 12-well plates (1.875 × 105 cells/well) and cultured for 24 h at 37 °C. The H2 or NZ2114 solutions were added into the cell suspensions with the final concentration of 2.5, 25, 250 μg/ml, respectively, followed by incubation for an additional 24 h. After washing and staining with 50 μg/ml PI for 10 min, the membrane integrity of cells was analyzed using a FACS Calibur Flow Cytometer (BD, USA)48.
MAC-T cells were grown on a confocal dish. The FITC-labeled H2 and NZ2114 peptides (2.5, 25, and 50 μg/ml) were added into the cell cultures, followed by incubation for 24 h. After washing with PBS, the cells were then stained with Hoechst 33342 (5 μg/ml, Invitrogen, nuclear stain) and wheat germ agglutinin (WGA)-conjugated Alexa Fluor 555 (5 μg/ml, Invitrogen, membrane stain) for 10 min and observed using confocal microscopy37.
To quantify the uptake of the peptides, the cells were seeded and incubated with the FITC-labeled peptides (0.25, 2.5, and 25 μg/ml), as described above. To quench the membrane-bound FITC-labeled peptides, the cells were treated with 0.04% trypan blue (Invitrogen, UK). The fluorescence intensity of 10,000 gated cells was then analyzed by flow cytometry33,37.
To explore the preliminary mechanism of H2 uptake into cells, the MAC-T cells were preincubated with different endocytosis inhibitors (6 μg/ml chlorpromazine, 5 mM MβCD, 3 mM amiloride, and 20 µM nocodazole) at 37 °C for 1 h. FITC-labeled H2 or NZ2114 (25 μg/ml) were then added, followed by incubation for another 6 h. The cells treated with the FITC-labeled peptides at 4 °C and 37 °C were used as the negative and positive controls, respectively. The membrane-bound FITC-labeled peptides were quenched, and the cell fluorescence intensity was measured as described above35.
MAC-T cells were incubated with 25 μg/ml of the FITC-labeled peptides and 10 μg/ml of soluble glycosaminoglycans (heparin, chondroitin sulfate, and dextran sulfate) for 6 h, followed by the measurement of the fluorescence intensity, as described above38.
In vitro efficacy of H2 in MAC-T cells
To determine the intracellular activity of H2, MAC-T cells were infected with S. aureus, as described above. The survival of intracellular S. aureus was evaluated 24 h after incubation with H2, NZ2114, or vancomycin (0.25, 1.25, 2.5, 12.5, and 25 μg/ml). After washing with PBS, MAC-T cells were lysed with Hanks’ buffered saline solution (0.1% bovine serum albumin and 0.1% Triton-X)23,46. The intracellular bacteria were diluted by PBS and plated for CFU determination at 0 h and 24 h.
In vivo efficacy of H2 in the mouse mastitis model
The SPF ICR mice were bred in the appropriate conventional animal care facilities and all experiments were performed in accordance with the Animal Care and Use Committee of the Feed Research Institute of the Chinese Academy of Agricultural Sciences (CAAS). The protocols were approved by the Laboratory Animal Ethical Committee and the Inspection of the Feed Research Institute of the CAAS (AEC-CAAS-20090609).
The efficacy of H2 against S. aureus was evaluated in a mouse mastitis model, as described previously23,49. To deplete the milk in mammary glands, the pups were nursed for 1 h. The lactating mice were anesthetized by the intraperitoneal injection of tribromoethyl alcohol. The fourth pair of mammary glands of each mouse was subjected to intramammary challenge with S. aureus E48 (1 × 105 CFU in 100 μl PBS per mammary gland). In total, 20 mice were randomly divided into the PBS-, H2-, NZ2114-, and vancomycin-treated groups. The glands were injected with 100 μg of the peptides or vancomycin (dissolved in 100 μl PBS) at 4 h after the challenge. Twenty-four hours later, the mice were euthanized, and their mammary glands were dissected, weighed, and homogenized; the bacterial cell numbers were counted as described above. The mammary gland tissues of mice from each group were fixed in formalin buffer and their histopathological changes were then examined under a light microscope.
Statistical analyses
All statistical analyses were performed using IBM SPSS Statistics 21.0 and one-way repeated analysis of variance (ANOVA) with Duncan’s test. The data were expressed as the means ± SDs. The differences were considered to be significant at P < 0.05.
References
Bouchard, D. S., Rault, L., Berkova, N., Le Loir, Y. & Even, S. Inhibition of Staphylococcus aureus invasion into bovine mammary epithelial cells by contact with live Lactobacillus casei. Appl Environ Microbiol 79, 877–885 (2013).
Contreras, G. A. Mastitis: comparative etiology and epidemiology. J Mammary Gland Biol Neoplasia 16, 339–356 (2011).
Pu, W. X. et al. High incidence of oxacillin-susceptible mecA-positive Staphylococcus aureus (OS-MRSA) associated with bovine mastitis in China. PloS One 9, e88134 (2014).
Zhang, R. Q. et al. Investigation of current situation and causes of subclinical mastitis in small and medium sized dairy farms in Beijing-Tianjin-Hebei region. China Cow 36, 65–69 (2018).
Zhong, Y. F., Wu, Y. M. & Liu, J. X. Study on the influencing factors of the incidence of subclinical mastitis in large-scale dairy farms in Zhejiang province. J Chinese Anim Husbandry 54, 134–138 (2018).
Brouillette, E., Grondin, G., Shkreta, L., Lacasse, P. & Talbot, B. G. In vivo and in vitro demonstration that Staphylococcus aureus, is an intracellular pathogen in the presence or absence of fibronectin-binding proteins. Microb Pathog 35, 159–168 (2003).
Almeida, R. A., Matthews, K. R., Cifrian, E., Guidry, A. J. & Oliver, S. P. Staphylococcus aureus invasion of bovine mammary epithelial cells. J Dairy Sci 79, 1021–1026 (1996).
Barlow, J. Mastitis therapy and antimicrobial susceptibility: a multispecies review with a focus on antibiotic treatment of mastitis in dairy cattle. J Mammary Gland Biol Neoplasia 16, 383–407 (2011).
Nickerson, S. C. Control of heifer mastitis: antimicrobial treatment - an overview. Vet Microbiol 134, 128–135 (2009).
Gomes, F. & Henriques, M. Control of bovine mastitis: old and recent therapeutic approaches. Curr Microbiol 72, 377–382 (2016).
Wang, D. et al. Bovine mastitis Staphylococcus aureus: antibiotic susceptibility profile, resistance genes and molecular typing of methicillin-resistant and methicillin-sensitive strains in China. Infect Genet Evol 31, 9–16 (2015).
Haddad Kashani, H., Schmelcher, M., Sabzalipoor, H., Seyed Hosseini, E. & Moniri, R. Recombinant endolysins as potential therapeutics against antibiotic-resistant Staphylococcus aureus: current status of research and novel delivery strategies. Clin Microbiol Rev 31, e00071–17 (2018).
Hancock, R. E. & Sahl, H. G. Antimicrobial and host-defense peptides as new anti-infective therapeutic strategies. Nat Biotechnol 24, 1551–1557 (2006).
Wimley, W. C. Describing the mechanism of antimicrobial peptide action with the interfacial activity model. ACS Chem Biol 5, 905–917 (2010).
Mygind, P. H. et al. Plectasin is a peptide antibiotic with therapeutic potential from a saprophytic fungus. Nature 437, 975–980 (2005).
Schneider, T. K. et al. Plectasin, a fungal defensin, targets the bacterial cell wall precursor lipid II. Science 328, 1168–1172 (2010).
Brinch, K. S. et al. Plectasin shows intracellular activity against Staphylococcus aureus in Human THP-1 monocytes and in a mouse peritonitis model. Antimicrob Agents Chemother 53, 4801–4808 (2009).
Østergaard, C., Sandvang, D., Frimodtmøller, N. & Kristensen, H. H. High cerebrospinal fluid (CSF) penetration and potent bactericidal activity in CSF of NZ2114, a novel plectasin variant, during experimental Pneumococcal meningitis. Antimicrob Agents Chemother 53, 1581 (2009).
Zhang, Y. et al. High expression of a plectasin-derived peptide NZ2114 in Pichia pastoris and its pharmacodynamics, postantibiotic and synergy against Staphylococcus aureus. Appl Microbiol Biotechnol 98, 681–694 (2014).
Zhang, Y. et al. In vitro and in vivo characterization of a new recombinant antimicrobial peptide, MP1102, against methicillin-resistant Staphylococcus aureus. Appl Microbiol Biotechnol 99, 6255–6266 (2015).
Brinch, K. S. et al. Intracellular activity of the peptide antibiotic NZ2114: studies with Staphylococcus aureus and human THP-1 monocytes, and comparison with daptomycin and vancomycin. J Antimicrob Chemother 65, 1720 (2010).
Wang, X. et al. Increased intracellular activity of MP1102 and NZ2114 against Staphylococcus aureus in vitro and in vivo. Sci Rep 8, 4204 (2018).
Li, L., Wang, L., Gao, Y., Wang, J. & Zhao, X. Effective antimicrobial activity of plectasin-derived antimicrobial peptides against Staphylococcus aureus infection in mammary glands. Front Microbiol 8, 2386 (2017).
Chen, H. et al. Design and pharmacodynamics of recombinant NZ2114 histidine mutants with improved activity against methicillin-resistant Staphylococcus aureus. AMB Express 7, 46 (2017).
Lundin, P. et al. Distinct uptake routes of cell-penetrating peptide conjugates. Bioconjug Chem 19, 2535–2542 (2008).
Dowdy, S. F. Transducible TAT-HA fusogenic peptide enhances escape of TAT-fusion proteins after lipid raft macropinocytosis. Nat Med 10, 310 (2004).
Suzuki, K. et al. Human host defense cathelicidin peptide LL-37 enhances the lipopolysaccharide uptake by liver sinusoidal endothelial cells without cell activation. J Immunol 196, 1338 (2016).
Souza, R. F. S. et al. Contribution of sortase SrtA2 to Lactobacillus casei BL23 inhibition of Staphylococcus aureus internalization into bovine mammary epithelial cells. PloS One 12, e0174060 (2017).
Thompsoncrispi, K., Atalla, H., Miglior, F. & Mallard, B. A. Bovine mastitis: frontiers in immunogenetics. Front Immunol 5, 493 (2014).
Almeida, R. A. & Oliver, S. P. Interaction of coagulase-negative Staphylococcus species with bovine mammary epithelial cells. Microb Pathog 31, 205–212 (2001).
Mello, P. L., Pinheiro, L. & Martins, L. A. Brito MAVP & Ribeiro de Souza da Cunha ML. Short communication: β-Lactam resistance and vancomycin heteroresistance in Staphylococcus spp. isolated from bovine subclinical mastitis. J Dairy Sci 100, 6567–6571 (2017).
Duchardt, F., Fotin-Mleczek, M., Schwarz, H., Fischer, R. & Brock, R. A comprehensive model for the cellular uptake of cationic cell-penetrating peptides. Traffic 8, 848–866 (2007).
Li, Z. et al. Improved antibacterial activity of the marine peptide N6 against intracellular Salmonella Typhimurium by conjugating with the cell penetrating peptide Tat11 via a cleavable linker. J Med Chem 61, 7991–8000 (2018).
Duchardt, F. et al. A cell-penetrating peptide derived from human lactoferrin with conformation-dependent uptake efficiency. J Biol Chem 284, 36099–36108 (2009).
Gomarasca, M. et al. Bacterium-derived cell-penetrating peptides deliver gentamicin to kill intracellular pathogens. Antimicrob Agents Chemother 61, e02545–16 (2017).
Richard, J. P. et al. Cellular uptake of unconjugated TAT peptide involves clathrin-dependent endocytosis and heparan sulfate receptors. J Biol Chem 280, 15300 (2005).
Kamaruzzaman, N. F., Firdessa, R. & Good, L. Bactericidal effects of polyhexamethylene biguanide against intracellular Staphylococcus aureus EMRSA-15 and USA 300. J Antimicrob Chemother 29, 347–359 (2016).
Tyagi, M., Rusnati, M., Presta, M. & Giacca, M. Internalization of HIV-1 tat requires cell surface heparan sulfate proteoglycans. J Biol Chem 276, 3254–3261 (2001).
Mamo, W., Lindahl, M. & Jonsson, P. Enhanced virulence of Staphylococcus aureus from bovine mastitis induced by growth in milk whey. Vet Microbiol 27, 371–384 (1991).
Hensen, S. M., Pavicić, M. J., Lohuis, J. A. & Poutrel, B. Use of bovine primary mammary epithelial cells for the comparison of adherence and invasion ability of Staphylococcus aureus strains. J Dairy Sci 83, 418–429 (2000).
Wieczorek, M. et al. Structural studies of a peptide with immune modulating and direct antimicrobial activity. Chem Biol 17, 970–980 (2010).
Young-Speirs, M., Drouin, D., Cavalcante, P. A., Barkema, H. W. & Cobo, E. R. Host defense cathelicidins in cattle: types, production, bioactive functions and potential therapeutic and diagnostic applications. Int J Antimicrob Agents 51, 813–821 (2018).
Bowdish, D. M., Davidson, D. J., Scott, M. G. & Hancock, R. E. Immunomodulatory activities of small host defense peptides. Antimicrob Agents Chemother 49, 1727–1732 (2005).
Chandler, R. L., Smith, K. & Turfrey, B. A. Studies on the phagocytic potential of secretory epithelial cells in experimental mastitis. J Comp Pathol 90, 385–394 (1980).
Wang, L., Si, W., Xue, H. & Zhao, X. A fibronectin-binding protein (FbpA) of Weissella cibaria inhibits colonization and infection of Staphylococcus aureus in mammary glands. Cell Microbiol 19, e12731 (2017).
Lehar, S. M. et al. Novel antibody-antibiotic conjugate eliminates intracellular Staphylococcus aureus. Nature 527, 323–328 (2015).
Yue, Y., Hymøller, L., Jensen, S. K., Lauridsen, C. & Purup, S. Effects of vitamin D and its metabolites on cell viability and Staphylococcus aureus invasion into bovine mammary epithelial cells. Vet Microbiol 203, 245–251 (2017).
Yang, N. et al. Antibacterial and detoxifying activity of NZ17074 analogues with multi-layers of selective antimicrobial actions against Escherichia coli and Salmonella enteritidis. Sci Rep 7, 3392 (2017).
Breyne, K., De, V. S., De, V. A., Piepers, S. & Meyer, E. Technical note: a pilot study using a mouse mastitis model to study differences between bovine associated coagulase-negative staphylococci. J Dairy Sci 98, 1090–1100 (2015).
Acknowledgements
This study was supported by the National Natural Science Foundation of China (No.31672456, No.31872393, No. 31572445, 31372346, No.31572444, and No.31601968), the Project of the National Support Program for Science and Technology in China (No. 2013BAD10B02), and the AMP Direction of National Innovation Program of Agricultural Science and Technology in CAAS (CAAS-ASTIP-2013-FRI-02, 2013–2017), and its Key Project of Alternatives to Antibiotics for Feed Usages (Grant CAAS-ZDXT2018008).
Author information
Authors and Affiliations
Contributions
X.W., D.T., R.Y.M. and J.H.W. conceived and designed experiments. X.W. carried out all experiments. X.W., R.Y.M. and J.H.W. contributed in writing. J.H.W. contributed in funding acquisition. R.Y.M. and X.M.W. contributed in formal analysis and revision. X.W., Y.H. and H.X.C. contributed to materials and reagents.
Corresponding authors
Ethics declarations
Competing Interests
The authors declare no competing interests.
Additional information
Publisher’s note: Springer Nature remains neutral with regard to jurisdictional claims in published maps and institutional affiliations.
Supplementary information
Rights and permissions
Open Access This article is licensed under a Creative Commons Attribution 4.0 International License, which permits use, sharing, adaptation, distribution and reproduction in any medium or format, as long as you give appropriate credit to the original author(s) and the source, provide a link to the Creative Commons license, and indicate if changes were made. The images or other third party material in this article are included in the article’s Creative Commons license, unless indicated otherwise in a credit line to the material. If material is not included in the article’s Creative Commons license and your intended use is not permitted by statutory regulation or exceeds the permitted use, you will need to obtain permission directly from the copyright holder. To view a copy of this license, visit http://creativecommons.org/licenses/by/4.0/.
About this article
Cite this article
Wang, X., Teng, D., Wang, X. et al. Internalization, distribution, and activity of peptide H2 against the intracellular multidrug-resistant bovine mastitis-causing bacterium Staphylococcus aureus. Sci Rep 9, 7968 (2019). https://doi.org/10.1038/s41598-019-44459-x
Received:
Accepted:
Published:
Version of record:
DOI: https://doi.org/10.1038/s41598-019-44459-x
This article is cited by
-
The dual antimicrobial and immunomodulatory roles of host defense peptides and their applications in animal production
Journal of Animal Science and Biotechnology (2022)
-
Antibacterial peptide NZ2114-loaded hydrogel accelerates Staphylococcus aureus-infected wound healing
Applied Microbiology and Biotechnology (2022)
-
A recombinant fungal defensin-like peptide-P2 combats Streptococcus dysgalactiae and biofilms
Applied Microbiology and Biotechnology (2021)
-
Hederacoside-C Inhibition of Staphylococcus aureus-Induced Mastitis via TLR2 & TLR4 and Their Downstream Signaling NF-κB and MAPKs Pathways In Vivo and In Vitro
Inflammation (2020)
-
Therapeutic potential of a designed CSαβ peptide ID13 in Staphylococcus aureus-induced endometritis of mice
Applied Microbiology and Biotechnology (2020)









