Abstract
Recent research has shed light on the culpability of LA (left atrial) abnormality, in the form of atrial cardiopathy, as an independent risk factor for the development of atrial fibrillation, LA thrombus and subsequent stroke. The aim of this study was to measure LA electromechanical dissociation (EMD), LA volumes, P-wave dispersion (PWD) and P-wave terminal force in V1 (PTFV1) as markers of atrial cardiopathy in patients with ESUS (embolic stroke of undetermined source), to determine whether atrial cardiopathy is an integral part in the causal pathway of ESUS. 28 patients presenting with ischemic stroke and fulfilling the criteria for ESUS were enrolled into this cross-sectional, observational study along with a control group of 28 age- and gender-matched apparently healthy individuals. On ECG, PWD and PTFV1 were measured. On echocardiography, LA EMD and LA volumes were recorded. Increased PWD (34.14 ± 9.89 ms vs. 27.32 ± 8.95 ms; p = 0.01), atrial EMD (73.32 ± 16.31 ms vs. 63.63 ± 13.59 ms; p = 0.02) and LA volumes were observed in patients with ESUS as compared to controls. A significant correlation was also found between these parameters (p < 0.01). According to the results of our study, PWD, atrial EMD and LA volumes may be novel predictors for ESUS. Our results support the notion that atrial cardiopathy is a distinct mechanism of thrombosis in ESUS patients. Further research is required to clarify its function in the causation of stroke, ESUS in particular.
Similar content being viewed by others
Introduction
Roughly one-third of all cases of ischemic stroke divulge no discernible cause despite standard evaluation and are referred to as cryptogenic strokes. Extensive research on such patients led to the introduction of the acronym ESUS, which stands for ‘Embolic Stroke of Undetermined Source’, by Robert Hart and colleagues of the Cryptogenic Stroke/ESUS International Working Group, to include cases of non-lacunar ischaemic stroke with a probable embolic source, allowing anticoagulation in this subset to be a distinct treatment option1. Data shows that such ESUS patients are said to account for approximately 19% of all patients of ischaemic stroke2 and are generally younger than patients suffering from ischemic stroke due to other causes2,3,4. These patients also have higher recurrence rates of stroke, as compared to the other ischemic stroke counterparts, further compounding the need for a definitive treatment regimen for secondary prevention in such patients5,6,7,8.
ESUS patients comprise a heterogenous population with regards to aetiology. In a recent study, 3 stroke registries were examined to include 800 patients with ESUS, revealing that the most common potential sources for embolism in these patients include left ventricular disease (54.4%), arterial disease (48.5%) and atrial cardiopathy (45%). It was also observed that in a majority of these patients there existed more than one potential embolic source9.
Recent data eroding the evidence for the temporal association between atrial fibrillation and ischaemic stroke have indicated that cardiac structural changes independent of AF may be on the causal pathway for the development of thromboembolism. The results further the case for viewing the mechanism of embolism in ESUS patients as more complex and multi-faceted, suggesting that atrial fibrillation and atrial cardiopathy may not be part of a continuum, rather exist on a spectrum of events, with the implication that the presence of one may not hinge on the absolute presence of the other.
Recently, atrial cardiopathy, a condition characterized by structural, functional, and biochemical abnormalities of atria prone to fibrillation, has emerged as a possible pathogenic mechanism in ESUS. Many electrocardiographic (ECG) and echocardiographic markers have been proposed in order to detect an altered atrial substrate at an early stage10. ‘Atrial failure’ is a clinical term that is also being brought into common parlance, and refers to “any atrial dysfunction (anatomical, mechanical, electrical, and/or rheological, including blood homeostasis) causing impaired heart performance and symptoms, and worsening quality of life or life expectancy, in the absence of significant valvular or ventricular abnormalities”11. Further research may well show a significant contribution of this condition in the pathophysiology of cardioembolic stroke.
Our study was undertaken with the aim of observing the relationship between ESUS patients and the markers of atrial cardiopathy, in turn to establish whether atrial cardiopathy may be a direct cause for the development of stroke by virtue of the changes brought about in the left atrium, and whether the presence of AF may be a consequence of these changes rather than a cause, along with stroke. Furthermore, our study would help to establish these markers as predictors for stroke and may also contribute to the development of a management algorithm with regards to secondary prevention in appropriate patients of ischaemic stroke.
Methods
Study design
Our study was a cross-sectional, observational study undertaken in Jawaharlal Nehru Medical College and Hospital, Aligarh Muslim University, for a period of 20 months, enrolling 28 cases of ESUS and 28 age- and sex-matched controls. The study protocol was approved by the Board of Studies and cleared by the ‘Institutional Ethics Committee’, Aligarh Muslim University, Aligarh, Uttar Pradesh, in March 2018. Informed consent was obtained from all patients or their respective legal guardians. All research was performed in accordance with the Declaration of Helsinki.
Study population
ESUS was defined as an infarct visualized by CT (computed tomography) or MRI (magnetic resonance imaging) brain that is not lacunar*, in the absence of (a) extracranial or intracranial atherosclerosis causing ≥50% luminal stenosis in arteries supplying the area of ischemia, (b) major-risk cardioembolic source, and (c) any other identified specific cause of stroke. The assessment required for the ESUS diagnosis included brain CT or MRI, 12-lead ECG, cardiac monitoring for ≥24 hours with automated rhythm detection, precordial echocardiography, and imaging of the extra- and intra-cranial arteries (catheter, MR, or CT angiography, or cervical duplex plus transcranial doppler ultrasonography).
*Lacunar stroke was defined as a subcortical infarct ≤1.5 cm (≤2.0 cm on MRI diffusion images) in the largest dimension and in the distribution of the small, penetrating cerebral arteries1.
Patients with lacunar infarcts, significant carotid artery disease, persistent AF, rheumatic heart disease or other structural heart disease or those with prosthetic heart valves were excluded from the study. In addition, all patients underwent 24-hour Holter monitoring to rule out the presence of AF.
Investigations
ECG
-
The onset of the P-wave was defined as the junction between the isoelectric line and the beginning of P-wave deflection. The offset was defined as the junction between the end of the P-wave deflection and the isoelectric line. The longest atrial conduction time measured on any of the 12 leads was defined as P maximum (Pmax) and the shortest time was defined as P minimum (Pmin). The difference between Pmax and Pmin was calculated and defined as P-wave dispersion (PWD = Pmax − Pmin)12.
-
P-wave terminal force in lead V1 (PTFV1) was defined as the duration of the negative terminal deflection of the P-wave in lead V1 multiplied by the absolute value of its amplitude. Measurements were manually made from the admission standard 12-lead ECG recorded with the subject at rest in supine position at paper speed of 50 mm/s and calibration of 10 mm/mV. Increased PTFV1 was considered a value greater than 0.04 mm·s13.
Echocardiography
-
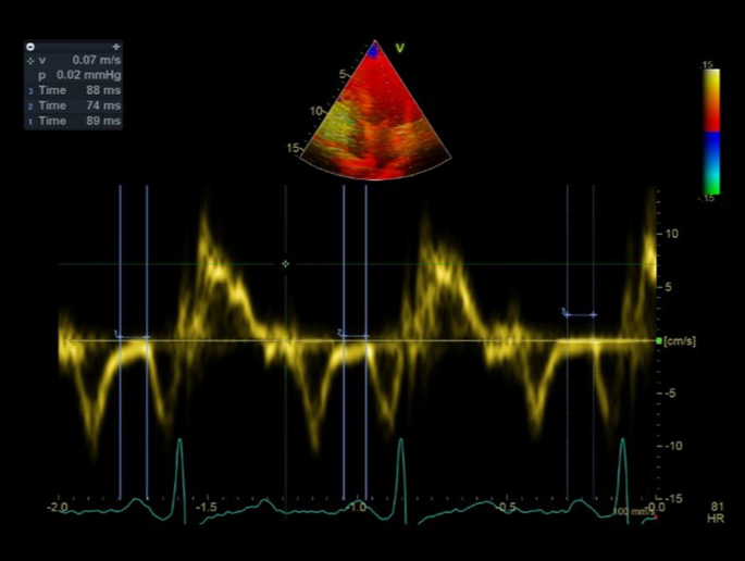
Time intervals from the beginning of P-wave to beginning of A´ wave from the lateral mitral annulus in tissue doppler imaging was recorded as the intra-atrial electromechanical delay (Fig. 1). Average values of these indexes obtained from 3 consecutive cardiac cycles were used for analysis14,15.
-
LA volumes using the Modified Biplane Simpson’s method in the apical four- and two-chamber views were also measured, as mentioned:
-
LA passive volumes consisting of:
-
Pre-atrial contraction volume (LAVpreA): measured at the onset of the P-wave on an electrocardiogram (ECG);
-
Minimal LA volume (LAVmin): measured at the closure of the mitral valve in end-diastole; and
-
Maximal LA volume (LAVmax): measured just before the opening of the mitral valve in end-systole.
-
-
LA active volumes measured include:
-
LA reservoir volume (LAVmax − LAVmin)
-
LA passive emptying volume (LAVmax − LAVpreA)
-
LA contractile volume (LAVpreA − LAVmin)
-
-
All volumes were indexed to body surface area (BSA) and expressed in mL/m2.
Statistical analysis
All statistical data was analysed by using SPSS Software Version 20 for Windows. Continuous variables were expressed as mean ± standard deviation while proportions were expressed as count (percentages). Comparison of categorical variables between the groups was done by the Chi-square test while continuous variables were compared using the student ‘t’ test for independent groups. Non-parametric tests were used wherever appropriate. Pearson’s test was used for correlation analysis. Receiver operating characteristic (ROC) curve analysis was used to determine the optimum cut-off level of P-wave dispersion, EMD and LA volumes to predict ischaemic stroke. A two-tailed ‘p’ value of less than 0.05 was considered significant.
Conference presentation
The abstract of a previous version of this paper was selected for display in the 2018Stroke ePosters’ category with the title ‘Evaluation of left atrial mechanics and p-wave dispersion as markers of left atrial cardiopathy in patients with embolic stroke of undetermined source (ESUS)’ in the ESC CONGRESS 2020 – The Digital Experience16.
Results
Among the 28 patients with ESUS recruited to the study, the mean age was observed to be 51.57 ± 15.92 years, out of which 61% (n = 17) were males, with maximum number of patients falling into the age group of 41–60 years (53%). The baseline demographic and laboratory characteristics were similar between the case and control groups. There were no significant differences regarding age, gender, and body surface area between patient and control groups (p > 0.05). Variables like hypertension, diabetes and smoking were also equally distributed between the study groups (Table 1).
With regards to the variables of interest in our study (Tables 2 and 3), we observed that the mean P-wave dispersion in the case group was higher than that in the control group (34.14 ± 9.89 ms vs. 27.32 ± 8.95 ms; p = 0.01). Using a cut-off level of 36 ms, P-wave dispersion predicted stroke with a sensitivity of 54% and specificity of 86% (ROC area under the curve: 0.700, 95% CI 0.561–0.838, p = 0.01). However, there was no significant difference in the value of P-wave terminal force in V1 in the case and control groups (0.0156 ± 0.022 vs. 0.0184 ± 0.019; p = 0.61).
The mean left atrial EMD in the case group was also found to be higher than the control group (73.32 ± 16.31 ms vs. 63.63 ± 13.59 ms; p = 0.02). At a cut-off level of 79 ms, atrial EMD predicted stroke with a sensitivity of 46% and specificity of 93% (ROC area under the curve: 0.680, 95% CI: 0.539–0.822, p = 0.02).
Among the LA volumes, the pre-atrial contraction volume (23.94 ± 7.66 vs. 17.93 ± 2.18 ml/m2; p < 0.01), LA minimal volume (17.01 ± 8.55 vs. 10.09 ± 0.97 ml/m2; p < 0.01), LA maximal volume (35.51 ± 8.21 vs. 29.76 ± 1.92 ml/m2; p < 0.01) were significantly increased in the case group as compared to the control group, while the LA reservoir volume (18.49 ± 2.09 vs. 19.66 ± 1.34 ml/m2; p = 0.02) was found to be markedly decreased in the case group. The cut-off levels of LA volumes with regards to prediction of stroke are mentioned in Table 3.
A significant correlation was found for P-wave dispersion with EMD (r = 0.425; 95% CI: 0.147–0.644, p < 0.01), LA maximal volume (r = 0.408; 95% CI: 0.226–0.551, p < 0.01), LA minimum volume (r = 0.411; 95% CI: 0.262–0.561, p < 0.01) as well as pre-atrial contraction volume (r = 0.399; 95% CI: 0.219–0.547, p < 0.01) in our study for the prediction of stroke. The mean EMD was also found to positively correlate with the mean values of LA maximal volume (r = 0.354; 95% CI: 0.068–0.565, p < 0.01), LA minimum volume (r = 0.386; 95% CI: 0.116–0.566, p < 0.01) and pre-atrial contraction volume (r = 0.356; 95% CI: 0.069–0.553, p < 0.01). The overall regression model for EMD, P-wave dispersion, LAVpreA, LAVmin and LAVmax was significant [F(5, 50) = 4.55, p < 0.01, R2 = 0.31].
Discussion
We observed increased values of P-wave dispersion, LA electromechanical delay and LA volumes in patients with ESUS in our study (Fig. 2). Various studies have shown that inter- and intra-left atrial EMD are likely independent predictors for the development of AF and stroke15,17. P-wave dispersion is a variable that has been of much interest with regards to its presence in patients suffering from cardioembolic stroke, and multiple studies have found a definite association between them18,19. Likewise, one study comparing PWD and atrial electromechanical delay between healthy elderly (75.4 ± 6.9 years) and a younger control group (42.7 ± 9.6 years) found increased values of both in the elderly group, without any evidence of AF in either group, which signifies that a natural progression to AF in the elderly may involve a similar pathway as that hypothesized in ESUS patients. Aging, which in itself is a risk factor for AF, was found to be correlated with increased left atrial size and impaired diastolic relaxation, which is not dissimilar to the changes also seen in patients with atrial cardiopathy. In fact, a study revealed that patients who underwent intensive vascular risk factor management after catheter ablation of AF had a significant reduction in left atrial size and a lower rate of AF recurrence than patients whose risk factors were not managed as intensively20. This indicates that the management of AF alone may not be the crux point for prevention of stroke, rather it could be more beneficial to interrupt the processes involved in the pathophysiology of thrombus generation, which include risk factors like ageing, obesity, alcohol, amongst others. This may also explain the association that has been found in multiple studies between markers of atrial cardiopathy and various conditions like obesity, psoriasis vulgaris, PCOS etc.21,22,23,24,25,26.
Similar to our study, investigators have found that left atrial enlargement is an independent risk factor for ischemic stroke, especially of the recurrent form, which is more commonly seen in patients with ESUS27. Recent similar studies have also established this association in patients with ESUS, suggesting echocardiogrpahic parameters to be of interest in ESUS population28. Increased mean LA volume indices (LAVI) are associated with the cardioembolic phenotype of ischemic stroke29, while one study found that increased LAVI significantly related to stroke recurrence in patients with non-sustained atrial tachycardias but without previously documented AF30. These findings impart weight to the discovery of the association between stroke and other atrial dysrhythmias besides AF31,32,33. In a study including 111 patients with ischaemic stroke, increased LA fibrosis and lower LA ejection fraction, as observed on cardiac MRI, were detected with similar incidence in patients with undetermined cause of embolism and those with underlying AF, further denoting that an underlying atrial disease could very well be the origin of the embolic event34.
The rationale for the temporal association between stroke and AF has been paradoxically diminished in view of recent studies demonstrating a surprising absence of AF in a majority of patients monitored before the index event of cardioembolic stroke35,36. Furthermore, the transient nature of AF led to prolonged rhythm monitoring in patients with stroke of unknown aetiology, however long-term follow-up found that only 30% of cryptogenic stroke patients manifested any AF even after 3 years of continuous heart rhythm monitoring via an implantable loop recorder37.
Our study was unable to find a significant difference in the value of PTFV1 between case and control groups. P-wave terminal force in V1 has been found to be associated with cryptogenic stroke and underlying AF in multiple studies13,38, however it is interesting to note that a study by Sajeev et al. consisting of 435 patients with ischaemic stroke in the absence of AF and other causes, found that morphology consistent with PTFV1 on ECG occurred commonly in both the stroke/TIA and control groups. There was no significant difference in the median PTFV1 value between the stroke 3.96 mV·ms [Interquartile range (IQR) 2.78–5.58] and control 4.23 mV·ms [IQR 2.91–5.57] groups39. The authors noted that the measurements of PTFV1 demonstrated excellent intra-observer reliability on assessment of the same P-wave (Intra class correlation (ICC) 0.91, p b 0.001) with narrow limits of agreement 2.21 to − 2.95 mV·ms, however, a change in the P-wave assessed led to a significant reduction in reliability (ICC 0.79, p b 0.001). It is difficult to pinpoint whether the lack of correlation between ESUS and PTFV1 in contrast to the strong association found between AF and PTFV1 is due to the fact that PTFV1 represents specifically an atrial dysrhythmia state rather than an underlying diseased state; or rather due to inherent reliability issues with the marker, keeping in view the absence of a normal reference range as well as a dearth of sufficiently comprehensive methodology to allow for reproducible measurements of PTFV1, particularly in the presence of subtle baseline and beat to beat P-wave variability.
Our study was a single-centre study with a small sample size and thus additional extrapolation of our findings are limited until further confirmation by large-scale multi-centric studies. The lack of established methodology and reference ranges for the tested parameters can only be rectified by comprehensive investigations. Further research is required to cement these findings so as to develop normal ranges, as well as guidelines regarding testing these parameters in the appropriate subset of patients with cardioembolic stroke.
An overview of the existing evidence suggests that a case can be made for atrial cardiopathy being causally linked to the development of stroke due to the underlying cardiac structural changes, irrespective of the presence of dysrhythmia. A study found increased prevalence of atrial cardiopathy in patients with ESUS, with 26.6% of ESUS patients suffering from atrial cardiopathy (defined as severe LAE on echocardiogram or PTFV1 > 5,000 μV-ms on ECG), compared to only 12.1% of stroke patients with large artery atherosclerosis (LAA) and 16.9% of those with small vessel disease (SVD) (p = 0.001)40. Another similar study demonstrated increased incidence of atrial cardiopathy (defined by severe left atrial enlargement (sLAE) in patients with ESUS as compared to patients with non-cardioembolic strokes41. A recent study postulates that transient atrial mechanical dysfunction could be a part of the pathophysiology in patients with ESUS42.
The concept of atrial cardiopathy may clarify why the onset of AF occurs at or around the time of incident stroke in many cases, conveying that thromboembolism and dysrhythmia both develop in parallel as part of the progression of an underlying atrial cardiopathy43. These considerations would also help to explain the results of a study in which only 31% of patients with both subclinical atrial fibrillation and stroke had no AF during a median 8 months of continuous heart-rhythm monitoring before the stroke and only manifested AF after the stroke35.
These suppositions beget the question of whether the presence of reliable indicators of atrial cardiopathy may be feasible in the diagnosis and treatment algorithm of embolic stroke and, furthermore, if they may even help to predict the development of events like AF and cardioembolic stroke (CES). In fact, a study has already demonstrated that in acute ischemic stroke patients without a pre-existing diagnosis of AF, the odds of suffering from CES is associated with changes in structural and functional measurements demonstrated on routine stroke care TTE. The most significant association was seen with increases in LA systolic diameter44.
Our findings demonstrate that changes in echocardiographic parameters may be reflective of a dynamic process in the structure of the atria with the consequent development of atrial cardiopathy and are independently associated with a diagnosis of ESUS and are not simply markers of pre-existing AF. Moreover, the correlation that we observed between the various study parameters also hint that these aberrations signify an overall process of atrial disease that may be manifest more readily in a specific subset of patients in whom anticoagulation may very well be an appropriate component in the management of stroke. The parameters in our study have the added advantage of being non-invasive and relatively cost-efficient, and thus could prove to be more valuable in the diagnostic workflow if employed in the relevant scenarios.
Data availability
The datasets generated and/or analysed during the study are available from the corresponding author on reasonable request.
References
Hart, R. G. et al. Embolic strokes of undetermined source: The case for a new clinical construct. Lancet Neurol. 13(4), 429–438 (2014).
Perera, K. S. et al. Embolic strokes of undetermined source: Prevalence and patient features in the ESUS Global Registry. Int. J. Stroke 11(5), 526–533 (2016).
Hawkes, M. A. et al. Differential characteristics, stroke recurrence, and predictors of covert atrial fibrillation of embolic strokes of undetermined source. Int. J. Stroke 13(2), 190–194 (2018).
Arauz, A., Morelos, E., Colín, J., Roldán, J. & Barboza, M. A. Comparison of functional outcome and stroke recurrence in patients with embolic stroke of undetermined source (ESUS) vs. cardioembolic stroke patients. PLOS ONE 11(11), e0166091 (2016).
Maier, I. L. et al. Association between embolic stroke patterns, ESUS etiology, and new diagnosis of atrial fibrillation: A secondary data analysis of the find-AF trial. Stroke Res. Treat. 2017, 1–6 (2017).
Takasugi, J. et al. Detection of left ventricular thrombus by cardiac magnetic resonance in embolic stroke of undetermined source. Stroke 48(9), 2434–2440 (2017).
Kasner, S. E. et al. Characterization of patients with embolic strokes of undetermined source in the NAVIGATE ESUS randomized trial. J. Stroke Cerebrovasc. Dis. 27(6), 1673–1682 (2018).
Ntaios, G. et al. Age- and sex-specific analysis of patients with embolic stroke of undetermined source. Neurology 89(6), 532–539 (2017).
Ntaios, G. et al. Prevalence and overlap of potential embolic sources in patients with embolic stroke of undetermined source. J. Am. Heart Assoc. 8(15), e012858 (2019).
Yaghi, S. et al. Atrial cardiopathy and cryptogenic stroke: A cross-sectional pilot study. J. Stroke Cerebrovasc. Dis. 25(1), 110–114 (2016).
Bisbal, F., Baranchuk, A., Braunwald, E., Bayés de Luna, A. & Bayés-Genís, A. Atrial failure as a clinical entity. J. Am. Coll. Cardiol. 75(2), 222–32 (2020).
Pérez-Riera, A. R. et al. P-wave dispersion: An update. Indian Pacing Electrophysiol. J. 16(4), 126–133 (2016).
Goda, T. et al. P-wave terminal force in lead V 1 predicts paroxysmal atrial fibrillation in acute ischemic stroke. J. Stroke Cerebrovasc. Dis. 26(9), 1912–1915 (2017).
Russo, V. et al. The role of the atrial electromechanical delay in predicting atrial fibrillation in myotonic dystrophy type 1 patients: Myotonic dystrophy and atrial fibrillation. J. Cardiovasc. Electrophysiol. 27(1), 65–72 (2016).
Bayar, N. et al. Evaluation of the association between stroke/transient ischemic attack and atrial electromechanical delay in patients with paroxysmal atrial fibrillation. Anatol. J. Cardiol. 16(8), 572–578 (2016).
Masood, S., Azharuddin, M. M., Ashraf, S. M. K. & Wahab, S. Evaluation of left atrial mechanics and p-wave dispersion as markers of left atrial cardiopathy in patients of embolic stroke of undetermined source (ESUS). Eur. Heart J. 41(2), ehaa946.2437 (2020).
Akil, M. A. et al. The relationship between atrial electromechanical delay and left atrial mechanical function in stroke patients. Anatol. J. Cardiol. 15(7), 565–570 (2015).
Vural, M. G., Cetin, S., Yilmaz, M., Akdemir, R. & Gunduz, H. Relation between left atrial remodeling in young patients with cryptogenic stroke and normal inter-atrial anatomy. J. Stroke 17(3), 312–319 (2015).
Acampa, M. et al. P wave dispersion in cryptogenic stroke: A risk factor for cardioembolism?. Int. J. Cardiol. 190, 202–204 (2015).
Pathak, R. K. et al. Aggressive risk factor reduction study for atrial fibrillation and implications for the outcome of ablation. J. Am. Coll. Cardiol. 64(21), 2222–2231 (2014).
Kurt, M. The relationship between atrial electromechanical delay and P-wave dispersion with the presence and severity of metabolic syndrome. Turk. Kardiyol. Dernegi Arsivi-Arch. Turk. Soc. Cardiol. 40(8), 663–670 (2012).
Kosar, F., Aksoy, Y., Ari, F., Keskin, L. & Sahin, I. P-wave duration and dispersion in obese subjects: P-wave dispersion and obesity. Ann. Noninvasive Electrocardiol. 13(1), 3–7 (2008).
Seyfeli, E., Duru, M., Kuvandık, G., Kaya, H. & Yalcin, F. Effect of obesity on P-wave dispersion and QT dispersion in women. Int. J. Obes. 30(6), 957–961 (2006).
Aksan, G. et al. Assessment of atrial electromechanical delay and left atrial mechanical functions in patients with psoriasis vulgaris. Echocardiography 32(4), 615–622 (2015).
Bayır, P. T. et al. Assessment of atrial electromechanical interval and P wave dispersion in patients with polycystic ovary syndrome. Anatol. J. Cardiol. 16(2), 100–105 (2016).
Yagmur, J. et al. Assessment of atrial electromechanical delay by tissue Doppler echocardiography in obese subjects. Obes. Silver Spring Md. 19(4), 779–783 (2011).
Yaghi, S. et al. Left atrial enlargement and stroke recurrence: The northern Manhattan stroke study. Stroke J. Cereb. Circ. 46(6), 1488–1493 (2015).
Sieweke, J. T. et al. Septal total atrial conduction time for prediction of atrial fibrillation in embolic stroke of unknown source: A pilot study. Clin. Res. Cardiol. 109(2), 205–214 (2020).
Shaikh, Q. et al. Left atrial volumes and associated stroke subtypes. BMC Neurol. 13(1), 149 (2013).
Chung, H. et al. Left atrial volume index predicts recurrence of stroke in patients with nonsustained atrial tachycardia. J. Stroke Cerebrovasc. Dis. 24(10), 2408–2415 (2015).
Todo, K., Moriwaki, H., Saito, K. & Naritomi, H. Frequent premature atrial contractions in stroke of undetermined etiology. Eur. Neurol. 61(5), 285–288 (2009).
Binici, Z., Intzilakis, T., Nielsen, O. W., Køber, L. & Sajadieh, A. Excessive supraventricular ectopic activity and increased risk of atrial fibrillation and stroke. Circulation 121(17), 1904–1911 (2010).
Kamel, H. et al. Paroxysmal supraventricular tachycardia and the risk of ischemic stroke. Stroke 44(6), 1550–1554 (2013).
Fonseca, A. C. et al. Patients with undetermined stroke have increased atrial fibrosis: A cardiac magnetic resonance imaging study. Stroke 49(3), 734–737 (2018).
Brambatti, M. et al. Temporal relationship between subclinical atrial fibrillation and embolic events. Circulation 129(21), 2094–2099 (2014).
Daoud, E. G. et al. Temporal relationship of atrial tachyarrhythmias, cerebrovascular events, and systemic emboli based on stored device data: A subgroup analysis of TRENDS. Heart Rhythm 8(9), 1416–1423 (2011).
Sanna, T. et al. Cryptogenic stroke and underlying atrial fibrillation. N. Engl. J. Med. 370(26), 2478–2486 (2014).
Kamel, H. et al. P-wave morphology and the risk of incident ischemic stroke in the multi-ethnic study of atherosclerosis. Stroke 45(9), 2786–2788 (2014).
Sajeev, J. K. et al. Poor reliability of P-wave terminal force V1 in ischemic stroke. J. Electrocardiol. 52, 47–52 (2019).
Jalini, S. et al. Atrial cardiopathy in patients with embolic strokes of unknown source and other stroke etiologies. Neurology 92(4), e288–e294 (2019).
Chen, J., Gao, F. & Liu, W. Atrial cardiopathy in embolic stroke of undetermined source. Brain Behav. 11(6), e02160 (2021).
Yokoseki, O., Tsutsumi, K., Obinata, C. & Toba, Y. Transient atrial mechanical dysfunction assessed in acute phase of embolic stroke of undetermined source. J. Stroke Cerebrovasc. Dis. Off. J. Natl. Stroke Assoc. 29(9), 105032 (2020).
Wolf, P. A. et al. Duration of atrial fibrillation and imminence of stroke: The Framingham study. Stroke 14(5), 664–667 (1983).
Johansen, M. C., Lin, M., Nazarian, S. & Gottesman, R. F. Associations of echocardiographic features with stroke in those without atrial fibrillation. Neurology https://doi.org/10.1212/WNL.0000000000007002 (2019).
Acknowledgements
The authors of this study are grateful to Ms. Chandni Tourani for her gracious inputs on the technical aspects of manuscript preparation.
Author information
Authors and Affiliations
Contributions
All the co-authors listed on the title page participated sufficiently in the work to take responsibility for the content, and all those who qualify are listed. This study was conceptualized and designed by the authors M.M., S.A. and S.W., with S.M. being the principal investigator. Data gathering was done by S.M. and M.M. and S.W., and data analysis was carried out by S.M., M.M. and S.A. The first draft of the manuscript was written by S.M. and all authors have contributed to previous versions of the manuscript. All authors have read and approved the final manuscript.
Corresponding author
Ethics declarations
Competing interests
The authors declare no competing interests.
Additional information
Publisher's note
Springer Nature remains neutral with regard to jurisdictional claims in published maps and institutional affiliations.
Rights and permissions
Open Access This article is licensed under a Creative Commons Attribution 4.0 International License, which permits use, sharing, adaptation, distribution and reproduction in any medium or format, as long as you give appropriate credit to the original author(s) and the source, provide a link to the Creative Commons licence, and indicate if changes were made. The images or other third party material in this article are included in the article's Creative Commons licence, unless indicated otherwise in a credit line to the material. If material is not included in the article's Creative Commons licence and your intended use is not permitted by statutory regulation or exceeds the permitted use, you will need to obtain permission directly from the copyright holder. To view a copy of this licence, visit http://creativecommons.org/licenses/by/4.0/.
About this article
Cite this article
Masood, S., Ashraf, S.M.K., Malik, M.A. et al. P-wave indices and left atrial mechanics as predictors of atrial cardiopathy in embolic stroke of undetermined source. Sci Rep 13, 19965 (2023). https://doi.org/10.1038/s41598-023-44285-2
Received:
Accepted:
Published:
Version of record:
DOI: https://doi.org/10.1038/s41598-023-44285-2




