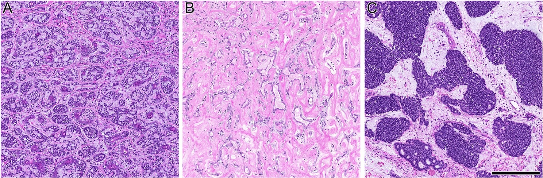
Figure 2

Hematoxylin and eosin (H&E) staining of AdCC: Typical case with tubular–cribriform morphology (A). Unusual morphology with prominent sclerosing areas (B), Solid variant including > 30% solid growth pattern (C). All cases revealed a MYB::NFIB gene fusion. The scale bar is 250 µm.