Abstract
mtDNA recombination events in yeasts are known, but altered mitochondrial genomes were not completed. Therefore, we analyzed recombined mtDNAs in six Saccharomyces cerevisiae × Saccharomyces paradoxus hybrids in detail. Assembled molecules contain mostly segments with variable length introgressed to other mtDNA. All recombination sites are in the vicinity of the mobile elements, introns in cox1, cob genes and free standing ORF1, ORF4. The transplaced regions involve co-converted proximal exon regions. Thus, these selfish elements are beneficial to the host if the mother molecule is challenged with another molecule for transmission to the progeny. They trigger mtDNA recombination ensuring the transfer of adjacent regions, into the progeny of recombinant molecules. The recombination of the large segments may result in mitotically stable duplication of several genes.
Similar content being viewed by others
Introduction
Hybrids between Saccharomyces species occur frequently in nature as a number of hybrids have been reported among wine and beer strains1,2,3,4,5,6. Most lager beer strains are hybrids between S. cerevisiae and S. eubayanus, combining the ability to produce ethanol with cryotolerance6,7,8. Some S. cerevisiae × S. kudriavzevii strains are associated with beer, but most of them are associated with wine, where they provide unique flavor8,9. S. eubayanus and S. uvarum hybrids have been associated with sparkling wine, cider fermentation, and, in some cases, with the production of off-flavors in breweries8,10,11. Interspecific hybrids among Saccharomyces species can also be readily obtained in the laboratory9,12,13,14. Hybrid species initially contain one nuclear genome from each parent; although, in older hybrids, the two parental genomes often undergo nonreciprocal exchanges accompanied by loss of genes, chromosomal segments, or even complete chromosomes, producing various chimaeras from which novel lineages might emerge9,14,15,16.
In contrast to the heterozygosity in the nuclear genomes, the mitochondrial genomes were reported in early works to be inherited only from one parent; although, in most cases the inheritance of mitochondrial DNA (mtDNA) was inferred from restriction patterns or from the sequence of a single mitochondrial gene3,13,17,18,19,20,21.
However, it has been known for many years that when two yeast cells containing mtDNAs are mated, the mtDNAs are biparentally inherited and undergo recombination followed by rapid fixation of a single mitochondrial haplotype15,22,23. Therefore, it was surprising that recombinant mtDNA molecules were not observed in early interspecific hybrids.
In S. cerevisiae, after mating, two haploid mtDNAs repeatedly recombine, and the cell reaches the homoplasmy usually in less than 20 generations. This is apparently related to the bottleneck effect and transmission of only a few concatemers to the nascent bud24,25. Recombination between parental mtDNAs can occur during the heteroplasmic transition, and a complete mitochondrial recombination map has been released from genome-wide sequencing. Recombination hotspots were preferentially localized in intergenic and intronic regions26. mtDNA recombination was also inferred from restriction fragment length polymorphism (RFLP) in S. cerevisiae intraspecific crosses27.
Later on, elevated nucleotide diversity was found in recombination hotspots of some genes, most of all cox2-ORF1 in other Saccharomyces and also in hybrid species28,29,30. Recently, mtDNA recombination events were also reported in a study generating hybrid Saccharomyces allopolyploids of at least six species. Genome-wide sequencing revealed that during interspecific hybridization hybrids inherited mostly one of the two parental mitotypes that was quickly fixed, except for S. kudriavzevii × S. mikatae and S. cerevisiae × S. uvarum allotetraploids and the six species hybrids, which were all heteroplasmic. In addition, in the S. kudriavzevii × S. mikatae hybrid, the portion of the cox1 gene from S. mikatae seemed to have been introduced into the S. kudriavzevii mtDNA. Unfortunately, these recombined mitochondrial genomes were not completed9.
In summary, several mtDNA recombination events were reported, but altered mitochondrial genomes were not assembled. Therefore, the aim of this work was to analyze mtDNA transmission and the rate of recombination in S. cerevisiae × S. paradoxus hybrids in detail.
Results
Interspecific hybrids
To avoid any alteration due to auxotrophic mutations and to mimic the condition in nature (prototrophy), our first intention was to mate type strains of S. cerevisiae CBS 1171 to S. paradoxus CBS 43231 as well as to S. paradoxus CBS 2908. However, CBS 1171 is an extremely poor sporulant; therefore, we used S. cerevisiae CCY 21-4-96 instead. S. cerevisiae and S. paradoxus differ in two basic phenotypic traits. The S. cerevisiae CCY 21-4-96 strain grows at 37 °C and produces rough colonies, whereas S. paradoxus strains do not grow at 37 °C and produce smooth colonies. Upon spore-to-spore mating, smooth colonies were prepared capable to grow at 37 °C from two independent crosses. The presence of both nuclear genomes in the hybrids was confirmed by the AluI polymorphism of the PCR D1/D2 domain products (Fig. S1). The ability to grow on YPGE plates demonstrated the presence of complete mtDNA. In addition, all hybrids were excellent sporulants, but the viability of their spore was low, from 2 to 14%. Eleven F1 hybrids, six from S. paradoxus CBS 432 × S. cerevisiae CCY 21-4-96 crosses and five from S. paradoxus CBS 2908 × S. cerevisiae CCY 21-4-96 crosses, were selected for further analysis. The presence of both parental chromosome sets in all F1 hybrids was confirmed by the karyotype analysis using pulsed field gel electrophoresis (PFGE) (Fig. S2).
Analysis of mitochondrial DNA (mtDNA)
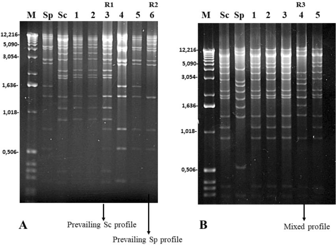
Restriction endonuclease analysis of mtDNA is widely used to distinguish between different yeast strains32,33. The S. cerevisiae and S. paradoxus mitochondrial gene orders differ from each other by two rearrangements, and they can be distinguished by HinfI or EcoRV digest32,34. mtDNA from 11 hybrids was subjected to EcoRV restriction analysis. The obtained patterns were compared for those of the parental strains (Fig. 1). Four hybrids originating from S. cerevisiae CCY 21-4-96 and the S. paradoxus strain CBS 432 showed mtDNA restriction patterns identical to those exhibited by the parental strains (Fig. 1A). However, two hybrids showed mixed restriction profiles (recombination rate 33.3%, hybrids 3-R1 and 6-R2; Fig. 1A). The 3-R1 mtDNA exhibited the same pattern as S. paradoxus CBS 432, but it contained some additional bands from S. cerevisiae CCY 21-4-96. The 6-R2 pattern showed a majority of bands identical to those of S. cerevisiae CCY 21-4-96, with one or two new larger bands and at least one band absent.
EcoRV restriction analysis of mitochondrial DNA (mtDNA) from the parental strains and the inter-specific hybrids. (A) Parental strains S. cerevisiae CCY 21–4-96 and S. paradoxus CBS 432, and their hybrids (1–6). (B) Parental strains S. cerevisiae CCY 21–4-96 and S. paradoxus CBS 2908 and their hybrids (1–5). Recombined EcoRV profiles are marked as Ry.
Four of the S. cerevisiae CCY 21-4-96 × S. paradoxus CBS 2908 hybrids acquired S. cerevisiae CCY 21-4-96 mtDNA, as can be inferred from their electrophoretic profiles (hybrids 1, 2, 3, and 5; Fig. 1B). Only one hybrid, 4-R3 (72 K), exhibited a mixture of bands belonging to both parents, with some parental bands missing (recombination rate 20.0%).
Rearranged mtDNA forms are stable
To exclude a possibility of heteroplasmic mtDNA populations present in zygotes with mixed mtDNA profiles, the hybrids were grown for approximately 20 generations, and mtDNA from 10 single colonies was purified and subjected to HinfI or EcoRV restriction analysis. All recombined mtDNAs were stable since their unchanged restriction profiles were found in all single colonies (Figs. S3, S4).
Characterization of mtDNA rearrangements
To determine the exact organization of the rearranged mitochondrial molecules, purified mtDNAs were directly sequenced with primers specific to the conserved regions of several mitochondrial genes (cox1, cox2, cox3, cob, rns, rnl, atp9, trnM). However recent advances in the assembly of mtDNA sequenced by Illumina MiSeq34 allowed us to obtain complete sequences of recombined mitochondrial genomes (Table S1) that were confirmed by RFLP. Generally, the rearranged molecules were composed of a major skeleton from one parental molecule with small regions substituted with segments from another parental molecule (Figs. 2, 3). This observation suggested that recombination between two mtDNA molecules had occurred.
The genetic organization of recombined mtDNA in hybrids. For simpler comparison, the circular genomes, exported from Vector NTI, were aligned at the beginning of the large rRNA subunit (rnl). Genes are marked with colored rectangles with arrows or lines, and origins of replication are marked with black circles. The RNA of the rnpB gene and tRNA genes are indicated by thin lines. Introns are marked with white rectangles. Gene nomenclature follows the rules described in GOBASE (atp for ATP synthetase subunits; cox for cytochrome oxidase subunits; cob for cytochrome b; rns for small rRNA ribosomal subunit; rnl for large rRNA ribosomal subunit; T2, C, H, etc. for particular tRNA coding genes; rps3 for ribosomal protein; and rnpB for the RNA subunit of RNase P). Sections originating from S. cerevisiae are marked in red, and those originating from S. paradoxus are in blue. Introns and free standing ORFs known as mobile, in S. cerevisiae are marked in black35. Their homologs in S. paradoxus are marked in yellow. Sizes are given on the bottom line in kbp. GenBank accession numbers MW367979, JQ862335, MW367976, MW367977.
The genetic organization of recombined mtDNA in hybrids. For simpler comparison, the circular genomes, exported from Vector NTI, were aligned at the beginning of the large rRNA subunit (rnl). The gene legend is the same as in Fig. 2. Sections originating from S. cerevisiae are marked in red and those originating from S. paradoxus are marked in blue. Introns and free standing ORFs known as mobile, in S. cerevisiae are marked in black35. Their homologs in S. paradoxus are marked in yellow. Sizes are given on the bottom line in kbp. GenBank accession numbers MW36797, KX657748, MW367978, MW367980-2.
Hybrid 3-R1 molecule
The original hybrid 3-R1 and stable subclones contained all genes from S. cerevisiae, except for cox1 (Fig. 2). The cox1 gene was recombined and had a 6600 bp segment spanning S. paradoxus Spcox1I2–Spcox1I5γ with 5′ and 3′ flanking exon regions.
Hybrid 6-R2 molecule
The recombined 6-R2 mtDNA molecule received a majority of genes from S. paradoxus (Fig. 2), but three genes, atp6, atp8, and trnE, were introgressed from S. cerevisiae. The recombination sites were identified in the cob and cox1 genes. The 5′ junction was located in the last exon of the cox1 gene, and the 3′ junction was located in the cob gene in the Spcob-I3 intron that is homologous to Sccob-I2 intron (Fig. 2).
Hybrid 4-R3 (72 K) molecule
The completed mitochondrial genome of 4-R3 (72 K) confirmed that the mtDNA molecule was recombined and consisted of sequences originating from both parents. Sequences of the genes atp6, atp8, cox1, rns, rnpB, and cox3 were identical to those of S. cerevisiae CCY 21-4-96, and sequences of genes rns, rnpB, cox3, trn, rnl, var1, atp9, and cob were identical to those of S. paradoxus CBS 2908.
The consequence of this recombination was duplication of trnF, trnT, trnV, cox3, trnM, rnpB, trnP, rns, and trnW genes. Recombination sites were identified at cox2 (positions 531–570 from ATG) and downstream of ori4 S. paradoxus (positions 204–107) (Fig. 3).
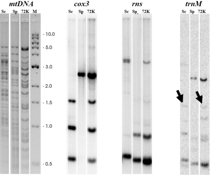
The duplication of rns, cox3, and trnM (adjacent to rnpB) genes was also confirmed by Southern blot analysis (Fig. 4). The HinfI restriction pattern of the 4-R3 (72 K) mtDNA molecule was hybridized with radioactively labeled probes and compared to those of the parental strains. All three probes were hybridized to combination of parental bands in the restriction pattern of the 4-R3 (72 K) molecule.
Southern blot analysis of mtDNA molecules from the parental strains S. cerevisiae CCY 21-4-96 and S. paradoxus CBS 2908 and hybrid 4-R3 (72 K). HinfI restriction analysis of mtDNAs is at the left, while the autoradiograms showing hybridizations with the cox3, rns, and trnM probes are to the right. The cox3 and rns probes were 32P-labeled PCR products of the corresponding genes. The trnM probe was an oligonucleotide of which the 5′ end was labeled with γ32P-ATP. The arrows on the trnM picture show the S. cerevisiae band that is present in the 4-R3 (72 K) hybrid.
How frequent is duplication in mtDNA?
We addressed the following question. At what frequency do mtDNA variants with duplicate regions arise? Selection based on colony appearance (smooth colonies) and the ability to grow at 37 °C provides only a limited number of hybrids. To analyze multiple recombined mitochondrial genomes, the mtDNA from S. cerevisiae CCY 21-4-96 was transferred via cytoduction to the auxotrophic laboratory strain 3C with geneticin resistance resulting in the strain 3C-CCY. S. cerevisiae 3C-CCY/S. paradoxus CBS 2908 hybrids were then selected on minimal medium with geneticin, and a larger set of sixty hybrids was analyzed. Although some recombined mtDNA were found, none of them contained the restriction profile typical for 4-R3 (72 K) (Fig. S5). Apparently, gene duplication in mtDNA is a rare event. To identify other recombination variants in hybrids, we sequenced three complete recombined mitochondrial genomes of hybrids (ZAN) by Illumina MiSeq. All recombined molecules are the result of transposition from S. cerevisiae to S. paradoxus (Figs. 3, 4). The ZAN15 molecule received about a 23,840 kb segment from the beginning of cox1 up to the end of the cob gene. The precise recombination sites were at the beginning of the first exon of cox1 and the last exon of the cob gene. The ZAN31 molecule contains about 3280 bp long DNA containing ORF4 and atp6 from S. cerevisiae. The recombination sites were mapped in the region 251–332 downstream the atp6 start codon. The mtDNA in the ZAN37 hybrid results from two recombination events. The first one was triggered by the homing and co-conversion of flanking exons. The recombination sites were identified in the flanking exons. The second recombination event was also initiated by ORF4, and due to the mobility of cob-I2 it is about 14,760 bp long. The recombination sites were mapped downstream of the atp6 start codon and at the beginning of the last cob exon.
Discussion
In Saccharomyces yeasts, the diverse and highly reticulated mtDNAs show signatures of recombination and horizontal gene transfer within and between species27,28,29,30,36,37,38. To understand mtDNA transmission and the rate of recombination in interspecific Saccharomyces hybrids, we studied the progeny from the mating of two very closely related species: S. cerevisiae and S. paradoxus. The gene order of the S. paradoxus mitochondrial genome (European lineage) differs from that of S. cerevisiae by only two rearrangements and is well preserved within the species. In addition, there is wide variability in intron content and intergenic sequences, even among isolates of the same species28,34,36,39,40. To avoid any modification due to auxotrophic mutations, hybrids were selected according to the ability to grow at 37 °C (S. cerevisiae) and the production of rough colonies (S. paradoxus). This selection should favor the transmission of S. cerevisiae mtDNA because mitochondria-encoded genes from other Saccharomyces contribute to the cold tolerance in yeast hybrids41,42,43. However from 11 S. cerevisiae × S. paradoxus hybrids, two inherited mtDNA from S. paradoxus and six inherited mtDNA from S. cerevisiae, and in three hybrids we found mixed mtDNA restriction patterns, indicating recombination events. These hybrids were homoplasmic as the single colonies, and after approximately 20 generations, they provide the same restriction profiles. The frequency of recombination inferred from the restriction analysis of 60 S. cerevisiae 3C-CCY/S. paradoxus CBS 2908 hybrids was 15% (Fig. S5, Table S2).
The exact organization of the rearranged mitochondrial molecules was determined by genome-wide sequencing, and the recombination sites were confirmed by primer walking sequencing. All rearranged molecules were composed of a major skeleton from one parental molecule, with small regions introgressed from the second parental mtDNA. Sequence differences between interspecific mtDNA molecules allowed us to precisely map the recombination spot within the 16–200 bp region (Fig. S6).
Specific mtDNA regions play a crucial role in recombination, namely mobile introns44,45,46 and GC clusters34,47, where the insertion sites act as recombination "hot spots". Generally, the mobilization of group I (GI) introns coding open reading frame (ORFs) and free-standing ORFs are initiated by double-strand break formation in an intronless gene or ORF-free allele15,45,48. The intron or ORF-coded endonuclease (HOE) cleaves DNA, generating DNA ends that invade the homologous exon or ORF-lacking sequences of an element-containing allele. The process is called homing and is accompanied by the co-conversion of flanking sequences. Group II (GII) introns also possess a reverse-transcription-independent homing pathway that is initiated by the intron-encoded endonuclease (cleaves the antisense strand) and completed by the double-strand break repair (DSBR) recombination system of yeast mitochondria44,49. In addition, there is wide variability in intron content and intergenic sequences, even among isolates of the same species28,34,36,39,40. Therefore, if two isolates having different intron composition should mate, the homing/transposition pathway of numerous introns is potentially initiated. It was believed that a consequence of this process should be strong activation of the recombination system, associated with replication and repair machinery26,50,51. However, the role of repair machinery is questionable because the absence of certain genes from this group (NTG1, MGT1) does not affect the frequency of mtDNA recombination26.
In S. cerevisiae mtDNA three genes (rnl, cox1,cob) are interrupted by introns. Among these (GII) I1 and I2, and group I introns (GI) I3α, I4α and I5α in cox1 are known to be mobile34,35,52,53. In many strains they are inactive due to the interruption with GC clusters or mutations introducing premature stop codons28,34,35. In cob gene GI I2, I3 and I4 introns code for maturases and only in some strains I2 might be mobile, owing to only 2 amino acid substitutions34,35,54. GI intron known as ω interrupts rnl gene and often contains “freestanding” open reading frame coding for I-SceI endonuclease necessary for its mobility35,55. Free standing ORFs were found during early sequencing experiments according to LAGLI-DADG motif reminiscent to the intron coded ORFs. HOE-like reading frames were found downstream cox2 gene continuous open reading ORF1, downstream cox3 ORF2 and ORF4, residing at the 3′ end of the atp6 gene (Fig. 5)34,35. Product of ORF4 (also referred to as ENS2), is the subunit of Endo.SceI endonuclease, whereas second subunit is coded in nucleus and imported to the mitochondria.
Occurrence of introns and free-standing ORFs in hybrids and parental yeasts. Sections originating from S. cerevisiae are marked in red and those originating from S. paradoxus are marked in blue. Introns and free standing ORFs known as mobile, in S. cerevisiae and their homologs in S. paradoxus are filled long triangles35. Introns and free-standing ORFs with at least one motif characteristic for the homing endonucleases (LAGLIDADG, GIY-YIG, etc.) are filled small triangles. Introns without reading frame are white; with truncated ORF interrupted by stop codon are striped. Numbers indicate the base preceding the intron insertion site in the CDS. Positions of introns, known as mobile, in S. cerevisiae are marked in bold; I—group I introns, II—group II introns. ORF1, ORF4 free standing open reading frames. Introgressed parts are in rectangles.
The occurrence of mobile elements near many recombination junctions suggests causal relationship. Five out of 14 junctions are located in the cox1 gene (Figs. 5, S6).
Three 5′ recombination junctions are in the sequence of exon 1 of the cox1 gene and are apparently the result of homing of mobile introns cox1-I1 and cox1-I2. Two 5′ recombination sites are in the same position between atp8 and atp6 genes, resulting from the transplacement of the ORF4 element. Most of the 3′ ends of novel recombination sites were found in the cob gene and are seemingly the result of the homing/transposition of the cob-I2. In summary, from seven identified recombination events in six different hybrid mtDNAs, three can be considered as the synergic result of the ORF4 and cob-I2 transplacement. One can be attributed to cooperative transposition of ORF4 with cox1-I, and the largest segment was mediated by their cooperative transfer with the ORF1 element. The most plausible explanation of all recombination events is homing/transposition of mobile elements accompanied by the co-conversion of flanking sequences, which can be several kbp long56,57. Apparently, ORF4 is the strongest element that triggers the recombination. ORF4 (ENS2) codes for Endo.Scel endonuclease that cleaves mtDNA every 2–3 kb, but the main cleavage site is at the end of the atp6 gene, allowing homing into the vacant site58. The main recombination site was in the region that was 700–900 bp upstream of the recognition site, seemingly due to co-conversion of flanking sequences. In addition, the recombination strength is elevated by the absence of ORF4 in both S. paradoxus strains used for hybrid construction34,39. Evidence of ORF4 involvement in the introgression of atp6 has been observed in the study of complex atp6 phylogeny59.
In one event, the recombination of two large segments—trnE-cox2 from S. paradoxus and ORF1-atp8 from S. cerevisiae—yields duplication of the genes for cox3, rnpB, and rns and six tRNAs. Duplications in the mitochondrial genome are relatively rare and have been observed predominantly in plants60,61,62. Large-scale duplications of human mitochondrial DNA were found associated with Kearns-Sayre syndrome63. Data concerning duplication in yeast are scarce. To our knowledge there is only one paper describing the duplication from Clark-Walker laboratory64. The reported strain with duplication did not exhibit any growth phenotype. The same we observed in the case of our hybrid with duplication.
A characteristic feature of duplicate sections in animal mtDNA is tandemly arranged repetitive sequences resulting from slipping of the synthesized slipped strand mispairing fiber65,66,67. Major events in the evolution of animals, such as multicellularity and the emergence of symmetry, are accompanied by changes in the organization of mtDNA68. The most profound feature of Saccharomyces species is the conservative and species-specific gene order in their mtDNAs34. In addition, they offer a great opportunity to study evolutionary processes experimentally. The process called “hybrid speciation” implies that hybridization has been involved in the origin of new species69,70. All models of gene reordering in mtDNA consider the formation of duplicate regions66,67. A tandem duplication followed by random gene loss (TDRL model) is the most important mechanism of gene order rearrangements in mitochondrial genomes68,71,72. Consequently, the duplication of mtDNA may lead to changes in the gene order in the hybrid progeny and accompany the speciation process. Groth et al.73 already proposed that a change in the mitochondrial gene order may be a step in sexual isolation and the generation of new species. If two isolates having different gene orders should mate, homologous recombination in the zygote would create a number of mtDNA molecules that would lack a complete set of mitochondrial genes or contain a gross duplication. Indeed, in our study when S. cerevisiae and S. paradoxus, having a different mitochondrial gene order, were crossed, a rare genome with the duplication of several genes arose, which can be used to test this hypothesis.
Duplication and recombination are mediated by the translocation of selfish mobile elements. Their extent of benefit and harmfulness for the host is still discussed74. Selfish mitochondrial introns, as well as free-standing ORFs, are beneficial to the host if the mother molecule is challenged with another molecule for transmission to the progeny. Mobile elements trigger mtDNA recombination in this situation, ensuring the transfer of adjacent exons, often large regions, into the progeny of recombinant molecules.
Methods
Yeast strains and media
The following Saccharomyces strains were used in our studies: S. cerevisiae CBS 1171, S. cerevisiae CCY 21-4-96, S. paradoxus CBS 432, and S. paradoxus CBS 2908. CBS isolates were from the Centraalbureau voor Schimmelcultures, Delft, the Netherlands. The CCY isolate was from Culture Collection of Yeasts, Institute of Chemistry, Slovak Academy of Sciences, Bratislava, Slovakia. Strain 3C-CCY (MATα, leu2Δ0, his3Δ1, ura3Δ0, ma15Δ0, Δaac1: kanMX4; mtDNA from CCY 21-4-96) was prepared by cytoduction according to other work32. Yeasts were grown overnight on YPD medium (1% yeast extract, 2% bacto peptone, and 2% glucose) or YPGE (1% bacto peptone, 1% yeast extract, 3% glycerol, 2% ethanol) at 28 °C.
Hybrid preparation
Saccharomyces paradoxus CBS 432 and CBS 2908 strains do not grow at 37 °C and produce smooth colonies. The S. cerevisiae CCY 21-4-96 strain grows at 37 °C and produces rough colonies. Homothallic diploid S. cerevisiae CCY 21-4-96, S. paradoxus CBS 432, and CBS 2908 strains were starved for 3–5 days in 1% potassium acetate media at room temperature to induce sporulation. The asci were digested by Zymolyase (0.5 mg/ml) for 30 min at 30 °C, and individual spores were crossed by micromanipulation. Smooth colonies, which were able to grow at 37 °C, were isolated. S. cerevisiae W303 MAT alpha ade2 ura3 leu2 trp1 his3 haploid strain was crossed with S. paradoxus CBS 2908 spores and prototrophic colonies able to grow at 37 °C were isolated.
Tetrad dissection
Sporulation was induced for 3–5 days at room temperature on solid 1% potassium acetate media, and spores were dissected by micromanipulation.
Chromosome separation
Chromosomes of putative hybrids and parental strains were isolated and separated by PFGE employing a CHEF Mapper XA (Bio-Rad) as previously described13.
Restriction analysis of 26S rRNA
Total DNA was extracted from each hybrid and parental strain75. The D1/D2 domain of the 26S rRNA gene was amplified by PCR using primers NL1 and NL476. The PCR products were digested to completion with AluI restriction enzyme. The restriction fragments were resolved on 1% agarose gel.
mtDNA purification, restriction analyses, sequencing, assembly, and annotation
mtDNA was purified by bisbenzimide/CsCl buoyant density centrifugation77 or by differential centrifugation78. Restriction analyses of mtDNA were performed using EcoRV and HinfI restriction enzymes32. Whole genome Illumina MiSeq sequencing and assembly was performed as previously described34. Briefly, paired reads were trimmed and assembled into individual contigs using CLC Genomics Workbench 9.5 (Qiagen, Hilden, DE). Contigs containing mtDNA were selected by comparison (BLASTN) with the known mtDNA from S. cerevisiae and S. paradoxus and assembled into a single molecule using the Vector NTI v.9.0 (v.10) software package from InforMax, Inc. Gene annotation was carried out using MFannot (http://megasun.bch.umontreal.ca/cgi-bin/mfannot/mfannotInterface.pl) as described previously34. Novel junctions were sequenced directly by dye terminator sequencing chemistry with a Genetic Analyzer (Applied Biosystems, Foster City, CA, USA) (ABI310 and ABI3100-Avant) as described in other work39.
Southern blot analysis
CsCl-purified mtDNAs digested with Hinf1 restriction endonuclease were analyzed by standard gel electrophoresis through 1% agarose gel at 2.0 V/cm in 1% TBE buffer. The DNA in the gel was denatured (1.5 M NaCl, 0.5 M NaOH) for 30 min, neutralized (1.5 M NaCl, 1 M Tris–HCl, pH 7.5) for 15 min, and transferred to a Hybond™-N+ membrane (GE Healthcare) in 20 × SSC (1.5 M NaCl, 0.15 M sodium citrate) for 2 h by vacuum blotting (VacuGeneTMXL). Finally, the membrane was washed in ddH2O, and DNA was fixed by UV light. Cox3 and rns genes were detected by Southern blot analysis using 32P-labeled PCR products as probes (GE Healthcare). PCR products were purified with the QIAquick PCR extraction kit (Qiagen, Dorking, UK). Unincorporated nucleotides were removed by gel filtration through G-25 columns (GE Healthcare). After prehybridization, the membrane was hybridized (0.25 M Na2HPO4, 7% SDS, 1 mM EDTA) at 60 °C for 12 h. The membrane was washed twice at room temperature for 5 min and once at 60 °C for 20 min with 2% SDS and 100 mM Na2HPO4. The membrane was stripped (0.4 M NaOH) for 2 h at 40 °C and re-hybridized more than once. The trnM gene adjacent to the rnpB gene was detected using the Fmet oligonucleotide probe, of which the 5′ end was labeled with γ32P-ATP by a T4 polynucleotide kinase (ABgene). The membrane was pre-hybridized and hybridized as described above at 40 °C and washed twice at room temperature for 10 min. Signals were detected using Phospho-Screen (imaging Screen-K, 32*43 cm, catalog #170-7841, Bio-Rad) and Personal Imager Fx (Bio-Rad).
References
Belloch, C. et al. Chimeric genomes of natural hybrids of Saccharomyces cerevisiae and Saccharomyces kudriavzevii. Appl. Environ. Microbiol. 75, 2534–2544 (2009).
Dunn, B. & Sherlock, G. Reconstruction of the genome origins and evolution of the hybrid lager yeast Saccharomyces pastorianus. Genome Res. 18, 1610–1623 (2008).
Gonzalez, S. S., Barrio, E., Gafner, J. & Querol, A. Natural hybrids from Saccharomyces cerevisiae, Saccharomyces bayanus and Saccharomyces kudriavzevii in wine fermentations. FEMS Yeast Res. 6, 1221–1234 (2006).
Groth, C., Hansen, J. & Piskur, J. A natural chimeric yeast containing genetic material from three species. Int. J. Syst. Bacteriol. 49, 1933–1938 (1999).
Masneuf, I., Hansen, J., Groth, C., Piskur, J. & Dubourdieu, D. New hybrids between Saccharomyces sensu stricto yeast species found among wine and cider production strains. Appl. Environ. Microbiol. 64, 3887–3892 (1998).
Nakao, Y. et al. Genome sequence of the lager brewing yeast, an interspecies hybrid. DNA Res. 16, 115–129 (2009).
Libkind, D. et al. Microbe domestication and the identification of the wild genetic stock of lager-brewing yeast. Proc. Natl Acad. Sci. USA 108, 14539–14544 (2011).
Langdon, Q. K. et al. Fermentation innovation through complex hybridization of wild and domesticated yeasts. Nat. Ecol. Evol. 3, 1576–1586 (2019).
Peris, D. et al. Synthetic hybrids of six yeast species. Nat. Commun. 11, 1–11 (2020).
Almeida, P. et al. A Gondwanan imprint on global diversity and domestication of wine and cider yeast Saccharomyces uvarum. Nat. Commun. 5, 1–12 (2014).
Hittinger, C. T., Steele, J. L. & Ryder, D. S. Diverse yeasts for diverse fermented beverages and foods. Curr. Opin. Biotechnol. 49, 199–206 (2018).
Hawthorne, D. & Philippsen, P. Genetic and molecular analysis of hybrids in the genus Saccharomyces involving S. cerevisiae, S. uvarum and a new species S. douglasii. Yeast 10, 1285–1296 (1994).
Marinoni, G. et al. Horizontal transfer of genetic material among Saccharomyces yeasts. J. Bacteriol. 181, 6488–6496 (1999).
Greig, D., Louis, E. J., Borts, R. H. & Travisano, M. Hybrid speciation in experimental populations of yeast. Science 298, 1773–1775 (2002).
Dujon, B. Group I introns as mobile genetic elements: Facts and mechanistic speculations—A review. Gene 82, 91–114 (1989).
Sipiczki, M. Interspecies hybridisation and genome chimerisation in Saccharomyces: Combining of gene pools of species and its biotechnological perspectives. Front. Microbiol. 9, 3071 (2018).
Antunovics, Z., Nguyen, H. V., Gaillardin, C. & Sipiczki, M. Gradual genome stabilisation by progressive reduction of the Saccharomyces uvarum genome in an interspecific hybrid with Saccharomyces cerevisiae. FEMS Yeast Res. 5, 1141–1150 (2005).
de Barros Lopes, M., Bellon, J. R., Shirley, N. J. & Ganter, P. F. Evidence for multiple interspecific hybridization in Saccharomyces sensu stricto species. FEMS Yeast Res. 1, 323–331 (2002).
Sipiczki, M. Interspecies hybridization and recombination in Saccharomyces wine yeasts. FEMS Yeast Res. 8, 996–1007 (2008).
Solieri, L., Antúnez, O., Pérez-Ortín, J. E., Barrio, E. & Giudici, P. Mitochondrial inheritance and fermentative: oxidative balance in hybrids between Saccharomyces cerevisiae and Saccharomyces uvarum. Yeast 25, 485–500 (2008).
Solieri, L. Mitochondrial inheritance in budding yeasts: Towards an integrated understanding. Trends Microbiol. 18, 521–530 (2010).
Dujon, B., Slonimski, P. P. & Weill, L. Mitochondrial genetics IX: A model for recombination and segregation of mitochondrial genomes in Saccharomyces cerevisiae. Genetics 78, 415–437 (1974).
Fonty, G., Goursot, R., Wilkie, D. & Bernardi, G. The mitochondrial genome of wild-type yeast cells. VII. Recombination in crosses. J. Mol. Biol. 119, 213–235 (1978).
Birky, C. W. Eukaryotic origins. Science 266, 309–310 (1994).
Chen, X. J. & Butow, R. A. The organization and inheritance of the mitochondrial genome. Nat. Rev. Genet. 6, 815–825 (2005).
Fritsch, E. S., Chabbert, C. D., Klaus, B. & Steinmetz, L. M. A genome-wide map of mitochondrial DNA recombination in yeast. Genetics 198, 755–771 (2014).
Wolters, J. F. et al. Mitochondrial recombination reveals mito–mito epistasis in yeast. Genetics 209, 307–319 (2018).
Wu, B. & Hao, W. Horizontal transfer and gene conversion as an important driving force in shaping the landscape of mitochondrial introns. G3 Genes Genomes Genet. 4, 605–612 (2014).
Peris, D. et al. Population structure and reticulate evolution of Saccharomyces eubayanus and its lager-brewing hybrids. Mol. Ecol. 23, 2031–2045 (2014).
Peris, D. et al. Mitochondrial introgression suggests extensive ancestral hybridization events among Saccharomyces species. Mol. Phylogenet. Evol. 108, 49–60 (2017).
Vaughan-Martini, A. & Martini, A. Saccharomyces Meyen ex Reess (1870). in The yeasts, 733–746 (Elsevier, 2011).
Špírek, M., Poláková, S., Jatzová, K. & Sulo, P. Post-zygotic sterility and cytonuclear compatibility limits in S. cerevisiae xenomitochondrial cybrids. Front. Genet. 5, 454 (2015).
Querol, A., Barrio, E., Huerta, T. & Ramón, D. Molecular monitoring of wine fermentations conducted by active dry yeast strains. Appl. Environ. Microbiol. 58, 2948–2953 (1992).
Sulo, P. et al. The evolutionary history of Saccharomyces species inferred from completed mitochondrial genomes and revision in the ‘yeast mitochondrial genetic code’. DNA Res. 24, 571–583 (2017).
Foury, F., Roganti, T., Lecrenier, N. & Purnelle, B. The complete sequence of the mitochondrial genome of Saccharomyces cerevisiae. FEBS Lett. 440, 325–331 (1998).
Wolters, J. F., Chiu, K. & Fiumera, H. L. Population structure of mitochondrial genomes in Saccharomyces cerevisiae. BMC Genom. 16, 1–13 (2015).
Wu, B., Buljic, A. & Hao, W. Extensive horizontal transfer and homologous recombination generate highly chimeric mitochondrial genomes in yeast. Mol. Biol. Evol. 32, 2559–2570 (2015).
Leducq, J. B. et al. Mitochondrial recombination and introgression during speciation by hybridization. Mol. Biol. Evol. 34, 1947–1959 (2017).
Procházka, E., Franko, F., Poláková, S. & Sulo, P. A complete sequence of Saccharomyces paradoxus mitochondrial genome that restores the respiration in S. cerevisiae. FEMS Yeast Res. 12, 819–830 (2012).
Strope, P. K. et al. The 100-genomes strains, an S. cerevisiae resource that illuminates its natural phenotypic and genotypic variation and emergence as an opportunistic pathogen. Genome Res. 25, 762–774 (2015).
Gonçalves, P., Valério, E., Correia, C., de Almeida, J. M. G. C. F. & Sampaio, J. P. Evidence for divergent evolution of growth temperature preference in sympatric Saccharomyces species. PLoS ONE 6, e20739 (2011).
Li, X., Peris, D., Hittinger, C. T., Sia, E. A. & Fay, J. C. Mitochondria-encoded genes contribute to the evolution of heat and cold tolerance among Saccharomyces species. Sci. Adv. 5, eaav1848 (2019).
Baker, E. P. et al. Mitochondrial DNA and temperature tolerance in lager yeasts. Sci. Adv. 5, eaav1869 (2019).
Lang, B. F., Laforest, M. J. & Burger, G. Mitochondrial introns: A critical view. Trends Genet. 23, 119–125 (2007).
Lambowitz, A. M. & Belfort, M. Mobile bacterial group II introns at the crux of eukaryotic evolution. Microbiol. Spectr. 3, MDNA3-0050–2014 (2015).
Repar, J. & Warnecke, T. Mobile introns shape the genetic diversity of their host genes. Genetics 4, 1641–1648 (2017).
Weiller, G., Schueller, C. M. & Schweyen, R. J. Putative target sites for mobile G+C rich clusters in yeast mitochondrial DNA: Single elements and tandem arrays. Mol. Gen. Genet. 218, 272–283 (1989).
Lambowitz, A. M. Infectious introns. Cell 56, 323–326 (1989).
Eskes, R. et al. Multiple homing pathways used by yeast mitochondrial group II introns. Mol. Cell Biol. 20, 8432–8446 (2000).
Chen, X. J. Mechanism of homologous recombination and implications for aging-related deetions in mitochondrial DNA. Microbiol. Mol. Biol. Rev. 77, 476–496 (2013).
Shibata, T. & Ling, F. DNA recombination protein-dependent mechanism of homoplasmy and its proposed functions. Mitochondrion 7, 17–23 (2007).
Wenzlau, J. M., Saldanha, R. J., Butow, R. A. & Perlman, P. S. A latent intron-encoded maturase is also an endonuclease needed for intron mobility. Cell 56, 421–430 (1989).
Szczepanek, T., Macadre, C., Meunier, B. & Lazowska, J. Two homologous introns from related Saccharomyces species differ in their mobility. Gene 139, 1–7 (1994).
Szczepanek, T. & Lazowska, J. Replacement of two non-adjacent amino acids in the S. cerevisiae bi2 intron-encoded RNA maturase is sufficient to gain a homing-endonuclease activity. EMBO J. 15, 3758–3767 (1996).
Dujon, B. Sequence of the intron and flanking exons of the mitochondrial 21S rRNA gene of yeast strains having different alleles at the omega and rib-1 loci. Cell 20, 185–197 (1980).
Moran, J. V. et al. Intron 5a of the COXI gene of yeast mitochondrial DNA is a mobile group I intron. Nucleic Acids Res. 15, 4069–4076 (1992).
Liu, Q. et al. SegG endonuclease promotes marker exclusion and mediates co-conversion from a distant cleavage site. J. Mol. Biol. 334, 13–23 (2003).
Nakagawa, K., Morishima, N. & Shibata, T. An endonuclease with multiple cutting sites, Endo.SceI, initiates genetic recombination at its cutting site in yeast mitochondria. EMBO J. 11, 2707–2715 (1992).
Vijayraghavan, S. et al. Mitochondrial genome variation affects multiple respiration and nonrespiration phenotypes in Saccharomyces cerevisiae. Genetics 211, 773–786 (2019).
Allen, J. O. et al. Comparisons among two fertile and tree male-serile mitochondrial genomes of maize. Genetics 117, 1173–1192 (2007).
Kubo, T. & Newton, K. J. Angiosperm mitochondrial genomes and mutations. Mitochondrion 8, 5–14 (2008).
Darracq, A., Varré, J. S. & Touzet, P. A scenario of mitochondrial genome evolution in maize based on rearrangement events. BMC Genom. 11, 233 (2010).
Tang, Y., Manfredi, G., Hirano, M. & Schon, E. A. Maintenance of human rearranged mitochondrial DNAs in long-term cultured transmitochondrial cell lines. Mol. Biol. Cell. 11, 2349–2358 (2000).
Clark-Walker, G. D., McArthur, C. R. & Sriprakash, K. S. Partial duplication of the large ribosomal RNA sequence in an inverted repeat in circular mitochondrial DNA from Kloekera africana. Implications for mechanisms of the petite mutation. J. Mol. Biol. 147, 399–415 (1981).
Boore, J. L. & Brown, W. M. Big trees from little genomes: Mitochondrial gene order as a phylogenetic tool. Curr. Opin. Genet. Dev. 8, 668–674 (1998).
San Mauro, D., Gower, D. J., Zardoya, R. & Wilkinson, M. A hotspot of gene order rearrangement by tandem duplication and random loss in vertebrate mitochondrial genome. Mol. Biol. Evol. 23, 227–234 (2006).
Nardi, F., Carapelli, A. & Frati, F. Repeated regions in mitochondrial genomes: Distribution, origin and evolutionary significance. Mitochondrion 12, 483–491 (2012).
Lavrov, D. V., Boore, J. L. & Brown, W. M. Complete mtDNA sequences of two millipedes suggest a new model for mitochondrial gene rearrangements: Duplication and nonrandom loss. Mol. Biol. Evol. 19, 163–169 (2002).
Delneri, D. et al. Engineering evolution to study speciation in yeasts. Nature 422, 68–72 (2003).
Louis, E. J. Population genomics and speciation in yeasts. Fungal Biol. Rev. 25, 136–142 (2011).
Clark-Walker, G. D. In vivo rearrangement of mitochondrial DNA in Saccharomyces cerevisiae. Proc. Natl. Acad. Sci. USA 86, 8847–8851 (1989).
Moritz, C. & Brown, W. M. Tandem duplication of D-loop and ribosomal RNA sequences in lizard mitochondrial DNA. Science 233, 1425–1427 (1986).
Groth, C., Petersen, R. F. & Piskur, J. Diversity in organization and the origin of gene orders in the mitochondrial DNA molecules of the genus Saccharomyces. Mol. Biol. Evol. 17, 1833–1841 (2000).
Jo, B. S. & Choi, S. S. Introns: The functional benefits of introns in genomes. Genom. Inform. 13, 112–118 (2015).
Spirek, M. et al. High-rate evolution of Saccharomyces sensu lato chromosomes. FEMS Yeast Res. 3, 363–373 (2003).
Kurtzman, C. P. & Robnett, C. J. Identification and phylogeny of ascomycetous yeasts from analysis of nuclear large subunit (26S) ribosomal DNA partial sequences. Antonie Van Leeuwenhoek 73, 331–371 (1998).
Piskur, J., Smole, S., Groth, C., Petersen, R. F. & Pedersen, M. B. Structure and genetic stability of mitochondrial genomes vary among yeasts of the genus Saccharomyces. Int. J. Syst. Bacteriol. 48, 1015–1024 (1998).
Defontaine, A., Lecocq, F. M. & Hallet, J. N. A rapid miniprep method for the preparation of yeast mitochondrial DNA. Nucleic Acids Res. 19, 185 (1991).
Acknowledgements
We thank J. Piškur and E. Procházka for their helpful discussion. This work was supported by Grants from VEGA 1/0048/16 and 1/0013/20. Silvia Bágeľová Poláková was partially supported by a FEBS Collaborative Experimental Scholarship for Central and Eastern Europe. This article was created with the support of Long term strategic research and development grant focused on the occurrence of Lynch syndrome in the Slovak population and possibilities of prevention of tumors associated with this syndrome, ITMS: 313011V578, co-financed by the European Regional Development Fund.
Author information
Authors and Affiliations
Contributions
S.B.P., Ž.L., P.S., T.Sz., M.S. conceived the experiments; S.B.P., Ž.L., P.S. prepared and analyzed hybrids; T.Sz. performed Illumina Miseq, M.S. and P.S. assembled and annotated molecules; P.S., S.B.P. and M.S. wrote the paper with editorial input from all co-authors. P.S. and S.B.P. designed the project; P.S. supervised the study.
Corresponding author
Ethics declarations
Competing interests
The authors declare no competing interests.
Additional information
Publisher's note
Springer Nature remains neutral with regard to jurisdictional claims in published maps and institutional affiliations.
Supplementary Information
Rights and permissions
Open Access This article is licensed under a Creative Commons Attribution 4.0 International License, which permits use, sharing, adaptation, distribution and reproduction in any medium or format, as long as you give appropriate credit to the original author(s) and the source, provide a link to the Creative Commons licence, and indicate if changes were made. The images or other third party material in this article are included in the article's Creative Commons licence, unless indicated otherwise in a credit line to the material. If material is not included in the article's Creative Commons licence and your intended use is not permitted by statutory regulation or exceeds the permitted use, you will need to obtain permission directly from the copyright holder. To view a copy of this licence, visit http://creativecommons.org/licenses/by/4.0/.
About this article
Cite this article
Bágeľová Poláková, S., Lichtner, Ž., Szemes, T. et al. Mitochondrial DNA duplication, recombination, and introgression during interspecific hybridization. Sci Rep 11, 12726 (2021). https://doi.org/10.1038/s41598-021-92125-y
Received:
Accepted:
Published:
Version of record:
DOI: https://doi.org/10.1038/s41598-021-92125-y
This article is cited by
-
Synthetic two-species allodiploid and three-species allotetraploid Saccharomyces hybrids with euploid (complete) parental subgenomes
Scientific Reports (2023)
-
Analysis of the complete mitogenome of Daphnia galeata from the Han River, South Korea: structure comparison and control region evolution
Functional & Integrative Genomics (2023)







