Fig. 3
From: Bovine lactoferrin inhibits Plasmodium berghei growth by binding to heme

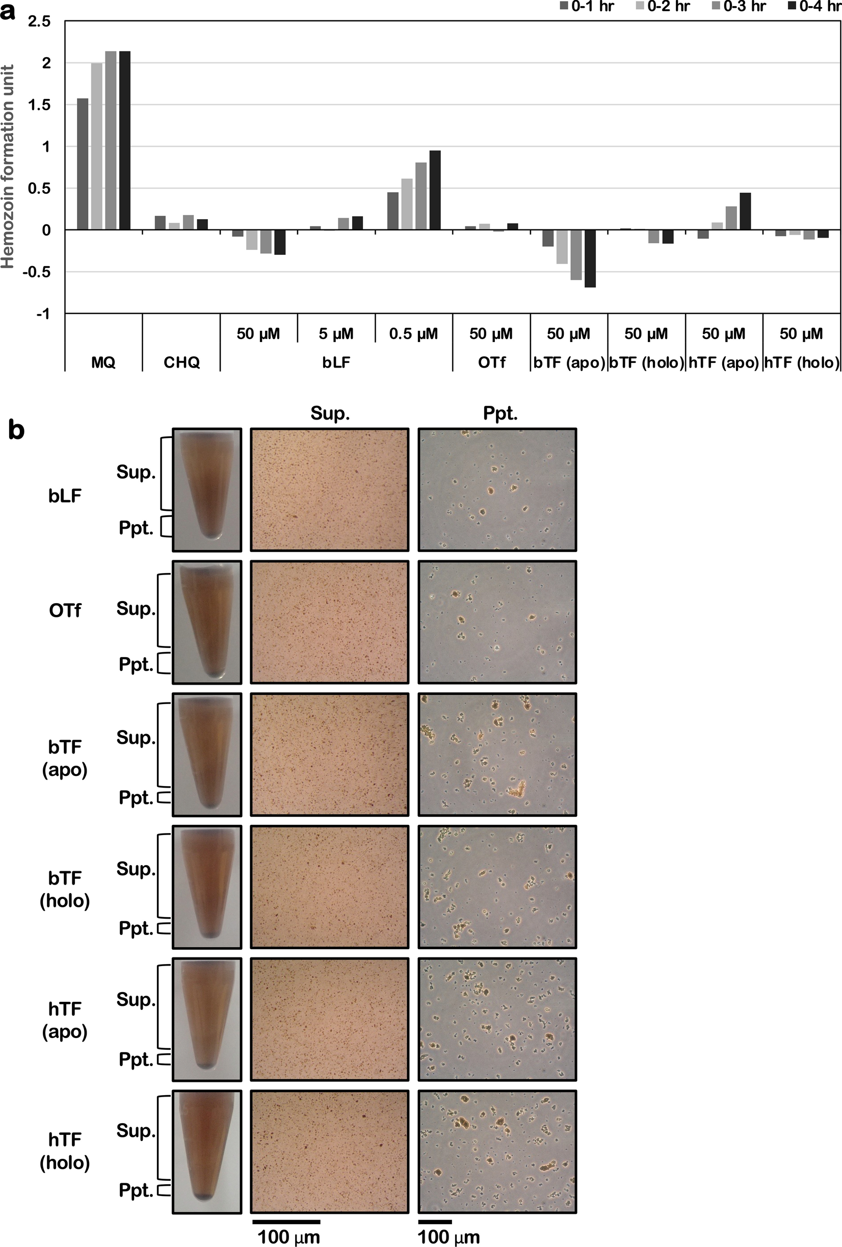
Evaluation of the functional roles of various transferrin families (OTf, ovotransferrin, bTF (apo), bovine serum transferrin apo-form, bTF (holo), bovine serum transferrin holo-form, hTF (apo), human serum transferrin apo-form, hTF (holo), human serum transferrin holo-form: (a) inhibition of hemozoin formation, and (b) degradation of hemozoin. For (a), various transferrin was tested at 50 µM concentrations. All tests were conducted in triplicate. In (b), samples were standardized to a 50 µM concentration. The microscope field of view presents a representative image.