Abstract
Hepatitis C virus (HCV) infection remains a global health problem, detected only in the early stages by molecular tests. Molecular tests detect HCV RNA, which is very prone to degradation by ribonucleases, reason why blood samples must be transported and stored at − 20 °C, or even − 70 °C for long-term storage. Flinders Technology Associates (FTA) cards are a useful sampling collecting device for dry blood spot (DBS) storage, especially for low and middle-income countries (LMIC). In this study, we analyzed viral HCV RNA integrity for long-term storage at room temperature compared to − 20 °C using two different types of cards for DBS: FTA Classic and 903 Protein Saver cards. For this purpose, DBS were prepared on these cards using blood or plasma samples from HCV infected patients, and samples were analysed by conventional RT-PCR. Our results showed that 903 Protein Saver cards are the best and cheapest alternative for DBS storage at room temperature. In these conditions, we found that HCV RNA integrity lasted for up to 9 months.
Similar content being viewed by others
Introduction
Hepatitis C virus (HCV) is a single-stranded RNA(+) blood-borne virus, that affects an estimated 71 million chronically infected people with all over the world1 being one of the main causes for liver cirrhosis related deaths. Up to eight different genotypes have been described so far, showing a differential distribution globally but with the highest prevalence for genotype 12,3.
Current HCV diagnosis algorithm consists of a serological test followed by a molecular test4. Serological tests can detect anti-HCV antibodies or HCV antigens, while molecular tests detect HCV RNA. Anti-HCV antibodies can remain in the organism long time after virus clearance, so they are not a convenient biomarker to determine an active HCV infection. HCV Core antigen can correlate with viremia values, but it has lower sensitivity than molecular tests5,6, which makes molecular tests the preferred method to confirm an active HCV infection. Among the different molecular techniques, RT-qPCR is the most used method, although it requires both specialized personnel and expensive equipment. Alternative molecular tests are being developed to overcome RT-qPCR drawbacks, although sampling methods are the main and common limitations. Conventional blood or plasma sample storage has some disadvantages especially for RNA, which is particularly fragile and prone to degradation by ribonucleases7,8,9.
For long-term storage of viral RNA in human plasma, very low temperatures of at least − 70 °C are required. Under these conditions, it has been shown that the integrity of viral RNA from HCV or HIV lasts for up to 9 years whereas at − 20 °C, its stability is notably reduced to only 2 years10. To allow an optimal storage of viral RNA at 4 °C, stabilizing buffers containing chaotropic agents have been developed to maintain its integrity for 5 months11. On the other hand, some studies have shown that viral RNA remains stable around 1–2 weeks without refrigeration, as it was the case for Ebola virus RNA conserved in EDTA solution12 or away from the light on solid surfaces in simulated tropical conditions13. Commercial shipment and storage systems for enhanced RNA preservation in solution have been developed. For instance, PAXgene and Tempus systems (from BD and Thermofisher, respectively) contain DNA/RNA stabilizers to transport blood samples at room temperature assuring their stability for up to 5 days14. These systems make easier both the storage and handling of samples at analytical laboratories.
Dried blood spot (DBS) is a blood and plasma sampling collecting method firstly used in 1869 for paediatrics screening, to detect phenylketonuria in newborns15,16. In those procedures, a filter paper is first soaked with blood drops and then dried at room temperature preserving sample proteins. Later, Flinders Technology Associates (FTA) cards were developed based on this approach. Current FTA cards utilize Whatman FTA technology that contain chemicals that lyse cells, denature proteins and protect nucleic acids from nucleases, UV or oxidation damage, while any potential pathogen present in the sample is completely inactivated17,18. For instance, FTA Classic and FTA Elute assure the stability of nucleic acids from whole blood for up to 36 months when stored in a dry atmosphere at − 15 °C17. Those characteristics make FTA cards a suitable device for nucleic acid sampling and storage, allowing sample shipment safer without any specific temperature requirement or stabilising agents. Moreover, it has been shown that DBS can be purified and used directly for PCR amplification reducing sample handling19. On the other hand, 903 Protein Saver cards have an untreated matrix, and are the best tool to store sample proteins from whole blood and plasma. 903 Protein Saver cards are the FTA alternative technology for conventional DBS15,16.
Regarding viral DNA, Hepatitis B virus (HBV) DNA remained detectable between 3 and 5 months stored as DBS at RT conditions ranging from 4 to 37 °C20. Regarding viral HCV RNA storage, some authors describe a reduction in RNA detectable levels after 6 days, while others find no decrease after more than 11 months20 at room temperature. However, no decrease in HCV RNA integrity was observed upon elution of viral RNA from DBS after 18 months storage at − 20 °C or − 80 °C21.
In order to implement HCV screening strategies on hard-to-reach populations, decentralized sample collection is needed and FTA cards, especially FTA Classic cards, are promising candidates since they have been validated as a safe mean of shipment for hazardous samples, and they do not require specific temperature conditions. Moreover, as samples can be quickly purified from FTA cards after several washing steps, they could be handled in low resources settings. Storage time is also crucial to follow virus clearance or viremia relapse.
Our aim was to identify the best FTA card option for DBS to ensure long-term HCV RNA stability and purification yield from either whole blood or plasma samples. Additionally, we aimed to determine whether temperature conditions have any influence in long-term stability of HCV RNA on FTA cards.
Methods
FTA cards
HCV RNA stability was analysed in two different FTA Cards: FTA Classic and Protein Saver 903 cards (GE Healthcare, Buckinghamshire, UK). FTA Cards were soaked with HCV-JFH1 culture supernatant, or venous whole blood or plasma samples from HCV patients. Volumes applied were 200 µL for FTA Classic cards or 25 µL for 903 Protein Saver cards. Then, FTA cards were let drying at room temperature for 2 h and FTAs were stored either at room temperature or at − 20 °C. HCV-JFH1 culture supernatant was used as an internal positive control in order to assess temporal differences with HCV RNA stability from blood and plasma patients. HCV-JFH1 culture supernatant (TCID50 = 106 UI/mL) was previously recovered by our group and stored at liquid N2 until further use.
Study population
Six HCV infected adults were recruited from two hospitals in the Community of Madrid (Spain): Hospital Universitario La Princesa and Hospital Universitario La Paz. Samples were collected between June and October 2019. All patients included were chronically infected with HCV (positive PCR and antibodies for HCV) and they had never been treated for HCV infection. Whole blood and plasma samples from HCV infected patients were collected and tested (Table 1).
Laboratory parameters
Five mL of blood were collected in EDTA tubes. Then, one mL was used to soak two wells of the FTA card [FTA Classic and Protein Saver 903 cards (GE Healthcare, Buckinghamshire, UK)], and four mL were used to separate plasma from blood by a density gradient.
Plasma HCV RNA viral load was measured by COBAS TaqMan HCV Test (Roche Diagnostic Systems Inc), with a detection limit of 18 RNA copies/mL. The STROME-ID checklist was used to strength the design and conduct the study22. Sample viral load and the samples are indicated in Table 1.
RNA purification from FTA cards
Cards were subjected to thaw/freeze cycles at each time point along the study. RNA was purified using Whatman Purification Reagent (GE Healthcare, Buckinghamshire, UK), following manufacturer’s instructions. Briefly, a 3 mm hole puncher was used to cut one disc from each FTA card and placed in a clean 1.5 mL Eppendorf tube. The 3 mm Ø FTA-disc was washed three times with Whatman Purification Reagent and washed twice with TE buffer (pH 8), and incubated for 10 min at RT. Finally, the discs were allowed to dry at 56 °C for 30 min.
HCV-RNA amplification and detection
HCV-RNA was amplified using a nested RT-PCR protocol using purified viral RNA extracted from plasma samples or directly on washed FTA cards discs.
RT-PCR
cDNA synthesis was performed by RT-PCR using the One-Step AffinityScript Multiple Temperature cDNA Synthesis Kit (Agilent Technologies Inc., La Jolla, CA, USA), following manufacturer’s instructions. Briefly, RT-PCR was performed in 50 μL reaction mixture containing: 10 μL of 5X Herculase II buffer, 1 μL of 40 mM dNTPs, 1 μL of 10 μM forward primer, 1 μL of 10 μM reverse primer, 0,5 μL DMSO, 1 μL of a 1:20 dilution of Affinity Script RT (Agilent Technologies Inc., La Jolla, CA, USA), 1 μL Herculase II Fusion DNA Polymerase (Agilent Technologies Inc., La Jolla, CA, USA), 100 ng template and MilliQ water up to 50 μL. For those RT-PCR assays directly on DBS discs, one 3 mm Ø washed disc was added to the mix instead of purified template. The RT-PCR protocol started with the synthesis of cDNA by retro-transcription at 48 °C for 30 min, followed by DNA amplification at 95 °C for 1 min, 40 cycles of 95 °C for 30 s, 55 °C for 30 s and 68 °C for 10 min, and a final extension at 68 °C for 4 min in Mastercycler Nexus GX2 thermal cycler (Eppendorf AG, Hamburg, Germany). Primers used were: forward primer 5′-CTGTCTTCACGCRGAAAGCG-3′ and reverse primer 5′-GCTAGCCGTGACTAGGGCTAAG-3′.
Nested PCR
Nested PCR was performed to check HCV DNA integrity. We carried out a PCR-amplification of a 500 bp fragment, corresponding to its 5′ Core region. DNA synthesis was performed using Maxime PCR PreMix (i-Taq) (Intron Biotechnologies, Kyungki-Do, Korea) by adding 20 μL reaction mixture containing: 1 μL of 10 μM forward primer, 1 μL of 10 μM reverse primer, 10 ng of HCV DNA, and MilliQ water up to 20 μL. The PCR conditions included an initial denaturation step at 95 °C for 1 min, followed by 35 cycles at 5 °C for 30 s, 55 °C for 30 s and 72 °C for 30 s, using a Mastercycler Nexus GX2 thermal cycler (Eppendorf AG, Hamburg, Germany). Two different primers sets were used: (1) Core region: forward primer 5′-GTATGAGTGTCGTACAGCCTC-3′ and reverse primer 5′-TCATTCCCATATAGGGGCCAG-3′; (2) NS5B region23: forward primer 5′-TATGAYACCCGCTGYTTTGACTC-3′ and reverse primer 5′-GCNGARTAYCTVGTCATAGCCTC-3′. PCR products were visualized by electrophoresis in 1% agarose-TAE gels.
DNA purification
PCR products were purified using Wizard SV Gel and PCR Clean-Up System (Promega, Madison, WI). Purified DNA was eluted in 50 µL of MilliQ water.
DNA analysis
Two different analyses were performed: nucleic acid quantification, using the UV–Vis spectrophotometer NanoDrop 2000 (Thermo Fisher Scientific, USA) to measure absorbance at 260 nm; and DNA electrophoresis in 1% agarose-TAE gels for 10–20 min at 100 V (Mupid-One Electrophoresis System). DNA was visualized under UV light by incubation with RedSafe dye (Intron Biotechnologies, Kyungki-Do, Korea). Gel band Mean Florescence Intensity (MFI) was determined using ImageJ software24. MFI threshold was set at 400 a.u., since confirmation by automated sequencing was not obtained with those PCR fragments showing a MFI value lower than 400 a.u.
DNA sequencing
PCR products were purified and checked by Sanger sequencing using the following primers: (1) Core region: forward primer 5′-GTATGAGTGTCGTACAGCCTC-3′ and reverse primer 5′-TCATTCCCATATAGGGGCCAG-3′; (2) NS5B region23: forward primer 5′-TATGAYACCCGCTGYTTTGACTC-3′ and reverse primer 5′-GCNGARTAYCTVGTCATAGCCTC-3′ (Macrogen INC, Madrid). Sequence analysis was performed using SnapGene software (from Insightful Science; available at snapgene.com) followed by BLASTn alignment at NCBI database.
Phylogenetic analysis
To further confirm sequence results and the corresponding HCV genotype from samples, phylogenetic inference studies were conducted for HCV RNA sequences using the Molecular Evolutionary Genetics Analysis (MEGA) version 10.2.2. HCV RNA sequences were obtained by nested RT-PCR amplification of total viral RNA extracted from plasma samples. Reference HCV RNA sequences employed in this study included the following HCV subtypes: 1a (AF009606.1), 1b (D90208.1), 2a (AB047639.1, JFH1; JQ745652.1, J8CC), 2b (AB559564.1), 3a (D17763.1), 3b (D49374.1), 4a (Y11604.1), 4b (FJ462435.1), and 4c (FJ462436.1).
Ethical statement
The study protocol was approved by the Research Ethics Committees in all institutions involved [Instituto de Salud Carlos III (CEI PI 25_2018-v2), Hospital La Paz (PI-3691), Hospital Universitario La Princesa (3917)]. This study was developed in accordance to the Helsinki Declaration. An informed consent was obtained from each subject, and confidentiality and privacy were assured.
Results
Effects of long-term storage on viral RNA integrity
We first evaluated the integrity of HCV RNA along time in different FTA cards and temperature conditions by RT-PCR assays (Fig. 1). PCR fragments were purified and sequenced to confirm that PCR amplification was specific (Fig. 1S, Supplementary Material). As shown in Fig. 1, the number of positive detections of the HCV-Core from DBS (whole blood or plasma from PT1, PT2 y PT3 samples) was twofold higher at 255 days than at 360 days of storage. In fact, we could detect the viral RNA in 83% (n = 20/24) of the cases at 255 days, while only in 54% (n = 13/24) at 360 days, indicating that the integrity of viral RNA was, at least, optimal after 9 months of storage on DBS.
Representative results of PCR amplification in samples PT1, PT2 and PT3 at the different storage and temperature conditions analysed. In upper panels, images correspond to the migration pattern of the PCR products (a), and histograms represent their measured MFI (b) after 255 days of storage. In lower panels, similarly, images correspond to the migration pattern of the PCR products (c), and histograms represent their measured MFI (d) after 360 days of storage; Pl-903: plasma sample stored in 903 Protein Saver Card; Pl-Cl: plasma sample stored in FTA Classic Card; Bl-903: blood sample stored in 903 Protein Saver Card; Bl-Cl: blood sample stored in FTA Classic Card. (*) Negative samples.
Effects of temperature conditions on viral RNA integrity
As shown in Fig. 2, the integrity of HCV RNA in FTA Classic cards was slightly higher in samples stored at − 20 °C compared to RT conditions. At least 81% (n = 9/11) of samples stored at − 20 °C tested positive after nested RT-PCR amplification at day 285, while HCV RNA was detectable in less than 54% (n = 6/11) of samples stored at RT (Fig. 2a,c). Of note, HCV RNA stability in 903 Protein Saver cards was not different in cards kept at room temperature (RT) compared to − 20 °C conditions (Fig. 2b,d). At day 360, HCV RNA stability in FTA Classic cards was up to 33% (n = 2/6) in blood samples stored at either RT or − 20 °C, while 40% (n = 2/5) of plasma samples tested positive when stored at − 20 °C. Conversely, and HCV RNA was undetectable when stored at RT at this time point. At day 390, 33% (n = 2/6) blood samples tested positive, but only 16% (n = 1/5) plasma samples did.
HCV RNA detection in DBS by RT-PCR followed by nested PCR amplification at the different time points analysed, for blood and plasma samples stored in FTA Classic cards (a) or 903 Protein Saver cards (b) at − 20 °C, and in FTA Classic cards (c) or 903 Protein Saver cards (d) at room temperature (RT). Histograms represent the % of positive samples at the different time points analysed.
Effect of storage cards on RNA integrity: FTA classic vs 903 Protein Saver cards
As shown in Figs. 2 and 3, a slightly higher HCV RNA stability was observed in samples stored in 903 Protein Saver cards (Fig. 2b,d) compared to FTA Classic cards (Fig. 2a,c) in blood and plasma samples stored at RT or − 20 °C conditions.
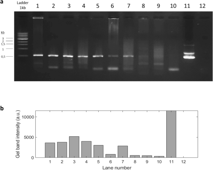
Representative PCR amplification profile for HCV-core region overtime using blood samples of patient PT1 stored in 903 Protein Saver cards at room temperature. (a) Agarose gel electrophoresis of the PCR products; (b) Histograms represent a single MFI analysis of PCR products over time. Lane 1–10: amplicons obtained at 15, 60, 90, 120, 165, 195, 255, 285, 360, 390 days of analysis, respectively. Lane 11: positive control pUC-JFH1 plasmid. Lane 12: non template control.
Therefore, we focused on RT storage to analyze the effect of sample storage cards, since it is the preferred storage temperature for point-of-care (POC) diagnostics.
At day 255 of analysis, integrity of HCV RNA was very high all along the samples stored at RT in 903 Protein Saver cards. In fact, HCV RNA was always detected in blood and plasma samples stored on these cards, whereas HCV RNA stability was up to 83% (n = 5/6) in blood samples and 100% in plasma samples stored on FTA Classic cards (Fig. 2d).
At day 285 of analysis, at least 81% (n = 9/11) of samples stored in 903 Protein Saver cards, remained positive. However, at day 360, only 36% (n = 4/11) of samples tested positive and it dropped to just one blood sample at day 390 (Fig. 2d).
Positive detection of HCV RNA from JFH1 cell cultures lasted 285 days in both sample storage cards, when stored at RT (Fig. 2d). The analysis performed in samples stored in FTA Classic cards at RT showed that at day 255, 83% (n = 5/6) of blood samples tested positive and 100% of plasma samples or supernatants of JFH1 cell culture. However, at day 285 the percentage of positive samples stored in FTA Classic cards decreased to 50% (n = 3/6) and 60% (n = 3/5) in blood and plasma samples, respectively. At days 360 and 390, only 33% (n = 2/6) of blood samples tested positive, and both plasma and supernatants of JFH1 cell culture tested negative (Fig. 2c).
Time course analysis on RNA integrity in DBS
To check the HCV RNA integrity overtime in 903 Protein Saver cards at RT conditions, PCR products obtained at the time points 255, 285, 360 and 390 days were purified and sequenced. As shown in Fig. 3, HCV RNA integrity on these cards was noticeable over more than 12 months. In fact, even a slight PCR amplification can still be observed at 285 and 360 days of analysis. No amplification was observed at 390 days. Sequence analysis showed that whole blood samples stored in 903 Protein Saver cards maintained RNA integrity after 255 days of storage showing a 97% sequence identity (Fig. 4a). This value decreased to 87% identity after 285 days (Fig. 4b). No nucleotide sequence was obtained using PCR products obtained at any further time points from 360 days of sample card storage.
Overall, these results clearly suggest that 903 Protein Saver cards are the best device for HCV RNA storage from whole blood or plasma samples even at RT conditions.
Phylogenetic classification of HCV subtypes
In order to further validate the DBS in FTA cards as a useful system to study the genetic heterogeneity of HCV virus after long-term storage of its RNA in DBS, we constructed a phylogenetic tree based on the analysis of the NS5B sequence obtained from plasma samples, HCV reference sequences and viral sequence from pUC-JFH1 plasmid. The results showed that HCV subtypes are correctly grouped based on NS5B region (Fig. 5). In fact, the phylogeny results showed that patient PT2 corresponds with HCV subtype 4b, and patient PT5 corresponded with subtype 1a.
Discussion
In this study, we evaluated HCV RNA stability stored as DBS of whole blood or plasma samples using two distinct card devices subjected at different storage conditions. In our hands, we observed a weaker RT-PCR sensitivity during the first time points tested, although it increased after 120 days, possibly due to the optimizations carried out in the purification protocol of FTA cards. As well, it is noteworthy that cards were exposed to thaw/freeze cycles along the study that could have influenced its stability.
Despite these facts, we were able to determine that the 903 Protein Saver cards ensure HCV RNA stability and integrity for longer periods of at least 9 months. Although, slight differences were observed on HCV RNA stability in cards stored at − 20 °C, since in the 30% of samples analysed so far it lasted up to 10 months. Moreover, even if a longer RNA stability was initially expected for samples stored at − 20 °C21,25, we could not determine any temperature-dependent effect on HCV RNA stability using 903 Protein Saver cards.
Although FTA Classic cards are supposed to preserve nucleic acids for longer periods of time than untreated cards like 903 Protein Saver, our analysis showed no significant differences between them. Furthermore, we have determined that viral RNA can be preserved at room temperature for 9 months without suffering important degradation using 903 Protein Saver cards. Our results agree with other studies also showing that these cards are suitable for longer nucleic acid storage26. In this line, our results are in agreement with those studies done by Keeler et al.27.
Regarding sample type, our results showed higher detection rates in whole blood than in plasma samples. During plasma separation, an HCV RNA fraction can be lost due to virus adherence to red blood cells or even by formation of virus-immunoglobulin complexes. Intracellular RNA from those pelleted complexes will be lost in the plasma fraction, and then reduce viral load in plasma compared to whole blood, as has been described by Schmidt et al.28.
We have determined that whole blood can be an adequate source of HCV RNA, and that no viral load is lost compared to the mostly preferred plasma sample. Then, 903 Protein Saver cards are an ideal sample device, less expensive than similar developed sampling methods such as Cobas plasma separation card (PSC), developed for HIV-1 quantitation29,30. To determine if 903 Protein Saver cards could substitute PSC cards, more studies analysing 903 Protein Saver cards stability in high humidity conditions are required.
Considering the above results, we suggest the 903 Protein Saver cards as the best and the most cost-effective storage system for DBS, since blood samples remained stable further time than FTA Classic cards even at RT conditions. This feature is instrumental for low-resource settings since no additional sample processing is needed for whole blood sample collection, storage, or shipment. Additionally, long-term RNA stability is crucial for patients follow-up.
Long-term storage of baseline samples remains essential to assess viremia relapse after treatment by RT-PCR and sequencing of paired baseline and post-treatment samples. Sequencing and phylogenetic analysis allows us to discriminate between reinfection (different virus than baseline) and treatment failure (same virus). This is especially important in settings where reinfection is common, such as among people who inject drugs.
However, 903 Protein Saver cards have an untreated matrix which does not guarantee virus inactivation. In fact, a recent study showed that purified Newcastle disease virus remained infectious in DBS after 24 h, in contrast to FTA cards31. Further studies analysing viral stability in patient samples would be necessary to check 903 Protein Saver cards safety levels for short and long-term storage of blood samples.
Earlier studies using other viruses have been able to detect viral DNA from African Swine fever virus (ASFV) or viral RNA from Peste des Petits Rumiants (PPR) in FTA cards soaked with whole blood of infected animal stored as DBS for 9 months at 22, 32 or 37 °C32. In contrast, other studies stablish a maximum FTA card storage at room temperature in 30 days for the detection of Avian Influenza virus RNA27. Different detection methods used in these studies, as real-time RT-PCR versus conventional RT-PCR, as well as other procedure differences such as sample volume or RNA extraction method yields, could explain the reported deviations. Due to our main objective along this study, which was to evaluate FTA Classic and 903 Protein Saver cards as an alternative sampling method for HCV infected patients, our principal purpose was to determine if HCV RNA was detected or not after storage in DBS, and for how long it remained detectable by RT-PCR, the methodology use in low and middle-income countries. Conventional RT-PCR is a convenient method for this purpose since no RNA quantitation was needed. However, to certainty conclude that DBS cards are suitable for current HCV diagnostic methods, FTA cards should be validated with established routine qRT-PCR methods.
Due to the presumed RNA weakness, it should better be stored at − 80 °C. However, our main purpose was to analyse RNA integrity as DBS for its implementation in LMIC, with practically no access to − 80 °C storage or shipment conditions. Thus, our results figure out that 903 Protein Saver cards, or even FTA Classic cards, could be a suitable method for long-term HCV RNA storage at room temperature.
In summary, this study shows that non-purified HCV RNA from blood samples can be stored at room temperature in 903 Protein Saver cards for at least 9 months without affecting RNA integrity, which makes 903 Protein Saver cards a recommendable sampling method for HCV diagnosis in LMIC countries.
Data availability
Data will be available upon request to Dr. Verónica Briz (veronica.briz@isciii.es).
References
World Health Organization (WHO). Fact-sheet, 27 July. (2020).
Chevaliez, S. & Pawlotsky, J.-M. HCV Genome and Life Cycle. In Hepatitis C Viruses: Genomes and Molecular Biology 5–47 (2006).
Li, H. C. & Lo, S. Y. Hepatitis C virus: Virology, diagnosis and treatment. World J. Hepatol. 7, 1377–1389 (2015).
World Health Organization. Guidelines for the screening, care and treatment of persons with chronic Hepatitis C infection. (2016).
Tillmann, H. L. Hepatitis C virus core antigen testing: Role in diagnosis, disease monitoring and treatment. World J. Gastroenterol. 20, 6701–6706 (2014).
Pollock, K. G. et al. Real-world utility of HCV core antigen as an alternative to HCV RNA testing: Implications for viral load and genotype. J. Viral Hepat. 27, 996–1002 (2020).
Mathay, C. et al. Short-term stability study of RNA at room temperature. Biopreserv. Biobank. 10, 532–542 (2012).
Berger, A., Salla, S., Keppler, O. T. & Rabenau, H. F. HCV RNA testing of plasma samples from cornea donors: Suitability of plasma samples stored at 4°C for up to 8 days. Transfus. Med. Hemother. 44, 39–44 (2017).
Ginocchio, C. C. et al. Effects of specimen collection, processing, and storage conditions on stability of human immunodeficiency virus type 1 RNA levels in plasma. J. Clin. Microbiol. 35, 2886–2893 (1997).
Baleriola, C. et al. Stability of hepatitis C virus, HIV, and hepatitis B virus nucleic acids in plasma samples after long-term storage at – 20 °C and − 70 °C. J. Clin. Microbiol. 49, 3163–3167 (2011).
Gonzalez-Perez, I. et al. Long-term conservation of HCV RNA at 4 °C using a new RNA stabilizing solution. J. Virol. Methods 168, 207–211 (2010).
Janvier, F. et al. Ebola virus RNA stability in human blood and urine in West Africa’s environmental conditions. Emerg. Infect. Dis. 22, 292–294 (2016).
Sagripanti, J. L., Rom, A. M. & Holland, L. E. Persistence in darkness of virulent alphaviruses, Ebola virus, and Lassa virus deposited on solid surfaces. Arch. Virol. 155, 2035–2039 (2010).
Duale, N. et al. Human blood RNA stabilization in samples collected and transported for a large biobank. BMC Res. Notes 5, 1–9 (2012).
Party, L. W. Estimation of blood phenylalanine from a dried blood spot using the Guthrie test. J. Clin. Pathol. 24, 576 (1971).
Guthrie, R. & Susi, A. A simple phenylalanine method for detecting phenylketonria in large populations of newborn infants. Pediatrics 32, 338–343 (1963).
Burgoyne, L. A. Solid medium and method for DNA storage; US005985327A. (1997).
Picard-Meyer, E., Barrat, J. & Cliquet, F. Use of filter paper (FTA) technology for sampling, recovery and molecular characterisation of rabies viruses. J. Virol. Methods 140, 174–182 (2007).
Muthukrishnan, M., Singanallur, N. B., Ralla, K. & Villuppanoor, S. A. Evaluation of FTA cards as a laboratory and field sampling device for the detection of foot-and-mouth disease virus and serotyping by RT-PCR and real-time RT-PCR. J. Virol. Methods 151, 311–316 (2008).
Lange, B. et al. Diagnostic accuracy of detection and quantification of HBV-DNA and HCV-RNA using dried blood spot (DBS) samples—A systematic review and meta-analysis. BMC Infect. Dis. 17, 71–85 (2017).
Nguyen, T. T. et al. Confirmation of HCV viremia using HCV RNA and core antigen testing on dried blood spot in HIV infected peoples who inject drugs in Vietnam. BMC Infect. Dis. 18, 1–7 (2018).
Field, N. et al. Strengthening the Reporting of Molecular Epidemiology for Infectious Diseases (STROME-ID): An extension of the STROBE statement. Lancet. Infect. Dis 14, 341–352 (2014).
Tagnouokam-Ngoupo, P. A. et al. Hepatitis C virus genotyping based on Core and NS5B regions in Cameroonian patients. Virol. J. 16, 1–7 (2019).
Schneider, C. A., Rasband, W. S. & Eliceiri, K. W. NIH Image to ImageJ: 25 years of image analysis. Nat. Methods 9, 671–675 (2012).
Bennett, S. et al. Detection of hepatitis C virus RNA in dried blood spots. J. Clin. Virol. 54, 106–109 (2012).
Jones, S. et al. Filter paper collection of Plasmodium falciparum mRNA for detecting low-density gametocytes. Malar. J. 11, 1 (2012).
Keeler, S. P. et al. Use of FTA sampling cards for molecular detection of avian influenza virus in wild birds. Avian Dis. 56, 200–207 (2012).
Schmidt, W. N. et al. Distribution of hepatitis C virus ( HCV ) RNA in whole blood and blood cell fractions: Plasma HCV RNA analysis underestimates circulating virus load. J. Infect. Dis. 176, 20–26 (1997).
Nichols, B. E. et al. Cost and impact of dried blood spot versus plasma separation card for scale-up of viral load testing in resource-limited settings. Clin. Infect. Dis. 70, 1014–1020 (2020).
Carmona, S., Seiverth, B., Magubane, D. & Hans, L. Separation of plasma from whole blood by use of the cobas plasma separation card: A compelling alternative to dried blood spots for quantification of HIV-1 viral load. J. Clonical Microbiol. 57, e01336-18 (2019).
Wannaratana, S., Thontiravong, A. & Pakpinyo, S. Comparison of three filter paper-based devices for safety and stability of viral sample collection in poultry. Avian Pathol. 50, 78–84 (2021).
Michaud, V. et al. Long-term storage at tropical temperature of dried-blood filter papers for detection and genotyping of RNA and DNA viruses by direct PCR. J. Virol. Methods 146, 257–265 (2007).
Acknowledgements
This work was supported by the Community of Madrid, call for grants for the completion of Industrial PhD to VB and RM (IND2017/BMD-7683).
Author information
Authors and Affiliations
Contributions
V.B. conceived the study. S.A.L. participated in its design and implementation of the research. C.C.B. performed sample collection. Sample S.A.L. and C.C.B. performed experiments and analyzed the data. C.C.Be. and V.L.A. participated in the search of bibliography. L.M.C and I.G.S, provided patients´ samples. S.A.L. drafted the manuscript. R.M. and V.B. made a critical revision of the manuscript. S.A.L., C.C.B, C.C.Be., V.L.A., L.M.C., I.G.S., R.M. and V.B. approved the final version. All authors read and approved the final manuscript. V.B. is the guarantor of this work and, as such, had full access to all of the data in the study and takes responsibility for the integrity of the data and the accuracy of the data analysis.
Corresponding author
Ethics declarations
Competing interests
The authors declare no competing interests.
Additional information
Publisher's note
Springer Nature remains neutral with regard to jurisdictional claims in published maps and institutional affiliations.
Supplementary Information
Rights and permissions
Open Access This article is licensed under a Creative Commons Attribution 4.0 International License, which permits use, sharing, adaptation, distribution and reproduction in any medium or format, as long as you give appropriate credit to the original author(s) and the source, provide a link to the Creative Commons licence, and indicate if changes were made. The images or other third party material in this article are included in the article's Creative Commons licence, unless indicated otherwise in a credit line to the material. If material is not included in the article's Creative Commons licence and your intended use is not permitted by statutory regulation or exceeds the permitted use, you will need to obtain permission directly from the copyright holder. To view a copy of this licence, visit http://creativecommons.org/licenses/by/4.0/.
About this article
Cite this article
Arca-Lafuente, S., Casanueva-Benítez, C., Crespo-Bermejo, C. et al. 903 Protein Saver cards: the best alternative for dried blood spot storage at room temperature for HCV RNA. Sci Rep 12, 10124 (2022). https://doi.org/10.1038/s41598-022-14375-8
Received:
Accepted:
Published:
Version of record:
DOI: https://doi.org/10.1038/s41598-022-14375-8







