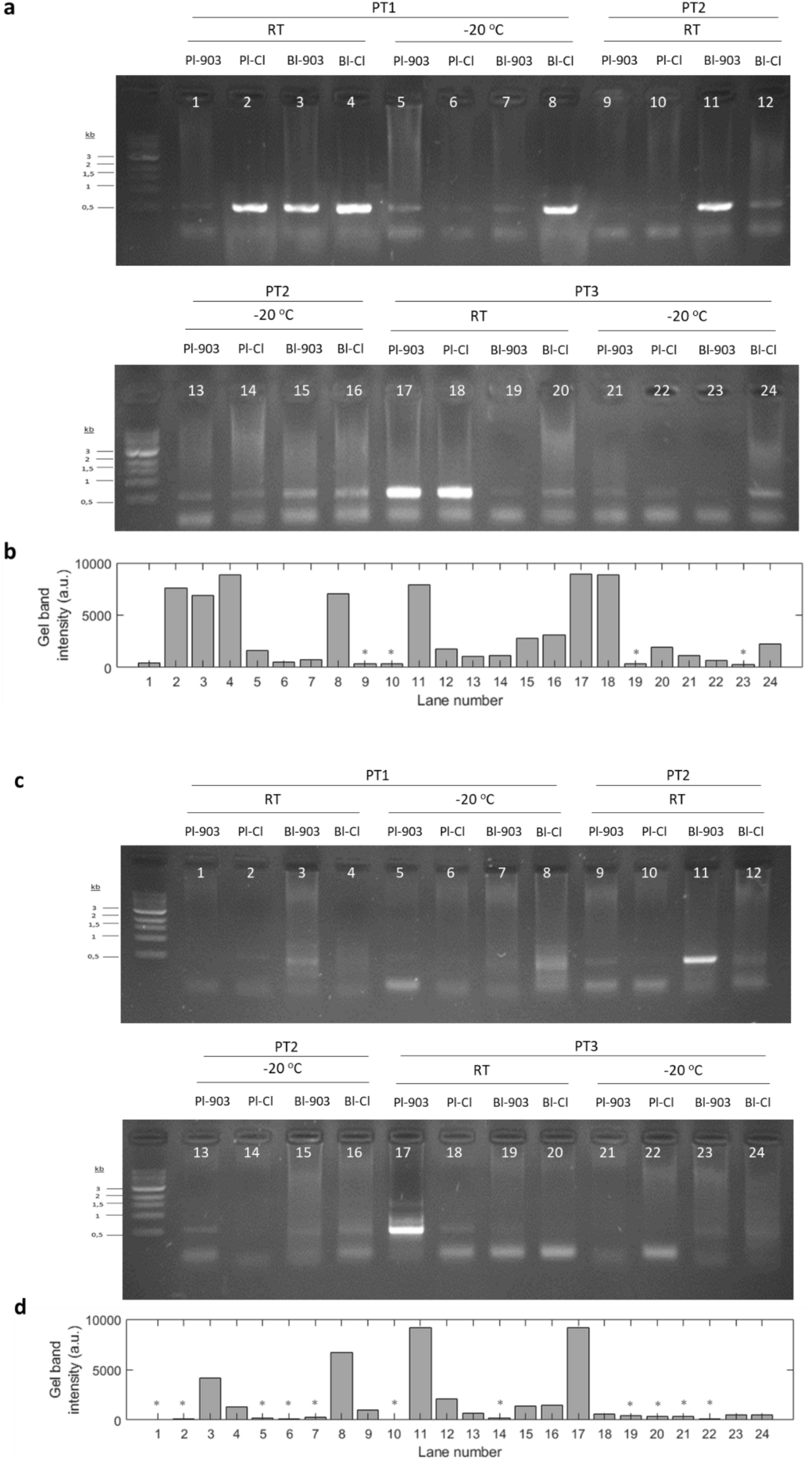
Figure 1

Representative results of PCR amplification in samples PT1, PT2 and PT3 at the different storage and temperature conditions analysed. In upper panels, images correspond to the migration pattern of the PCR products (a), and histograms represent their measured MFI (b) after 255 days of storage. In lower panels, similarly, images correspond to the migration pattern of the PCR products (c), and histograms represent their measured MFI (d) after 360 days of storage; Pl-903: plasma sample stored in 903 Protein Saver Card; Pl-Cl: plasma sample stored in FTA Classic Card; Bl-903: blood sample stored in 903 Protein Saver Card; Bl-Cl: blood sample stored in FTA Classic Card. (*) Negative samples.