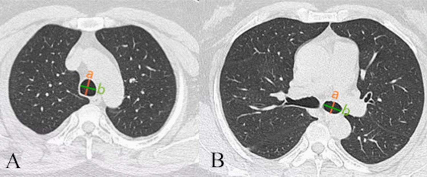
Figure 2

(A) a: Longitudinal inner diameter of trachea, (b) Transverse inner diameter of trachea; (B) (a) Longitudinal inner diameter of bronchus, (b) Transverse inner diameter of bronchus.

(A) a: Longitudinal inner diameter of trachea, (b) Transverse inner diameter of trachea; (B) (a) Longitudinal inner diameter of bronchus, (b) Transverse inner diameter of bronchus.