Abstract
Mollusks are the second most diverse animal phylum, yet little is known about their endocrinology or how they respond to endocrine disrupting compound (EDC) pollution. Characteristic effects of endocrine disruption are reproductive impairment, skewed sex ratios, development of opposite sex characteristics, and population decline. However, whether classical vertebrate EDCs, such as steroid hormone-like chemicals and inhibitors of steroidogenesis, exert effects on mollusks is controversial. In the blue mussel, Mytilus edulis, EDC exposure is correlated with feminized sex ratios in wild and laboratory mussels, but sex reversal has not been confirmed. Here, we describe a non-destructive qPCR assay to identify the sex of M. edulis allowing identification of males and females prior to experimentation. We exposed male mussels to 17α-ethinylestradiol and female mussels to ketoconazole, EDCs that mimic vertebrate steroid hormones or inhibit their biosynthesis. Both chemicals changed the sex of individual mussels, interfered with gonadal development, and disrupted gene expression of the sex differentiation pathway. Impacts from ketoconazole treatment, including changes in steroid levels, confirmed a role for steroidogenesis and steroid-like hormones in mollusk endocrinology. The present study expands the possibilities for laboratory and field monitoring of mollusk species and provides key insights into endocrine disruption and sexual differentiation in bivalves.
Similar content being viewed by others
Introduction
Detailed and broad knowledge of bivalve endocrinology is lacking, despite the similarities in some sex determination genes with other metazoans. Mollusks have been shown to be susceptible to endocrine disrupting compounds (EDCs), leading to skewed sex ratios, development of opposite sex characteristics, and ultimately, population decline in affected animals1,2,3. Whether or not mollusks synthesize steroid-like hormones or respond to vertebrate-like steroids is controversial4,5. Though perturbations to molluscan sexual development have been extensively studied2,3,6,7,8, sex differentiation and the mechanisms of EDC-related disruptions to this process are not well characterized. Many of the genes involved in sex differentiation in mollusks and their exact roles remain unknown9.
Several candidate sex differentiating genes have been identified in bivalves by gene expression analysis9,10,11,12,13, genome resequencing14, and RNAi15. Recent models for sex determination/differentiation pathways in bivalves have implicated doublesex and mab-3 related transcription factor 1- like Dmrt1L and forkhead transcription factor FoxL2 as important regulators of male and female gonadal development10,11. Both genes are found conserved throughout metazoans and are involved in sex determination in vertebrates, arthropods, and nematodes16,17. FoxL2 gene knockdown in female oysters resulted in a decrease in gonadal development and DMRT1L knockdown in male oysters caused a lack of gonadal differentiation in over half of the oysters15. Our previous phylogenic analysis of candidate sex determination/differentiation genes in bivalves also suggested important role(s) of Dmrt1L and FoxL2, and further identified SoxH and β-catenin as potential downstream effectors of sex differentiation in Mytilus edulis13.
Several studies have shown that marine bivalves respond to vertebrate-like steroids. Bivalves, including Mytilus spp. mussels, bioconcentrate18 and transcriptionally and phenotypically respond to estrogens and similar compounds2,7,19,20, although the effects of estrogens on individual genes and proteins has been questioned21(e.g., vitellogenin22). One such synthetic estrogen, 17α-ethinylestradiol (EE2), highly induced (over 80-fold) the expression of the female specific gene, vitellin envelope receptor for lysin (VERL), in a cohort of exposed mussels and the sex ratios of those mussels were significantly skewed towards females2. However, without the ability to predetermine sex it is not clear if there were any alterations to gonadal sex in these studies.
Despite the evidence for biological responses to vertebrate steroid hormones, there is less consensus on the existence of endogenous estrogen synthesis. Sex steroids, including testosterone and estrogens, have been correlated with season, sex, and gonadal development in mollusks23,24, although some authors have questioned the validity of these studies5. In particular, 17b-estradiol (E2) is rapidly taken up by bivalves25, which calls into question whether this estrogen is endogenously produced or simply taken up from the ambient environment26. It has also been suggested that steroids may only be involved in the regulation of spawning, rather than gametogenesis27. While aromatization of testosterone occurs in mussels (i.e., Mytilus trossulus), the conversion rate is low and occurs equally in both male and female mussels23,27. Additionally, no ortholog of the chordate cytochrome P450 aromatase (CYP19), a critical enzyme for the biosynthesis of estrogens, has been identified in mollusks28,29. Interestingly, androstenedione aromatization or hydroxylation is temperature sensitive in M. trossulus, suggesting a mechanism to seasonally regulate the production of certain steroids23,27. Further, mussel steroid aromatization or hydroxylation is inhibited by an azole fungicide (ketoconazole, KZ) that inhibits fungal and vertebrate cytochrome P450 steroid biosynthesis and xenobiotic-metabolizing enzymes, but more specific vertebrate aromatase (CYP19) inhibitors do not affect this process27. Thus, KZ’s impacts on androstenedione metabolism indicates that another enzyme may produce estrogens or an estrogen-like compounds in bivalves4,5,27.
In the present work, we have investigated the effects of two known vertebrate EDCs with different molecular mechanisms, EE2 and KZ, on the sex of mussels, gonadal development, and expression of candidate sex differentiating genes. By identifying mussel sex using a non-destruction method, we conclusively demonstrate that steroid-like EDCs alter the sex differentiation pathway in an important mollusk species, M. edulis, supporting a role for steroids in bivalve sex differentiation.
Results
EDCs change the sex of mussels
We developed a non-destructive hemolymph-based sex identification assay (hemolymph qPCR), using mantle tissue as a control reference. The sex using hemolymph matched the sex using mantle tissue in 100% of cases (Fig. 1A). Furthermore, we tested our hemolymph-based assay with 92 mussels that were induced to spawn and were able to identify the sex of 68 mussels. Of these, six mussels spawned, and the sex identified using hemolymph matched the sex identification at spawning (i.e., presence of sperm or eggs) in all mussels (see Supplementary Data).
Sex identification and gonadal index results. Bars that have a negative VERL-VCL expression difference and pass the threshold (-2.5), as indicated by the dashed red line, are females. Bars that have a positive expression difference and pass the threshold (2.5) are males. (A) Sex ID in mantle tissue (solid bars) and hemolymph (striped bars). Each color indicates a single mussel, for a total of eight mussels. (B, C) Orange bars are males, purple bars are females, and green bars are unknown. Sex ID results of control males and EE2-exposed males (EE2) after exposure (B). Sex ID results of control females and KZ-exposed females (KZ) after exposure (C). (D) Gonadal index of control (mean±standard deviation: EE2 Ctrl 3.57±0.9, KZ Ctrl 3.50±0.8) and exposed mussels after exposure (EE2 1.64±0.5, KZ 1.29±0.8).
We used the hemolymph qPCR assay, based on the expression of a female specific gene, VERL, and a male specific gene, vitelline coat lysin (VCL)30, to predetermine the sex of 105 mussels and exposed fifteen males and fifteen females to 50 ng/l EE2 and 30 µg/l KZ, respectively, for 26 days, using sex-matched controls. After the exposure, we determined the sex of each mussel using mantle tissue RT-qPCR (see Methods). In both control treatments, the mussel sex remained unchanged, except for one male that was undetermined at the end of the 26 days. In contrast, we observed high percentages of mussels that changed to the opposite sex in the EE2 (36%) and KZ treatments (13% with 34% becoming indeterminate) (Fig. 1B,C; Table 1).
Gonadal development is impaired in exposed mussels
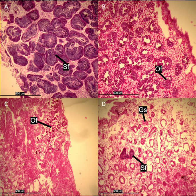
The effects of sex change were clearly evident in the histological sections. All control mussels had evidence of gonadal development, such as germinal spots and mature gametes (Fig. 2A,B). Mussels initially identified as males and that changed sex to become females after EE2 exposure had both immature and mature ova (Fig. 2C). Most females in the KZ group showed little development; however, two female-to-male mussels developed mature sperm (Fig. 2D). Gonadal stages were indexed from 0 to 5 using standard methods31. Mean gonadal development in both treatment groups (EE2: 1.64±0.5, KZ: 1.29±0.8) was lower than the controls (EE2 Ctrl: 3.57±0.9, p-value < 0.01; KZ Ctrl: 3.50±0.8, p-value < 0.01), indicating that both EDCs inhibit gonadal development (Fig. 1D). Overall, most follicles in exposed mussels showed little development and were reduced in size (Fig. 2).
Histological sections of mantle tissue from males and females. (A) Mantle section from male control. (B) Mantle section from female control. (C) Mantle section from male mussel exposed to EE2 that changed sex to female (presence of oocytes). (D) Mantle section of female mussel exposed to KZ that changed sex to male (presence of sperm). Abbreviations Sf, spermatic follicle; Of, ovarian follicle; Gs, germinal spot.
EDCs disrupt expression of sex differentiating genes
EE2 and KZ disrupted normal expression of genes involved in sex differentiation. We analyzed expression of sex differentiating genes (Female: FoxL2, β-catenin, VERL; Male: DMRT1L, SoxH, VCL). We confirmed their sex-biased gene expression using RT-qPCR (Fig. 3A). FoxL2, β-catenin, and VERL are significantly upregulated in female mussels, while DMRT1L, SoxH, and VCL are significantly upregulated in males. Next, we investigated changes in expression of these sex-biased genes after mussels were exposed to EE2 and KZ. In the male mussels exposed to EE2, DMRT1L and SoxH were down regulated (adjusted p-value < 0.05; Fig. 3B), while FoxL2, β-catenin, and VERL were upregulated (adjusted p-value < 0.05). In female mussels exposed to KZ, VCL, β-catenin, and VERL were down regulated (adjusted p-value < 0.05; Fig. 3C).
Log2 fold change of six sex differentiating genes determined by RT-qPCR. Values with a * indicate a significant fold change (adjusted p-value < 0.05). (A) Fold change of genes in male mussels relative to females. (B) Fold change in male mussels exposed to EE2 relative to control males. (C) Fold change in female mussels exposed to KZ relative to control females.
Steroid levels increase in ketoconazole exposed mussels
In addition to mussel sex and gene expression changes, we analyzed mussel tissues for a variety of steroids using GC/MS. Tissue samples were barely adequate to provide sufficient analytes, and there were no significantly altered steroids in the EE2-exposed mussels. However, there is a clear trend of buildup of sterols in mussels exposed to KZ, notably increased cholesterol and 24-methylene cholesterol, a marine, invertebrate, and plant steroid32,33,34also found as a minor metabolite in mice (and presumably other vertebrates)35 (Fig. 4; Figure S1).
Sterol analyses of KZ exposed and control mussels. Sample volume limitation prevented analyses of some KZ-exposed mussels, and of most EE2-exposed animals. Values are presented as means with standard errors. No statistically significant effects of treatment were found in the sterols that we were able to analyze (see Supplemental Data for additional statistical analyses). However, there is a clear trend in increasing cholesterol and desmosterol in treated mussels. Numbers in parentheses were the sample sizes with sufficient tissue to be analyzed.
Discussion
We investigated the effects of exposing male and female mussels to EE2 and KZ, respectively, to better understand sex differentiation and the effects of these contaminants on M. edulis. The mantle tissue is the gold standard for sex mussel ID using histology or reverse transcription qPCR30; however, the animal must be sacrificed to determine the sex. Because of this limitation, previous work was only able to show feminized sex ratio of mussels after exposure to EE22. By using a hemolymph-based assay to determine mussel sex prior to our exposures, we have confirmed that these EDCs can alter the sex of exposed mussels, most prominently in the EE2-exposed males. Therefore, estrogen-like and testosterone-like steroid hormones are likely to have a role in bivalve sex differentiation.
The elusive mechanism of endocrine disruption in bivalves
The mechanism by which vertebrate-like steroids disrupt sex differentiation in M. edulis is largely unknown. Vertebrate estrogen signaling occurs through a genomic pathway where nuclear estrogen receptors (ER) bind to the estrogen response element (ERE) and directly induce the expression of target genes36. In mollusks, the ER homolog is not responsive to estrogen-like compounds, target genes containing an ERE are constitutively expressed37,38, and only the DNA binding domain is highly conserved between vertebrates and mollusks39. Molecular evolution studies have shown that bulky, hydrophobic amino acid residues present within the ligand binding domain of the oyster ER cause the protein to structurally resemble the human ER when it is ligand-bound and in a transcriptionally active conformation. These residues were sufficient to lead to constitutive activation of the receptor40. However, recent studies in the scallop Patinopecten yessoensis39 and razor clam Ruditapes philippinarum41have provided new evidence of ligand dependent transactivation of bivalve ERs. They suggest that bivalve ERs do have many of the important amino acid residues necessary for binding an estrogen-like compound including those that interact with the aromatized ring of the steroid molecule. While many previous studies created hybrid ERs using only the LBD of the molluscan ERs, Liu et al., created a construct with the entire razor clam ER. They used a yeast recombinant assay to demonstrate transactivation of the bivalve ERs in the presence of estrogens and other vertebrate EDCs41.
Another possible mechanism for EDC response in bivalves is through the nongenomic pathway. The nongenomic pathway occurs when E2 binds to ERs localized to the plasma membrane or within the cytosol and initiates a signaling cascade involving MAPK/ERK and PI3 kinases ultimately leading to transcriptional activation42. This mechanism was originally proposed in bivalves by Canesi et al., after E2 exposure resulted in the activation of tyrosine kinase-mediated signaling pathways in Mytilus galloprovinvialis hemocytes43. Further support for this mechanism comes from transcriptional study of M. edulis following exposure to EE2. Gene ontology (GO) analysis identified several enriched GO terms involved in cell-cell signaling and downstream processes, while network analysis of differentially expressed genes revealed several hub genes with roles in nongenomic signaling pathways2.
Our study showed a trend of increasing steroid levels in KZ exposed mussels. KZ is a generalized CYP inhibitor, with different binding affinities for some P450 enzymes of the steroid synthesis pathways in different species. KZ, while typically used to inhibit lanosterol demethylase (CYP51) activity in fungal and protozoan pathogens, has been shown to inhibit other steroidogenic P450 activities, including CYP11A1 (side chain cleavage) and CYP17A144. KZ has also been known for many years to cause rapid decreases in testosterone in mammals45, but is less specifically explored in non-vertebrates. KZ will also inhibit steroid catabolizing enzymes, notably CYP3A and CYP1A enzymes, that metabolize steroids46,47, and has been shown to alter the excretion profiles of a variety of steroids and oxysterols48,49. The roles of vertebrate-like steroids in mussel sex differentiation needs to be revisited in greater detail.
The present study provides further evidence that FoxL2, DMRT1L, SoxH, and β-catenin play important roles in sexual differentiation in bivalves. As gonadal development was perturbed by EE2 and KZ, sex biased gene expression was disrupted in a pattern predicted by their proposed role(s) in either male or female sexual differentiation. The antagonist roles of DMRT1 and FoxL2transcription factors have been previously established in many animal systems50,51,52. However, the relationship between steroid hormones and the regulation of these genes is less clear53. In mammals, estrogen signaling works in concert with FoxL2 to suppress Sox9, the major target of the sex determination gene SRY, and disrupts male sexual development50,51. Exposure to estrogens also increases FoxL2 expression in a human cell line54and other vertebrates55. In fish, there appears to be positive feedback regulation between FoxL2 and E2, while estrogens negatively regulate DMRT1 expression. Both DMRT1 and FoxL2 regulate the expression of steroid biosynthetic enzymes and deficiency in these genes leads to changes in serum hormone levels52,56. Estrogen exposure suppresses DMRT1 expression in fish57and reptiles58 leading to the hypothesis that estrogens are important regulators of DMRT1 expression in these species59. Whether these regulatory networks also exist in mollusks is not known at this time, but at least one other study in bivalves reported that E2 exposure caused increased FoxL2 expression and induced ovarian development in the clam Cyclina sinensis60. Our current knowledge of sex differentiation and the mechanism of endocrine disruption in bivalves is limited, but the growth of genomic and transcriptomic resources for these species is providing new hypotheses13,14. Our study clearly establishes a relationship between steroid levels and the regulation of sex differentiation genes in M. edulis and further interrogation of this relationship provides a promising avenue to uncover the mechanistic pathways of sex differentiation in bivalves.
Ecological relevance
We demonstrated that vertebrate EDCs have detrimental effects on mussel sex differentiation and disrupt expression of key genes. Because the disruption of steroid hormone signaling and synthesis results in prominent sexual disruption, this study confirms that steroid hormones must play a role in bivalve endocrine systems. Though genes involved in bivalve sex differentiation are not well-known, this study has shown that DMRT1L, SoxH, FoxL2, and β-catenin have a role in gonadal development. Furthermore, disrupting expression of these genes impeded sex differentiation. In the wild, bivalves are more likely to be exposed to these chemicals at lower concentrations and for much longer than 26 days3,8,61; although, EE2 concentrations up to 74 ng/L have been reported in the coastal marine environment62. In addition, bivalves are exposed to a multitude of chemicals, rather than just one and chronic exposure to contaminant mixtures may have damaging effects on population sizes via skewed sex ratios. In Jamaica Bay, NY, USA, blue mussel sex ratios are significantly skewed towards females (27% males) relative to a less impacted site2. Though this work was carried out in adults, exposure to EDCs can have damaging effects in developing larvae, which can compound the negative effects of EDCs63,64. Within the North Atlantic, blue mussel populations are in severe decline resulting from both a northward range shift and decreased population sizes65,66. Climate change has been implicated in these declines, but it is likely that multiple stressors including increased temperatures as well as contaminant exposures are responsible. EDCs which cause skewed sex ratios and disrupt sexual differentiation, may contribute to the observed population declines, with consequences for future global food production67.
Materials and methods
Sample collection and sex ID
A total of 105 mussels were collected from Savin Hill Cove on the campus of the University of Massachusetts Boston, MA, USA and brought to a temperature and light controlled environmental room where mussels were kept in 5 μm filtered seawater at 30 PSU and 12oC with a 10:14-h light dark cycle. Following collection, mussels were marked with numbers using a rotary tool (Dremel® Model 395, Mt. Prospect, Illinois, USA), and hemolymph was extracted on the same day mussels were brought to the lab. For the hemolymph extraction, a small notch was made in the dorsal side of shell using a rotary tool, near the posterior adductor muscle. A syringe was used to extract 500 µL of hemolymph from the posterior adductor mussel. The hemocytes were isolated by centrifuging samples at 8,000 x g for 10 min and removing the supernatant. Samples were stored in RNAlater (Invitrogen, Waltham, MA, USA) at -80oC for less than two weeks. Total RNA was isolated from hemocyte samples by adding 0.75 mL TriReagent (Molecular Research Center, Cincinnati, OH, USA) and homogenizing for 10 min at 50 vibrations/s in a bead mill (Tissue Lyser, Qiagen Inc., Valencia, CA, USA). Total RNA was purified following the manufacturer’s protocol using TriReagent. Samples were treated with DNase (New England Biolabs, Ipswich, MA, USA), cleaned up using a NEB Monarch RNA Cleanup Kit (New England Biolabs) and total RNA was reverse transcribed (EpiScript Reverse Transcriptase, Lucigen, Middleton, WI, USA) following manufacturer’s protocols2. The RT-qPCR sex identification assay developed by Hines et al., with modifications, was used to identify the sex of each mussel2,30. Prior to qPCR, cDNA samples were not diluted due to low yields. All qPCR reactions were carried out with PowerUp™ SYBR™ Green Master Mix (Applied Biosystems, Waltham, MA, USA) using an Agilent Mx3000P qPCR instrument (Santa Clara, CA, USA). Primer sequences and reaction conditions are described in Table S1. PCR reactions were carried out in duplicate with no template and no RT controls. A difference in Ct values of VERL and VCL (VERL-VCL) of 2.5 indicates the mussel is a male, -2.5 is a female, and between these values it is unknown2. Following sex identification, 31 males and 31 females were set aside for the exposure. Numbers marked on the mussel shells were used to identify individual mussels throughout the exposure and in subsequent analysis (see Supplementary Data).
Exposure
Mussels were acclimated for 18 days in 5 μm filtered seawater at 30 PSU and 12oC following collection and hemolymph extraction. Males and females were exposed to 17α- ethinylestradiol (EE2; 50 ng/L; Crescent Chemical Co Inc, Islandia, NY, USA) and ketoconazole (KZ; 30 µg/L; TCI America, Tokyo, Japan) dissolved in ethanol (FisherScientific, Hampton, NH, USA), respectively, for 26 days in four replicate tanks, with four mussels per tank, with the exception of one EE2 and one KZ tank which had three mussels. Sex-matched control mussels were only exposed to the solvent ethanol. The final ethanol concentration in both exposures and control was 0.005%. Each replicate tank was filled with 1.5 L of filtered seawater (375 mL/mussel). Mussels were fed 3e7 Isochrysis galbana and 5e6 Thalassosira weissflogii cells/animal. Mussels were fed, and seawater (including exposure chemicals) was changed every 48 h. Three mussels died during the exposure (1 in EE2 treatment and 2 in solvent controls) and were removed at time of death. After 26 days, mussels were sacrificed and mantle tissue from each mussel was collected and stored in RNAlater (Invitrogen) at -80°C, until samples were processed. An additional 1 cm3 mantle tissue sample was taken for histology. Throughout the following analyses, samples were identified by sample ID only. Although a key was available to researchers, they were not aware of the original sex of the mussels or the treatment while performing subsequent analyses.
RT-qPCR
Mantle tissue samples were used to re-identify the sex of each mussel after the 26-day exposure. Primers for putative sex differentiating genes (SoxH, DMRT1L, FoxL2, β-catenin) were designed using Primer3 (v4.1.0) with the following specification: 20–22 base pairs long, melting temperature between 59-61oC, and GC content between 40 and 60%. Standard curves (R2 > 0.99, primer efficiency 95–105%) were used to quantify relative expression of all genes (18 S rRNA, VCL, VERL, SoxH, DMRT1L, FoxL2, β-catenin). To do this, we created a stock solution that contained 5 µl of each sample. The stock was then diluted 5-fold over five points. Standard curves were performed in triplicate, and samples were analyzed in duplicate on each qPCR plate. Prior to qPCR, all samples were diluted 1:5. qPCR reactions were performed as described above (Sample Collection and Sex ID). Primer sequences (IDT, Coralville, IA, USA) and PCR programs for all genes are found in Table S1. Expression of sex differentiating genes were normalized to 18 S rRNA and log2 transformed. 18 S rRNA was used as the normalizing gene because its expression is stable across a variety of stressors68 and we found no difference in 18 S rRNA expression in male versus female mussels in the control exposures (relative quantity male = 0.05 ± 0.03; relative quantity female = 0.03 ± 0.04). As the data were non-normal, as determined by the Shapiro-Wilk test, the Wilcoxon Rank Sum text was used to determine if treatment expression patterns were significantly different compared to their respective controls (adjusted p-value < 0.05). P-values were adjusted using the Benjamani-Hochberg method. Log2 fold change values were calculated for each experimental group relative to their respective controls (e.g., EE2 vs. EE2 control).
Histology
After the exposure, additional mantle tissue samples from seven mussels from each treatment were taken for histological analysis69. Briefly, immediately after dissection, samples were fixed in Bouin’s fixative (Ricca Chemical Company, Arlington, TX, USA), dehydrated, and infiltrated in paraffin (VWR, Radnor, PA, USA) using Citrisolv (Decon Laboratories Inc., King of Prussia, PA, USA). Samples were cut in 7 μm thick sections with two replicate slides at least 60 μm apart. Sections were then stained with hematoxylin (Spectrum, New Brunswick, NJ, USA) and eosin (FisherScientific) and mounted on slides using Permount (FisherScientific). Slides were visualized and imaged using a Leica DM2700P (Wetzlar, Germany). Samples were sexed (i.e., male: sperm; female: oocytes; unknown: no gametes) and assigned a gonadal index stage (0–5) as described by Seed31 twice per slide. Gonadal index stages for each sample were then averaged. If the assigned sex differed between replicate slides (i.e., unknown vs. male), then the sample was assigned the known sex. No sample was assigned both male and female, and there were no hermaphrodites.
Steroid extraction
The protocol was adapted from those previously developed70,71. The procedure involved a purification step by SPE, and the derivatization of steroids before the analysis by GC–MS. The SPE extraction and purification on EnviChrom-P and NH2 cartridges was first optimized with spiked Milli-Q water. Samples, collected from mantle tissue, were extracted with methanol/Milli-Q water (55/45, v/v) using a focused microwave-assisted extraction system (30 W, 5 min). The extract was then centrifuged (1,500 x g, 5 min, ambient temperature) and the supernatant transferred. The methanol phase was evaporated under vacuum. The remaining aqueous phase was cooled to room temperature and afterwards submitted to solid-phase extraction. An SPE cartridge was equilibrated with 3 mL ethyl acetate, 3 mL methanol and 3 mL Milli-Q water, successively. Extract was applied to the cartridges and 4 mL Milli-Q water was added twice for rinsing. The cartridge was washed with 4 mL cyclohexane. The steroids were eluted with 5 × 2 mL cyclohexane/diethyl ether (70/30, v/v). The solvent was evaporated and the dry residue was dissolved in ethyl acetate/methanol (80/20, v/v). An NH2 SPE cartridge (500 mg) was conditioned with 4 mL ethyl acetate and 4 mL ethyl acetate/methanol (80/20, v/v). The sample was filtered through the cartridge. Flasks and cartridges were rinsed twice with 1 mL ethyl acetate/methanol (80/20, v/v). Following solvent evaporation, residue was dissolved in 30 µL dichloromethane and 30 µL derivatization mixture of MSTFA/mercaptoethanol/NH4I (99.1/0.5/0.4%). The silylation reaction was allowed to develop at 65 °C for 30 min and the solution was directly injected into the gas chromatograph.
GC–MS analysis
Mass spectra were obtained on a Hewlett-Packard 6890 GC-HP 5973 MSD instrument (electron impact, 70 eV, scan range 50–550 amu) (Wilmington, DE, USA). Capillary GC (0.25 mm i.d, by 30 m fused silica column coated with Zebron ZB-5 from Phenomenex (Macclesfield, UK)) was operated at a flow rate of helium set at 1.2 ml/min, injector port at 250 °C, and temperature program of initial 170 °C, held for 1 min, and increased at 20 °C/min to 280 °C. GC analysis of steroids is reported as RRTc values referring to the retention time of sample GC peak to retention time of oestradiol internal standard peak.
Data availability
All data associated with this study is available online in the supplementary information. Additional information found in the supplemental information includes primer sequences, RT-qPCR parameters, Garner-Altman estimation plots of steroid data, and raw data tables of RT-qPCR, histology, and steroid data.
References
Bryan, G. W., Gibbs, P. E., Hummerstone, L. G. & Burt, G. R. The decline of the gastropod Nucella lapillus around south-west England: Evidence for the effect of tributyltin from antifouling paints. J. Mar. Biol. Assoc. U. K. 611–640 (1986).
Blalock, B. J. et al. Transcriptomic and network analyses reveal mechanistic-based biomarkers of endocrine disruption in the marine mussel, Mytilus edulis. Environ. Sci. Technol. 52, 9419–9430 (2018).
Langston, W. J., Burt, G. R. & Chesman, B. S. Feminisation of male clams Scrobicularia plana from estuaries in Southwest UK and its induction by endocrine-disrupting chemicals. Mar. Ecol. Prog. Ser. 333, 173–184 (2007).
Schwarz, T. I., Katsiadaki, I., Maskrey, B. H. & Scott, A. P. Rapid uptake, biotransformation, esterification and lack of depuration of testosterone and its metabolites by the common mussel, Mytilus spp. J. Steroid Biochem. Mol. Biol. 171, 54–65 (2017).
Fodor, I. & Pirger, Z. From dark to light–an overview of over 70 years of endocrine disruption research on marine mollusks. Front. Endocrinol. (Lausanne) 13, 903575 (2022).
Grilo, T. F. & Rosa, R. Intersexuality in aquatic invertebrates: Prevalence and causes. Sci. Total Environ. 592, 714–728 (2017).
Ciocan, C. M., Cubero-Leon, E., Minier, C. & Rotchell, J. M. Identification of reproduction-specific genes associated with maturation and estrogen exposure in a marine bivalve Mytilus edulis. PLoS One 6, e22326. https://doi.org/10.1371/journal.pone.0022326 (2011).
Dublinowska, M., Smolarz, K., Zabrzańska, S., Larsson, J. & Czerniawska, N. Intersexuality in the blue mussel Mytilus edulis Complex (Mytilidae) from the Baltic Sea and the Danish Strait. Am. Malacol. Bull. 34, 28–39 (2016).
Breton, S., Capt, C., Guerra, D. & Stewart, D. Sex-determining mechanisms in bivalves. In Transitions Between Sexual Systems 165–192. https://doi.org/10.1007/978-3-319-94139-4_6 (2018).
Li, R. et al. FOXL2 and DMRT1L are Yin and Yang genes for determining timing of sex differentiation in the bivalve mollusk Patinopecten Yessoensis. Front. Physiol. 9, 1–11 (2018).
Zhang, N., Xu, F. & Guo, X. Genomic analysis of the Pacific oyster (Crassostrea gigas) reveals possible conservation of vertebrate sex determination in a Mollusc. Genes|Genomes|Genetics. 4, 2207–2217 (2014).
Liu, M. et al. Gonad transcriptome analysis reveals the differences in gene expression related to sex-biased and reproduction of clam cyclina sinensis. Front. Mar. Sci. 9, 1110587 (2023).
Evensen, K. G., Robinson, W. E., Krick, K., Murray, H. M. & Poynton, H. C. Comparative phylotranscriptomics reveals putative sex differentiating genes across eight diverse bivalve species. Comp. Biochem. Physiol. Part. D Genomics Proteom. 41, 100952 (2022).
Han, W. et al. Ancient homomorphy of molluscan sex chromosomes sustained by reversible sex-biased genes and sex determiner translocation. Nat. Ecol. Evol. 6, 1891–1906 (2022).
Sun, D., Yu, H. & Li, Q. Examination of the roles of Foxl2 and Dmrt1 in sex differentiation and gonadal development of oysters by using RNA interference. Aquaculture. 548, 737732 (2022).
Kopp, A. Dmrt genes in the development and evolution of sexual dimorphism. Trends Genet. 28, 175–184 (2012).
Bertho, S. et al. Foxl2 and its relatives are evolutionary conserved players in gonadal sex differentiation. Sex. Dev. 10, 111–129 (2016).
Ricciardi, K. L., Poynton, H. C., Duphily, B. J., Blalock, B. J. & Robinson, W. E. Bioconcentration and depuration of 14 C-labeled 17α‐ethinyl estradiol and 4‐nonylphenol in individual organs of the marine bivalve Mytilus edulis L. Environ. Toxicol. Chem. 35, 863–873 (2016).
Pretti, C. et al. Gene expression and biochemical patterns in the digestive gland of the mussel Mytilus galloprovincialis (Lamarck, 1819) exposed to 17α-ethinylestradiol. Aquat. Toxicol. 254, 106376 (2023).
Lopes, J. et al. How temperature rise will influence the toxic impacts of 17 α-ethinylestradiol in Mytilus galloprovincialis? Environ. Res. 204, 112279 (2022).
Fodor, I., Urbán, P., Scott, A. P. & Pirger, Z. A critical evaluation of some of the recent so-called ‘evidence’for the involvement of vertebrate-type sex steroids in the reproduction of mollusks. Mol. Cell. Endocrinol. 516, 110949 (2020).
Fernández-González, L. E., Sánchez-Marín, P., Gestal, C., Beiras, R. & Diz, A. P. Vitellogenin gene expression in marine mussels exposed to ethinylestradiol: No induction at the transcriptional level. Mar. Environ. Res. 168, 105315 (2021).
Goździk, P., Smolarz, K., Konieczna, L. & Hallmann, A. Testosterone concentration and aromatisation efficiency at different stages of gonad development: A case study with Mytilus edulis trossulus. Invertebr. Reprod. Dev. 1–7. https://doi.org/10.1080/07924259.2023.2231868 (2023).
Smolarz, K., Zabrzańska, S., Konieczna, L. & Hallmann, A. Changes in steroid profiles of the blue mussel Mytilus trossulus as a function of season, stage of gametogenesis, sex, tissue and mussel bed depth. Gen. Comp. Endocrinol. 259, 231–239 (2018).
Schwarz, T. I., Katsiadaki, I., Maskrey, B. H. & Scott, A. P. Mussels (Mytilus spp.) display an ability for rapid and high capacity uptake of the vertebrate steroid, estradiol-17β from water. J. Steroid Biochem. Mol. Biol. 165, 407–420 (2017).
Scott, A. P. Is there any value in measuring vertebrate steroids in invertebrates? Gen. Comp. Endocrinol. 265, 77–82 (2018).
Hallmann, A., Konieczna, L., Swiezak, J., Milczarek, R. & Smolarz, K. Aromatisation of steroids in the bivalve Mytilus trossulus. PeerJ. 7, e6953 (2019).
Goldstone, J. V. et al. Genetic and structural analyses of cytochrome P450 hydroxylases in sex hormone biosynthesis: Sequential origin and subsequent coevolution. Mol. Phylogenet. Evol. 94, 676–687 (2016).
Nelson, D. R., Goldstone, J. V. & Stegeman, J. J. The cytochrome P450 genesis locus: The origin and evolution of animal cytochrome P450s. Philos. Trans. Roy. Soc. B: Biol. Sci. 368, 20120474 (2013).
Hines, A. et al. Comparison of histological, genetic, metabolomics, and lipid-based methods for sex determination in marine mussels. Anal. Biochem. 369, 175–186 (2007).
Seed, R. The ecology of Mytilus edulis L. (Lamellibranchiata) on exposed rocky shores. II. Growth and mortality. Oecologia 317–350 (1969).
Kanazawa, A. Sterols in marine invertebrates. Fish. Sci. 67, 997–1007 (2001).
Zhu, N., Dai, X., Lin, D. S. & Connor, W. E. The lipids of slugs and snails: Evolution, diet and biosynthesis. Lipids 29, 869–875 (1994).
Knights, B. A. & Smith, A. R. Sterols of male and female compound inflorescences of Zea mays L.. Planta 133, 89–93 (1976).
Quek, L. E. & Nielsen, L. K. On the reconstruction of the Mus musculus genomescale metabolic network model. Genome Inf. 21, 89–100 (2008).
Nelson, E. R. & Habibi, H. R. Estrogen receptor function and regulation in fish and other vertebrates. Gen. Comp. Endocrinol. 192, 15–24 (2013).
Thornton, J. W., Need, E. & Crews, D. Resurrecting the ancestral steroid receptor: ancient origin of estrogen signaling. Science (1979) 301, 1714–1717 (2003).
Keay, J., Bridgham, J. T. & Thornton, J. W. The Octopus vulgaris estrogen receptor is a constitutive transcriptional activator: Evolutionary and functional implications. Endocrinology 147, 3861–3869 (2006).
Gu, W. et al. Expression and functional analyses for estrogen receptor and estrogen related receptor of Yesso scallop, Patinopecten Yessoensis. J. Steroid Biochem. Mol. Biol. 231, 106302 (2023).
Bridgham, J. T., Keay, J., Ortlund, E. A. & Thornton, J. W. Vestigialization of an allosteric switch: Genetic and structural mechanisms for the evolution of constitutive activity in a steroid hormone receptor. PLoS Genet. 10, e1004058 (2014).
Liu, L. et al. Comparison and quantification of estrogen receptor-mediated responsiveness to endocrine disruptors in bivalves by using complementary model and a novel yeast assay approach. Environ. Pollut. 323, 121208 (2023).
Lösel, R. & Wehling, M. Nongenomic actions of steroid hormones. Nat. Rev. Mol. Cell. Biol. 4, 46–55 (2003).
Canesi, L. et al. Rapid effects of 17β-estradiol on cell signaling and function of Mytilus hemocytes. Gen. Comp. Endocrinol. 136, 58–71 (2004).
Bird, I. M. & Abbott, D. H. The hunt for a selective 17, 20 lyase inhibitor; learning lessons from nature. J. Steroid Biochem. Mol. Biol. 163, 136–146 (2016).
Trachtenberg, J. The effects of Ketoconazole on Testosterone Production and normal and malignant androgen dependent tissues of the adult rat. J. Urol. 132, 599–601 (1984).
Hegelund, T., Ottosson, K., Rådinger, M., Tomberg, P. & Celander, M. C. Effects of the antifungal imidazole ketoconazole on CYP1A and CYP3A in rainbow trout and killifish. Environ. Toxicol. Chem. 23, 1326–1334 (2004).
Mishin, V., Heck, D. E., Jan, Y. H., Richardson, J. R. & Laskin, J. D. Distinct effects of form selective cytochrome P450 inhibitors on cytochrome P450-mediated monooxygenase and hydrogen peroxide generating NADPH oxidase. Toxicol. Appl. Pharmacol. 455, 116258 (2022).
Vremere, A. et al. Oxysterols profiles in zebrafish (Danio rerio) embryos exposed to bisphenol A. Food Chem. Toxicol. 165, 113166 (2022).
Guan, J. Z. et al. Clofibrate, a peroxisome-proliferator, enhances reverse cholesterol transport through cytochrome P450 activation and oxysterol generation. Tohoku J. Exp. Med. 201, 251–259 (2003).
Uhlenhaut, N. H. et al. Somatic sex reprogramming of adult ovaries to testes by FOXL2 ablation. Cell. 139, 1130–1142 (2009).
Matson, C. K. et al. DMRT1 prevents female reprogramming in the postnatal mammalian testis. Nature. 476, 101–104 (2011).
Li, M. H. et al. Antagonistic roles of Dmrt1 and Foxl2 in sex differentiation via estrogen production in tilapia as demonstrated by TALENs. Endocrinology. 154, 4814–4825 (2013).
Arnold, A. P. X chromosome agents of sexual differentiation. Nat. Rev. Endocrinol. 18, 574–583 (2022).
Stewart, M. K., Mattiske, D. M. & Pask, A. J. Estrogen suppresses SOX9 and activates markers of female development in a human testis-derived cell line. BMC Mol. Cell. Biol. 21, 1–10 (2020).
Pask, A. J., Calatayud, N. E., Shaw, G., Wood, W. M. & Renfree, M. B. Oestrogen blocks the nuclear entry of SOX9 in the developing gonad of a marsupial mammal. BMC Biol. 8, 1–11 (2010).
Guiguen, Y., Fostier, A., Piferrer, F. & Chang, C. F. Ovarian aromatase and estrogens: A pivotal role for gonadal sex differentiation and sex change in fish. Gen. Comp. Endocrinol. 165, 352–366 (2010).
Schulz, R. W. et al. Estrogen-Induced alterations in amh and dmrt1 expression signal for disruption in male sexual development in the zebrafish. Environ. Sci. Technol. 41, 6305–6310 (2007).
Murdock, C. & Wibbels, T. Dmrt1 expression in response to estrogen treatment in a reptile with temperature-dependent sex determination. J. Exp. Zool. B Mol. Dev. Evol. 306B, 134–139 (2006).
Herpin, A. & Schartl, M. Dmrt1 genes at the crossroads: A widespread and central class of sexual development factors in fish. FEBS J. 278, 1010–1019 (2011).
Yan, S. et al. Characterization, expression profiling, and estradiol response analysis of DMRT3 and FOXL2 in clam cyclina sinensis. Front. Mar. Sci. 10, 1120015 (2023).
Porte, C. et al. Endocrine disruptors in marine organisms: approaches and perspectives. Comp. Biochem. Physiol.-C Toxicol. Pharmacol. 143, 303–315 (2006).
Griffith, D. R., Soule, K., Eglinton, M. C., Kujawinski, T. I., Gschwend, P. M. & E. B. & Steroidal estrogen sources in a sewage-impacted coastal ocean. Environ. Sci. Process. Impacts. 18, 981–991 (2016).
Balbi, T. et al. Impact of bisphenol A (BPA) on early embryo development in the marine mussel Mytilus galloprovincialis: Effects on gene transcription. Environ. Pollut. 218, 996–1004 (2016).
Nice, H. E., Thorndyke, M. C., Morritt, D., Steele, S. & Crane, M. Development of Crassostrea gigas larvae is affected by 4-nonylphenol. Mar. Pollut Bull. 40, 491–496 (2000).
Sorte, C. J. B. et al. Long-term declines in an intertidal foundation species parallel shifts in community composition. Glob. Chang. Biol. 23, 341–352 (2017).
Jones, S. J., Lima, F. P. & Wethey, D. S. Rising environmental temperatures and biogeography: Poleward range contraction of the blue mussel, Mytilus edulis L., in the western Atlantic. J. Biogeogr. 37, 2243–2259 (2010).
Food and Agriculture Organization (FAO). FAO Yearbook. Fishery and Aquaculture Statistics 2018/FAO annuaire. Statistiques des pêches et de l’aquaculture 2018/FAO anuario. Estadísticas de pesca y acuicultura 2018 (2020). https://doi.org/10.4060/cb1213t
Poynton, H. C., Robinson, W. E., Blalock, B. J. & Hannigan, R. E. Correlation of transcriptomic responses and metal bioaccumulation in Mytilus edulis L. reveals early indicators of stress. Aquat. Toxicol. 155, 129–141 (2014).
Siegfried, K. R. & Steinfeld, J. S. Histological Analysis of Gonads in Zebrafish. In: Dosch R. (eds) Germline Development in the Zebrafish. Methods in Molecular Biology 253–263 (2021). https://doi.org/10.1007/978-1-0716-0970-5_20
Budzinski, H., Devier, M. H., Labadie, P. & Togola, A. Analysis of hormonal steroids in fish plasma and bile by coupling solid-phase extraction to GC/MS. Anal. Bioanal. Chem. 386, 1429–1439 (2006).
Dévier, M. H., Labadie, P., Togola, A. & Budzinski, H. Simple methodology coupling microwave-assisted extraction to SPE/GC/MS for the analysis of natural steroids in biological tissues: application to the monitoring of endogenous steroids in marine mussels Mytilus sp.. Anal. Chim. Acta 657, 28–35 (2010).
Acknowledgements
In memory of William “Bill” Robinson. We thank Kellee R. Siegfried and Jessica N. MacNeil for assistance with histology techniques and for comments that greatly improved the manuscript. This work was supported by the US National Science Foundation (NSF BIO-IOS 2122449). Funding at Swansea University supported by the European Regional Development Fund/ Welsh European Funding Office via the BEACON project (SLK).
Author information
Authors and Affiliations
Contributions
Conceptualization (H.C.P., W.E.R., K.G.E., J.V.G.); Methodology (H.C.P., W.E.R., K.G.E., C.L.P., S.L.K., D.C.L.); Investigation (K.G.E., E.R., C.L.P., D.C.L.); Visualization (K.G.E., J.V.G.); Funding acquisition (H.C.P., W.E.R., S.L.K.); Project administration (H.C.P.); Writing – original draft (K.G.E., H.C.P., J.V.G.); Writing – review & editing (K.G.E., H.C.P., W.E.R., E.R., D.C.L., J.V.G.); All authors reviewed the manuscript.
Corresponding author
Ethics declarations
Competing interests
The authors declare no competing interests.
Additional information
Publisher’s note
Springer Nature remains neutral with regard to jurisdictional claims in published maps and institutional affiliations.
Electronic supplementary material
Below is the link to the electronic supplementary material.
Rights and permissions
Open Access This article is licensed under a Creative Commons Attribution-NonCommercial-NoDerivatives 4.0 International License, which permits any non-commercial use, sharing, distribution and reproduction in any medium or format, as long as you give appropriate credit to the original author(s) and the source, provide a link to the Creative Commons licence, and indicate if you modified the licensed material. You do not have permission under this licence to share adapted material derived from this article or parts of it. The images or other third party material in this article are included in the article’s Creative Commons licence, unless indicated otherwise in a credit line to the material. If material is not included in the article’s Creative Commons licence and your intended use is not permitted by statutory regulation or exceeds the permitted use, you will need to obtain permission directly from the copyright holder. To view a copy of this licence, visit http://creativecommons.org/licenses/by-nc-nd/4.0/.
About this article
Cite this article
Evensen, K.G., Rusin, E., Robinson, W.E. et al. Vertebrate endocrine disruptors induce sex-reversal in blue mussels. Sci Rep 14, 23890 (2024). https://doi.org/10.1038/s41598-024-74212-y
Received:
Accepted:
Published:
Version of record:
DOI: https://doi.org/10.1038/s41598-024-74212-y






